Implantologická rehabilitace u pacientů s aspergilovou sinusitidou: retrospektivní studie 10 po sobě jdoucích pacientů s až desetiletým sledováním
Úvod a cíl studie:
Aspergilóza je nejčastější příčinou oportunních mykotických infekcí u imunokompromitovaných jedinců a může být klasifikována jako invazivní nebo neinvazivní. Toto mykotické onemocnění, způsobené houbou Aspergillus, postihuje převážně dýchací systém, včetně plic a maxilárního sinu. Spory aspergila mohou vstoupit do maxilárního sinu přes ostiomeatální komplex nebo oroantrální píštěl, často v souvislosti se stomatologickými zákroky.

Významnou komplikací endodontického ošetření zubů v oblasti antra je sinusitida aspergilová. Přetlačení cizorodého materiálu, jako je zinkoxid-eugenolový cement, do sinu může usnadnit vznik mykotické infekce. Typicky se aspergilóza v maxilárním sinu projevuje jako neinvazivní forma. Klinické symptomy aspergilózy se liší podle imunitního stavu pacienta a přítomnosti tkáňového poškození. Předpokládá se, že právě poškození tkáně činí sinus náchylnějším k infekci, což vede k lokalizované bolesti, citlivosti a nazálnímu výtoku. Ve většině případů má onemocnění asymptomatický průběh a bývá zachyceno náhodně, například při zhotovení panoramatického snímku (1–5).
Cílem této retrospektivní studie u 10 pacientů s až desetiletým sledováním je navrhnout léčebný protokol pro efektivní zvládání těžké aspergilózy maxilárního sinu v kombinaci s vertikálním kostním defektem a protetická rekonstrukce za použití dentálních implantátů po augmentačních kostních výkonech.
Metody a materiál
Do studie bylo zařazeno 10 pacientů s aspergilózou maxilárního sinu. U všech pacientů byl na panoramatických snímcích i na CBCT patrný radiopakní stín. CBCT navíc ukázalo, že čelistní dutina byla kompletně vyplněna homogenní patologickou masou. Chirurgická léčba sinu byla provedena za antibiotické profylaxe (Amoxicillin 2 g/den po dobu 7 dní) a intravenózní sedace (Midazolam). Kostní okénko bylo vytvořeno mikropilkou (DENTSPLY Implants), umožnilo bezpečný přístup do sinu. Po odklopení separovaného kostního fragmentu byla aspergilóza spolu s cizorodým materiálem kompletně odstraněna a dutina vypláchnuta peroxidem vodíku (H₂O₂ 3 %). Pro dodatečnou dezinfekci byla použita fotodynamická dekontaminace laserem HELBO (HELBO, Bredent Medical GmbH). Na závěr zákroku byla kostěná lamela vrácena zpět jako biologický uzávěr sinu a fixována resorbovatelnými stehy. Histopatologické vyšetření ve všech případech potvrdilo infekci aspergilózou. Po třech měsících, kdy CBCT potvrdilo nepřítomnost sinusové patologie a průchodné ostium, byla provedena augmentace kosti. Kostní bloky byly odebrány z retromolárové oblasti mandibuly a přeneseny ve 3D konfiguraci podle split-bone block techniky v kombinaci se sinus liftem. Sinus byl augmentován autologní kostí a biomateriálem (FRIOS Algipore®, DENTSPLY Implants) vrstvenou technikou. Po dalších třech měsících byly do augmentované oblasti zavedeny implantáty. O další tři měsíce později byly implantáty odhaleny a následně byla zhotovena definitivní protetická náhrada.“
Výsledky
U všech 10 pacientů proběhla chirurgická léčba aspergilózy bez komplikací, což umožnilo provedení následných augmentačních výkonů. Všechny kostní a sinusové štěpy se zhojily bez obtíží. Do augmentované oblasti bylo tři měsíce po operaci úspěšně zavedeno celkem 26 implantátů, které byly proteticky ošetřeny podle stanoveného protokolu. Pacienti dodržovali přísný šestiměsíční recall systém a byli průběžně sledováni až 10 let, v průměru po dobu 78 měsíců. Implantáty vykazovaly dobrý stav, hloubka sondáže nepřesáhla 4 mm. Pooperační radiologické snímky neprokázaly žádné známky další sinusové infekce.

Obr. 1: CBCT: radiopakní stín v levém maxilárním sinu.

Obr. 2: Vytvoření kostního okénka mikropilkou včetně perforací pro fixaci resorbovatelnými stehy.

Obr. 3: Po vyjmutí kostěné lamely byla patrná zelenošedá masa; histologie potvrdila aspergilom.

Obr. 4: Po debridementu provedena fotodynamická dekontaminace laserem HELBO.

Obr. 5: Kostní víčko bylo znovu umístěno a původní implantáty odstraněny pro pokročilou periimplantitidu.

Obr. 6: CBCT po 10 letech od augmentace a zavedení implantátů ukazuje oblast bez recidivy.

Obr. 7: CBCT: částečné zastínění pravého maxilárního sinu po neúspěšném sinus liftu s bovinním kostním náhradním materiálem.

Obr. 8: Po odklopení kostní lamely patrná zelenošedá masa vyplňující velkou část lumen antra.

Obr. 9: Po odklopení kostní lamely patrná zelenošedá masa vyplňující velkou část lumen antra.

Obr. 10: Po vyčištění a dezinfekci byl kostní kryt znovu umístěn a fixován stehy 6-0.

Obr. 11: Dva měsíce po výkonu, na CBCT snímku je vidět volný sinus s širokým přirozeným ústím.

Obr. 12: Po získání kostěného štěpu z pravé mandibuly byla provedena trojrozměrná augmentace maxily pomocí jediné vertikální incize (tunelová technika).

Obr. 13: Panoramatický snímek ukazuje úspěšnou vertikální augmentaci až na výšku alveolární kosti sousedních zubů.

Obr. 14: Tři měsíce po augmentaci byly úspěšně zavedeny dva implantáty.

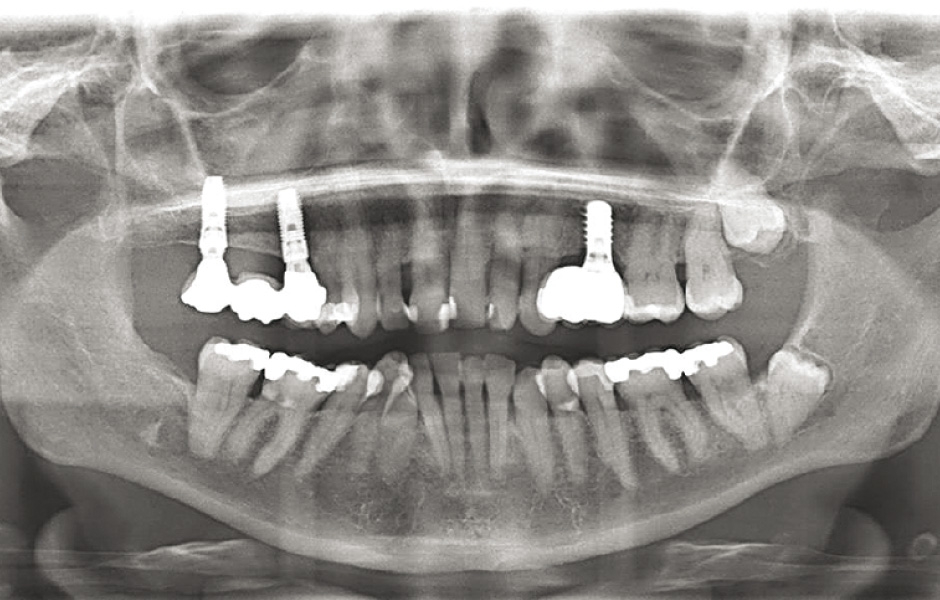
Obr. 15: Panoramatický snímek po 5 letech: implantáty proteticky ošetřeny, oblast stabilní.
Závěr
Různé stomatologické výkony v oblasti maxilárního sinu mohou vést k mykotickému zánětu, který má podobné znaky jako jiné sinusové infekce. Představený koncept ukázal možnost úspěšné implantologické rehabilitace u pacientů trpících aspergilovou sinusitidou. Na základě této studie a nedávných zjištění o vysoké prevalenci sinusových patologií u pacientů vyžadujících sinus lift doporučují autoři systematicky provádět CBCT vyšetření před každou augmentací maxilárního antra (6).
Buďte v obraze
Chcete mít pravidelný přehled o nových článcích na tomto webu, akcích a dalších novinkách? Přihlaste se k odběru newsletteru.
Odesláním souhlasíte s našimi zásadami zpracování osobních údajů.
- Guivarch M, Ordioni U, Catherine JH, Campana F, Camps J, Bukiet F. Implications of endodontic-related sinus aspergillosis in a patient treated by infliximab: a case report. J Endod. 2015 Jan;41(1):125-9.
- Denning DW. Invasive aspergillosis. Clinical infectious diseases: an official publication of the Infectious Diseases Society of America 1998;26:781-803; quiz 804-785.
- Hora JF. Primary Aspergillosis of the Paranasal Sinuses and Associated Areas. Laryngoscope 1965;75:768-773.
- Costa F, Polini F, Zerman N, Robiony M, Toro C, Politi M. Surgical treatment of Aspergillus mycetomas of the maxillary sinus:review of the literature. Oral Surg Oral Med Oral Pathol Oral Radiol Endod. 2007 Jun;103(6):e23-9. doi: 10.1016/j.tripleo. 2006.12.015. Epub 2007 Apr 20. PMID: 17449289.
- Khoury F. Bone and soft tissue augmentation in implantology / Berlin : Quintessence Publishing 2022.
- Hampe T., Khoury E., Khoury F., Prevalence of pathological findings in the maxillary sinus in patients requiring sinus floor elevation. 29.11.2024 [poster at annual DGI event in Dresden, Germany]
Články
7. 11. 2025 | Zprávy z firem
Přesná lokalizace apexu kořenového kanálku a správné určení pracovní délky jsou klíčovými faktory pro úspěšné endodontické ošetření. Evropská společnost endodontistů (ESE) a Americká asociace endodontistů (AAE) doporučují použití apexlokátoru v kombinaci s ověřovacími rentgenovými snímky [1, 2].
Články
14. 11. 2025 | Implantologie
Moderní stomatologie prochází technologickou revolucí, kterou pohání integrace pokročilých digitálních nástrojů v diagnostice, plánování a léčbě. Mezi nimi se počítačem řízená implantologie stala základním pilířem, zejména u složitých výkonů, jako jsou estetické rekonstrukce a celková rehabilitace čelistního oblouku.
Články
1. 12. 2025 | Implantologie
Aspergilóza je nejčastější příčinou oportunních mykotických infekcí u imunokompromitovaných jedinců a může být klasifikována jako invazivní nebo neinvazivní.
Fatal error: Uncaught Error: Call to undefined function mysql_query() in /www/doc/www.dentalchoice.cz/www/api/dental-choice.php:29 Stack trace: #0 {main} thrown in /www/doc/www.dentalchoice.cz/www/api/dental-choice.php on line 29
Fatal error: Uncaught Error: Call to undefined function mysql_query() in /www/doc/www.dentalmarket.cz/www/api/dental-market.php:29 Stack trace: #0 {main} thrown in /www/doc/www.dentalmarket.cz/www/api/dental-market.php on line 29







