Postendodontické ošetření zubů s použitím titanových čepů Unimetric
Titanové čepy Unimetric představují jednu z vysoce funkčních možností postendodontického ošetření zubů, a to díky jejich vynikající pevnosti, jednoduchosti použití a pasivního zakotvení do kanálku zubu duálně tuhnoucím kompozitním cementem. Autor popisuje správný pracovní postup při použití titanových čepů Unimetric (Maillefer, Švýcarsko) a jejich využití při určitých indikacích v rámci záchovné i protetické stomatologie.

Krátká historie použití kořenových čepů
První zpráva o použití kořenových čepů zveřejněná Fosanem v roce 1728 pojednávala o úspěšné instalaci kusu kovového drátu, na kterém byl připevněn umělý zub vybroušený ze zubu mrože, v kořenovém kanálku přirozeného zubu. O sto let později (1830–1870) kov, jako materiál pro kořenové čepy, zcela nahradilo dřevo. Více než 40 let trvalo stomatologům, aby odhalili mj. skutečnost, že dřevo vlivem vlhkosti zvětšuje svůj objem a způsobuje fraktury kořene a infekce. Ve 30. letech minulého století se s rozvojem přesného odlévání kovů stalo nejpopulárnější použití litých kovových nástaveb, které se jako optimální způsob endodonticko-protetického ošetření používaly v podstatě donedávna.
Indikace kovových čepů
Destrukce klinické korunky zubu z více než 70 %, fraktury klinické korunky zubu, nutnost zpevnit zub po endodontické léčbě, potřeba dostavby pilíře zubu pro korunkovou náhradu. Tloušťka stěny kořene zubu musí být nejméně 2 mm. Zachované tvrdé tkáně zubu musí být ve výšce 2–3 mm nad dásňovým okrajem. Kanálek musí být kvalitně endodonticky ošetřen a preparovaný cca na 2/3 délky.
Kontraindikace kovových čepů
Periodontitida, parodontitida, patologické nálezy na kořeni, nelze preparovat kanálek na 2/3 délky.
Vlastnosti titanových prefabrikovaných čepů Unimetric
Čepy Unimetric (Maillefer, Švýcarsko) mají kónický tvar s hlavičkou čtvercového průřezu. Podle metody fixace patří k pasivním čepům, které nemají samořezný závit – v kanálku se fixují duálně tuhnoucím cementem. Pasivní fixace má tu výhodu, že nevytváří tlak a vnitřní napětí v kanálku. Čepy se vyrábějí ve dvou tloušťkách (obr. 1–3) a dvou délkách (obr. 1). Jednotlivé velikosti jsou barevně značeny (obr. 4). V případě potřeby můžeme čep zkrátit. Díky použitému materiálu jsou čepy vysoce pevné a lehké. Na čepu se nacházejí speciální cirkulární rýhy zlepšující fixaci čepu v kanálku a bránící jejich vypadnutí. Použití čepů Unimetric umožňuje dostavbu zubu fotokompozitem i v případě, kdy je zachováno méně než 20 % tvrdých zubních tkání klinické korunky zubu. Čepy Unimetric jsou biokompatibilní, chemicky pasivní a odolné proti korozi. Kompletní sada čepů zahrnuje také penetrační vrták (pronikač) (obr. 5A) a kalibrační vrták (rozšiřovač) (obr. 5B). Sada čepů Unimetric s větší tloušťkou (1.00 mm) obsahuje navíc také univerzální vrták (drill) (obr. 5C), kterým vytváříme postupný přechod od pronikače k rozšiřovači.
Použití titanových prefabrikovaných čepů Unimetric
Podle indikace lze čepy Unimetric použít jak pro přímou rekonstrukci klinické korunky zubu fotokompozitem, tak pro dostavbu pahýlu pro korunkovou náhradu. V případě dostavby pahýlu se dobře osvědčil materiál MultiCore Flow (Ivoclar Vivadent) – duálně tuhnoucí rentgenkontrastní kompozit obsahující fluoridová plniva, který k tomuto účelu vykazuje vynikající mechanické vlastnosti. MultiCore Flow je k dispozici v kartuši s dvojitým pístem nebo ve stříkačce, s hroty pro automatické míchání. Je dostupný ve čtyřech odstínech: světlý a střední dentinový odstín, bílý (vhodný zejména pod celokeramiku) a modrý (vhodný zejména pod kov) opakní odstín. Pracovní doba je 90–120 sekund.
Zavedení čepu do kanálku
Začínáme vyhodnocením RTG snímku zubu, abychom stanovili potřebnou velikost čepu. Preparaci kořenového kanálku začínáme penetračním vrtákem (pronikačem) na určenou délku a následně kalibračním vrtákem. Na vrtáky nevyvíjíme přílišný tlak. Poté v preparovaném kořenovém kanálku vyzkoušíme zvolený čep, který by neměl být v kanálku příliš volný. Pořídíme RTG snímek pro kontrolu polohy čepu v kořenovém kanálku. Následně čep odstraníme, dezinfikujeme a vysušíme. Kanálek 60 sekund leptáme 36% kyselinou fosforečnou, důkladně vypláchneme vodním sprejem a vysušíme. Do takto připraveného kanálku naneseme aplikační peletou bond a mírně jej osušíme – následně do kanálku lentulí aplikujeme duálně tuhnoucí cement, zavedeme čep a oblast kolem čepu polymerujeme lampou 40 sekund. Poté dle indikace můžeme pokračovat dostavbou pahýlu pro budoucí korunkovou náhradu nebo přímou rekonstrukcí korunky fotokompozitem.

Obr. 1: Čepy se vyrábějí ve dvou délkách a dvou průměrech.

Obr. 2: Sada čepů s průměrem 0.8 mm.

Obr. 3: Sada čepů s průměrem 1.0 mm.

Obr. 4: Barevné značení velikostí čepů.

Obr. 5: A – penetrační vrták (pronikač), B – kalibrační vrták (rozšiřovač). Obr. C – Univerzální vrták.

Obr. 6: Zub číslo 15 byl ošetřen endodonticky, rozsáhlá ztráta tvrdých zubních tkání MOD.

Obr. 7: Zavedení čepů Unimetric do bukálního a palatinálního kanálku.

Obr. 8a, b: Zavedení kovové matrice a rekonstrukce klinické korunky zubu 15 fotokompozitním materiálem Tetric Evoceram Bul Fill, odstín B.

Obr. 8a, b: Zavedení kovové matrice a rekonstrukce klinické korunky zubu 15 fotokompozitním materiálem Tetric Evoceram Bul Fill, odstín B.

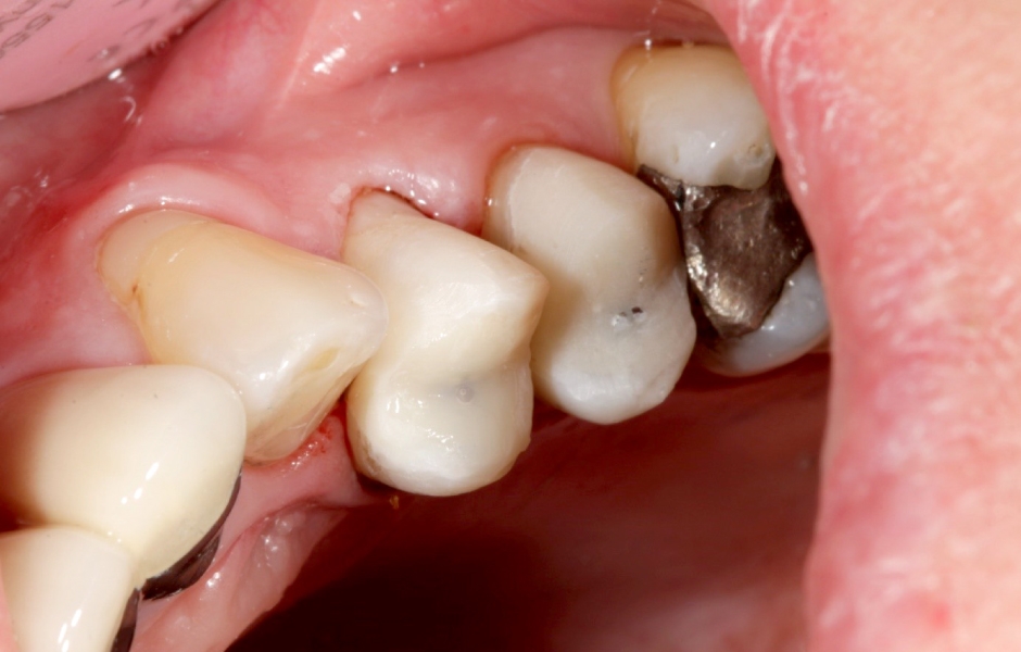
Obr. 9: Zub 25 – rozsáhlý defekt tvrdých zubních tkání klinické korunky zubu MOD, fraktura vestibulární stěny zubu.

Obr. 10: Po endodontickém ošetření zubu 25 – zavedení titanových čepů Unimetric do bukálního a palatinálního kanálku.

Obr. 11. Zavedení kovové matrice.

Obr. 12 a, b: Dostavba pilíře 25 materiálem MultiCore Flow.

Obr. 12 a, b: Dostavba pilíře 25 materiálem MultiCore Flow.

Obr. 13 a, b: Zub 24, rozsáhlý defekt tvrdých tkání zubu MOD.

Obr. 13 a, b: Zub 24, rozsáhlý defekt tvrdých tkání zubu MOD.

Obr. 14: Po endodontickém ošetření zubu 24 – zavedení titanových čepů Unimetric do palatinálního a bukálního kanálku.

Obr. 15: Kontrolní RTG snímek.

Obr. 16: RTG snímek po cementaci čepů.

Obr. 17a, b: Dostavba pilířů 24, 25 duálně tuhnoucím materiálem MultiCore Flow.

Obr. 17a, b: Dostavba pilířů 24, 25 duálně tuhnoucím materiálem MultiCore Flow.

Obr. 18: Pilíře 24, 25 bezprostředně po dostavbě.

Obr. 19: Pilíře 24, 25 po zavedení retrakčního vlákna a preparaci na pravoúhlý schůdek.

Obr.20a–c: Intraorální sken a stanovení skusu pomocí skeneru 3SHAPE TRIOS 3 POD.

Obr.20a–c: Intraorální sken a stanovení skusu pomocí skeneru 3SHAPE TRIOS 3 POD.

Obr.20a–c: Intraorální sken a stanovení skusu pomocí skeneru 3SHAPE TRIOS 3 POD.

Obr.20a–c: Intraorální sken a stanovení skusu pomocí skeneru 3SHAPE TRIOS 3 POD.

Obr. 21: Provizorní korunky z materiálu 3M ESPE Protemp 4.

Obr. 22: Fixní zirkonové korunky.

Obr. 23: Zkouška zirkonových korunek na pilířích 24, 25.

Obr. 24: Fixované zirkonové korunky duálně tuhnoucím cementem 3M Ketac Cem Plus.


Kazuistika 1: přímá fotokompozitní dostavba korunky
Pacient – 35 let. Zub číslo 15 byl endodonticky ošetřen metodou vertikální kondenzace (obr. 6). Klinické vyšetření odhalilo rozsáhlou ztrátu tvrdých zubních tkání meziodistookluzně (MOD). Po konzultaci s pacientem, který odmítl zhotovení korunkové náhrady, jsme se rozhodli pro rekonstrukci klinické korunky zubu přímou fotokompozitní dostavbou s využitím prefabrikovaných titanových čepů Unimetric. Následovala preparace kanálků a fixace čepů pomocí duálně tuhnoucího cementu MultiCore flow (Ivoclar Vivadent) výše uvedeným postupem (obr. 7). Následovala rekonstrukce klinické korunky zubu 15 fotokompozitním materiálem Tetric Evoceram Bulk Fill, odstín B, s použitím dentinového materiálu odstínu A 3.5, konečná úprava a leštění dostavby (obr. 8a, b). Pacient odešel s kompletně zrekonstruovanou korunkou zubu v jednom sezení.
Kazuistika 2 – dostavba pahýlu zubu pro korunkovou náhradu
Pacientka – 65 let. Zuby 24, 25 byly endodonticky ošetřeny a vykazovaly rozsáhlé defekty MOD, vestibulární stěna klinické korunky zubu 25 navíc vykazovala frakturu (obr. 9–13). Po konzultaci s pacientkou bylo naplánováno zavedení titanových čepů Unimetric, dostavba pahýlů zubů duálně tuhnoucím cementem MultiCore Flow a zhotovení fixních korunkových náhrad ze zirkonu.
Výše uvedeným postupem jsme preparovali kanálky, s pomocí kontrolních RTG snímků zavedli a fixovali čepy duálně tuhnoucím cement MultiCore Flow a tímto cementem byla zhotovena také dostavba pilířů (obr. 14–18). Po retrakci gingivy bylo provedeno broušení zhotovených pilířů na pravoúhlý schůdek (obr. 19). Výsledná situace byla oskenována intraorálním skenerem 3SHAPE TRIOS 3 POD (obr. 20) – na základě digitálních otisků horní i dolní čelisti byly stanoveny parametry skusu. Poté jsme zhotovili provizorní korunky z materiálu 3M ESPE Protemp 4 (obr. 21). Na další návštěvu byla naplánována zkouška korunkových náhrad ze zirkonu na zuby 24, 25 (obr. 22, 23) a fixace korunek duálně tuhnoucím cementem 3M Ketac Cem Plus (obr. 24).
Závěr
Titanové čepy Unimetric mají velmi dobré mechanické vlastnosti. Jsou pevné, lehké, RTG kontrastní, pasivní – nevytvářejí tlak v kanálku zubu. Je to jednoduchý, spolehlivý a efektivní systém, který lze používat při rozličných indikacích v rámci záchovné i protetické stomatologie.
Náhrady zhotovil zubní technik Róbert Zubák. Fotodokumentaci pořídil Bohumil Shmidt.
Buďte v obraze
Chcete mít pravidelný přehled o nových článcích na tomto webu, akcích a dalších novinkách? Přihlaste se k odběru newsletteru.
Odesláním souhlasíte s našimi zásadami zpracování osobních údajů.
Články
3. 6. 2025 | Obecná stomatologie
Třicetiletý celkově zdravý pacient žádal o opravu nevyhovující kompozitní rekonstrukce provedené před 10 lety po traumatu zubu 11. Postižený zub v rámci klinického vyšetření reagoval pozitivně na test vitality. Na rentgenovém snímku nebyla objevena periapikální léze. Klinická korunka vykazovala nežádoucí zbarvení a nacházela se více palatinálně než kontralaterální řezák 21.
Články
18. 2. 2026 | Obecná stomatologie
Použitý kmen probiotických bakterií patří mezi Gram-positivní nesporulující bakterie patřící do skupiny tzv. orálních resp. viridujících streptokoků. Orální streptokoky tvoří podstatnou část normální flóry dutiny ústní a horních cest dýchacích.
Články
18. 11. 2025 | Obecná stomatologie
Zubní kaz je celosvětově nejrozšířenějším neinfekčním onemocněním. Jedním z důvodů je skutečnost, že jeho počáteční stadia, která lze považovat za subklinické projevy kariézního procesu, jsou často řešena přístupem „sledovat a čekat“. Tento přístup však nese riziko progrese kazu³ a v závažných případech může vést i k vážným zdravotním komplikacím.
St 20. 5. 2026 | 9:00 – 17:00 hod.










