Celokeramická korunka jako náhrada řezáku po komplikované fraktuře
Celistvost frontálních zubů má pro většinu pacientů zásadní význam. Poškození zubů kariézními defekty, infrakcemi nebo zlomeninami, jasně viditelnými plombami, změnami barvy, anomáliemi tvaru a také disharmonické pozice zubů v esteticky významném úseku chrupu, představují pro pacienty značná omezení. Zubní lékaři by proto měli za účelem zachování nebo obnovení přirozeného chrupu zvážit všechny možné aspekty léčby, včetně zapojení týmu složeného z různých specialistů.

Moderní stomatologie nabízí řadu možností protetického ošetření se širokou škálou metod k obnovení nebo optimalizaci funkce a estetiky zubů ve frontálním úseku chrupu. V závislosti na výchozí situaci a stupni destrukce jednotlivých zubů můžeme využít polychromatické náhrady z přímého vícevrstvého kompozitu, laboratorně nebo průmyslově vyráběné kompozitní fazety, keramické fazety, částečné fazety (přídavné fazety), celoplášťové fazetové, metalokeramické a celokeramické korunky a ortodontická opatření.1–3
Celokeramické náhrady se za posledních 30 let staly oblíbeným řešením zejména díky svým příznivým optickým vlastnostem, vynikající a trvanlivé estetice, odolnosti proti opotřebení, barevné stálosti, chemické inertnosti a trvanlivosti, biokompatibilitě a schopnosti zpevnění struktury zbývajícího zubu po jejich fixaci.4–17 Tento trend byl z velké části podpořen také zvyšujícím se počtem pacientů požadujících estetické náhrady a bezkovové alternativy tradičních protetických řešení.18
V posledních 30 letech bylo do praxe zavedeno mnoho různých celokeramických systémů.19 Dentální keramiku lze klasifikovat podle složení, pracovního postupu výroby (např. prášek–kapalina–suspenze, litá keramika, lisovaná keramika, CAD/CAM frézování) nebo podle klinické indikace.20–22 V dnešní době patří mezi nejběžnější klinické indikace celokeramických náhrad inleje, onleje, částečné korunky, celoplášťové korunky, můstky, fazety, orální fazety (tzv. table top – náhrada laterální kuspální ochrany korunkou), implantáty a abutmenty.23–36 Tyto náhrady představují vědecky ověřenou, vysoce kvalitní možnost trvalého ošetření frontálních úseků náročných na estetiku a laterálních více zatěžovaných úseků za předpokladu dodržení indikací a omezení příslušných keramických systémů a za použití vhodného fixačního postupu. V takovém případě byla jejich spolehlivost doložena v literatuře.18, 32, 37–56 Celokeramické náhrady se dnes používají v běžné stomatologické praxi.
Pro výrobu korunkových náhrad volí mnoho zubních lékařů lithium disilikátovou sklokeramiku (LS2) pro její dobrou mechanickou pevnost (IPS e.max Press: 470 MPa pevnost v ohybu), vynikající estetické vlastnosti a všestranné použití. Lze ji využít v monolitické formě, pokud je potřeba dosažení maximální pevnosti (např. u náhrad typu table top ke zvětšení vertikálního rozměru okluze či laterálních korunek) nebo jako korunka doplněná estetickým materiálem (lisovaná LS2 s dodatečným fazetováním), pro maximální estetiku. Korunky z LS2 se vyznačují vynikající životností jak u frontálních,57–59 tak i u laterálních zubů,56–59 srovnatelnou se životností metalokeramických korunek.60, 61
Níže uvedený klinický případ popisuje rekonstrukci centrálního řezáku horní čelisti po komplikované zlomenině klinické korunky a předchozí endodontické terapii pomocí fazetované lithium disilikátové sklokeramické korunky.
Klinický případ
Výchozí situace
24letá pacientka se na naši zubní kliniku dostavila se zlomeninou pravého centrálního řezáku v horní čelisti v důsledku úrazu při nehodě (obr. 1), ke které došlo již o týden dříve v zahraničí, kde pacientka (studentka medicíny) pobývala v rámci klinické stáže. Vzhledem k tomu, že k úrazu došlo v rozvojové zemi s lékařskými a stomatologickými službami, jež neodpovídají moderním standardům, rozhodla se pacientka zrušit zahraniční pobyt za účelem stomatologického ošetření.
První návštěva pacientky na naší klinice se uskutečnila týden po úrazu. Poraněný zub 11 byl v původním posttraumatickém stavu (obr. 2a, b). Klinické vyšetření prokázalo komplikovanou zlomeninu korunky s obnažením dřeně (obr. 3) s kompletní ztrátou incizální poloviny klinické korunky.62, 63 Vyšetření odhalilo ostrou bolestivou reakci zubu 11 na chlad a patologickou reakci na poklep.64 Dřeň byla již po dobu jednoho týdne vystavena prostředí ústní dutiny, spontánní bolest signalizovala ireverzibilní zánětlivé změny. Rozhodli jsme se tedy společně s pacientkou kompletně odstranit infikovanou dřeň a následně ošetřit kořenový kanálek (obr. 4a–c).
Pacientka byla informována o různých možnostech rekonstrukce (přímá kompozitní náhrada, keramická fazeta, celokeramická korunka, PFM korunka) spolu s jejich výhodami a nevýhodami a souvisejícími náklady. Pacientka zvolila adhezivně upevněnou sklokeramickou korunku z fazetované lithium disilikátové keramiky.
Tento typ náhrady může být doporučen jako ošetření frontálního úseku chrupu na základě klinických studií.65 Životnost uvedená v literatuře se pohybuje mezi 93,8 % a 96,8 % při sledovacích obdobích 5, 8 nebo 10 let.57–59
Buďte v obraze
Chcete mít pravidelný přehled o nových článcích na tomto webu, akcích a dalších novinkách? Přihlaste se k odběru newsletteru.
Odesláním souhlasíte s našimi zásadami zpracování osobních údajů.
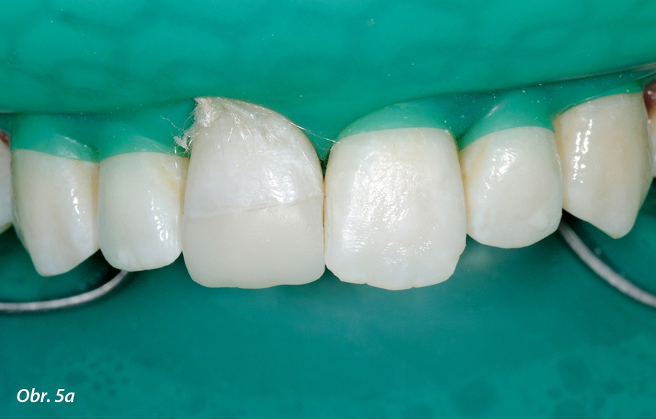
Po dokončení ošetření kořenového kanálku byla zhotovena dlouhodobá provizorní dostavba zubu v podobě přímé adhezivní kompozitní náhrady (obr. 5a, b), aby se pacientka nemusela podrobit preparaci a snímání otisků, dokud se úplně nezahojí poranění měkké tkáně. Po 3 měsících hojení bylo provedeno nové klinické vyšetření. Provizorní dostavba zubu 11 byla dobře integrována v oblouku i proti antagonistům (obr. 6). Pacientka byla požádána, aby se následující den dostavila do zubní laboratoře k určení barevného odstínu a k obecné estetické analýze zubů.66 Základním požadavkem pro přesné určení barvy je, aby zuby nebyly dehydratované, jinak vypadají světlejší a jsou více opakní.67–69 V rámci estetické analýzy prováděné zubním technikem se zjišťuje rozložení různých barevných odstínů a průsvitných nebo opakních částí zubů v úseku, který má být rekonstruován (obr. 7a–d). Dále je analyzována estetika z hlediska věku pacienta s odpovídajícími individualizacemi (např. praskliny skloviny, bílé skvrny, mamelony, haló efekt) a vhodnou povrchovou strukturou.70 Tuto analýzu je nejvhodnější provést před zahájením léčby. Umožňuje zubnímu technikovi získat představu o výchozí situaci a také se dotázat pacienta na jeho očekávání ohledně nových náhrad. Cílem je dosažení optimální pozice, tvaru a optických vlastností náhrady.71 Realizace funkčního a estetického optima pro každého pacienta vyžaduje úzkou spolupráci se specializovaným zubním technikem již od fáze plánování protetického ošetření.72
Předplaťte si StomaTeam ONLINE a získejte neomezený přístup ke kompletnímu obsahu StomaTeamu.
objednat předplatné- Talarico, G. and E. Morgante, The human dimension: esthetics in society and in medicine. Eur J Esthet Dent, 2013. 8(2): p. 136-55.
- Talarico, G. and E. Morgante, Psychology of dental esthetics: dental creation and the harmony of the whole. Eur J Esthet Dent, 2006. 1(4): p. 302-12.
- Lopez, Y., et al., Influence of teeth on the smile and physical attractiveness. A new internet based assessing method. Open Journal of Stomatology, 2013. 3(1): p. 52-57.
- Ingber, F.K., You are never fully dressed without a smile. J Esthet Restor Dent, 2006. 18(2): p. 59-60.
- Celik, C. and D. Gemalmaz, Comparison of marginal integrity of ceramic and composite veneer restorations luted with two different resin agents: an in vitro study. Int J Prosthodont, 2002. 15(1): p. 59-64.
- Magne, P., Noninvasive bilaminar CAD/CAM composite resin veneers: a semi-(in)direct approach. Int J Esthet Dent, 2017. 12(2): p. 134-154.
- Hajmasy, A. and H. Schorn, Maximaler Substanzerhalt bei maximaler Ästhetik. Quintessenz Zahntech, 2010. 36(3): p. 352-356.
- Edelhoff, D., Vollkeramische Restaurationen. wissen kom- pakt, 2015. 9(4): p. 149-160.
- Manhart, J., Vollkeramikrestaurationen in der restaura- tiven Zahnmedizin. Was ist machbar? wissen kompakt, 2007. 1(4): p. 3-14.
- Miyazaki, T., et al., A review of dental CAD/CAM: current status and future perspectives from 20 years of experien- ce. Dent Mater J, 2009. 28(1): p. 44-56.
- Höland, W., et al., Bioceramics and their application for dental restoration. Advances in Applied Ceramics: Structural, Functional and Bioceramics, 2009. 108(6): p. 373-380.
- Holand, W., et al., Ceramics as biomaterials for dental restoration. Expert Rev Med Devices, 2008. 5(6): p. 729- 45.
- Denry, I. and J.A. Holloway, Ceramics for Dental Applica- tions: A Review. Materials, 2010. 2(1): p. 351-368.
- Ritzberger, C., et al., Properties and Clinical Application of Three Types of Dental Glass-Ceramics and Ceramics for CAD-CAM Technologies. Materials, 2010. 3(6): p. 3700-3713.
- Kelly, J.R. and P. Benetti, Ceramic materials in dentistry: historical evolution and current practice. Aust Dent J, 2011. 56 Suppl 1: p. 84-96.
- McLean, J.W., Evolution of dental ceramics in the twen- tieth century. J Prosthet Dent, 2001. 85(1): p. 61-66.
- Kelly, J.R., I. Nishimura, and S.D. Campbell, Ceramics in dentistry: historical roots and current perspectives. J Prosthet Dent, 1996. 75(1): p. 18-32.
- Conrad, H.J., W.J. Seong, and G.J. Pesun, Current ceramic materials and systems with clinical recommendations: A systematic review. Journal of Prosthetic Dentistry, 2007. 98(5): p. 389-404.
- Denry, I. and J.R. Kelly, Emerging ceramic-based materi- als for dentistry. J Dent Res, 2014. 93(12): p. 1235-42.
- Li, R.W., T.W. Chow, and J.P. Matinlinna, Ceramic dental biomaterials and CAD/CAM technology: state of the art. J Prosthodont Res, 2014. 58(4): p. 208-16.
- Cotert, H.S., B.H. Sen, and M. Balkan, In vitro comparison of cuspal fracture resistances of posterior teeth restored with various adhesive restorations. Int J Prosthodont, 2001. 14(4): p. 374-378.
- Beier, U.S. and H. Dumfahrt, Langzeitbewährung silikat- keramischer Restaurationen für die Einzelzahnversor- gung. Stomatologie, 2013. 110(7): p. 21-25.
- Meyer, G., et al., S3-Leitlinie: Vollkeramische Kronen und Brücken. AWMF-Registernummer: 083-012. AWMF, 2014.
- Gehrt, M., et al., Clinical results of lithium-disilicate crowns after up to 9 years of service. Clin Oral Investig, 2013. 17(1): p. 275-84.
- Valenti, M. and A. Valenti, Retrospective survival analysis of 261 lithium disilicate crowns in a private general practice. Quintessence Int, 2009. 40(7): p. 573-9.
- Steeger, B., Survival analysis and clinical follow-up exami- nation of all-ceramic single crowns. Int J Comput Dent, 2010. 13(2): p. 101-19.
- Marquardt, P. and J.R. Strub, Survival rates of IPS em- press 2 all-ceramic crowns and fixed partial dentures: results of a 5-year prospective clinical study. Quintessen- ce Int, 2006. 37(4): p. 253-9.
- Walton, T.R., The up to 25-year survival and clinical per- formance of 2,340 high gold-based metal-ceramic single crowns. Int J Prosthodont, 2013. 26(2): p. 151-60.
- Walton, T.R., A 10-year longitudinal study of fixed prosthodontics: clinical characteristics and outcome of single-unit metal-ceramic crowns. Int J Prosthodont, 1999. 12(6): p. 519-26.
- Nolte, D., et al., S2k-Leitlinie (Langversion): Therapie des dentalen Traumas bleibender Zähne. AWMF-Register
Warning: file_get_contents(): Peer certificate CN=`*.r4.websupport.sk' did not match expected CN=`www.dentalbazar.cz' in /www/doc/www.stomateam.cz/www/script/page-object8.php on line 7
Warning: file_get_contents(): Failed to enable crypto in /www/doc/www.stomateam.cz/www/script/page-object8.php on line 7
Warning: file_get_contents(https://www.dentalbazar.cz/api/dental-bazar.php): Failed to open stream: operation failed in /www/doc/www.stomateam.cz/www/script/page-object8.php on line 7
Články
15. 5. 2025 | Protetika
Aidite 3D Pro Zikón: Revolučný materiál v oblasti zubnej protetiky, známy svojou výnimočnou pevnosťou, estetickým vzhľadom a všestrannosťou. ento pokročilý zirkónový materiál vyniká vďaka svojmu unikátnemu viacvrstvovému dizajnu, ktorý napodobňuje prirodzený gradient ľudských zubov.
Články
23. 9. 2025 | Protetika
Multidisciplinární případ ukazující univerzálnost materiálu IPS e.max Ceram pro dosažení přirozeného a vysoce estetického výsledku.
Články
4. 9. 2025 | Protetika
Dnešní vysoké estetické nároky lze uspokojit pomocí přímých kompozitních rekonstrukcí.










