Design dásní pro dosažení přirozeného vzhledu náhrady na implantátech v malpozici
Naše kazuistika se zabývá 25letou pacientkou, která byla účastníkem tragické autonehody, při které přišla o frontální zuby v rozsahu 12 až 22. V důsledku toho musela podstoupit chirurgické ošetření se zavedením implantátů.

Pacientka byla nešťastná z provizorní náhrady z jiné laboratoře, která ji donutila se poptat v laboratořích v jejím okolí. Při hledání objevila LSK121 a požádala svého zubního lékaře, aby zjistil možnost využití našich služeb. Lékař souhlasil a byli jsme požádáni, abychom pacientce náhradu vyrobili.
Autor článku zjistil, že u tohoto případu byl hlavní problém v umístění implantátů a z toho vyplývající potíže s výrobou estetické náhrady. Seznal také, že další management měkkých tkání by byl vzhledem k jejich stavu poněkud složitý. Po zjištění stavu pacientky v laboratoři vyhodnotil nutná opatření pro zhotovení optimální náhrady.
Kazuistika
Na obr. 1 jsou vidět vhojovací válečky umístěné po chirurgickém zákroku. Zde si prosím povšimněte stavu gingiválních tkání: zvláště nerovnoměrný a viditelný byl především velký rozsah chybějících tkání u zubu 22. Barva byla stanovena (obr. 2) pomocí vzorníku CS4 LSK – pacientka požadovala světlou barvu. Jako základní odstín keramiky byl proto zvolen odstín B1 s vysokou translucencí. Dolní zuby pacientky byly tmavší než zvolený odstín, ale pacientka ujišťovala, že si je nechá vybělit, aby se shodovaly. Dále byl změřen protetický prostor (obr. 3) a stanovena délka umělých korunek.
Následně byla zhotovena provizorní náhrada: cementovaný můstek na titanových abutmentech, kvalitně a přesně provedený s ohledem na spolehlivou životnost (obr. 4). Bezprostředně po nasazení provizorní náhrady byl pořízen snímek úst při protruzi (obr. 5) s kontaktem hrana na hranu a snímek uvolněného úsměvu, kde si povšimněte pozice incizních hran (obr. 6).
Po dvou měsících hojení byla pořízena nová fotografie (obr. 7), přičemž se pacientka opět dostavila do zubní laboratoře. Obrys měkkých tkání se zhojil, ale stále byly zřejmé nerovnoměrné esteticky nevyhovující okraje. Toto bylo nutno zohlednit při zahájení výroby definitivních zirkonových náhrad.
Buďte v obraze
Chcete mít pravidelný přehled o nových článcích na tomto webu, akcích a dalších novinkách? Přihlaste se k odběru newsletteru.
Odesláním souhlasíte s našimi zásadami zpracování osobních údajů.
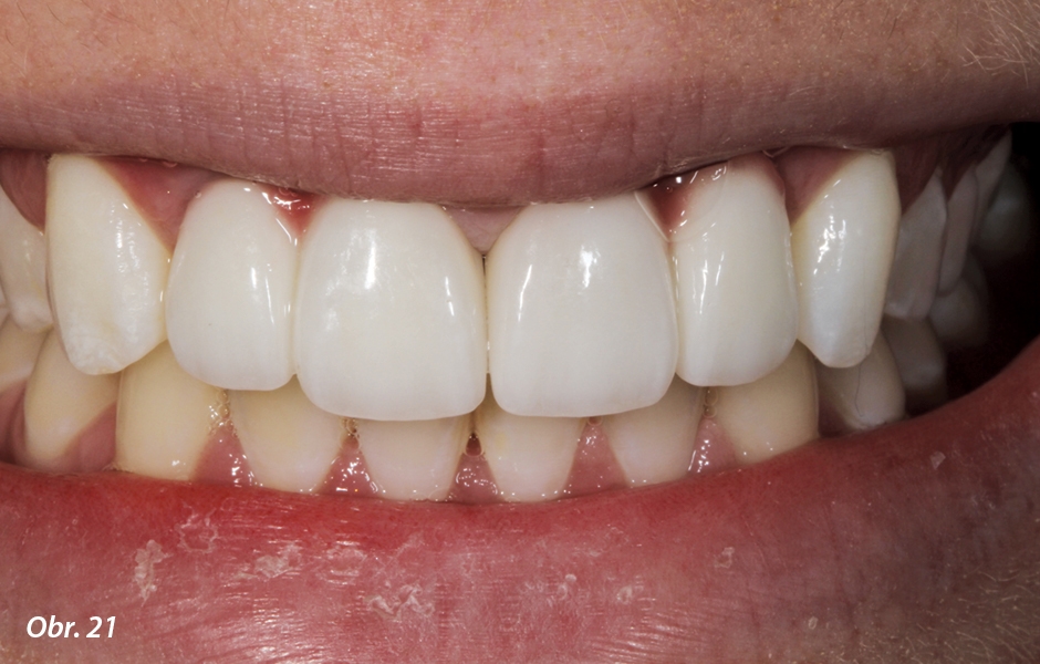
Po oskenování výchozího stavu v ústech (obr. 8), vyfrézování zirkonových spojených korunek a jejich individualizaci, nanesl autor článku do mezizubních prostor pro lepší výsledný vzhled obrysu měkkých tkání vrstvu zirkonu GC America ZR růžové dásňové barvy (obr. 9, 10): pomocí analýzy defektu na monitoru počítače cíleně nanášel a kombinoval dva růžové odstíny, aby co nejlépe kompenzoval vzhled dásňových defektů (obr. 11). Po dokončení byly náhrady vyzkoušeny v ústech – na fotografiích můžete vidět jejich barvu a přesnost dosedu (obr. 12–16). Během zkoušky v ústech byly náhrady přitlačeny, aby bylo možno zkontrolovat růžovou barvu umělých měkkých tkání (obr. 17).
Předplaťte si StomaTeam ONLINE a získejte neomezený přístup ke kompletnímu obsahu StomaTeamu.
objednat předplatné
Články
6. 5. 2025 | Protetika
Digitální pracovní postup umožňuje využití polychromatických disků s optickými vlastnostmi podobnými přirozenému zubu. Ty minimalizují nebo dokonce eliminují potřebu individualizace či charakterizace, pokud je materiál vybrán na základě specifických potřeb pacienta. Klíčovým faktorem je vysoká věrnost barev odpovídající přirozenému zubu, plynulý přechod odstínu od krčku k incizi a přirozená hra světla s efekty napodobujícími skutečný zub.
Články
3. 2. 2026 | Protetika
Zirkon se stal standardem moderní protetiky – je přesný, estetický a odolný. Jak jsme se k tomuto materiálu dostali, proč mu dnes důvěřují lékaři i pacienti a jak funguje výroba anatomických zirkonových korunek v JS Lab?
Články
6. 2. 2026 | Protetika
Klinický přístup k plně keramickým hybridním rehabilitacím zajišťujícím dlouhodobou stabilitu a vysoce estetické výsledky bez použití kovových komponent.











