Mikrochirurgická endodoncie – klíčová dovednost každého endodontisty
Termín chirurgická endodoncie označuje obor stomatologie, který se zabývá diagnostikou a léčbou lézí endodontického původu, jež nedostatečně reagují na konvenční endodontické ošetření nebo je nelze konvenční cestou ošetřit vůbec.¹ Cílem chirurgické endodoncie je dosažení trojrozměrného vyčištění, opracování a zaplnění apikální části kořenového kanálkového systému, která není přístupná běžným ortográdním přístupem dřeňovou dutinou, ale pouze po odklopení chirurgického laloku (obr. 1.1 níže ve fotogalerii).

Z tohoto důvodu je vhodnější používat termín chirurgická endodoncie než endodontická chirurgie, protože zákrok by měl být plánován a prováděn jako endodontické ošetření uskutečněné chirurgickým přístupem, nikoli jako chirurgický výkon provedený z endodontických důvodů. Nejde tedy pouze o odstranění granulomu či cysty a apexu, ale o cílené retrográdní endodontické ošetření.
Tento výkon by měl provádět endodontista, nikoli čelistní chirurg, a to z jednoduchého důvodu: nikdo nezná anatomii kořenových kanálků lépe než endodontista a nikdo nemá takové manuální dovednosti, vybavení a materiálové zázemí jako právě on. V současné době je navíc periapikální chirurgie neoddělitelně spjata s použitím operačního mikroskopu, a proto je přesnější hovořit o mikrochirurgické endodoncii. Celý výkon je prováděn při vysokém zvětšení a koaxiálním osvětlení a představuje endodontické ošetření provedené chirurgickým přístupem.
Tento typ chirurgie by měl ovládat každý endodontista, protože se nezřídka dostane do situace, kdy ošetření a záchranu zubů lze uspokojivě provést pouze chirurgickým přístupem, případně do situací, kdy by nechirurgický přístup byl neadekvátně časově náročný a s nejistým výsledkem.
Při nechirurgickém ošetření selhávajícího re/endodontického ošetření dochází k nutnosti vícečetných návštěv – obejití schůdku či odstranění zalomeného nástroje často vyžaduje více času, než bylo původně plánováno. K dokončení léčby je mnohdy nutné odstranit původní výplň, korunku nebo čep, což následně znamená výrobu nové korunky, nového čepu a nové protetické práce. Celková cena ošetření je tak pro pacienta výrazně vyšší ve srovnání s jednou návštěvou mikrochirurgického výkonu.
Chirurgická terapie je tedy rychlejší, předvídatelnější a ekonomicky výhodnější ve srovnání s nechirurgickým reendodontickým ošetřením.
Obrázky ve fotogalerii níže:
Obr. 1.1 až 1.6 – Případ č. 1
Obr. 2.1 až 2.9 – Případ č. 2
Obr. 4.1 až 4.7 – Případ č. 4
Pokud byl zub endodonticky ošetřen, ale přetrvávají symptomy a pacient si přeje zub zachovat, je nutné zvážit reendodontické ošetření. Existují dvě možnosti: nechirurgický reendodontický přístup skrze trepanační otvor nebo chirurgický přístup s přímým přístupem ke kořenovým hrotům a periapikální patologii.
Rozhodnutí, zda zvolit chirurgický či nechirurgický přístup, může být náročné a musí vycházet z individuálního zhodnocení každého případu. Současné studie ukazují, že pokud se původní endodontické ošetření jeví jako kvalitně provedené, úspěšnost nechirurgického reendodontického ošetření výrazně klesá, a v takovém případě je apikální chirurgie často metodou volby a mikrochirurgický přístup je preferovanou alternativou k nechirurgickému reendodontickému ošetření, extrakci nebo implantaci.
Implantáty jsou zázrakem moderní stomatologie, avšak jejich nadbytečné indikování může mít pro pacienty katastrofální následky.

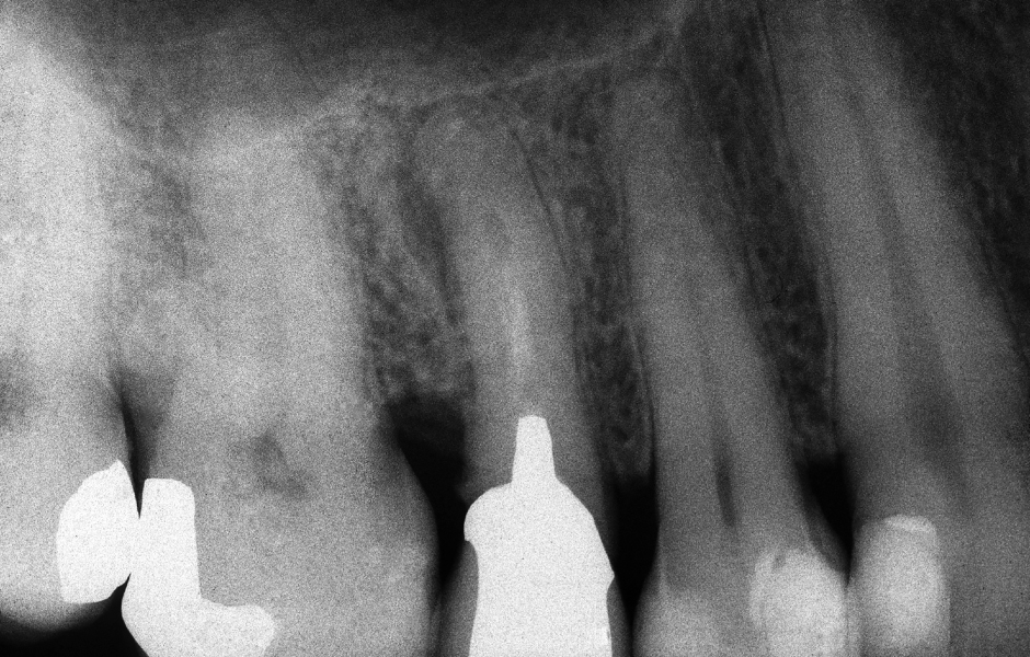
Obr. 1.1: Předoperační rentgenový snímek horního pravého středního řezáku.

Obr. 1.2: Submarginální incize.

Obr. 1.3: Retrográdní výplň bílým MTA.

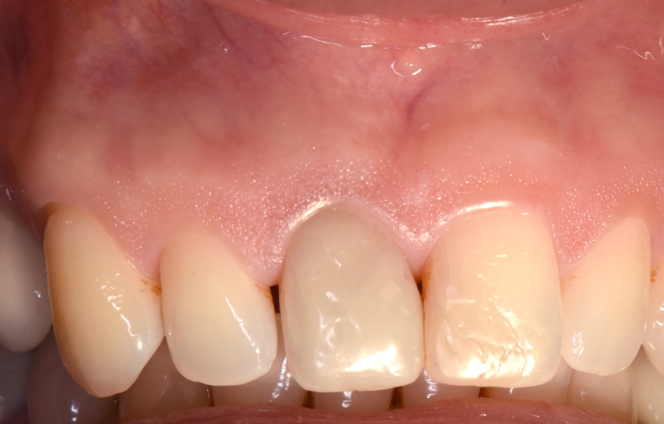
Obr. 1.5: Odstranění sutur po 48 hodinách a kontrola po třech letech – kompletní absence jizvy.

Obr. 1.6: Kontrola po třech letech.

Obr. 2.1: Předoperační rentgenový snímek horního pravého druhého moláru. Je patrná drobná laterální radiolucence indikující přítomnost laterálního kanálku.

Obr. 2.4: Zavedení sondy do ústí laterálního kanálku odpovědného za laterální lézi.

Obr. 2.5: Ultrazvukový nástroj při preparaci dutiny v hlavním kořenovém kanálku.

Obr. 2.6: Zavádění retrográdního výplňového materiálu do apikální preparace.

Obr. 2.7: Apikální i laterální preparace vyplněny bílým MTA.

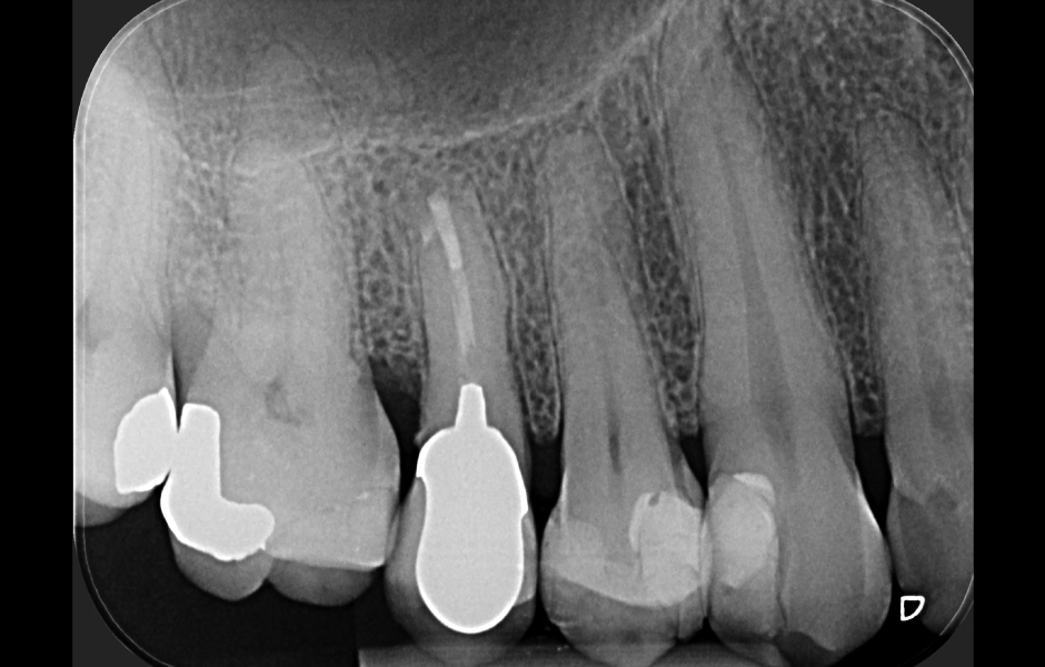
Obr. 2.8: Pooperační rentgenový snímek zobrazující obě retrográdní výplně.

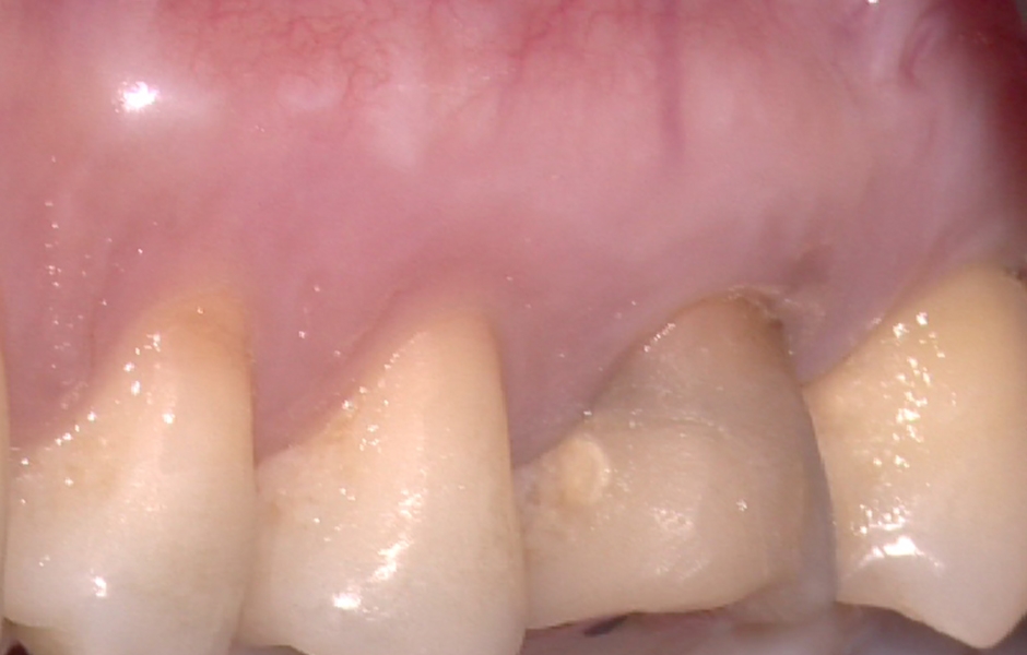
Obr. 2.9: Kontrola po třech letech s kompletním zhojením obou lézí.

Obr. 4.1: Předoperační snímek horního levého prvního moláru. Oba kanálky mesiobukálního kořene byly kompletně kalcifikované a nebylo možné je ortográdně zprůchodnit.

Obr. 4.2: Submarginální lalok.

Obr. 4.3: Retrográdní výplň MB1, MB2 a isthmu.

Obr. 4.4: Pooperační rentgenový snímek zobrazující retrográdní výplň z bílého MTA.

Obr. 4.6: Kontrola po třech letech se zhojením léze.

Obr. 4.7: Odstranění sutur po 48 hodinách a kontrola po třech letech prokazující kompletní absenci jizvy.
Nyní se zaměřme na jednotlivé kroky mikrochirurgického výkonu.
Nejprve je nutné podání lokální anestezie obsahující adrenalin v koncentraci 1 : 50 000, což je conditio sine qua non pro dosažení nejen dostatečného znecitlivění, ale především pro efektivní vazokonstrikci. Pravděpodobně nejdůležitějším aspektem celého výkonu je dokonalá viditelnost, jejímž „tajemstvím“ je právě kvalitní vazokonstrikce.
Pro incizi měkkých tkání používáme mikrochirurgickou čepel a elevace i retrakce laloku musí být maximálně šetrná. Veškerý pooperační diskomfort pacienta je úměrný tomu, jak jemně operatér s chirurgickým lalokem zachází.
Kostní okénko a seříznutí apexu kořene se provádí vysokorychlostním násadcem a speciálními vrtáčky či piezokoncovkami, aby bylo možné následně provést ultrazvukovou preparaci apikálních 3 mm kořenového kanálku, které jsou poté zaplněny biokompatibilním materiálem – MTA.
Po pořízení pooperačního rentgenového snímku je operatér připraven uvolnit a reponovat lalok a provést suturu, opět za použití operačního mikroskopu. Lalok se vrací do své původní polohy, hojení probíhá per primam intentionem a konečným výsledkem je chirurgický zákrok bez tvorby jizevnaté tkáně.
Stehy se odstraňují po 24–48 hodinách a poté je pacient pozván na recall každých 6 měsíců po dobu dvou let, aby bylo možné hodnotit a dokumentovat kvalitu hojení, které se vyskytuje ve velmi vysokém procentu případů – téměř 100 %.
Závěrem je třeba říci, že mikrochirurgická endodoncie by neměla být považována za poslední možnost. Měla by být nedílnou součástí léčebných protokolů reendodontického ošetření.² Je indikována všude tam, kde je cílem zachovat vlastní zub, protože představuje vysoce prediktabilní metodu eliminace příčin přetrvávajících periapikálních patologií, a při správném provedení s minimálním pooperačním diskomfortem.
Buďte v obraze
Chcete mít pravidelný přehled o nových článcích na tomto webu, akcích a dalších novinkách? Přihlaste se k odběru newsletteru.
Odesláním souhlasíte s našimi zásadami zpracování osobních údajů.
1. Friedman, S., Stabholz,: A. Endodontic retreatment—case selection and technique. Part 1: criteria for case selection. J Endod. 1986;12:28–33.
2. Kim S, Kratchman S. Modern endodontic surgery concepts and practice: a review. J Endod. 2006;32(7):601-623.
3. Iqbal M, Kratchman S, Guess G, Karabucakl K, Kim S. Microscopic periradicular surgery: perioperative predictors for postoperative clinical outcomes and quality of life assessment. J Endod. 2007;33:239-244.
4. PenarrochaM, Barcia B, Mart E, Balaguer J. Pain and inflammation after periapical surgery in 60 patients. J Oral Maxillofac Surg. 2006;64:429-433.
5. AAE Colleagues for Excellence. Contemporary endodontic microsurgery: procedural advancements and treatment planning considerations. Fall 2010.
6. Torabinejad M, Corr R, Handysides R, Shabahang S. Outcomes of nonsurgical retreatments and endodontic surgery. A shystematic review. J Endod. 2009;35:930-937.
7. De Chevigny C, Dao T, Basrani B, Marquis V, Farzaneh M, Abitbol S, Friedman S. Treatment outcome in endodontics: the Toronto study – Phases 3 and 4: orthograde retreatment. J Endod. 2008;34:131-137.
Články
27. 1. 2026 | Endodoncie
S tradicí přesahující 150 let ve stomatologii klade Dentsply Sirona důvěru do středu své endodontické nabídky a akcentuje vývoj opřený o vědecké poznatky, přísné kontroly kvality a řadu technologických prvenství.
Články
26. 3. 2026 | Endodoncie
Vyžadují všechny prasklé zuby ošetření kořenových kanálků? Jak brzy po endodontickém ošetření by měl prasklý zub dostat korunkovou rekonstrukci? Jak lze předpovědět prognózu prasklého zubu? To jsou otázky, které často slýchám od přátel i kolegů.
Články
15. 12. 2025 | Endodoncie
Úspěšnost nechirurgického ošetření kořenových kanálků je vysoká; nicméně nedostatečné zaplnění a utěsnění anatomických složitostí zásadně ovlivňuje dlouhodobý úspěch endodontické léčby.





