Gingivální recesy: management v 21. století – současné možnosti chirurgického ošetření gingiválních recesů
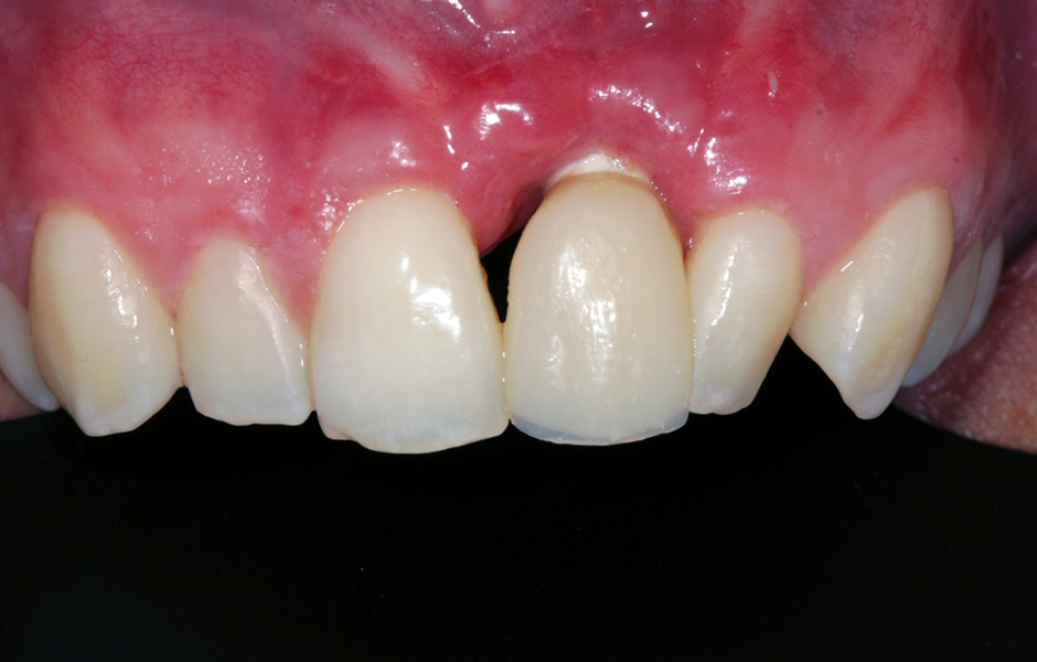
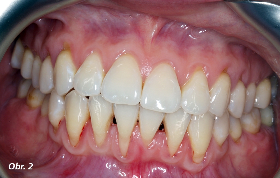
Více než 50 % populace vykazuje známky gingiválních recesů (Kassab a Cohen, 2003). Ty bývají spojovány s tenkým biotypem, jakož i fyziologickým stárnutím závěsného aparátu zubu (Oehmke a kol., 2004). Je důležité rozlišovat mezi recesy u lidí se špatnou a dobrou orální hygienou (Sagnes a Gjermo, 1976). Recesy u lidí se špatnou orální hygienou mají tendenci se vyskytovat u starších jedinců, obvykle postihují všechny povrchy zubu a jsou spojeny s onemocněním parodontu (obr. 1) (Yoneyama a kol., 1988), zatímco recesy u lidí s dobrou orální hygienou jsou obvykle vidět u mladších jedinců a postihují zejména bukální povrch (obr. 2) (Serino a kol., 1994). V tomto článku se zaměřím na případy a indikace pro mukogingivální ošetření u druhého zmíněného typu recesů.

Proč dochází ke gingiválním recesům?
Aby došlo ke gingiválním recesům, musí dojít ke kostní dehiscenci (Löst, 1984). Kostní dehiscence (obr. 3) může být důsledkem anatomie kostí, ortodontického posunu, při němž byla část kořene vysunuta ze svého místa v alveolu, zánětlivých procesů nebo přetížení okluze (Maynard, 1987). Jakmile je přítomna kostní dehiscence, jsou hlavními faktory přispívajícími ke gingiválním recesům špatná orální hygiena a přílišné čištění zubů (Khocht a kol., 1993). Další faktory zahrnují trauma (Khocht a kol., 1993), napětí vyplývající z vysokého frena nebo úponu svalů (Stoner a Mazdyasna, 1980) a subgingiválně zasahující náhrady (Koke a kol., 2003). Defekty dehiscence mohou nastat v důsledku některé z příčin uvedených v tabulce 1. Dehiscence v kombinaci s jedním nebo více přispívajícími faktory uvedenými v tabulce 2 povede ke gingiválním recesům.
Co se stane, dosáhneme-li překrytí kořene?
Provede-li se u defektu způsobeného gingiválním recesem překrytí kořene, lze očekávat nápravu závěsného aparátu, s novým upevněním pojivových tkání v nejapikálnější oblasti kořene a dlouhým pojivovým epitelem v koronální části překrytého povrchu kořene (McGuire a Cochran, 2003).
Kdy máme uvažovat o ošetření recesů?
Důsledkem obnaženého povrchu kořene může být citlivost, větší náchylnost k zubnímu kazu a neestetický vzhled, ale nejedná se o rizikové faktory pro onemocnění parodontu a ztrátu zubu (Freedman a kol., 1999). V současné době jsou k dispozici další méně invazivní možnosti ošetření senzitivity a prevence kazu, jako jsou fluoridové gely a používání desenzibilizačních prostředků (Bouchard a kol., 1994). Hlavní indikací pro chirurgické překrytí kořene je proto estetika, tedy vzhled úsměvu. Nicméně, změní-li se gingivální recesy na progresivní nebo jsou postižené oblasti obtížně čistitelné, je to také indikace pro ošetření. Například v oblastech, kde reces výrazně postoupil, zub často ztratí svazek připojené gingivy, což vede k velmi křehké sliznici kolem zubu a může to směřovat ke špatné hygieně a citlivosti při čištění (obr. 4).
Zesílení gingivy, kterou chceme překrýt obnažený povrch kořene
K zesílení biotypu a získání nové pojivové tkáně, která se připojí k povrchu kořene, se používá subepiteliální pojivový štěp tkáně (SCTG) nebo celá řada aloplastických, xenogenních a alogenních materiálů nahrazujících SCTG. Protože má většina defektů způsobených recesy tendenci vzniknout u pacientů s velmi tenkou gingivou, měl by proces přeměny tenké gingivy na silnější pomoci stabilizovat okrajové měkké tkáně a snížit riziko recidivy recesů. Aby se zabránilo esteticky nepěkným výsledkům vlivem přílišného zesílení, je důležité nepřekročit tloušťku SCTG 1,0 mm až 1,5 mm.
Při použití umělého štěpu měkkých tkání, jako je Alloderm (alogenní acelulární dermální matrix, odvozená od darovaných tkání lidské pokožky), je třeba zajistit, aby nezůstal při procedurách překrývání kořene žádný okraj obnažený, protože by se výrazně zvýšilo riziko nekrózy. Někteří lékaři používají také Emdogain (derivát sklovinné matrix) v kombinaci s různými existujícími technikami. Výzkum nicméně ukazuje neprůkazné výsledky (Cheng a kol., 2007; Hagewald a kol., 2002).
Jsou keratinizované tkáně skutečně nezbytné?
Tradičně bylo jedním z cílů procedur upravujících měkké tkáně získání keratinizovaných tkání v těch oblastech, kde by mohl úzký svazek keratinizované tkáně způsobit klinické problémy nebo by představoval komplikaci pro protetické ošetření (tj. dentální implantáty, korunky, fazety). Dnes víme, že úzký svazek keratinizované tkáně není pro dlouhodobé zdraví daného zubu rizikový. Nicméně, široký svazek keratinizované tkáně je nezbytný pro dobrý kosmetický výsledek. Při použití SCTG se ukázalo, že se vytvoří silnější svazek keratinizovaných tkání než při použití Alloderm.

Recesy postihující všechny povrchy zubu, spojované se staršími pacienty se špatnou orální hygienou

Reces postihující bukální povrch, spojovaný s mladšími pacienty s dobrou orální hygienou

Kostní dehiscence

Obr. 4: Před ošetřením – výrazný reces často vede k uvolnění připojené gingivy, které vede k velmi křehké sliznici obklopující zub Obr. 5: Po ošetření
Buďte v obraze
Chcete mít pravidelný přehled o nových článcích na tomto webu, akcích a dalších novinkách? Přihlaste se k odběru newsletteru.
Odesláním souhlasíte s našimi zásadami zpracování osobních údajů.
Články
24. 11. 2025 | Obecná stomatologie
Úvod: Jazyk je prvním orgánem, který začíná fungovat již během embryonálního vývoje. Jeho vývojové odchylky mohou vést k poruchám funkce s následky i ve vzdálených oblastech těla.
Články
27. 11. 2025 | Obecná stomatologie
Autoři článku diskutují o významu remineralizace a demineralizace v procesu vzniku zubního kazu.
Články
1. 9. 2025 | Obecná stomatologie
Vzhledem k rostoucímu výskytu rakoviny dutiny ústní hovoří Debbie Herbstová o důležitosti včasné diagnózy. Nádory dutiny ústní (orální karcinomy), mezi které patří nádory rtů, jazyka, gingivy a patra, tonzil a orofaryngu vykazují vzestupnou tendenci.












