Chirurgická léčba gingiválních recesů u ortodontického pacienta
Abstrakt: V posledních desetiletích dochází k rychlému rozvoji mnoha oborů zubního lékařství, z čehož vyplývá potřeba komplexního, interdisciplinárního ošetření pacienta ve spolupráci s lékaři mnoha specializací. Do popředí se dostávají estetická očekávání pacientů i lékařů. Důležitým aspektem je postupné plánování ošetření, jehož cílem je jak zajištění funkčnosti a trvanlivosti zubů, tak dosažení co nejlepšího estetického efektu. Stále častěji je upozorňováno na výhody úzké spolupráce mezi ortodontisty a parodontology. Správně provedená ortodontická léčba často zlepšuje stav mukogingivy a na druhé straně je dobrý stav parodontálních tkání často aspektem určujícím zahájení bezpečné a předvídatelné ortodontické léčby. Následující článek představuje kazuistiku ošetření četných gingiválních recesů ve frontálním úseku, které bylo provedeno před ortodontickou léčbou. Autoři se domnívají, že prezentovaná technika umožňuje dosáhnout uspokojivého estetického efektu při nízké invazivitě zákroku a nepříliš velké zátěži kladené na pacienta.
Klíčová slova: recesy, měkké tkáně, ortodontický pacient, tunelová technika.

Úvod
Pacienti před, v průběhu i po ortodontické léčbě často vyžadují parodontální péči spočívající v mukogingivální terapii, která zahrnuje nechirurgickou léčbu – mj. eliminaci zánětu, popř. provedení chirurgických zákroků pro rozšíření oblasti keratinizované gingivy, korekci abnormálních úponů frenula, reprodukci mezizubní papily nebo překrytí gingiválních recesů. V případě apikální migrace gingiválního okraje ve vztahu k cementosklovinné hranici se jedná o tzv. gingivální reces, který patří mezi nejčastější mukogingivální deformity. Uvádí se, že jejich výskyt u pacientů starších 65 let je až 88 % a u pacientů ve věku 18–64 let je pozorována alespoň jedna oblast s gingiválním recesem [1]. Mezi příčiny gingiválního recesu patří: a) nesprávné postavení zubů v zubním oblouku, malokluze; b) mukogingivální faktory: tenký alveolární biotyp, mělké vestibulum, abnormální úpony frenula; c) kostní faktory: tenký morfotyp; d) ostatní faktory, např. zánět gingivy, traumatická technika čištění, piercing [2]. Pro posouzení prediktability úplného pokrytí kořene se v současné době používá klasifikace podle Caira et al. (2011), která rozlišuje tři typy recesů v závislosti na poměru ztráty vazivových úponů gingivy [3].
Inzerce
Podle Cortelinia a Bissada (2018) by se u pacientů s tenkým fenotypem, kteří netrpí gingiválními recesy, ale u nichž se plánuje ortodontická, implantologická, protetická nebo i konzervativní léčba, kde bude okraj výplně v těsné blízkosti gingiválního žlábku, měl zvážit chirurgický zákrok pro snížení rizika výskytu recesů. V případech, kdy je diagnostikován reces, by mělo být nejprve provedeno podrobné vyšetření, při němž se posoudí výška a šířka recesu, tloušťka gingivy, stav okolních tkání, poloha kořene zubu a přítomnost výplní nebo kariézních i nekariézních cervikálních lézí [1]. Terapeutický postup a zahájení chirurgické léčby je třeba posuzovat individuálně v závislosti na faktorech souvisejících s pacientem a operatérem. Následující kazuistika demonstruje chirurgickou léčbu gingiválních recesů v dolní čelisti pomocí modifikované techniky VISTA (Vestibular Incision Subperiosteal Tunnel Access).
Kazuistika
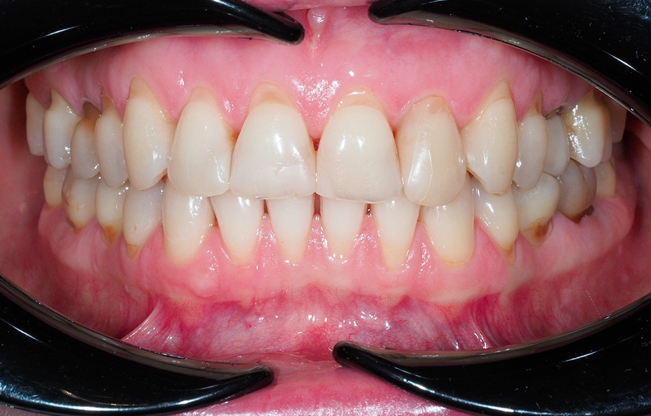
41letá pacientka se dostavila na parodontologickou konzultaci před ortodontickou léčbou. Při vyšetření byl zjištěn tenký fenotyp gingivy, úzká zóna keratinizované gingivy, četné gingivální recesy a doprovodné cervikální defekty nekariézního původu NCCL (obr. 1a, b). V rozhovoru si pacientka stěžovala na silnou přecitlivělost zubů a byla nespokojená s estetikou úsměvu. Pacientka neuvedla výskyt chronických systémových onemocnění ani užívání léků, výskyt alergií nebo jakýchkoli závislostí. Extraorální vyšetření neodhalilo žádnou patologii v kožních vrstvách obličeje. Lymfatické uzliny hlavy a krku nebyly hmatné. Výstupy trigeminálního nervu byly nebolestivé. V oblasti temporomandibulárních kloubů nebyla zjištěna žádná patologie.

Obr. 1a

Obr. 1b

Obr. 2

Obr. 3

Obr. 4

Obr. 5

Obr. 6a

Obr. 6b

Obr. 7
Při intraorálním vyšetření byla sliznice vlhká, růžová, hladká, lesklá. V dolní čelisti v oblasti mezizubních prostorů zubů 42–43 byla pozorována léze 3 × 3 mm, světlerůžově zbarvená, nebolestivá, stopkovitá vzhledu papilomu. Celkový stav chrupu pacientky byl uspokojivý: nebyly pozorovány žádné chybějící zuby, jen několik menších kompozitních výplní, pouze malé množství supragingiválních depozit zubního kamene. Pacientka udržovala dobrou ústní hygienu. Naměřená hloubka gingiválních žlábků nepřesáhla 3 mm. Na základě měření Clinical Attachment Level (CAL) na vestibulárních a interproximálních plochách byly recesy u zubů 33–43 klasifikovány jako RT2 podle Caira. Approximal Plaque Index (API) nepřesáhl 12 % a zánětlivý index vyjádřený hodnocením krvácení při sondáži (BOP) 10 %. Vyšetření indikovalo chirurgickou léčbu recesů.
S pacientkou byly diskutovány možnosti léčby a byla provedena podrobná instruktáž správné techniky čištění zubů. Poté, po konzultaci s ortodontistou a s ohledem na plán ortodontické léčby, bylo rozhodnuto o provedení chirurgického zákroku před ortodontickou léčbou. Na žádost pacientky byla papilomatózní léze odstraněna a odeslána k histopatologickému vyšetření. Dva týdny před operací bylo provedeno odborné čištění depozit zubního kamene. Den před zákrokem pak byl získán písemný souhlas s provedením zákroku. Zákrok byl zahájen odběrem dvou vzorků krve (~9,5 ml), které byly odstředěny pomocí systému Medifuge (Silfradent SRL). Po odstranění frakce červených krvinek (RBC) byly pomocí soupravy PRF Box připraveny membrány s koncentrovaným růstovým faktorem (CGF). Zákrok byl proveden v lokální anestezii s použitím 4% artikainu.
Chirurgický výkon byl zahájen vyhlazením povrchu kořene kyretou Gracey (Hu-Friedy). V další fázi byl proveden malý vertikální řez přes frenulum dolního rtu, apikálně směrem k recesu (obr. 2). Skrze takto vytvořený vstup byl pomocí tunelovacího nože (Keydent) vytvořen supraperiostální tunel z vestibulární strany. V oblasti mezizubní papily byly provedeny sulkulární řezy a poté byl vypreparován lalok v celé tloušťce, který byl rozšířen tak, aby byly pokryty dvě sousední papily na každé straně (obr. 3). Adekvátní mobilizace laloku umožnila jeho koronární posun mimo oblast cementosklovinné hranice (obr. 4). V další fázi byl odebrán štěp pojivové tkáně (CTG). Autogenní tkáň byla odebrána z patra v rozsahu distální strany zubu 14 až meziální strany zubu 16 technikou jedné incize. Patro bylo zajištěno CGF membránou pod chirurgickým přístupovým lalokem a zkříženými matracovými stehy (Atramat Nylon 5-0 CE 12).
Chirurgický výkon byl zahájen vyhlazením povrchu kořene kyretou Gracey (Hu-Friedy). V další fázi byl proveden malý vertikální řez přes frenulum dolního rtu, apikálně směrem k recesu (obr. 2). Skrze takto vytvořený vstup byl pomocí tunelovacího nože (Keydent) vytvořen supraperiostální tunel z vestibulární strany. V oblasti mezizubní papily byly provedeny sulkulární řezy a poté byl vypreparován lalok v celé tloušťce, který byl rozšířen tak, aby byly pokryty dvě sousední papily na každé straně (obr. 3). Adekvátní mobilizace laloku umožnila jeho koronární posun mimo oblast cementosklovinné hranice (obr. 4). V další fázi byl odebrán štěp pojivové tkáně (CTG). Autogenní tkáň byla odebrána z patra v rozsahu distální strany zubu 14 až meziální strany zubu 16 technikou jedné incize. Patro bylo zajištěno CGF membránou pod chirurgickým přístupovým lalokem a zkříženými matracovými stehy (Atramat Nylon 5-0 CE 12).
Následně byl odebraný štěp zaveden do supraperiostálního tunelu. K tomuto účelu byly použity tunelovací nástroje. Štěp byl fixován horizontálními matracovými stehy a vertikální řezy byly uzavřeny uzlovými stehy (knotted sutures) (Seralon Nylon 7-0 DSS 10). Lalok a štěp byly umístěny pomocí smyčkových stehů (sling sutures) (obr. 5). Pro zvýšení množství keratinizované gingivy bylo 1,5 mm štěpu ponecháno volně bez překrytí lalokem.
Po zákroku byla pacientka poučena o pooperační hygieně. Bylo jí doporučeno vyplachovat ústa 0,12% roztokem chlorhexidinu (Paroex GUM), po dobu tří týdnů se vyhýbat čištění zubů v oblasti zákroku a v ostatních oblastech používat ultrajemný kartáček. Kontroly byly prováděny 7. a 14. den po zákroku (obr. 6a, b) a poté po 1 měsíci a 3 měsících (obr. 7). Při prvních kontrolních návštěvách byla provedena mírná hygiena místa po ošetření. Pacientka si nestěžovala na pooperační potíže a výsledek byl pro ni uspokojivý. Další kontrola provedená rok po zákroku prokázala stabilitu krytí recesu.
Diskuze
Současná regenerační parodontální a mukogingivální chirurgie se snaží dosáhnout co nejlepšího estetického efektu při minimálním zásahu do parodontálních tkání. Tradiční makrochirurgický přístup byl nahrazen méně invazivními metodami. Aby bylo minimalizováno poškození tkání v důsledku operace, musí být chirurgický postup řízen zásadami mikrochirurgie. Toho lze dosáhnout použitím mikronástrojů, zvětšením operačního pole díky lupám a chirurgickému mikroskopu, nití o tloušťce 6-0, a mikročepelemi umožňujícími přesnou práci. Další důležitou otázkou je volba vhodné chirurgické techniky. Je nutno hledat a volit techniky, které poskytují předvídatelnost během zákroku i procesu hojení. Cílem je přirozený vzhled, harmonické spojení tkání a absence jizev v pooperační oblasti [4]. V současné době se v chirurgické léčbě gingiválních recesů kromě tradičních metod posunu laloků stále více prosazují tunelové metody a jejich modifikace [5]. Předkládaná kazuistika je modifikací tunelové metody s přístupem přes vestibulární incizi subperiostálním tunelovým přístupem (VISTA). Cílem techniky popsané Zadehem et al. (2011) je získat snadnější přístup do tunelu. Vstup přes oblast gingivální štěrbiny zvyšuje riziko perforace laloku během zákroku [6]. Při výše uvedené technice lze jako místo přístupu k incizi pro preparaci laloku použít frenulum. Systém VISTA navíc umožňuje eliminovat další obtíže spojené s tunelovými technikami používanými k překrytí gingiválních recesů [7]. Distální řez například snižuje možnost poranění gingivy ošetřovaných zubů [4]. Pečlivá subperiostální preparace, která snižuje napětí gingiválního okraje při koronálním posunu a zároveň zachovává anatomickou integritu mezizubní papily, je pro úspěch VISTA klíčová [7].
Příkladem další modifikace je technika laterálně uzavřeného tunelu (LCT – laterally closed tunnel), kterou představili Sculean a Allen (2018). Výsledky studie naznačují, že LCT je účinná a předvídatelná technika při léčbě hlubokých izolovaných gingiválních recesů I., II. a III. třídy podle Millerovy klasifikace [8]. „Pinhole“ chirurgická technika (PST – Pinhole Surgical Technique), kterou popsal Chao (2012), je podobná výše zmíněné technice VISTA. Spočívá v provedení jednoho malého řezu o délce 2–3 mm. K jejímu provedení se používá speciální sada nástrojů bez nutnosti uvolňujících řezů, navíc v některých případech není nutné ani chirurgické šití. Podle autora je tato metoda minimálně invazivní, účinná a předvídatelná a díky použití xeno- a alogenních materiálů zkracuje dobu trvání zákroku [9].
Závěr
Hodnocení účinnosti chirurgické léčby gingiválního recesu pomocí techniky VISTA a jejích modifikací bylo provedeno v mnoha studiích. Studie Chena et al. (2023) porovnávaly účinnost léčby mnohočetných gingiválních recesů typu RT1 pomocí subepiteliálního štěpu pojivové tkáně (SCTG – subepithelial connective tissue graft) v kombinaci s technikou VISTA (VISTA + SCTG) nebo tunelovou technikou (Tunnel + SCTG). Po 12 měsících bylo průměrné krytí kořene (MRC – mean root coverage) vyhodnoceno na 91,13 ± 16,96 % u skupiny VISTA + SCTG a 91,40 ± 13,53 % u skupiny Tunnel + SCTG. Úplné pokrytí kořenů (CRC – complete root coverage) bylo 70,97 % u skupiny VISTA + SCTG a 67,86 % u skupiny Tunnel + SCTG, přičemž mezi oběma skupinami nebyl významný rozdíl. Estetické skóre kořenového krytí bylo vysoké u obou skupin (8,52 ± 1,46 pro VISTA + SCTG a 8,82 ± 1,44 pro Tunnel + SCTG), nicméně ve skupině Tunnel + SCTG bylo pozorováno méně jizev [10]. Studie Mansouriho a kol (2019) hodnotila účinnost chirurgické léčby jednotlivých gingiválních recesů pomocí technik VISTA + SCTG a CAF (coronally advanced flap) + SCTG. Po 3 a 6 měsících nebyly pozorovány žádné statisticky významné rozdíly mezi VISTA a CAF z hlediska krytí kořene. Průměrné krytí kořenů (MRC) bylo 70,69 % u VISTA + SCTG a 67,22 % u CAF + SCTG. Skupina VISTA + SCTG však častěji dosáhla úplného krytí kořenů (CRC) ve srovnání s CAF + SCTG: 50 % vs. 33 % [11]. Zuchelli et al. (2009) zase hodnotili účinnost léčby vícenásobného gingiválního recesu RT1 pomocí koronárního posunu laloku technikou coronally advanced flap (CAF) a bez preparace laloku technikou envelope flap.
Po 12 měsících se obě techniky ukázaly jako účinné při zmenšování rozsahu recese, nicméně vyšší četnost dosažení úplného krytí kořene (CRC) a větší růst keratinizované gingivy na vestibulárním povrchu byl pozorován u techniky „envelope flap“ bez koronárního laloku. Tvorba jizev podél uvolňovacích řezů ve skupině CAF negativně ovlivnila estetický výsledek [12]. Úspěch léčby závisí na faktorech souvisejících s pacientem i operatérem. A terapeutického úspěchu je dosaženo, když jsou splněny jak medicínské, tak estetické požadavky. Vývoj parodontální chirurgie vede ke vzniku nových technik a k modifikacím těch stávajících. Cílem tohoto vývoje je zdokonalit a zjednodušit chirurgické postupy tak, aby bylo dosaženo co nejlepších výsledků v daném klinickém případě. Cílem této kazuistiky je uvést příklad modifikace techniky VISTA při léčbě frontálních recesů. Podle autorů poskytuje dobrý estetický efekt s relativně malou zátěží kladenou na pacienta a lze ji úspěšně použít pro chirurgickou léčbu gingiválních recesů. Pro úplné zhodnocení jsou však nutné další studie provedené na velké skupině pacientů.
Buďte v obraze
Chcete mít pravidelný přehled o nových článcích na tomto webu, akcích a dalších novinkách? Přihlaste se k odběru newsletteru.
Odesláním souhlasíte s našimi zásadami zpracování osobních údajů.
- Cortellini P, Bissada NF. Mucogingival conditions in the natural dentition: Narrative review, case definitions, and diagnostic considerations. J Periodontol. 2018 Jun;89 Suppl 1:S204-S213.
- Patel M, Nixon PJ, Chan MF. Gingival recession: Part 1. Aetiology and non-surgical management. Br Dent J. 2011 Sep 23;211(6):251-4.
- Cairo F, Nieri M, Cincinelli S, Mervelt J, Pagliaro U. The interproximal clinical attachment level to classify gingival recessions and predict root coverage outcomes:an explorative and reliability study. J Clin Periodontol. 2011 Jul;38(7):661-6.
- Zuhr O., Hürzeler M., Hürzeler B. i wsp. Plastic-esthetic periodontal and implant surgery: a microsurgical approach. London: Quintessence; 2012
- Zabalegui I, Sicilia A, Cambra J, Gil J, Sanz M. Treatment of multiple adjacent gingival recessions with the tunnel subepithelial connective tissue graft: a clinical report. Int J Periodontics Restorative Dent. 1999;19(2):199-206.
- Zadeh HH. Minimally invasive treatment of maxillary anterior gingival recession defects by vestibular incision subperiosteal tunnel access and platelet-derived growth factor BB. Int J Periodontics Restorative Dent. 2011 Nov-Dec;31(6):653-60.
- Hegde S, Madhurkar JG, Kashyap R, Kumar MSA, Boloor V. Comparative evaluation of vestibular incision subperiosteal tunnel access with platelet-rich fibrin and connective tissue graft in the management of multiple gingival recession defects: A randomized clinical study. J Indian Soc Periodontol. 2021 May-Jun;25(3):228-236.
- Sculean A, Allen EP. The Laterally Closed Tunnel for the Treatment of Deep Isolated Mandibular Recessions: Surgical Technique and a Report of 24 Cases. Int J Periodontics Restorative Dent. 2018;38(4):479-487.
- Chao JC. A novel approach to root coverage: the pinhole surgical technique. Int J Periodontics Restorative Dent. 2012 Oct;32(5):521-31.
- Chen Z, Zhong J, Xie Y, Fan K, Zhou S, Ouyang X. Does vestibular incision improve the outcomes of vestibular incision subperiosteal tunnel technique: A randomized clinical trial for treatment of multiple adjacent type 1 gingival recession. J Esthet Restor Dent. 2023 Apr 20.
- Mansouri SS, Moghaddas O, Torabi N, Ghafari K. Vestibular incisional subperiosteal tunnel access versus coronally advanced flap with connective tissue graft for root coverage of Miller's class I and II gingival recession: A randomized clinical trial. J Adv Periodontol Implant Dent. 2019 Aug 31;11(1):12-20.
- Zucchelli G. Coronally advanced flap with and without vertical releasing incisions for the treatment of multiple gingival recessions: a comparative controlled randomized clinical trial. J Periodontol. 2009 Jul;80(7):1083–94.
Články
5. 11. 2025 | Obecná stomatologie
Výplně, respektive kompozity využívám v případech rozsáhlých či klinicky významných infundibulárních kazů, které se vyskytují na trvalých maxilárních premolárech a molárech tvořících dentici koní.
Články
27. 11. 2025 | Obecná stomatologie
Autoři článku diskutují o významu remineralizace a demineralizace v procesu vzniku zubního kazu.
Články
16. 2. 2024 | Obecná stomatologie
Redakční úvod obsahující vysvětlení, proč jsme se rozhodli tento obsáhlý materiál...
- Zubní lékař Zubní lékař
- Zubní lékař Zubní lékař/ka Rajhrad u Brna
- Dentální hygienistka Hledáme dentální hygienistku – Kamberk
- Zubní lékař ORTODONTISTA/KA - komplexní zaučení do systému Invisalign
- Zubní lékař ZUBNÍ CHIRURGIE







