Multifunkční estetická skusová dlaha
„Mock-up made by CAD/CAM“
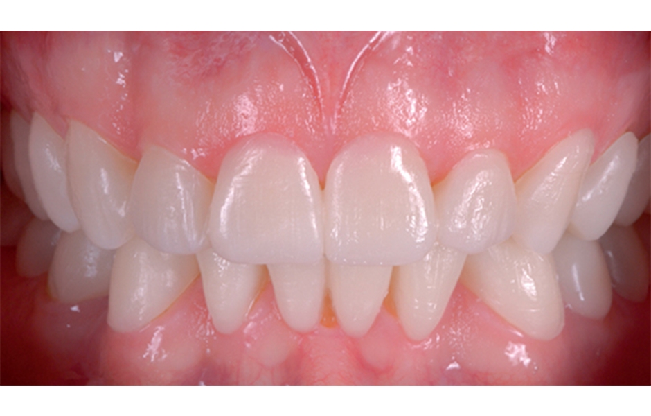
Počáteční situace: 42letý pacient trpí závažnou formou bruxismu. Sklovina a dentin jsou silně abradované v celém chrupu, ve frontálním úseku se zuby částečně odlámaly. Kvůli tlaku způsobovanému bruxismem se zmenšil vertikální rozměr zubů, díky čemuž vznikla dysfunkční okluze. Struktura zubů nevykazovala žádné další patologické anomálie.

Způsob řešení: Ze všeho nejdříve byla naplánována estetická skusová dlaha, která by stabilizovala okluzi. Skusová dlaha by měla kombinovat několik aspektů: kromě úlevy pro žvýkací svaly dané eliminací rušivých kontaktů by měla skusová dlaha také pomoci určit novou okluzi a pomoci pacientovi si na ni zvyknout. Protože pacient trpěl kvůli špatné estetice zubů, chtěl rovněž estetické řešení, které také posloužilo jako šablona pro definitivní náhradu. Byly zaznamenány intraorální a extraorální estetické charakteristiky, funkční aspekty, jako přirozená okluzní rovina nebo dentální a skeletální středová linie, a ve správné pozici přeneseny do softwaru pomocí PlaneSystem® a obličejového skeneru Face Hunter.
Na základě nově stanovených rovin byly vybrány zuby z virtuální knihovny Heroes Collection a správně postaveny. S ohledem na dostupná data (intraorální, DICOM, 3D skeny) byla ve virtuálním artikulátoru zkontrolována estetika a funkčnost skusové dlahy. Poté byla z materiálu Multistratum® Flexible, což je vysoce funkční pryskyřice s dlouhou životností a přirozeným probarvením, pomocí frézovacího přístroje vyfrézována multifunkční skusová dlaha a umístěna do úst pacienta.
Zirkonzahn Worldwide – Tel. +39 0474 066 680 – info@zirkonzahn.com – www.zirkonzahn.com
Buďte v obraze
Chcete mít pravidelný přehled o nových článcích na tomto webu, akcích a dalších novinkách? Přihlaste se k odběru newsletteru.
Odesláním souhlasíte s našimi zásadami zpracování osobních údajů.
Články
5. 12. 2025 | Technologie
Zavedení titanových slitin otevřelo nové perspektivy v moderní implantologii a zubním odborníkům umožnilo nabídnout pacientům širší škálu terapeutických možností. Pokračující výzkum titanových slitin neustále odhaluje nové možnosti využití a zlepšení. S rostoucím porozuměním materiálům a lidskému tělu přispívá propojení interdisciplinárních poznatků k tomu, že další kapitola v implantologii bude ještě slibnější a převratnější.
Články
31. 10. 2025 | Technologie
Smyslem inovace intraorálního skenování je umožnit stomatologům poskytovat vynikající péči pacientům a současně zefektivňovat všechny kroky jejich digitálního pracovního postupu.
Články
29. 4. 2025 | Technologie
Systém CORiTEC představuje komplexní digitální workflow pro zubní laboratoře, které integruje všechny kroky od skenování modelu až po finální zubní náhradu.
















