Obecná stomatologie
MDDr. Miroslav Šťovíček | MDDr. Šárka Šťovíčková, Společnost preventivní stomatologie
„Nedostatek zubních lékařů“ je téma, které se stále častěji skloňuje v médiích, na sociálních sítích a už o něm diskutují...
MDDr. Robert Plachý | MUDr. et MUDr. Vladimír Machoň | prof. MUDr. René Foltán, Ph.D.
Úvod: Dislokace disku (DD)...
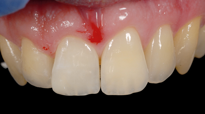
Markus B. Hürzeler, DDS, Dr. Med. Dent. PhD. | Dietmar Weng, DDS, Dr. Med. Dent.
Tento článek popisuje nový a zjednodušený chirurgický přístup...
Janet Kirilova, Oddělení záchovné stomatologie, Stomatologická fakulta, Lékařská univerzita Sofia, Bulharsko
V posledních letech má prvořadý význam zachování vitality zubní dřeně, protože...
Dr. Brad Craig, Ph.D.
Polymerační lampy, hloubka preparace, viskozita materiálu – znáte všechny faktory, které mohou ovlivňovat...
MUDr. Lucie Sedelmayer | Mgr. Irena Čani, redakce časopisu StomaTeam
Už téměř 10 let je iTOP (individually trained oral prophylaxis) součástí výuky na stomatologické klinice Univerzity...
MDDr. Markéta Janovská
Orální lichen planus (OLP) patří mezi nejčastější onemocnění ústních sliznic, které se vyskytuje v průměru u 2 %...
Sandra Meyfarth, DDS. | MSc. Karen Cassano, DDS. | MSc. Flavio Warol DDS. | Márcia de Deus Santos | Angela Scarparo, DDS., PhD.
Vývoj technik odstraňování kazu se ubírá konzervativnějším a biologickým...
Carla Cohn, DMD
TheraCal PT je biologický kompatibilní duálně tuhnoucí křemičitan vápenatý modifikovaný pryskyřicí, který je určen...
Dr. Andrea Klink | Dr. Fabian Hüttig / Tübingen, Německo | Dr. Martin Groten / Reutlingen, Německo
Zuby postižené rozsáhlým opotřebením nebo genetickou poruchou lze úspěšně...
Dr. Jan H. Koch | PR, EMS
Čistá ústa jsou důležitá nejen pro zdraví ústní dutiny, ale i pro zdraví obecně...
Lene Holm | PR, Hu-Fa Dental
V posledních desetiletích se v moderní stomatologii stala klíčovou estetická stomatologie. Není to dáno jen...





































