Rehabilitace celého zubního oblouku pomocí implantátů
Částečná nebo úplná ztráta zubů nemá vliv pouze na estetiku obličeje, ale také na základní životní funkce, jako je žvýkání a fonace. V tomto případě je pro bezzubé pacienty dobrou alternativou ke konvenčním celkovým snímatelným náhradám rekonstrukce kotvená implantáty. Použití implantátů výrazně zlepšuje retenci náhrady a její funkčnost, čímž zlepšuje i kvalitu života pacienta.

Protetická ošetření bezzubých čelistí s dentálními implantáty se dělí na dvě kategorie: fixní a snímatelné náhrady.1 Faktory určující typ náhrady kotvené implantáty pro zcela bezzubého pacienta jsou velikost prostoru od kosti po okluzální rovinu (protetický prostor) a opora rtu. Pokud je prostor dostupný pro náhradu menší než 10 mm ve vertikálním rozměru a je k dispozici opora rtu, je vhodná fixní metalokeramická náhrada. Pokud je protetický prostor větší než 15 mm a chybí opora rtu v důsledku resorpce kosti, je doporučována snímatelná náhrada kotvená na implantátech poskytující oporu rtu, kterou neposkytují kostní struktury pacienta.1 Pokud je však protetický prostor mezi 11 a 15 mm, a kostní struktury poskytují dostatečnou oporu rtu, je možné uvažovat o šroubované náhradě.
Jedním z typů šroubované náhrady je Brånemarkův most – skládá se z lité kovové konstrukce překryté pryskyřicí, která kotví umělé zuby. Původní design této náhrady vyvinuli švédští vědci za použití dvoufázového endokostního systému implantátů vyvinutého společností Brånemark. Náhrada sestávala z konstrukce ze zlaté slitiny nasazené na krytkách implantátů a na této konstrukci byly v pryskyřici upevněny umělé pryskyřičné zuby.2 Zarb a kol. popsal ošetření silně resorbované bezzubé horní čelisti pomocí šroubované náhrady vyztužené kovovou konstrukcí s pryskyřičnými umělými zuby v případě protetického prostoru většího než 15 mm.3
Nepřesná konstrukce může způsobit úbytek kosti a selhání oseointegrace, která je klinicky zásadní. Podle literatury je všeobecně přijímáno, že pro udržení a dlouhodobou úspěšnost implantologického ošetření je zásadní pasivní dosed konstrukce na abutmenty implantátů. Literatura také naznačuje, že nepřesný dosed kovové konstrukce může způsobit mechanické a biologické komplikace, jako je uvolnění náhrady vlivem uvolnění abutmentových šroubků či dokonce zlomení různých komponent systému náhrady. Nedostatečná opora a maladaptace náhrady může vést k celkovému selhání protetického ošetření.
Klinický případ
68letý pacient s námi konzultoval celkovou snímatelnou náhradu v horní čelisti, se kterou byl relativně spokojen. Zbývající přirozené zuby v dolním oblouku utrpěly pokročilým onemocněním parodontu se ztrátou závěsného aparátu z více než 80 %. Tyto zuby vykazovaly mobilitu II. a III. třídy, která velmi znesnadňovala žvýkání. Plán ošetření navržený pacientovi zahrnoval extrakci dolních zubů a rehabilitaci dolního zubního oblouku pomocí implantátů a šroubované náhrady, aby bylo zachováno stejné pohodlí jako s přirozenými zuby, a v horním oblouku zhotovení nové celkové snímatelné náhrady.
Při extrakci zubů z celého oblouku a okamžitém nasazení imediátní náhrady běžně vzniká problém se zvykáním pacienta po dobu hojení zejména v oblasti dolního oblouku. Abychom pomohli pacientovi během doby hojení a nošení provizorní snímatelné náhrady, byly zavedeny dva provizorní implantáty, které napomohly jejímu držení. Jakmile se místa extrakce zhojila, bylo zavedeno 6 implantátů Aadva Tapered Regular 4 × 10 mm, a to v místech molárů, prvních premolárů a postranních řezáků. Kvalita i kvantita kosti byly dobré a po uplynutí předpokládané doby oseointegrace implantátů byly umístěny vhojovací abutmenty. V tomto případě byly použity abutmenty dvou průměrů, užší (SR Abutment 3,5 × 2 mm) v oblastech řezáků a premolárů, kde je méně gingivální tkáně a širší (SR Abutment 4,3 × 2 mm) v distální oblasti.
Poté nastalo čekací období potřebné pro zhojení tkání před zahájením protetické fáze. Toto období jsme využili pro přípravu otiskovacích pomůcek pro zajištění přesného přenosu pozice implantátu v ústech na pracovní model. Pro zhotovení otiskovacích pomůcek jsme sejmuli otisk uzavřenou technikou s otiskovacími abutmenty, která je velmi snadná, ale neposkytuje přesnou replikaci. Tento otisk byl použit k výrobě pracovního modelu, na kterém v zubní laboratoři zhotovili tradiční licí technikou kovovou otiskovací pomůcku pro zajištění přesného přenosu pozice implantátů pomocí finálního otisku vinilsiloxanovou hmotou. Tuto pomůcku připevnil zubní technik pro přenos do úst na pracovním modelu k jednomu z otiskovacích abutmentů.
Následně pak byla použita technika otevřeného otiskování se šroubovanými otiskovacími abutmenty, ke kterým byla kovová otiskovací pomůcka připevněna speciální sádrovou směsí. Jakmile sádra ztvrdla, byla situace otištěna vinyl polysiloxanovou otiskovací pastou v individuální otiskovací lžíci. Tato technika poskytuje velmi přesný otisk pozice implantátů pro zhotovení hlavního pracovního modelu, čímž je zajištěna vysoká přesnost dosedu kovové konstrukce a tím i celé zhotovené šroubované náhrady.
Jakmile byl připraven definitivní model s odpovídajícími analogy implantátů a situace v ústech přenesena do artikulátoru, začalo plánování definitivních náhrad. Nejprve byla zanalyzována stará celková snímatelná náhrada v horní čelisti. V podobných případech se nám velmi osvědčila analýza vzájemných pohybů čelistí. Před pořízením fotografií a RTG snímků jsme umístili na horní a dolní střední řezák úzký pásek cínové fólie, která posloužila jako reference pro vztah mezi pozicí frontálních zubů a kostí. U RTG snímků je vidět umístění prozatímních abutmentů, což je velice důležité pro správný výběr definitivních abutmentů s ohledem na vymezený prostor při všech pohybech dolní čelisti.
Jakmile byla určena středová osa a sklon horního řezáku pro oporu rtu, mohli jsme začít s návrhem vzhledu rekonstrukce horního zubního oblouku, přičemž jsme u pacienta vytvořili novou okluzální rovinu a novou pozici řezáků. Následně jsme zhotovili pevné modely nových náhrad (wax-up), které jsme mohli vyzkoušet v ústech a vyhodnotit všechny parametry včetně okluze a estetiky. Jak ukazují obrázky, horní oblouk byl užší než dolní, protože v něm došlo ke ztrátě zubů mnohem dříve. Pro správnou funkci celkové horní snímatelné náhrady při žvýkání bylo nutné sestavit distální úseky do zkříženého skusu. Síla tak bude při žvýkání jídla působit na alveolární hřeben a nezpůsobí posouvání náhrady.
Jakmile bylo potvrzeno, že vše řádně funguje, byla dalším krokem konstrukce kovové struktury na základě designu wax-upu. Ten byl před konečnou výrobou ještě jednou zkontrolován i s postavenými zuby. V této fázi lze zrevidovat provedené úpravy pomocí pásku cínové fólie a také zkontrolovat okluzi. Poté bylo přikročeno ke zhotovení výsledných náhrad. V ústech seděly zhotovené náhrady dobře a bylo třeba udělat pouze malé úpravy, které jsou při odevzdání náhrad běžné.
Souhrn a klinické poznatky
Ošetření zcela bezzubého pacienta pomocí rehabilitace zavedením implantátů začíná prodiskutováním očekávání stran ošetření a pečlivým intraorálním a extraorálním vyšetřením, po němž následuje systematický postup, který pomůže s diagnostikou. Ten zahrnuje prostudování fotografií a RTG snímků, které se v poslední době značně vyvíjejí, analýzu modelů v částečně nastavitelném artikulátoru – následuje protokol volby vhodné protetické rehabilitace na implantáty, přičemž možnosti zahrnují podmíněně snímatelné náhrady, hybridní náhrady nebo fixní náhrady.
Pokud fixní náhrada z metalokeramiky nesplňuje požadavky pacienta stran estetiky, dobré fonace, řádné orální hygieny a pohodlí v dutině ústní, je možnou alternativou šroubovaná náhrada z pryskyřice a konfekčních zubů vyztužená kovovou konstrukcí.11, 12



Výchozí situace

Výchozí situace

Výchozí situace

Zhojený alveol dolní čelisti se zavedenými provizorními implantáty

Zhojený alveol dolní čelisti se zavedenými provizorními implantáty

Zavedené definitivní implantáty s vhojovacími abutmenty

Zavedené definitivní implantáty s vhojovacími abutmenty

Příprava na předběžný otisk uzavřenou metodou (nasazené otiskovací abutmenty)

Příprava na předběžný otisk uzavřenou metodou (nasazené otiskovací abutmenty)

Předběžný otisk

SR abutmenty na úrovni gingivy

Zkouška nasazené kovové otiskovací pomůcky před definitivním otiskem

Proces přípravy definitivního otisku

Proces přípravy definitivního otisku

Proces přípravy definitivního otisku

Definitivní otisk

Hlavní pracovní model

Rekonstrukce okluzní roviny s využitím Foxovy desky

Rekonstrukce okluzní roviny s využitím Foxovy desky

Montáž modelů do artikulátoru Panadent

Cínová fólie na původní snímatelné náhradě pro potřeby vyhodnocení RTG snímků

Sagitální RTG snímek s umístěnou cínovou folií na původních náhradách, který slouží k analýze umístění abutmentů

Wax-up

Situace v ústech správně přenesená do artikulátoru

Pevné modely protéz a jejich analýza v artikulátoru

Pevné modely protéz a jejich analýza v artikulátoru

Pevné modely protéz a jejich analýza v artikulátoru

Pevné modely protéz a jejich analýza v artikulátoru

Pečlivá analýza situace na modelech v artikulátoru

Pečlivá analýza situace na modelech v artikulátoru

Konečný design dolní náhrady

Konečný design dolní náhrady

Návrh konstrukce

Konečný design horní náhrady

Kontrola nového designu náhrad cínovou fólií, intraorální situace včetně kontrolního skusu

Kontrola nového designu náhrad mimo ústa

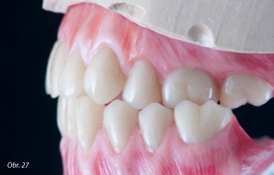
Hotové nové náhrady

Hotové nové náhrady

Hotové nové náhrady

Hotové nové náhrady
Brida a kol. navrhl systém klasifikace bezzubého pacienta pro fixní náhradu nesenou implantáty, a rozdělil klinické situace do čtyř typů podle následujících faktorů:
- Množství úbytku tkání
- Pozice frontálních zubů ve vztahu k umístění zbytkového alveolu
- Opora rtu
- Linie úsměvu
- Nutnost protetického materiálu v barvě gingivy (růžová protetika)
Třída I. zahrnuje pacienty, kteří potřebují protetický materiál v barvě gingivy jako je růžová pryskyřice, aby bylo možno dosáhnout estetických proporcí zubů a optimálních obrysů náhrady a současně byla zajištěna adekvátní opora rtu.
Třída II. klasifikuje pacienty, kteří potřebují růžovou pryskyřici pouze kvůli dosažení estetických proporcí zubů a obrysu náhrady. Opora rtu není v tomto případě důležitá, protože rozdíl vzhledu rtu s a bez náhrady je zcela nepodstatný.
Třída III. se týká pacientů, kteří nepotřebují žádný protetický materiál v barvě gingivy.
Třída IV. je určena pro pacienty, kteří mohou a nemusí potřebovat růžovou pryskyřici v závislosti na výsledku dosaženém po chirurgickém zákroku.10
Náš případ byl klasifikován jako třída II.
Zhotovení šroubovaných náhrad u pacientů s adekvátním interokluzálním prostorem poskytuje zubnímu lékaři a jeho technikovi ve srovnání s metalokeramickou náhradou hned několik výhod týkajících se estetiky vzhledu, včetně variabilních možností opory měkkých tkání a výšky korunek. Kromě těchto estetických výhod fungují šroubované náhrady z pryskyřice a umělých zubů jako tlumiče nárazu, čímž snižují žvýkací síly působící na implantáty.13 Míra úspěšnosti ošetření šroubovanými náhradami kotvenými implantáty je vysoká, jak ukázal systematický přehled zveřejněný v roce 2014, který zahrnoval výsledky 18 studií a odhalil vysokou míru zachování (po 5 až 10 letech) 93,3–100 % v případě náhrad a 87,9–100 % v případě implantátů.14
V retrospektivní studii, kde byly vyhodnocovány hlavní komplikace po rehabilitaci pomocí šroubované náhrady kotvené implantáty bylo zjištěno, že hlavní komplikací byla mukositida, která postihla 24 % případů, následovaly problémy s protetickými šroubky ve 13,7 % případů, včetně například opotřebení nebo ztráty závitu, a stejně časté (13,7 %) bylo odlomení protetických zubů nebo zlomení náhrady. Tyto problémy souvisely s nesprávným zaznamenáním vertikálního rozměru, nevhodného designu okluze nebo chybějícího pasivního dosedu kovové konstrukce. Další problém, kterému dotazovaní čelili, byl přístup ke vstupním otvorům k protetickým šroubkům (7,8 %).15
Zhotovení Brånemarkova mostu je dobrou možností rehabilitace obou čelistí a mělo by být při posuzování ošetření bezzubého pacienta součástí úvah o možnostech, protože tento typ náhrady zlepšuje estetiku, funkčnost a propriocepci, snadno se čistí a tuto náhradu lze kdykoli sejmout a opravit za dostupnou cenu.
Buďte v obraze
Chcete mít pravidelný přehled o nových článcích na tomto webu, akcích a dalších novinkách? Přihlaste se k odběru newsletteru.
Odesláním souhlasíte s našimi zásadami zpracování osobních údajů.
- Misch CE. Contemporary implant dentistry. 3ra. Edición. St. Louis, Missouri: Mosby Elsevier, 2008.
- Gonzales J. The evolution of dental materials for hybrid prosthesis. Open Dent J, 2014; 8: 85-94.
- Zarb GA. The longitudinal clinical eficacy of osseointegrated implants a 3 year report, Int J Oral Maxillofac Surg, 1987; 2: 91-100.
- Cobb G, Metcalf M, Parsell D. An alternative treatment method for a fixed-detachable prosthesis. A clinical report. J Prosth Dent, 2003; 89 (3): 239-243.
- Shibli JA, Piatelli A, Lezzi G. Effect of smoking on early bone healing around oxidized surfaces: a prospective, controlled study in humans jaw. J Periodontol, 2010; 81: 575-583.
- Bain C, Moy P. The association between the failure of dental implants and smoking. Int J Oral Maxillofac Implants, 1993; 8: 609-615.
- Grunder U, Gaberthuel T. Boitel N. Evaluating the clinical performance of the osseotite implant: Defining prosthetic predictability. Compend Contin Educ Dent, 1999; 20: 628-640.
- Bain C. Long-term satisfaction in dental implant patients. Toronto: 16th Scientific Meeting Academy of Osseointegration, 2001.
- Balarezo JA. Prótesis sobreimplantes en el edéntulo total: Planificación y elaboración. Lima,Perú: Editorial Savia, 2014.
- Brida A, Agar J. A classi cation system of patients for esthetic xed implant-supported prostheses in the edentulous maxilla. Compend Contin Educ Dent, 2010; 31(5): 366-8.
- Tarnow DP, Emtiaz S, Classi A. Immediate loading of threaded implants at stage 1 surgery in edentulous arches: Ten consecutive case reports with 1- to 5-year data. Int J Oral Maxillofac Implants, 1997; 12(3): 319-2.
- Real-Osuna J, Almendros-Marqués N, Gay- Escoda C. Prevalence of complications after the oral rehabilitation with implant-supported
hybrid prostheses. Med Oral Patol Oral Cir Bucal, 2012;17 (1): 16-21. - Qamheya AH, Yeniyol S, Arısan V.Full Mouth Oral Rehabilitation by Maxillary Implant Supported Hybrid Denture Employing a Fiber Reinforced Material Instead of Conventional PMMA. Case Rep Dent, 2015: 841745.
- Kwon T, Bain P, Levin L, Systematic review of short (5-10 years) and long-term (10 years or more) survival and success of full-arch xed dental hybrid prostheses and supporting implants. J Dent, 2014; 42 (10): 1228-41.
- Egilmez F, Ergun G, Cekic-Nagas I, Bozkaya S. Implant-supported hybrid prosthesis: Conventional treatment method for borderline cases. Eur J Dent, 2015; 9: 442-8.
Články
6. 3. 2026 | Implantologie
Demografické změny přivádějí do stomatologických ordinací stále více starších pacientů s nedostatečnými a selhávajícími stávajícími rekonstrukcemi.
Články
14. 11. 2025 | Implantologie
Moderní stomatologie prochází technologickou revolucí, kterou pohání integrace pokročilých digitálních nástrojů v diagnostice, plánování a léčbě. Mezi nimi se počítačem řízená implantologie stala základním pilířem, zejména u složitých výkonů, jako jsou estetické rekonstrukce a celková rehabilitace čelistního oblouku.
Články
14. 11. 2025 | Implantologie
Digitální pracovní postupy ve stomatologii přinesly revoluci v přístupu odborníků ke složitým zákrokům – zlepšují přesnost, efektivitu a dosažené klinické výsledky. Mezi digitálními inovacemi se výrazně prosazují systémy pro plnou navigaci...








