Náhrada nesená jedním implantátem ve frontální oblasti
Ošetření frakturovaného řezáku postupem zachování alveolu
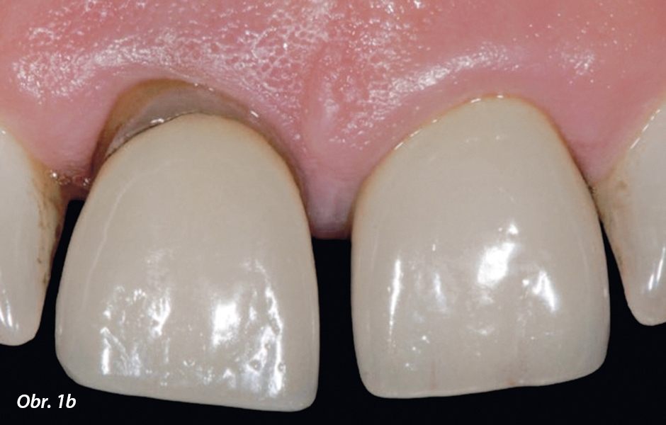
52letá žena přijela s bolestí dvou horních centrálních řezáků. Pacientka v mládí utrpěla jejich frakturu. Následně byly oba rekonstruovány metalokeramickými korunkami (obr. 1a, b). V den prvního vyšetření analýza CBCT skenu a klinická kontrola odhalily, že zub 11 byl endodonticky ošetřen a měl hlubší parodontální chobot s krvácením při sondování.

Bylo projednáno několik možností léčby po extrakci zubu:
1. Korunka na zubu 21 s dens pendens v místě zubu 11
2. Fixní můstek v rozsahu 12 až 21
3. Umístění implantátu v místě zubu 11 a nová korunka pro zub 21
Bylo rozhodnuto zvolit třetí variantu léčby, která zahrnovala náhradu zubu 11 implantátem.
Fáze před chirurgickým zákrokem
Pro optimalizaci estetického výsledku před implantací byly zubním technikem zhotoveny voskové modely zubů 11 a 21 na sádrovém pracovním modelu. Voskové modely byly přeneseny do kompozitních, které byly vyzkoušeny intraorálně.
Chirurgická fáze
O dva týdny později byl zub 11 opatrně extrahován bez poškození okolních tkání včetně intaktní papily. Epitel v extrakčním lůžku byl odstraněn diamantovým vrtáčkem. Následně byla pomocí periodontální sondy změřena výška labiální a palatinální kostní lamely alveolu. Měření odhalilo, že zatímco na labiální straně byla přítomna silná kostní lamela, výška palatinální strany byla redukována o 40 %.
Podle Junga a kolegů (2013) postup zachování alveolu umožňuje udržet během šesti měsíců až 80 % objemu kosti. Proto byla tato metoda zvolena jako vhodná k optimalizaci klinické situace, včetně respektování objemu tvrdých a měkkých tkání.
Ošetření (obr. 2a, b) zahrnovalo umístění kolagenního bločku, sestávajícího z 10% kolagenu a granulátu s deproteinizovaným bovinním kostním minerálem (DBBM) a měkké tkáně, odebrané kruhovým nožem. Materiál nahrazující kostní hmotu byl umístěn do extrakčního lůžka paralelně s hřebenem alveolu na labiální straně v přesahu palatinální kostní lamely zhruba o 4 mm a do úrovně 3 mm pod okraj sliznice. Následně byl z patra odebrán volný gingivální štěp (FGG) s tloušťkou 3 mm a průměrem 8 mm. FGG byl fixován na vrchu extrakčního lůžka pomocí neresorbovatelné sutury (obr. 3a–d) v souladu s metodou popsanou Jungem, Siegenthalerem a Hämmerlem (2004).
Buďte v obraze
Chcete mít pravidelný přehled o nových článcích na tomto webu, akcích a dalších novinkách? Přihlaste se k odběru newsletteru.
Odesláním souhlasíte s našimi zásadami zpracování osobních údajů.
Korunka na zubu 21 byla odstraněna a nahrazena provizorní náhradou včetně dens pendens, nahrazující zub 11 (obr. 4a, b).
O šest týdnů později byla klinická situace dobrá a extrakční lůžko bylo úplně uzavřeno. Kvůli posouzení dimenze kosti a rozhodnutí, zda implantovat nebo ne, byl zhotoven CBCT sken (obr. 5a–d). CBCT sken odhalil, že při ideální pozici implantátu by byl palatinálně přítomen dehiscentní defekt. Vzhledem k tomu, že řízená regenerace kosti (GBR) na palatinální straně nemohla být provedena předvídatelně, byl s pacientkou prodiskutován delší čas léčby.
Předplaťte si StomaTeam ONLINE a získejte neomezený přístup ke kompletnímu obsahu StomaTeamu.
objednat předplatné
Články
20. 2. 2024 | Implantologie
Autoři zkoumají využití digitálního pracovního postupu a mezioborového plánování ke zlepšení kvality léčby implantáty. Technologie počítačem podporovaného navrhování a počítačem podporované výroby...
Články
22. 3. 2024 | Implantologie
Pacientka, 45letá žena (Madrid, Španělsko) utrpěla vážnou frakturu zubů 21 a 22...
Články
2. 8. 2024 | Implantologie
Nejen dentální implantologie a stomatologie, ale celkově medicína i každá oblast našeho života je více či méně ovlivněná digitalizací, automatizací a AI. Technologické pokroky a postupy nám pomáhají zjednodušit...
- Dentální hygienistka Hledáme dentální hygienistku do Frýdku-Místku
- Zubní sestra Asistent/Asistentka zubního lékaře
- Zubní lékař ZUBNÍ LÉKAŘ / LÉKAŘKA - PRAHA 9
- Zubní lékař Zubní lékař Praha 1
- Zubní lékař ORTODONTISTA/TKA - komplexní zaučení do plánování Invisalign









