Periimplantární tkáň: management od A do Z
Rehabilitace pomocí zubních implantátů ve frontálním úseku je ztížena zejména pokud chybí více zubů. Z tohoto důvodu je třeba, už ve chvíli plánování před vlastním zavedením implantátu, věnovat dostatečnou péči periimplantárním strukturám. Pro předvídatelný výsledek ošetření vyžaduje oseointegrace implantátu dostatečné množství a kvalitu kosti v místě zavedení. Chronický zánět nebo trauma může tyto dva požadavky kompromitovat. Tento článek popisuje ošetření pacienta od okamžiku extrakce až po odevzdání definitivní náhrady.

Úvod
Nahrazení chybějících zubů má za cíl zlepšení komfortu, funkce a estetiky. Jedním z nejpředvídatelnějších a nejznámějších způsobů ošetření v případě rehabilitace částečně bezzubých pacientů je použití oseointegrovaných zubních implantátů. Úspěšná oseointegrace implantátu nicméně představuje pouze jeden z požadavků, které je třeba v průběhu rehabilitace splnit, a nezbytně nezajišťuje spokojenost pacienta. Rehabilitace pomocí zubních implantátů ve frontální oblasti je ještě obtížnější, pokud chybí více zubů. Není-li k dispozici dostatečný objem kosti, je třeba použít autologní štěpy nebo jiné náhradní kostní materiály pro zajištění příznivého umístění implantátu a prospěšné biomechaniky. Potěšujícího estetického výsledku lze dosáhnout optimálním umístěním implantátu, čehož lze dosáhnout, pokud je konfigurace kosti ideální.
Dalším požadavkem je kontura gingivy. Zachování papil mezi implantáty není vždy prediktabilní. Avšak náhrada několika chybějících zubů pomocí implantátů umožňuje použití fixních můstků. Pokud jsou implantáty dobře distribuovány, použití ovoidních mezičlenů umožňuje vytvarovat měkké tkáně pod nimi a vytvořit iluzi mezizubní papily. Správně tvarovaná provizorní náhrada umožňuje lékaři využít elastické vlastnosti gingivy jejím tvarováním a snížit tak nutnost potřeby budoucích chirurgických zákroků. Zachování zdravých periimplantárních struktur, jako je kost a měkké tkáně, je jedním z nejdůležitějších a nejnáročnějších úkolů jak pro chirurga, tak pro protetický tým.
Klinické sdělení
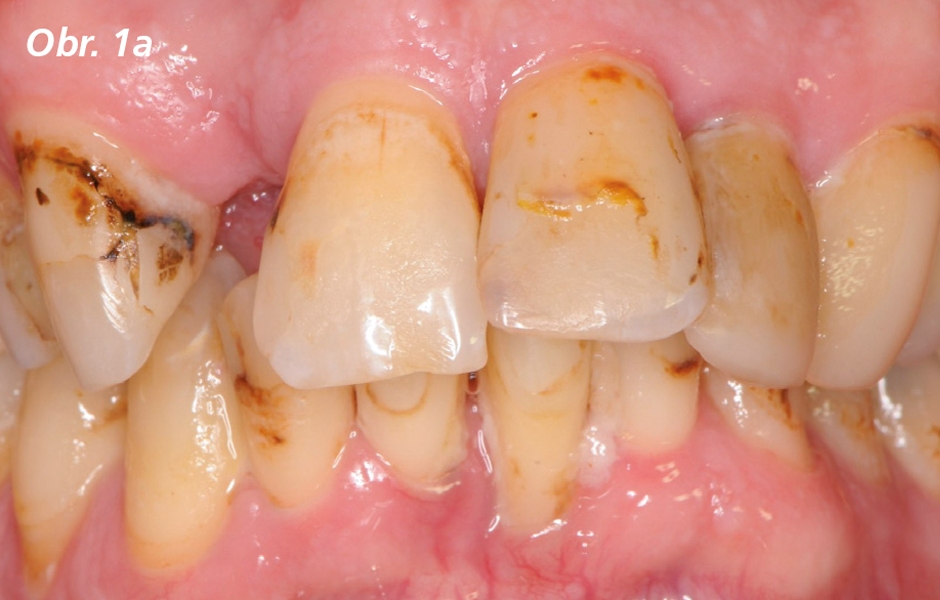
Plně ozubený čtyřicetiletý muž s bezvýznamnou anamnézou se dostavil na protetickou kliniku před extrakcí horního pravého středního řezáku a horního levého středního a postranního řezáku z důvodu parodontitidy a s tím spojené viklavosti (obr. 1a, 1b). Bylo provedeno kompletní klinické a rentgenologické vyšetření ve spolupráci s parodontologem. Před extrakcí horních řezáků byla zhotovena imediátní náhrada. Po extrakcích zubů následovalo socket preservation pomocí kostního alogenního materiálu (Puros Cancellous Particulate Graft, Zimmer Dental, Inc.). Štěpy byly překryty kolagenovými hubkami (CollaPlug, Zimmer Dental, Inc.), přešity (Vicryl 5-0; Ethicon USA, LLC) a byla odevzdána provizorní náhrada. Počáteční hojení po socket preservation bylo příznivé a bez komplikací. Čtyři měsíce po extrakci byly do míst horních postranních řezáků zavedeny dva zubní implantáty (4,5 × 11,5 mm NobelActive RP, Nobel Biocare). Byly překryty krycími šroubky, tkáně byly sešity (Vicryl 5-0; Ethicon US, LLC)a implantátům bylo ponecháno pětiměsíční vhojovací období. Po inkorporaci byla provedena druhá chirurgická fáze. Non-engaging provizorní abutmenty (Conical connection RP 36662; Nobel Biocare) byly zavedeny a zuby ze stávající imediátní náhrady byly v pryskyřičné bázi připojeny k provizorním abutmentům pomocí světlem tuhnoucí akrylové pryskyřice (Unifast LC; GC America). Detailní kontury provizorní náhrady na implantáty byly vytvořeny a upraveny ošetřujícím lékařem v ordinaci. Šroubovaná provizorní náhrada nesená implantáty byla dokončena, vyleštěna a odevzdána v době druhé chirurgické fáze (obr. 2a, 2b).
Odpověď měkkých tkání byla hodnocena každý měsíc tak, že kontury provizorní náhrady nesené implantáty byly modifikovány přidáváním nebo ubíráním akrylové pryskyřice. Tento proces se opakoval, dokud nebylo dosaženo adekvátního emergence profile a dojmu interdentální papily (obr. 3a, 3b, 4a, 4b). Šroubovaná provizorní náhrada byla odstraněna a byly zhotoveny individualizované otiskovací repliky pro zachování vytvořeného emergence profile. Poté byl otevřenou technikou sejmut otisk na úrovni implantátu za použití polyvinyl siloxanu (Aquasil Ultra Monophase and XLV; Dentsply Caulk). Byla zhotovena definitivní náhrada a odevzdání bylo provedeno obvyklým způsobem (obr. 5). Pooperační poučení bylo uděleno spolu s instruktáží orální hygieny. Pacient byl zařazen do počátečního tříměsíčního recallu za účelem kontroly hygieny a verifikace okluzních vztahů.
Shrnutí
Popsali jsme multidisciplinární ošetření bezzubé frontální oblasti v horní čelisti. Adekvátní management periimplantárních struktur by měl začít ještě před zavedením implantátu. Zlepšení kostní struktury a měkkých tkání, přesnost zavedení implantátu, tvar provizorní náhrady a kvalita protetické práce jsou základními faktory pro úspěšné ošetření.

Výchozí situace před extrakcí horních řezáků

Výchozí situace před extrakcí horních řezáků

Šroubovaná provizorní náhrada nesená implantáty: povšimněte si ovoidního tvaru mezičlenů

Náhrada nasazená ihned po druhé chirurgické fázi

Frontální pohled na výchozí situaci / kontury měkkých tkání po třech měsících – stav měkkých tkání byl hodnocen každý měsíc

Frontální pohled na výchozí situaci / kontury měkkých tkání po třech měsících – stav měkkých tkání byl hodnocen každý měsíc

Výchozí situace během vhojovacího období po zavedení implantátů / vývoj měkkých tkání druhý měsíc po odevzdání provizorní náhrady nesené implantáty

Výchozí situace během vhojovacího období po zavedení implantátů / vývoj měkkých tkání druhý měsíc po odevzdání provizorní náhrady nesené implantáty

Definitivní náhrada
Buďte v obraze
Chcete mít pravidelný přehled o nových článcích na tomto webu, akcích a dalších novinkách? Přihlaste se k odběru newsletteru.
Odesláním souhlasíte s našimi zásadami zpracování osobních údajů.
Články
2. 4. 2026 | Obecná stomatologie
Za každou rekonstrukční terapií nestojí pouze klinická odbornost, řemeslná preciznost a moderní technologie, ale především člověk. V tomto článku autorský tým popisuje případ mladé pacientky, která se vydala na cestu k novému úsměvu.
Články
1. 12. 2025 | Implantologie
Aspergilóza je nejčastější příčinou oportunních mykotických infekcí u imunokompromitovaných jedinců a může být klasifikována jako invazivní nebo neinvazivní.
Články
3. 6. 2025 | Obecná stomatologie
Třicetiletý celkově zdravý pacient žádal o opravu nevyhovující kompozitní rekonstrukce provedené před 10 lety po traumatu zubu 11. Postižený zub v rámci klinického vyšetření reagoval pozitivně na test vitality. Na rentgenovém snímku nebyla objevena periapikální léze. Klinická korunka vykazovala nežádoucí zbarvení a nacházela se více palatinálně než kontralaterální řezák 21.
- Zubní lékař Přijmeme zubního lékaře/ku absolventa/ku
- Zubní lékař Zubní lékař v Písku
- Dentální hygienistka Dentální hygienistka do Trapezan Clinic Prague
- Zubní lékař ZUBNÍ LÉKAŘKA / LÉKAŘ – ESTHESION
- Dentální hygienistka Dentální hygienistka/hygienista










