Digitální celkové náhrady: skutečná alternativa
Tato kazuistika se zabývá integrací technologií Ceramill FDS, Zebris, M-Smile a Ivotion při výrobě celkových náhrad. Pacientka, nositelka celkových náhrad po dobu 36 let, vyžadovala zlepšení estetiky a retence. Počáteční kroky zahrnovaly anatomické a in-situ otisky, následované návrhem a vytištěním funkčních individuálních otiskovacích lžic pro přenos obličejového oblouku pomocí systému Zebris.

Pracovní postup zahrnoval registraci skusu, určení centrální polohy a digitální zarovnání pomocí nástrojů M-Smile a Ceramill. Výroba zahrnovala skenování modelů, analýzu okluzních rovin a výběr protetických zubů s individuálními úpravami. Byla provedena zkouška, funkční a estetické hodnocení a finální úpravy barvy zubů pomocí Vita Akzent LC.
Integrovaný digitální přístup prokázal vysokou přesnost a efektivitu, významně zlepšil spokojenost pacienta i spolehlivost plánování a poukázal na potenciál kombinace více digitálních technologií v protetické stomatologii.
V jednom dřívějším rozhovoru jsem byl dotázán, zda by se vývoj systému mohl ideálně ubírat směrem k SDS. Odpověděl jsem: „Bylo by pěkné zkombinovat Zebris pro Ceramill, tedy obličejový oblouk a centric, a k tomu M-Smile a FDS.“ Sotva jsem to vyslovil, řekl jsem si: „Proč by to nemělo fungovat?“ Tak vznikla myšlenka našeho prvního klinického případu, který kombinuje Ceramill FDS, Zebris, M-Smile a Ivotion.
Výchozí situace
Pacientka nosila celkové náhrady 36 let. Jejich stav byl podle dnešních standardů nedostatečný – a to z hlediska estetiky, vertikální dimenze, okluze i retence.
Příprava
Standardně jsme zhotovili anatomické otisky obou alveolárních hřebenů a in-situ otisk původních náhrad. Tímto způsobem jsme vyrobili modely tradiční cestou a následně je naskenovali skenerem Ceramill Map600.
Návrh otiskovacích lžic
Pro vytvoření funkčních otiskovacích lžic jsme případ navrhli jako skus v databázi Ceramill.
Základ lžíce byl proto navržen podobně jako skus: vykryli jsme podsekřiviny na modelu, vyznačili a vytvarovali jsme rozsahy okrajů bází obou náhrad. Poté následovalo umístění voskového valu, který zároveň sloužil jako držátko a opora pro tvář a ret a k upevnění obličejového oblouku (Zebris) a pro předregistraci. K tomuto účelu jsme vytvořili různé konstrukční prvky, valy různých horních a dolních voskových tvarů a virtuální Rim former.
Tento návrh jsme nahráli jako Generic mash a zarovnali s horním modelem, který sloužil jako pomocná rovina pro vyrovnání voskového valu. Poté jsme vytištěné funkční lžíce vyrobili v tiskárně Nextdent 5100, dokončili je a upravili tak, aby odpovídaly systému Zebris a umožnily současný záznam obličejového oblouku během funkčního otisku (obr. 1–3).
Funkční otisk, registrace skusu a centric
Následně bylo provedeno funkční otiskování, předregistrace skusu a aplikace obličejového oblouku Zebris. Fungovalo to výborně a bylo to pro pacienta velmi pohodlné, protože otiskovací lžíce musela být v ústech pouze jednou a maximálně pět sekund kvůli přenosu obličejového oblouku.
V laboratoři jsme obvyklým způsobem zhotovili funkční modely. Horní čelist byla umístěna do artikulátoru s pomocí přenosového stolu a následně dolní čelist ve vztahu k horní. Poté jsme vyrobili konvenční žvýkací vosky v materiálu C-Plast.
V ordinaci lékař vyrovnal hřebeny podle CAM plánu, určil vertikální výšku skusu a zkontroloval plnost rtů. Se žvýkacím voskem in-situ jsme pořídili dvě fotografie pro M-Smile (s rozšířením rtů a úsměvem). V pozdějším kroku jsme digitálně zaznamenali registrační kolík. To fungovalo podobně jako u funkční lžíce, s tím rozdílem, že valy byly kratší a mezi ně byl zabudován registrační kolík. Lékař s ním poté určil horizontální polohu skusu (obr. 4–8).
Výroba pomocí Ceramill FDS v rámci Ivotion Workflow
Po získání všech dat jsme mohli začít. Případ byl zaregistrován v databázi Ceramill. Skenovali jsme modely a skus a přidali fotografie pro M-Smile.
Tip: zadní patrovou hráz okraje horní náhrady určete ještě před skenováním; pokud to uděláte později, značně si zkomplikujete práci.
Analýza modelu
Prvním krokem byla analýza pracovního modelu, kterou systém vyžaduje a nelze ji obejít. Následovalo určení okluzní roviny, vyznačení papily incisiva, tuber maxillae, středu hřebene, rozsah výšky skusu.
Výběr zubů
Protetické zuby jsou na základě analýzy modelu sestaveny automaticky. To je však pouze návrh, který je nutné individuálně přizpůsobit. Podle situace lze volit různé tvary a velikosti zubů.
Tip: často používáme o něco větší frontální zuby, než doporučuje program, protože většinou lépe sedí. Jakmile jsme našli vhodné zuby, pokračovali jsme dalším krokem (obr. 9).
M-Smile
Opustili jsme režim Wizard, vstoupili do režimu Expert a spustili SmileCreator. Zde jsme nahráli obě fotografie a zkombinovali je se skenem modelu skusu.
Tip: Udělejte si několik referenčních linií do skusu, abyste jej mohli lépe kombinovat! Nyní jsme měli možnost virtuálně sestavit celkovou náhradu a vidět, jak bude vypadat u pacienta, aniž by musel být fyzicky přítomen v laboratoři. To nám umožnilo lépe vyhodnotit tvar a velikost zubů. Poté jsme se vrátili zpět do režimu Wizard.
Korekce postavení zubů
V této fázi je třeba zdůraznit následující: protože jsou nakonec protetické zuby vždy frézovány jednotlivě, prakticky nemáme omezení v rámci jednoho oblouku. Zuby lze zvětšovat, zmenšovat, rozšiřovat, zkracovat a zadní kvadranty lze dělit atd.
Kromě toho má uživatel k dispozici všechny potřebné linie, roviny a body k úpravě postavení jednotlivých zubů. V řetězovém režimu lze polohu jednotlivých zubů v oblouku poměrně snadno korigovat (obr. 10 až 13).
Konfigurace báze náhrady
Dalším krokem je odstranění podsekřivin, překrytí patrového švu a vyznačení rozsahu báze náhrady. Tím získáme návrh báze protézy, který však musí být ještě upraven pomocí další volné modelace (obr. 14 a 15).
Zkouška postavení umělých zubů
Jakmile bylo vše navrženo, exportovali jsme zkušební model náhrady jako monoblok a vytiskli ho v tiskárně Nextdent 5100 z materiálu Try-In TiO. Následně byly okraje náhrady mírně ztenčeny a korigovány.
Tip: Zkušební sestavu tiskneme „obráceně“. Díky tomu dosáhneme lepších výsledků a přední zuby se nedotýkají držáků Smart, ale na spodním okraji vzniknou malé výčnělky, které lze snadno odstranit (obr. 16–18). Poté jsme pouze zbarvili gingivu v labiální oblasti růžovým opakerem, abychom mohli lépe posoudit červeno-bílou estetiku (obr. 19).
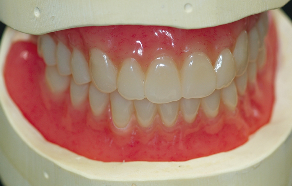
Během in-situ zkoušky působilo vše od počátku velmi harmonicky. Okluze byla správná a pacientka mohla bez problémů mluvit; okamžitě chtěla odejít domů s modelem (obr. 20).

Obr. 1

Obr. 2

Obr. 3

Obr. 4

Obr. 5

Obr. 6

Obr. 7

Obr. 8

Obr. 9

Obr. 10

Obr. 11

Obr. 12

Obr. 13

Obr. 14

Obr. 15

Obr. 16

Obr. 17

Obr. 18

Obr. 19

Obr. 20

Obr. 21

Obr. 22

Obr. 23

Obr. 24

Obr. 25

Obr. 26

Obr. 27

Obr. 28

Obr. 29

Obr. 30

Obr. 31

Obr. 32

Obr. 33
Dokončení
Pro finální dokončení jsme rozdělili oblouky mezi špičáky a první premoláry a vyfrézovali je z materiálu Ivotion Dent Multi A3. Báze byly vyrobeny z materiálu Ivotion Base. Po naplánování všech kroků jsme se na konci pracovního dne dostali do fáze, kdy noční směna připadla stroji Ceramill Matik (obr. 21). Následující ráno bylo vše hotovo a mohli jsme z přístroje vyjmout všechny „díly puzzle“, oddělit je, odstranit spoje a celé sestavit. Na papilách se objevily drobné body, které mírně překážely, ale rychle byly opraveny a vše přesně sedělo (obr. 22 až 26).
Poté následovalo sestavení, pískování oblouků a alveolů, jejich mírné navlhčení monomerem a spojení pomocí Ivotion Bond. Přebytečný materiál byl odstraněn štětcem a Modeling Liquid a poté polymerován v tlakovém hrnci. Následovaly závěrečné úpravy jako ztenčení okrajů, odstranění otřepů, uvolnění frenul a leštění (obr. 27 a 28).
Korekce barvy zubů
Při kontrolní návštěvě byly okluze, fonetika a postavení zubů potvrzeny jako správné, ale přetrvával problém s barvou zubů – byla příliš světlá a pacientce nevyhovovala.
Mělo se tedy vše dělat znovu? Rozhodli jsme se opravit barvu zubů pomocí Vita Akzent LC. Zuby jsme opískovali, ošetřili konektorem a poté postupně nanášeli vrstvy Vita Akzent LC odstínu červeno-hnědá, dokud jsme nedosáhli požadovaného odstínu. Nakonec jsme nanesli glazuru, aby se zlepšila povrchová struktura (obr. 29–33).
Závěr
Požadavky popsané na začátku se prakticky splnily samy a já jsem stále nadšený z možností kompletní digitální náhrady. Možnost virtuálně sestavit celkovou protézu přináší obrovskou přidanou hodnotu pro spolehlivost plánování. Pacient je spokojený, lékař je spokojený – co víc si přát?
Buďte v obraze
Chcete mít pravidelný přehled o nových článcích na tomto webu, akcích a dalších novinkách? Přihlaste se k odběru newsletteru.
Odesláním souhlasíte s našimi zásadami zpracování osobních údajů.
Články
16. 6. 2025 | Protetika
Tímto příspěvkem navazuji na článek 3D tištěné skelety: klinicky přívětivější skeletové náhrady. Přiblížím vám zde, jaké přesnosti po vytištění lze zúročením zkušeností a dobrou spoluprací s CAD designérem u skeletů dosáhnout. Dále také upozorním na trend, který se u nás zatím příliš neuchytil, ale ve světě je zcela běžný – absenci opakeru na retencích skeletu pro pryskyřici.
Články
6. 2. 2026 | Protetika
Klinický přístup k plně keramickým hybridním rehabilitacím zajišťujícím dlouhodobou stabilitu a vysoce estetické výsledky bez použití kovových komponent.
Články
23. 9. 2025 | Protetika
Multidisciplinární případ ukazující univerzálnost materiálu IPS e.max Ceram pro dosažení přirozeného a vysoce estetického výsledku.
Fatal error: Uncaught Error: Call to undefined function mysql_query() in /www/doc/www.dentalmarket.cz/www/api/dental-market.php:29 Stack trace: #0 {main} thrown in /www/doc/www.dentalmarket.cz/www/api/dental-market.php on line 29









