Dôležitosť objemu tvrdých a mäkkých tkanív, ako záruka dlhodobej funkcie zubných implantátov
Extrakcia zubov je najbežnejším chirurgickým zákrokom v zubnej ambulancii. Jednoduchú extrakciu by mal zvládnuť vykonať zubný lekár s akoukoľvek špecializáciou. Náročnejšie extrakcie robia zvyčajne dentoalveolárni chirurgovia. Ešte donedávna sa pri extrakcii nepoužívali šetrné metódy extrakcie a na stav tvrdých a mäkkých tkanív po zákroku sa nebral žiaden ohľad. Vznikom a postupným vývojom implantológie sa situácia postupne mení a zubní lekári sa začínajú zamýšľať nad tým, čo ďalej po extrakcii zuba...

Atrofia kostného tkaniva, vznikajúca po extrakcii zuba, vážne komplikuje situáciu pre protetické riešenia náhrady zubov pomocou implantátov. Pri nedostatku tvrdých a mäkkých tkanív po extrakcii zuba je potrebné absolvovať množstvo ďalších chirurgických zákrokov. Dnes, pomocou moderných materiálov a technológií dokážeme nahradiť dostatočný objem kostného tkaniva v potrebnej oblasti čeľuste alebo sánky. Jedná sa o operácie ako osteoplastika, sinuslift, plastika mäkkých tkanív, atď.
V tomto klinickom prípade sa autor chce podeliť o skúsenosti ako predchádzať strate tvrdých a mäkkých tkanív po extrakcii zuba pomocou dostupných biomateriálov. (Socket Preservation)
Klinický prípad
Pacientka sa dostavila na našu kliniku s deštruovaným zubom č. 15 (obr. 1) . Okamžitá implantácia po extrakcii nebola možná, z dôvodu periapikálneho nálezu a nedostatku kostných tkanív potrebných na priamu stabilitu implantátu. Preto sme sa rozhodli daný zub odstrániť a ranu uzavrieť pomocou biomateriálov.

Obr. 1

Obr. 2

Obr. 3

Obr. 4

Obr. 5

Obr. 6

Obr. 7

Obr. 8

Obr. 9

Obr. 10

Obr. 11

Obr. 12

Obr. 13


Obr. 15
Po aplikácii infiltračnej anestézie sme extrahovali zub č. 15 (obr. 2), odstránili periapikálny cystogranulóm (obr. 3), poextrakčné lôžko vyplnili xenogénnym kostným materiálom Geistlich Bio-Oss (obr. 4, 5) a následne uzatvorili kolagénovou matricou Geistlich Mucograft Seal (obr. 6), bez ktorej by sa mohol kostný augmentát infikovať alebo vypadnúť.
Výhoda matrice Mucograft je tá, že jej fyzikálne vlastnosti (pevnosť a pružnosť) sa pri navlhčení nestratia, preto sa dá ľahko prišiť k okraju sliznice obyčajnými uzlovými stehmi. Použili sme nevstrebateľný monofilný šicí materiál s priemerom 5-0 (obr. 6).
Stehy z pooperačnej rany sme odstránili na 10. deň po zákroku. Kontrola zahojenia rany po 4 mesiacoch (obr. 7). Následne sme zaviedli implantát MegaGen AnyRidge 45x 8.5 (obr. 8), taktiež dodatočne vestibulárne bol transplantovaný deepitelizovaný voľný gingiválny štep na zväčšenie objemu mäkkých tkanív (obr. 9 a 10). Zavedený implantát (obr. 11) ukazuje úspešnú regeneráciu novovytvoreného kostného tkaniva. Je malá pravdepodobnosť, že by sa rana takto zahojila sama od seba. Preventívna augmentácia poextrakčného lôžka (Socket Preservation) je dôležitá na zachovanie objemu kostného tkaniva a môžeme ju vykonať bez akejkoľvek námahy s minimálnym rizikom.
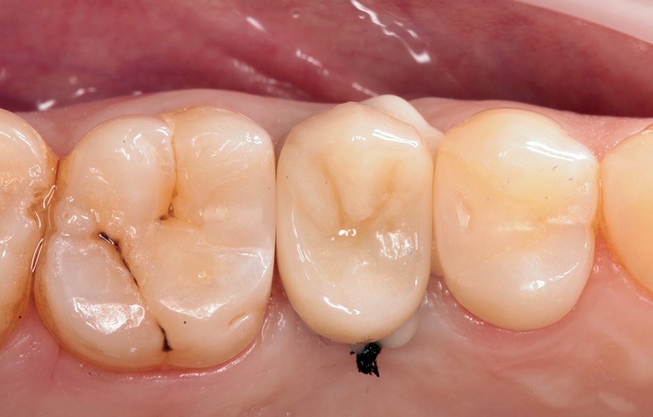
Protetická práca bola zhotovená pomocou digitálnych CAD/CAM technológií, skenovanie 3Shape TRIOS 3, modelácia a frézovanie zirkónového individuálneho abutmentu a korunky. Nasadenie abutmentu a cementovanie korunky (obr. 12–13).
Na obr. 14 a 15 vidíte výsledok po 5 rokoch.
Týmto spôsobom vytvorený objem zabezpečí dlhodobý, funkčný a estetický výsledok protetickej práce.
Buďte v obraze
Chcete mít pravidelný přehled o nových článcích na tomto webu, akcích a dalších novinkách? Přihlaste se k odběru newsletteru.
Odesláním souhlasíte s našimi zásadami zpracování osobních údajů.
Články
5. 11. 2025 | Obecná stomatologie
Výplně, respektive kompozity využívám v případech rozsáhlých či klinicky významných infundibulárních kazů, které se vyskytují na trvalých maxilárních premolárech a molárech tvořících dentici koní.
Články
5. 4. 2024 | Obecná stomatologie
Redakční úvod obsahující vysvětlení, proč jsme se rozhodli tento obsáhlý...
Články
8. 3. 2024 | Obecná stomatologie
Redakční úvod obsahující vysvětlení, proč jsme se rozhodli tento obsáhlý...
- Dentální hygienistka Zubní klinika IMPLANTA přijme Dentální hygienistku
- Dentální hygienistka Dentální hygienistka
- Zubní lékař Nabídka práce, nadstandardní podmínky
- Dentální hygienistka HYGIENISTKA BŘECLAV
- Zubní sestra Zubní asistent/asistentka Prémiová klinika na Bulovce







