Druhá šance – reendodoncie
Jako zubní lékaři často čelíme nutnosti revidovat ošetření kořenových kanálků kvůli problémům, jako je například netěsnost výplně nebo neadekvátní předchozí léčba. Náš imunitní systém naštěstí hraje zásadní roli při udržování křehké bakteriální rovnováhy bojem proti bakteriální agresi. Někdy zůstává tato rovnováha nenarušena, bakteriální aktivita je omezena na apikální oblast a nejsou patrny žádné příznaky. Pokles naší imunitní reakce nebo zásahy do struktur endodonticky ošetřeného zubu novými výplněmi či korunkovými náhradami však mohou tuto rovnováhu narušit a vést k patologickým klinickým projevům.
Ukázka obrázků


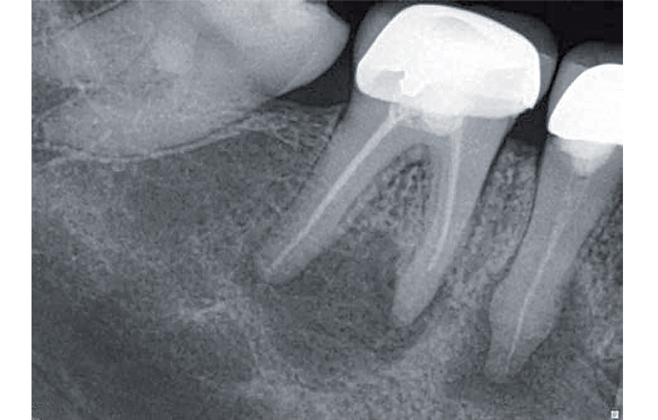
Reendodoncie představuje různé výzvy v závislosti na faktorech, jako je kvalita původního ošetření, materiály použité k obturaci, přítomnost nerovností nebo zalomených nástrojů v kanálku, složitá anatomie kořenových kanálků, nutnost odstranění kovových či kompozitních čepů ad. Při přistoupení k reendodontickému ošetření je užitečné rozdělit postup do fází a systematicky řešit jednotlivé problémy od koronární části směrem k apexu. Postupné odstraňování jednotlivých překážek umožňuje efektivní zvládnutí celého procesu a dosažení požadovaného výsledku.
Pokud je přítomen kovový nebo kompozitní čep, je třeba pečlivě zvážit zbývající tloušťku dentinových stěn. Ultrazvukové nástroje jsou neocenitelné při odstraňování tvrdých materiálů a ve vysoce rizikových scénářích může být opodstatněna mikrochirurgická operace.
V tomto článku se zaměřím na zjednodušenou techniku odstraňování gutaperči s využitím nikltitanových rotačních nástrojů a demonstruji postup na klinických případech. Budu se také zabývat omezeními prezentované techniky a situacemi, kdy je nutno využít alternativní postupy s ohledem na specifické překážky.
Buďte v obraze
Chcete mít pravidelný přehled o nových článcích na tomto webu, akcích a dalších novinkách? Přihlaste se k odběru newsletteru.
Odesláním souhlasíte s našimi zásadami zpracování osobních údajů.
K reendodontickému ošetření používám nástroje Traverse a ZenFlex (Kerr Dental). Konkrétně orifice opener Traverse 25/.08 o délce 17 mm spolu s nástroji ZenFlex 35/.06, 30/.06 a 25/.06 (obr. 1). Tyto nástroje se vyznačují jedinečnou variabilní tepelnou úpravou, ostrými břity a speciálním designem drážek, díky čemuž jsou ideální jak pro prvotní endodontické zákroky, tak pro reendodoncii.
Předplaťte si StomaTeam ONLINE a získejte neomezený přístup ke kompletnímu obsahu StomaTeamu.
objednat předplatné
Články
31. 10. 2024 | Endodoncie
Jako zubní lékaři často čelíme nutnosti revidovat ošetření kořenových kanálků kvůli problémům, jako je například netěsnost výplně nebo neadekvátní předchozí léčba. Náš imunitní systém naštěstí hraje zásadní roli při udržování křehké bakteriální rovnováhy bojem proti bakteriální agresi...
Články
10. 10. 2024 | Endodoncie
Orifice opener, glide path, shaping a finishing nástroj – pro konvenční endodontické ošetření často postačuje kompaktní systém nikltitanových (NiTi) nástrojů k dosažení reprodukovatelných výsledků...







