Management měkkých tkání s použitím přípravku RetraXil při protetické rekonstrukci zubů 24 a 25

Popis klinického případu
Pacient se dostavil do ordinace, nespokojený s estetickým výsledkem korunek na zubech 24 a 25. Klinické vyšetření prokázalo nevyhovující marginální uzávěr u obou korunek, a proto bylo indikováno zhotovení nových protetických rekonstrukcí. Po preparaci pilířových zubů, zhotovení otisku, provizorním ošetření a laboratorní výrobě definitivních korunek se pacient dostavil k finálnímu ošetření. Po sejmutí provizorních náhrad bylo přítomno mírné krvácení ze sulku, které bylo před finální cementací protetické práce účinně kontrolováno pomocí přípravku RetraXil.

Obr. 1: Výchozí klinická situace s patrným nevyhovujícím marginálním uzávěrem stávajících korunek na zubech 24 a 25.

Obr. 2: Klinická situace po sejmutí korunek ze zubů 24 a 25.

Obr. 3: Dostavba korunkové části zubu 25.

Obr. 4: Situace před zhotovením otisku.

Obr. 5: Digitální otisk.

Obr. 6: Zhotovení definitivní protetické rekonstrukce v laboratoři.

Obr. 7: Klinická situace po sejmutí provizorních náhrad při definitivním ošetření.

Obr. 8: Přípravek RetraXil byl aplikován po dobu 2 minut ke kontrole krvácení před cementací.

Obr. 9: Stav po oplachu přípravku RetraXil – prostředí bez krevních stop a reziduí materiálu.

Obr. 10: Za těchto podmínek bylo možné provést řádnou cementaci definitivní rekonstrukce.

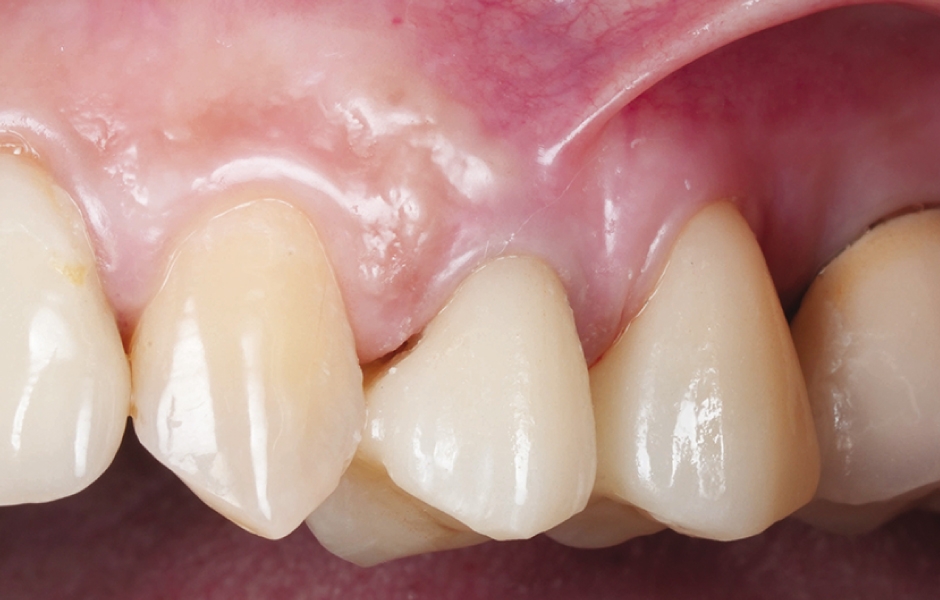
Obr. 11: Konečný klinický výsledek.
Pro více informací navštivte: kulzer.com/retraxil
Buďte v obraze
Chcete mít pravidelný přehled o nových článcích na tomto webu, akcích a dalších novinkách? Přihlaste se k odběru newsletteru.
Odesláním souhlasíte s našimi zásadami zpracování osobních údajů.
Články
25. 3. 2026 | Protetika
Pacient se dostavil do ordinace, nespokojený s estetickým výsledkem korunek na zubech 24 a 25. Klinické vyšetření prokázalo nevyhovující marginální uzávěr u obou korunek, a proto bylo indikováno zhotovení nových protetických rekonstrukcí.
Články
12. 11. 2025 | Protetika
Tato kazuistika se zabývá integrací technologií Ceramill FDS, Zebris, M-Smile a Ivotion při výrobě celkových náhrad. Pacientka, nositelka celkových náhrad po dobu 36 let, vyžadovala zlepšení estetiky a retence.
Články
23. 9. 2025 | Protetika
Multidisciplinární případ ukazující univerzálnost materiálu IPS e.max Ceram pro dosažení přirozeného a vysoce estetického výsledku.
- Dentální hygienistka Dentalní hygienista/ka - Praha
- Dentální hygienistka Nabídka místa
- Zubní technik PŘIJMEME ZUBNÍHO TECHNIKA
- Zubní lékař Zubní lékař do stomatologického centra na Vysočině
- Zubní lékař Hledáme stomatológa do Trapezan Prague




