Případová studie: Léčba kongenitálně chybějících laterálních řezáků
Kongenitální absence jednoho nebo více maxilárních laterálních řezáků představuje výzvu pro zubního lékaře v efektivním plánování léčby. Ortodontická léčba pohybem špičáků meziálně, která se vyhýbá restorativním procesům, ovšem vede ke kompromisům [1–3]. Teenageři, kteří se dostaví s malokluzí, chybějícími laterálními řezáky nebo frontálním stěsnáním, potřebují správné multidisciplinární plánování léčby. Pacienti žádající zjednodušené estetické řešení a u kterých se nezaloží stabilní okluze, správné vyrovnání a správná axiální inklinace zubů, budou mít kompromisní estetické a periodontální výsledky. Zhodnocení estetiky frontálního úsměvu musí zahrnovat jak statické, tak dynamické hodnocení frontálního pohledu a pohledu z profilu, aby se optimalizoval vzhled chrupu a obličeje pacienta. Tento článek představuje kooperativní týmový přístup různých specializací v léčbě kongenitálně chybějících laterálních řezáků.

Redakční úvod: Tento článek nám již delší dobu leží v archivu, protože patrně vyvolá lehce kontroverzní reakce a také kvůli nevalné kvalitě některých obrázků – bylo nám však líto jej nevydat, proto jsme se rozhodli předložit vám jej online jako zajímavost k letnímu čtení. Článek kompletně zpřístupňujeme – tedy nejen pro naše předplatitele online obsahu, a věříme, že tento i další zajímavé články a užitečný obsah všech našich internetových stránek vás budou k předplatnému motivovat (pokud jej ještě nemáte sjednané https://www.stomateam.cz/cz/predplatne), za což vám předem děkujeme a přejeme krásné léto plné úžasných zážitků.
Léčba ageneze maxilárních laterálních řezáků
Při vyšetřování dentofaciální estetiky pacienta by si měl být zubní lékař vědom morfologie gingiválních kontur, zubních kontaktů, morfologie zubů a proporcí velikosti zubů. Aby byl dosažen žádaný estetický výsledek, musí být provedeno zhodnocení opotřebení incizálních hran, tvaru zubů, incizálních kontaktů a kontur gingiválních okrajů ještě před započetím ortodontické léčby [4].
Několik faktorů, které by měly být brány v potaz při léčbě těchto pacientů:
- Typ malokluze, stěsnání, mezery, vztahy mezi velikostí zubů, pozice, tvar a barva zubů.
- Ve většině případů slouží přítomnost nebo nepřítomnost významného okluzálního problému jako primární kritérium buď pro uzavření prostoru nebo jeho otevření.
- Pokud řezáky chybí již několik let, mohou být sousední zuby posunuty. Ortodontisté a zubní lékaři mohou mít ztížené pochopení situace a stanovení eventuálního léčebného plánu.
- Je doporučeno předem určit finální stav okluze pro rekonstrukci pomocí tvorby ideálního diagnostického wax-upu.
- U pacientů, kteří jsou v adolescentním věku a je u nich plánováno zavedení implantátů k náhradě chybějících zubů, je důležité, aby většina vertikálního růstu obličeje a prořezávání zubů již byla dokončena před zavedením implantátů.
- Ženy dospívají dříve než muži, protože jejich spurt adolescentního růstu nastává dříve. Implantáty mohou být zavedeny teprve po ukončení růstu do výšky. Ke zhodnocení ukončení obličejového růstu jsou nápomocné sekvenční kefalometrické rentgenové snímky a rentgenové snímky zápěstí v časovém rámci šesti měsíců až jednoho roku.
- Postup léčby v případě ageneze frontálních zubů musí být pečlivě vysvětlen jak pacientovi, tak rodičům. Musí si uvědomit, že ortodontická léčba je pouze začátek procesu, který pokračuje plánovanou chirurgickou terapií a finálními dostavbami.
- Všechny léčebné možnosti a postup léčby by měly být prodiskutovány v interdisciplinárním týmu [5–7].
Případová studie
Třináctiletá pacientka se spolu se svojí matkou dostavila k praktickému zubnímu lékaři kvůli zlepšení zubní a gingivální estetiky. Nebyla zjištěna žádá specifická zubní nebo lékařská anamnéza. Při extraorálním vyšetření nebyly pozorovány žádné relevantní nálezy. Intraorální vyšetření odhalilo kongenitálně chybějící maxilární laterální řezáky s mezerami frontálního úseku. Gingivální a periodontální vyšetření zjistilo zdravé periodoncium. Pacientka byla odeslána k ortodontickému vyšetření a byla v ortodontické léčbě asi 3 roky. Poslední rok nosila snímatelný aparát (pro udržení místa a jako dočasná náhrada chybějících laterálních řezáků). Fixní bondovaný obloukový retainer z drátu byl umístěn mezi pozicemi zubů 33–43 a 11–21.
Po dokončení ortodontické léčby v 17 letech byla pacientka odeslána na protetické vyšetření. Kompletní klinické a radiografické vyšetření pro vyhodnocení místa pro zavedení implantátu zahrnovalo periapikální a panoramatické snímky, studijní modely a fotografie. Byl vyroben diagnostický wax-up pro posouzení místa na protetickou rekonstrukci na implantátu. Pacientka byla odeslána k parodontologovi na implantologickou konzultaci. Periapikální rentgenové snímky napomohly k určení dostupného meziodistálního prostoru mezi kořeny středních řezáků a špičáků. V průběhu ortodontické léčby byly oba špičáky přemístěny bodily posunem a distalizovány. Díky tomu bylo přítomno adekvátní množství bukopalatinální šířky kosti pro optimální zavedení implantátu. Před zavedením implantátu byly vyrobeny protetické šablony, které napomáhají ideálnímu umístění implantátu.
Chirurgie byla provedena v lokální anestezii. Po provedení krestálního řezu byl elevován mukoperiostální lalok. Za použití šablony bylo místo nejprve preparováno 2mm vrtákem a dále postupně rozšířeno standardními barevně značenými vrtáky na žádané rozměry v obou oblastech osteotomie. Byly zavedeny implantáty Nobel Biocare 3.0 mm Nobel Active a zakryty krycími šroubky. Primární uzavření laloku bylo dosaženo přerušovanými resorbovatelnými suturami. Po operaci byly také provedeny rentgenové snímky. Pacientce byl předepsán nesteroidní protizánětlivý lék ibuprofen 600 mg třikrát denně v případě bolesti. Dále byl předepsán Chlorhexidin diglukonát 0,2% po dobu 1 týdne a byla provedena instruktáž ohledně diety a ústní hygieny. Byl zhotoven snímatelný retainer s kompozitními dostavbami v oblasti zubů 12 a 22, aby byla splněna estetická očekávání.
Po 5 měsících byla provedena druhá chirurgická fáze. Na každý implantát byl našroubován vhojovací váleček. Po pěti týdnech byly zhotoveny otisky uzavřenou metodou a byl vybrán odstín pro korunky.
Sádrové modely byly naskenovány do 3Shape softwaru. Byly vyrobeny dva individuální abutmenty a ty rovněž naskenovány pro výrobu PMMA korunek. Korunky byly fixovány na abutmenty cementem Panavia. K ověření usazení dočasných šroubovaných náhrad byly provedeny rentgenové snímky.
K dosažení zaobleného emergence profilu byla použita kombinace přidání kompozitního materiálu na gingivální okraje a malá gingivoplastika diodovým laserem, aby se rekonturovaly gingivální okraje a bylo dosaženo žádaného estetického výsledku. Pacientka používala tyto fixní dočasné náhrady po dobu asi 2 měsíců k dosažení optimalizace měkkých tkání a vytvoření ideálního emergence profilu.
Po dvou měsících byly dočasné náhrady odstraněny a našroubovány otiskovací kapny Nobel Biocare 3,0 pro zavřenou metodu otiskování – ideální dosazení bylo zkontrolováno rentgenovým snímkem. Finální otisky byly provedeny pomocí Kerr Dental Take 1 Advanced PVS light body kolem otiskovacích kapen a medium body do lžíce. Kromě pozice implantátu byla také zaznamenána nově vytvořená individuální tranzitní zóna (emergence profil). Jako definitivní protetika byla zvolena šroubovaná metalokeramika. Pacientka byla se svým novým úsměvem spokojená.

Obr. 1 a 2: Celkový pohled na obličej pacientky a pohled před ortodontickou léčbou.

Obr. 3: Panoramatický snímek, smíšená a stálá dentice.

Obr. 4: Panoramatický snímek, smíšená a stálá dentice.

Obr. 5: Léčba fixními retainery po ortodontické léčbě.

Obr. 6: Pohled na pacienta v úsměvu.

Obr. 7: Frontální pohled v kontrastu.

Obr. 8 a 9: Frontální pohled: S a bez wax-upu.

Obr. 8 a 9: Frontální pohled: S a bez wax-upu.

Obr. 10: Rentgenové snímky před druhou chirurgickou fází.

Obr. 11 a 12: Frontální a laterální pohled při retrakci po druhé chirurgické fázi.

Obr. 11 a 12: Frontální a laterální pohled při retrakci po druhé chirurgické fázi.

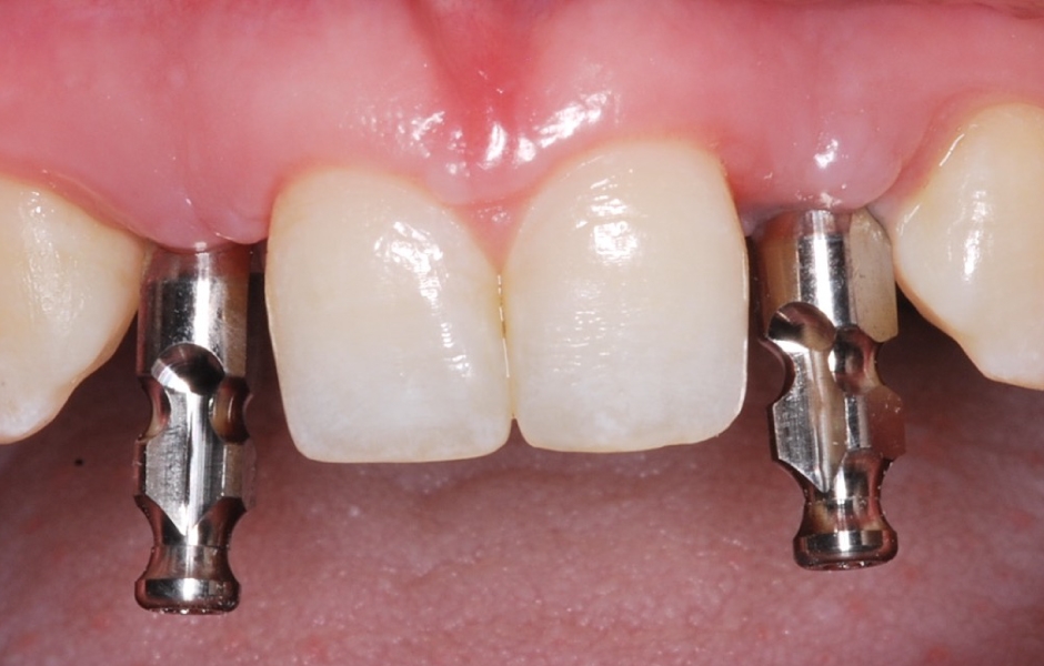
Obr. 13: Otiskovací kapny pro uzavřenou metodu.

Obr. 14: Finální otisk v polyvinylsiloxanu a model měkkých tkání k digitálnímu plánování a skenování, které vedlo k výrobě dočasných náhrad.

Obr. 15 a 16: Digitální modely jsou vytvořeny skenováním sádrového modelu se skenovacími tělísky – digitální plánování dočasných náhrad pomocí 3Shape softwaru.

Obr. 15 a 16: Digitální modely jsou vytvořeny skenováním sádrového modelu se skenovacími tělísky – digitální plánování dočasných náhrad pomocí 3Shape softwaru.

Obr. 17: Digitálně naplánované a frézované dočasné šroubované náhrady na implantátech.

Obr. 18: Gingivální okraje před úpravou.

Obr. 19: Laboratorně vyrobené dočasné náhrady.

Obr. 20: Ordinační úprava měkkých tkání.

Obr. 21: Hojení 2 měsíce po operaci.

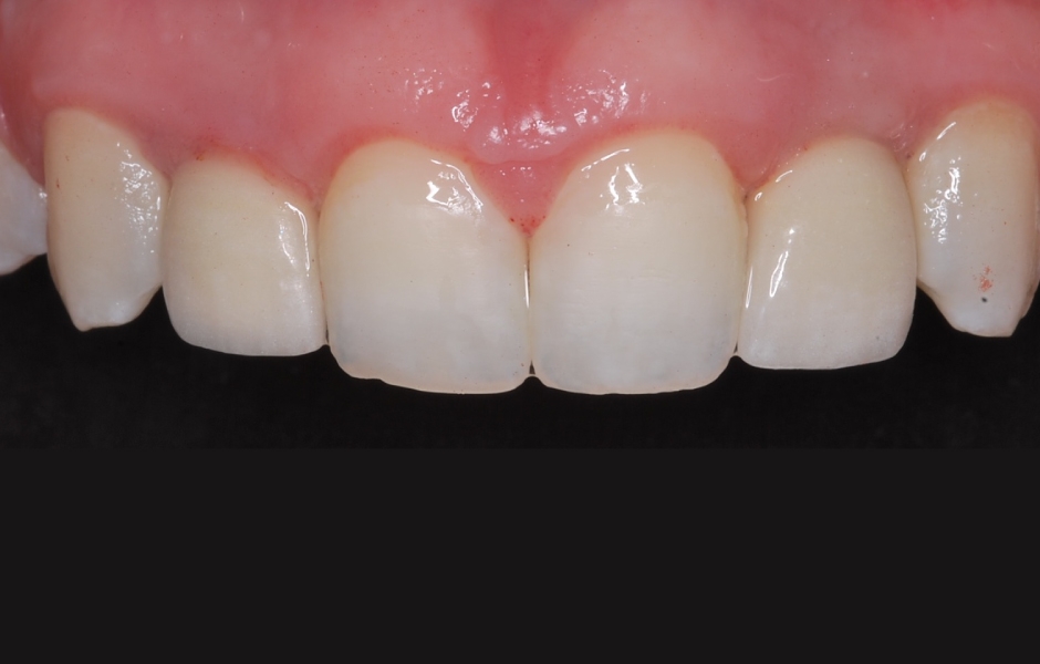
Obr. 22: Definitivní protetika: šroubované metalokeramické náhrady.

Obr. 23: Intraorální pohled v retrakci.

Obr. 24: Pohled v úsměvu.

Obr. 25 a 26: Laterální pohled v retrakci.

Obr. 25 a 26: Laterální pohled v retrakci.

Obr. 27: Maxilární retainer.
Diskuze
Pacienti postižení kongentiální absencí jednoho nebo více zubů jsou velmi unikátní a jsou vhodnými kandidáty na náhradu zubů pomocí oseointegrovaných implantátů. K dosažení optimální estetiky a trvanlivosti léčby jsou ale nezbytné sekundární chirurgické a protetické úkony.
Chirurgické zvýšení objemu měkkých tkání kolem implantátu pomocí štěpu je často potřebné [8, 10–11]. Zachování struktury zbylé měkké tkáně a podkladové kosti je základním cílem při výrobě protetiky. Pro vyplnění aproximálních prostor papilami je zásadní vzdálenost mezi bodem kontaktu a hřebenem alveolární kosti. Velmi důležitý je design bodu kontaktu. Aby aproximální tkáně zaplnily mezery, doporučuje se spíše dlouhý kontakt mezi zuby a náhradami nežli bodový [9].
Zhodnocení profilu estetického rizika
Pacienti potřebující zubní ošetření v estetické zóně musí dostat srozumitelné informace. V roce 2009 byla ITI a Dawsonem vyvinuta klasifikace, známá jako SAC klasifikace:
S: Straight forward – přímá (nízká náročnost, nízké riziko), A: Advanced – pokročilá (mírná náročnost, mírné riziko), C: Complex – Složitá (vysoká náročnost, vysoké riziko). Tato klasifikace je zhodnocením potenciální náročnosti a rizik případu. Slouží také jako návod pro klinické zubní lékaře jak v případě výběru léčby, tak v plánování. Tato klasifikace byla dříve navrhována v roce 1999 Sailerem a Pajarolou [10]. Případové studie odhalily, že:

Závěry
Ageneze zubů jsou relativně častým problémem pacientů navštěvujících specializovanou kliniku. Interdisciplinární přístup se ukázal být efektivní a předvídatelnou cestou k léčbě takových situací, kdy se dosáhne optimální estetiky a funkce. Zubní implantáty nabízí předvídatelné řešení k náhradě nezaložených zubů, pokud je kvalita kosti dostatečná a je ukončen skeletální růst.
Buďte v obraze
Chcete mít pravidelný přehled o nových článcích na tomto webu, akcích a dalších novinkách? Přihlaste se k odběru newsletteru.
Odesláním souhlasíte s našimi zásadami zpracování osobních údajů.
- Nirola A, Bhardwaj SJ, Wangoo A, Chugh AS. Treating congenitally missing teeth with an interdisciplinary approach. J Indian Soc Periodontol 2013;17:793-5.
- Kan JY, Rungcharassaeng K, Umezu K, Kois JC. Dimensions of peri-implant mucosa: An evaluation of maxillary anterior single implants in humans. J Periodontol 2003;74:557-62.
- Kokich VG. Maxillary lateral incisor implants: Planning with the aid of orthodontics. J Oral Maxillofac Surg 2004;62:48-56.
- Belser UC, Schmid B, Higginbottom F, Buser D. Outcome analysis of implant restorations located in the anterior maxilla: a review of the recent literature. Int J Oral Maxillofac Implants. 2004;19 Suppl:30-42.
- Johannsen A, Wikesjö U, Tellefsen G, Johannsen G. Patient attitudes and expectations of dental implant treatment--a questionnaire study. Swed Dent J. 2012;36(1):7-14.
- Tjan AH, Esthetic factors in a smile. JPD 1984; Jan 51; (1): 24-8.
- Leziy SS, Miller BA. Pract Proced Aesthet Dent. 2005 Jun;17(5):331-8; quiz 340. Replacement of adjacent missing anterior teeth with scalloped implants: a case report.
- Belser U, Buser D, Higginbottom F. Int J Oral Maxillofac Implants. 2004;19 Suppl:73-4; Consensus statements and recommended clinical procedures regarding esthetics in implant dentistry.
- Tarnow D, Elian N, Fletcher P, Froum S, Magner A, Cho SC, Salama M, Salama H, Garber DA. J Periodontol. 2003 Dec;74(12):1785-8; Vertical distance from the crest of bone to the height of the interproximal papilla between adjacent implants.
- The SAC Classification in implant dentistry; A Dawson and S Chen, ITI; Quintessence publishing 2009.
- Salinas TJ, Sheridan PJ, Castellon P, Block MS. Treatment planning for multiunit restorations – The use of diagnostic planning to predict implant and esthetic results in patients with congenitally missing teeth. J Oral Maxillofac Surg 2005;63:45-58.
Články
1. 9. 2025 | Obecná stomatologie
Vzhledem k rostoucímu výskytu rakoviny dutiny ústní hovoří Debbie Herbstová o důležitosti včasné diagnózy. Nádory dutiny ústní (orální karcinomy), mezi které patří nádory rtů, jazyka, gingivy a patra, tonzil a orofaryngu vykazují vzestupnou tendenci.
Články
2. 4. 2025 | Obecná stomatologie
Ku příležitosti konání významné dentální akce, kterou je MYO KONGRES 2025, jsme se rozhodli připomenout tento dříve publikovaný stále aktuální vynikající článek. Problematika čelistního kloubu si zaslouží mnohem větší pozornost, než je jí dosud v běžné praxi věnována.
Články
16. 9. 2024 | Obecná stomatologie
Svetová zdravotnícka organizácia (WHO) nám poukazuje na zdravie ako na kompletne dobrý psychický, fyzický a sociálny stav človeka a nie iba na neprítomnosť ochorenia. Zdravie ústnej dutiny ovplyvňuje celkové zdravie ľudského organizmu...
- Zubní sestra Zubní instrumentářka
- Zubní lékař Hledáme stomatologa - Frýdek-Místek
- Zubní lékař Hledáme zubaře - min. 3 dny v týdnu
- Zubní lékař ZUBNÍ LÉKAŘ/KA - modelace 3D léčebných plánů
- Zubní lékař ORTODONTISTA / ORTODONTISTKA









