Konzervativní alternativa estetické rekonstrukce: Dostavby zhotovené technikou Style Italiano
Na využití pouhých dvou opacit kompozitní pryskyřice při zhotovování estetických dostaveb vysvětluje Dr. Paulo Monteiro záměr vyhnout se komplikovaným technikám. Podle techniky Style Italiano je v této kazuistice zohledněna koncepce jednoduchosti a předvídatelnosti.

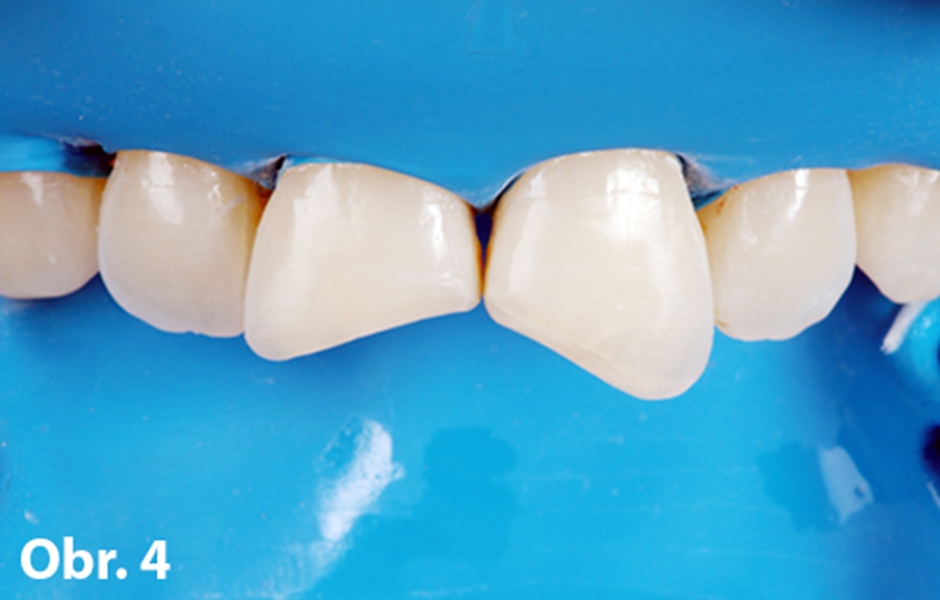
Klinický případ
V našem případě byla pacientkou 35letá žena. Do ordinace přišla, aby se zeptala na možnosti rekonstrukce dvou stávajících dostaveb na středních řezácích. Pacientce se především nelíbila jejich opacita a pórovitost.
Možnosti ošetření
Během počáteční konzultace projevila pacientka zájem o keramické fazety, protože měla pocit, že by mohly poskytnout optimální estetiku a trvanlivost. Aby bylo jisté, že může udělat informované rozhodnutí, byly s ní podrobně prodiskutovány výhody a nevýhody tohoto ošetření. Byly také konzultovány výhody a nevýhody kompozitních dostaveb, coby alternativního ošetření, přičemž byl kladen důraz na význam zachování přirozených struktur zubu. Nakonec si pacientka zvolila nejkonzervativnější proceduru – kompozitní dostavby.
Plán ošetření
Prvním krokem klinického zákroku bylo zhotovení otisků dvou středních řezáků. Následně byl vymodelován wax-up, na základě kterého byl zhotoven silikonový klíč pro navržení a zhotovení tvaru rekonstrukcí. Poté byly odstraněny staré dostavby a rekonstrukce mohly začít.
Leptání a vrstvení
Aby bylo zajištěno, že bude naleptána pouze sklovina, nikoliv dentin, byla použita technika selektivního leptání pomocí Single Bond Universal od 3M. Poté se začalo s nanášením různých vrstev skloviny.
Procedura vrstvení byla započata na palatinální straně pomocí materiálu 3M Filtek Ultimate. Protože cílem bylo dosažení vyšší úrovně translucence na incizální třetině, byl použit translucentní odstín skloviny. V tomto případě se k vrstvení přistoupilo s použitím achromatické skloviny a techniky kontrolované tloušťky.
Další vrstva skloviny byla nanesena na aproximální stěny. Pro tento krok byl opět použit materiál 3M Filtek Ultimate, ale tentokrát v odstínu A3. Pro dosažení anatomického tvaru byl kompozit nanášen na aproximální stěny ve velmi tenké vrstvě. Byla také použita distální matrice, která díky svému konvexnímu tvaru umožnila o mnoho jednodušší nanášení sklovinného materiálu. Při vrstvení incizní hrany byly použity velmi tenké vrstvy, tentokrát ze zatékavého výplňového materiálu v bílém odstínu.
Pro dosažení úrovně opacity, kterou pacientka požadovala, byl na střední řezáky nanesen také dentinový materiál. Kvůli zajištění předvídatelnosti – která je klíčová u všech koncepcí používaných při technice Style Italiano – bylo ještě před zahájením ošetření stanoveno několik kombinací odstínů. U pacientky byl zapotřebí konečný odstín A1, takže byla použita kombinace materiálů v odstínech dentinu A1 a skloviny A3 (3M Filtek Ultimate).
Publikováno: StomaTeam 2/2018

Výchozí stav

Horní řezáky před ošetřením

Označení dostaveb, které budou odstraněny

Po odstranění starých dostaveb
Buďte v obraze
Chcete mít pravidelný přehled o nových článcích na tomto webu, akcích a dalších novinkách? Přihlaste se k odběru newsletteru.
Odesláním souhlasíte s našimi zásadami zpracování osobních údajů.
Zaujala vás ukázka článku?
Celý článek můžete prostudovat v časopisu StomaTeam
Prohlédněte/stáhněte si celý časopis ve formátu PDF ❯
Články
16. 2. 2024 | Obecná stomatologie
Redakční úvod obsahující vysvětlení, proč jsme se rozhodli tento obsáhlý materiál...
Články
24. 11. 2025 | Obecná stomatologie
Úvod: Jazyk je prvním orgánem, který začíná fungovat již během embryonálního vývoje. Jeho vývojové odchylky mohou vést k poruchám funkce s následky i ve vzdálených oblastech těla.
Články
8. 2. 2024 | Obecná stomatologie
Redakční úvod obsahující vysvětlení, proč jsme se rozhodli tento obsáhlý materiál...
Pá 23. 1. 2026 – So 24. 1. 2026 | 09.00 – 18.00 hod., 2 dny









