Rehabilitace bezzubého pacienta renovací stávající celkové snímatelné náhrady
Bezzubost je stav, který ovlivňuje nejen mastikační funkci, ale také důležité aspekty osobního života pacientů. Rehabilitace bezzubého pacienta může být v současné době realizována různými protetickými řešeními. Velice efektivní nástroj představují implantáty, avšak cesta ošetření pomocí implantátů je často členitá a vyžaduje finanční zdroje, které nejsou všem pacientům dostupné. Celkové snímatelné náhrady pak představují dlouhodobé či překlenovací řešení pro rehabilitaci bezzubého pacienta. V průběhu delších rehabilitačních procedur (např. při přípravných fázích implantologického ošetření) může lékař pro zlepšení funkce náhrad a jejich přizpůsobení měnícím se podmínkám v ústech využít tkáňové kondicionéry, čímž se dočasně vyhne zhotovení nové náhrady. V kazuistice prezentované níže popisujeme klinické a laboratorní postupy obnovy funkčních parametrů již nošené celkové snímatelné náhrady.

Mnoho studií prokázalo, že spokojenost s nošením celkových náhrad je především spojována s jejich adaptací vůči protéznímu loži a s kvalitou sliznic. Zásadní je respektovat základní principy celkové náhrady pro zajištění její funkce a redukovat nejčastější možná nepohodlí jako jsou ulcerace na sliznici způsobené nestabilitou náhrady. Samozřejmě umístění implantátů, speciálně v dolní čelisti, vždy výrazně zlepšuje kvalitu života bezzubých pacientů. Nicméně použití celkové snímatelné náhrady stále zůstává zásadním aspektem v průběhu fáze hojení po extrakcích zubů nebo během oseointegrační fáze zavedených implantátů. Mimoto základní principy celkové náhrady také dovolují správné plánování náhrady kotvené implantáty. Použití materiálů pro přímé a nepřímé techniky úpravy báze náhrady může být v dnešní době velice nápomocno jak ve zlepšení přizpůsobení stávajících nepohodlných náhrad, tak i v managementu hojení po chirurgickém zákroku. Je také důležité mít na paměti, že tyto materiály umožňují zlepšit komfort pacientů, kteří si nemohou dovolit ošetření implantáty.
Klinický případ
Bezzubý pacient, 74 let, hlásil četné problémy při používání svých náhrad, které byly zhotoveny před přibližně 8 lety. Při rozhovoru během jeho první návštěvy si stěžoval, že při nošení těchto náhrad musí používat velké množství lepidla na náhrady bez dosažení uspokojivé stability. Pacient vyloučil možnost zavedení implantátů z ekonomických důvodů a z důvodu jeho celkového zdravotního stavu, protože trpí diabetem a hypertenzí (obr. 1–4). Léčebný plán: Obnovení starých náhrad pro opětovné zajištění jejich funkce v krátkém čase.
Klinický a laboratorní protokol
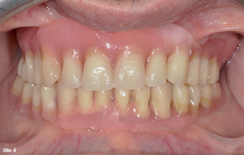
Vyšetření odhalilo: Okluzní rovina byla rovnoběžná s bipupilární linií a ke Camperově linii. V okluzi náhrady udržovaly stabilní a opakovatelnou polohu v centrickém vztahu navzdory některým předčasným kontaktům ve frontálním úseku (obr. 5–7). Horní náhrada neměla rovnoměrný kontakt se sliznicí a chyběl jí okrajový uzávěr; dolní náhrada byla kdysi podkládána měkkým materiálem – vlevo chybělo pokrytí retenčních oblastí náhradního lože (obr. 8–10).
Publikováno: StomaTeam 1/2018


Bezzubé zubní oblouky

Bezzubé zubní oblouky

Bezzubé zubní oblouky

Záznam a analýza okluzní roviny

Záznam a analýza okluzní roviny

Záznam a analýza okluzní roviny

Zhodnocení stavu horní a dolní protetické náhrady
Buďte v obraze
Chcete mít pravidelný přehled o nových článcích na tomto webu, akcích a dalších novinkách? Přihlaste se k odběru newsletteru.
Odesláním souhlasíte s našimi zásadami zpracování osobních údajů.
Zaujala vás ukázka článku?
Celý článek můžete prostudovat v časopisu StomaTeam
Prohlédněte/stáhněte si celý časopis ve formátu PDF ❯
Články
5. 1. 2024 | Protetika
S pokračujícím stárnutím populace dojde k nebývalému demografickému přerozdělování. Do roku 2050 se celosvětově...
Články
12. 12. 2024 | Protetika
Minimálně invazivní stomatologie odráží přístup založený na úctě ke zdravým tvrdým a měkkým tkáním v dutině ústní. ento přístup se stal reálnou volbou pro mnoho pacientů díky několika faktorům, jako jsou mimořádně citlivé a přesné procesy výroby protetiky, moderní techniky adheze ke sklovině a dentinu, inovativní biomateriály a rychlý technologický pokrok...
Články
12. 8. 2025 | Protetika
Představujeme případ částečné náhrady chrupu ošetřeného pomocí jednoduchého plně digitálního protokolu, který zahrnoval zhotovení implantáty nesených korunkových náhrad (spojených korunek) z hybridního kompozitního materiálu se 42% obsahem keramiky (certifikovaného pro definitivní náhrady) za využití moderní technologie 3D tisku TSLA (tilted stereolithography) na tiskárně DFAB.
- Zubní lékař Zubní lékař/lékařka
- Zubní lékař ZUBNÍ LÉKAŘ/LÉKAŘKA
- Zubní lékař Praha 5 Anděl
- Zubní lékař Hledáme stomatologa - Frýdek-Místek
- Zubní sestra Hledáme zkušenou zubní sestru / instrumentářku









