Endodoncie
Dr. Dani Meyerson, BSc, DDS, MSc, FRCDC, Dip. Endo.
Vyžadují všechny prasklé zuby ošetření kořenových kanálků? Jak brzy po endodontickém ošetření by měl prasklý zub dostat korunkovou rekonstrukci? Jak lze předpovědět prognózu prasklého zubu? To jsou otázky, které často slýchám od přátel i kolegů.
PR, Dentsply Sirona
S tradicí přesahující 150 let ve stomatologii klade Dentsply Sirona důvěru do středu své endodontické nabídky a akcentuje vývoj opřený o vědecké poznatky, přísné kontroly kvality a řadu technologických prvenství.
Dr. Arnaldo Castellucci
Termín chirurgická endodoncie označuje obor stomatologie, který se zabývá diagnostikou a léčbou lézí endodontického původu, jež nedostatečně reagují na konvenční endodontické ošetření nebo je nelze konvenční cestou ošetřit vůbec.¹ Cílem chirurgické endodoncie je dosažení trojrozměrného vyčištění, opracování a zaplnění apikální části kořenového kanálkového systému, která není přístupná běžným ortográdním přístupem dřeňovou dutinou, ale pouze po odklopení chirurgického laloku (obr. 1.1).
Dr. Lauren Kuhn Nuth
Úspěšnost nechirurgického ošetření kořenových kanálků je vysoká; nicméně nedostatečné zaplnění a utěsnění anatomických složitostí zásadně ovlivňuje dlouhodobý úspěch endodontické léčby.
Elias Jean-Jacques Khoury | Tristan Hampe, Fouad Khoury
Aspergilóza je nejčastější příčinou oportunních mykotických infekcí u imunokompromitovaných jedinců a může být klasifikována jako invazivní nebo neinvazivní.
PR, Dentsply Sirona
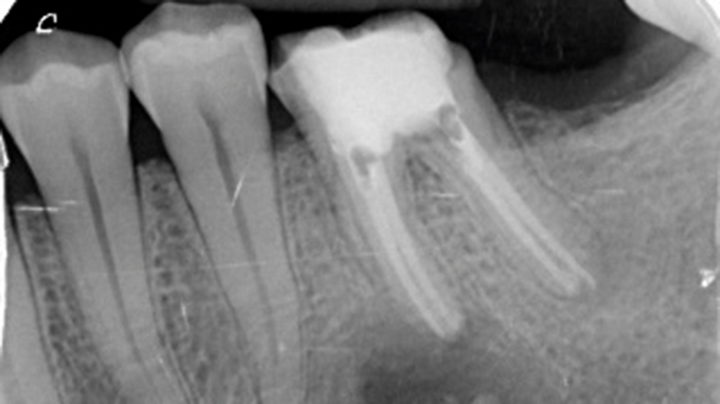
Přesná lokalizace apexu kořenového kanálku a správné určení pracovní délky jsou klíčovými faktory pro úspěšné endodontické ošetření. Evropská společnost endodontistů (ESE) a Americká asociace endodontistů (AAE) doporučují použití apexlokátoru v kombinaci s ověřovacími rentgenovými snímky [1, 2].
Dr. Philippe Sleiman, Libanon
Jako zubní lékaři často čelíme nutnosti revidovat ošetření kořenových kanálků kvůli problémům, jako je například netěsnost výplně nebo neadekvátní předchozí léčba. Náš imunitní systém naštěstí hraje zásadní roli při udržování křehké bakteriální rovnováhy bojem proti bakteriální agresi...
Dr. Friederike Listander
Orifice opener, glide path, shaping a finishing nástroj – pro konvenční endodontické ošetření často postačuje kompaktní systém nikltitanových (NiTi) nástrojů k dosažení reprodukovatelných výsledků...
Prof. Eugenio Pedullà, Itálie
Mechanická preparace kořenových kanálků pomocí nikltitanových (NiTi) nástrojů aktivovaných endodontickými...
Česká endodontická společnost
Doporučení přístupu, provedení a hodnocení Představení doporučeného postupu RCHE
Dr. Thomas Rieger, Německo
V endodoncii jsou rutinní případy bohužel spíše jen výjimkou a vytvoření optimální přístupové kavity do kořenového...
Dr. Antonio Fernando Herrera de Luna
Apikální periodontitida může být...
Sonia Chopra, DDS
Po více než dekádě praxe v oboru endodoncie jsem slyšela mnoho endodontických mýtů, kterým...




































