5 aspektů, kterými DentalMonitoring výrazně zlepšuje mou ortodontickou léčbu
Jako ortodontisté usilujeme o efektivní a účinnou péči, která nejen splňuje potřeby našich pacientů, ale také je možno ji přizpůsobit individuálnímu průběhu léčby. V mé praxi systém DentalMonitoring (DM) zásadně změnil způsob, jakým řídíme a sledujeme ortodontickou léčbu. Díky jeho technologiím založeným na umělé inteligenci (AI) jsem dokázala zlepšit výsledky léčby, zvýšit spokojenost pacientů a minimalizovat počet jejich osobních návštěv v ordinaci. Zde je pět klíčových aspektů, prostřednictvím kterých mi DM umožnil zvýšit kvalitu a efektivitu řešení mých ortodontických případů:

1. DM Insights: úpravy klinických postupů založené na datech
DM Insights převádí data získaná ze skenů DM do snadno interpretovatelných metrik. Tyto cenné informace mi umožňují identifikovat odchylky a provádět informovaná rozhodnutí o úpravách léčebných plánů a klinických pracovních postupů, čímž zlepšuji klinickou kontrolu nad léčbou. Následující dva scénáře ilustrují, jak jsem využila těchto poznatků k optimalizaci léčby pacientů.
Usazení alignerů
Data shromážděná od srpna 2023 do března 2024 odhalila vysoký výskyt problematického usazení alignerů, zejména na horních laterálních řezácích (obr. 1).
V reakci na tuto skutečnost jsem provedla strategické změny v léčebném plánu:
- Původní zkosené attachmenty malé velikosti na laterálních řezácích jsem nahradila obdélníkovými attachmenty v horizontální nebo vertikální orientaci.
- Pečlivě jsem sledovala dopad těchto změn v průběhu následujícího roku (obr. 2).
- Výsledky těchto úprav byly významné:
- Míra problematického usazení alignerů na horních laterálních řezácích klesla z 11 % na 2 %.
- Celková míra problematického usazení alignerů poklesla z 18,1 % v lednu 2024 na 6,7 % v únoru 2025, což je výrazně pod globálním průměrem 17,9 %.
Některé reálné příklady těchto případů jsou uvedeny na obr. 3 a 4.
Hygiena
Data shromážděná od srpna 2023 do března 2024 poukázala na vysoký celkový výskyt plaku detekovaného pomocí DM, přičemž jeho rozložení na jednotlivých zubech bylo relativně rovnoměrné (obr. 5: 1. graf). Nicméně přítomnost plaku byla výraznější v raných fázích léčby (obr. 5: 2. graf). V reakci na tato zjištění jsem od počátku léčby zintenzivnila edukaci pacientů v oblasti ústní hygieny a poskytovala individuální poradenství. U pacientů s nižší mírou spolupráce jsem naplánovala častější kontrolní hygienické návštěvy. Po implementaci těchto opatření jsem po dobu následujícího roku sledovala jejich účinnost (obr. 6). Výsledky prokázaly významné snížení celkového výskytu plaku, což potvrzuje efektivitu upraveného přístupu. Reálný příklad zlepšené ústní hygieny je uveden na obr. 7.
2. Sledování průběhu léčby v reálném čase a včasné provádění změn v případě potřeby
Scénář 1: Reciproční pohyby
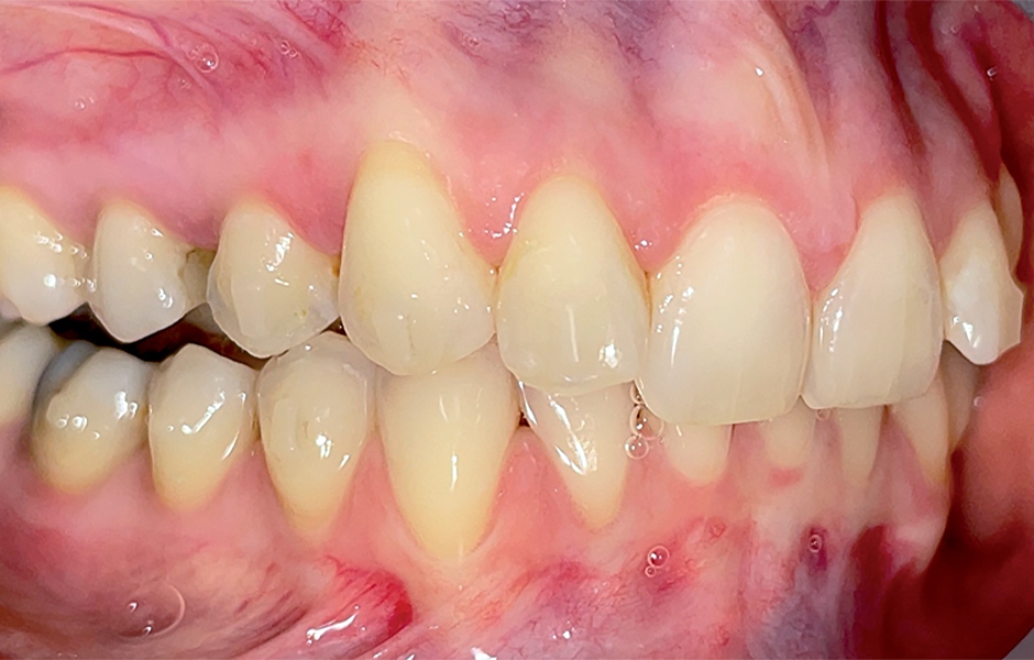
Při léčbě vyžadující reciproční pohyby je nezbytné pravidelné sledování, které umožňuje včasnou detekci problémů s usazením alignerů, jež mohou signalizovat selhání plánovaného pohybu zubů. Příklad níže ilustruje případ, kdy nesprávné plánování a neúčinné reciproční pohyby vedly k výrazně problematickému usazení alignerů na čtyřech horních řezácích (obr. 8). Po zpětné analýze léčebného plánu jsem zjistila, že během distální translace docházelo současně k lingvální torzi korunek řezáků (obr. 9). To byla chyba, protože při distální translaci je nutné provádět bukální torzi korunek řezáků. Na základě této analýzy jsem upravila léčebný protokol a dále sledovala průběh léčby. Obr. 10 zachycuje výrazné zlepšení dosažené po implementaci změn.
Scénář 2: Včasná detekce nežádoucích účinků
Takový případ ilustruje gingivální recese na horním pravém laterálním řezáku a špičáku, ke které došlo v důsledku expanzního pohybu. K nápravě tohoto problému a prevenci dalších komplikací je nezbytné okamžité opatření a pečlivé monitorování průběhu léčby (obr. 11).
Scénář 3: Prevence nežádoucích účinků
V tomto případě (obr. 12) představovalo žádoucí srovnání dolních řezáků jejich naklápěním zvýšené riziko vzhledem k jejich protruzi, jak ukazuje cefalogram (obr. 13). S ohledem na tuto skutečnost jsem se zaměřila na precizní kontrolu torze a využila DM ke sledování možného výskytu gingivální recese, přičemž jsem zároveň zajišťovala efektivní pohyb zubů (obr. 14).

Obr. 1: Data DM Insights zobrazující problematické usazení alignerů na jednotlivých zubech v období od srpna 2023 do března 2024. Obr. 2: 1. graf: Míra problematického usazení alignerů na jednotlivých zubech v únoru 2025; 2. graf: Vývoj míry problematick

Obr. 3: DM sken zobrazující problém s usazením aligneru na horním pravém laterálním řezáku s aplikovaným zkoseným attachmentem.

Obr. 4a: DM sken zobrazující správné usazení aligneru na horním laterálu s horizontálními a vertikálními attachmenty.

Obr. 4b: DM sken zobrazující správné usazení aligneru na horním laterálu s horizontálními a vertikálními attachmenty.

Obr. 4c: DM sken zobrazující správné usazení aligneru na horním laterálu s horizontálními a vertikálními attachmenty.

Obr. 5: 1. graf: Prevalence plaku před zavedením opatření na zubech; 2. graf: Prevalence plaku před zavedením opatření na alignerech.

Obr. 6: 1. graf: Prevalence plaku po zavedením opatření díky DM na zubech; 2. graf: Prevalence plaku po zavedením opatření díky DM na alignerech; 3. graf: Vývoj prevalence plaku od února 2024 do února 2025.

Obr. 7a: Příklad zlepšení ústní hygieny na základě dvou DM skenů pořízených v různých časových obdobích – před zlepšením.

Obr. 7b: Příklad zlepšení ústní hygieny na základě dvou DM skenů pořízených v různých časových obdobích – po zlepšení.

Obr. 8: DM sken zobrazující výrazné problematické usazení aligneru (č. 28) na horních řezácích.

Obr. 9: Léčebný plán ve fázi 28.

Obr. 10: DM sken téhož pacienta po úpravě protokolu ukazující optimální usazení aligneru na horních řezácích.

Obr. 11a: První ze dvou DM skenů z různých časových období zobrazujících vznik gingivální recese na zubech 12 a 13.

Obr. 11b: Druhý ze dvou DM skenů z různých časových období zobrazujících vznik gingivální recese na zubech 12 a 13.

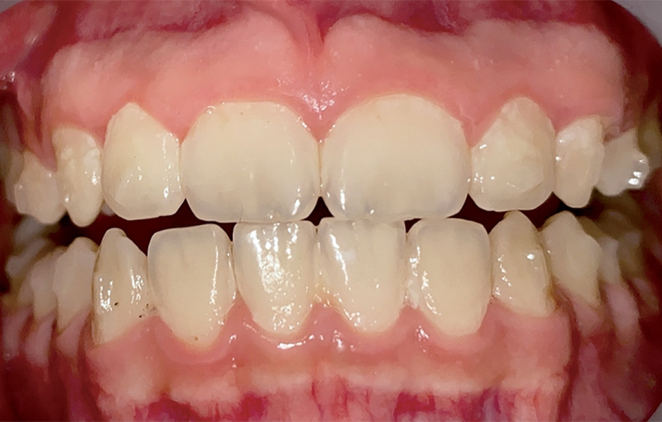
Obr. 12a–e: Intraorální fotografie před léčbou.

Obr. 12a–e: Intraorální fotografie před léčbou.

Obr. 12a–e: Intraorální fotografie před léčbou.

Obr. 12a–e: Intraorální fotografie před léčbou.

Obr. 12a–e: Intraorální fotografie před léčbou.

Obr. 13: Cefalogram před léčbou.

Obr. 14a: DM sken na začátku léčby.

Obr. 14b: DM sken na začátku léčby.

Obr. 14c: DM sken v průběhu léčby.

Obr. 14d: DM sken v průběhu léčby.

Obr. 15a: První ze dvou DM skenů zobrazujících vývoj erupce stálého horního pravého špičáku.

Obr. 15b: Druhý ze dvou DM skenů zobrazujících vývoj erupce stálého horního pravého špičáku.

Obr. 16a–d: Skeny pro sledování retence.

Obr. 16a–d: Skeny pro sledování retence.

Obr. 16a–d: Skeny pro sledování retence.

Obr. 16a–d: Skeny pro sledování retence.

Obr. 17: DM sken zobrazující přítomnost zubního plaku, hypomineralizaci skloviny a bílé léze na sliznici a připojené gingivě.

Obr. 18: DM detekce nepravidelnosti sliznice (drobné aftózní ulcerace) v oblasti dolního laterálního řezáku.
3. Sledování smíšeného chrupu
DM mě upozorňuje, když dojde k exfoliaci dočasných zubů a erupci stálých zubů, což mi umožňuje vyhnout se zbytečným návštěvám pacienta v ordinaci, a zároveň zajistit včasné sledování průběhu erupce (obr. 15).
4. Sledování retenční fáze
Relaps po ukončení ortodontické léčby je v ortodoncii značnou výzvou. Během retenční fáze moji pacienti provádějí skenování každé dva měsíce, přičemž DM mě upozorní, pokud pohyb zubů vyžaduje návštěvu ordinace. Tento přístup minimalizuje zbytečné kontroly v ordinaci, zvyšuje spolupráci pacientů a umožňuje včasný zásah při prvních známkách relapsu (obr. 16).
5. Detekce orálních patologií
AI technologie DM umožňuje komplexní přístup k monitorování – kromě sledování průběhu léčby a problémů souvisejících s ortodontickými aparáty dokáže také detekovat potenciální patologické změny v dutině ústní, jak ukazují případy na obr. 17 a 18.
To je pro mě jako ortodontistu klíčové, protože časné známky mnoha systémových onemocnění se často projevují v ústní dutině.
Závěr
Začlenění DM do mé praxe zásadně proměnilo můj přístup k léčbě. Díky sledování v reálném čase, dálkové kontrole a včasné detekci problémů mi umožnilo činit informovaná rozhodnutí, snížit počet zbytečných návštěv pacientů a poskytovat personalizovanější péči.
Buďte v obraze
Chcete mít pravidelný přehled o nových článcích na tomto webu, akcích a dalších novinkách? Přihlaste se k odběru newsletteru.
Odesláním souhlasíte s našimi zásadami zpracování osobních údajů.
Články
1. 4. 2025 | Ortodoncie
Autorka článku uvádí: V mé praxi systém DentalMonitoring zásadně změnil způsob, jakým řídíme a sledujeme ortodontickou léčbu. Díky jeho technologiím založeným na umělé inteligenci (AI) jsem dokázala zlepšit výsledky léčby, zvýšit spokojenost pacientů a minimalizovat počet jejich osobních návštěv v ordinaci.
Články
10. 4. 2025 | Ortodoncie
Čím dříve u dětí diagnostikujeme a léčíme problémy s dýchacími cestami, tím větší bude mít léčba přínos pro jejich celoživotní fyzické a mentální zdraví. Jakákoli obstrukce dýchacích cest vede k dýchacím obtížím, včetně dýchání ústy, chrápání, spánkové apnoe, hypopnoe a syndromu zvýšeného odporu horních cest dýchacích (UARS).





