Fotokazuistika: okamžité zatížení implantátů
Pacientka, 45letá žena (Madrid, Španělsko) utrpěla vážnou frakturu zubů 21 a 22. Plánované řešení: Extrakce obou zubů a bezprostřední zavedení dvou konvenčních implantátů CM Drive Acqua 3.5 × 10 mm s využitím protokolu okamžitého zatížení provizorními korunkovými náhradami z PMMA. Po zhojení zhotovení finálních zirkonových náhrad s využitím CM Titanium Base 3.5 × 4 × 2.5 mm a 3.5 × 4 × 3.5 mm (Straumann) a individuálních abutmentů z oxidu zirkoničitého. Zhotovení obou náhrad: čistě digitálním CAD/CAM postupem.

Inzerce:
Průběh ošetření je zachycen a popsán ve fotogalerii:
 - Obr. 1, 2: Výchozí situace: fraktura zubů 21 a 22. 
 - Obr. 1, 2: Výchozí situace: fraktura zubů 21 a 22. 
 - Obr. 3, 4: Předoperační rentgenový snímek. 
 - Obr. 3, 4: Předoperační rentgenový snímek. 
 - Obr. 5: Situace po extrakci frontálních zubů (vzhledem k průběhu poextrakčních ran bude nutno předejít disangulaci zavedených implantátů). 
 - Obr. 6: Příprava implantačních lůžek. 
 - Obr. 7: Zavedení implantátů CM Drive Acqua 3.5 × 10 mm: v místě zubu 21 subkrestálně 3 mm, v místě zubu 22 subkrestálně 2 mm. 
 - Obr. 8: Zavedené implantáty. 
 - Obr. 9: RTG snímek zavedených implantátů již s individuálními abutmenty (viz dále). 
 - Obr. 10: Umístěná skenovací tělíska pro zhotovení digitálního otisku. 
 - Obr. 11: CAD návrh zirkonových individuálních abutmentů. 
 - Obr. 12: CAD návrh provizorních náhrad. 
 - Obr. 13: Umístěné individuální zirkonové abutmenty vyfrézované podle CAD návrhu. 
 - Obr: 14: Umisťování provizorních náhrad z PMMA. 
 - Obr. 15: Dobré hojení měkkých tkání 4 dny po operaci. 
 - Obr. 16: Úprava provizorních korunek podle utvářejícího se emergence profilu 6 týdnů po operaci. 
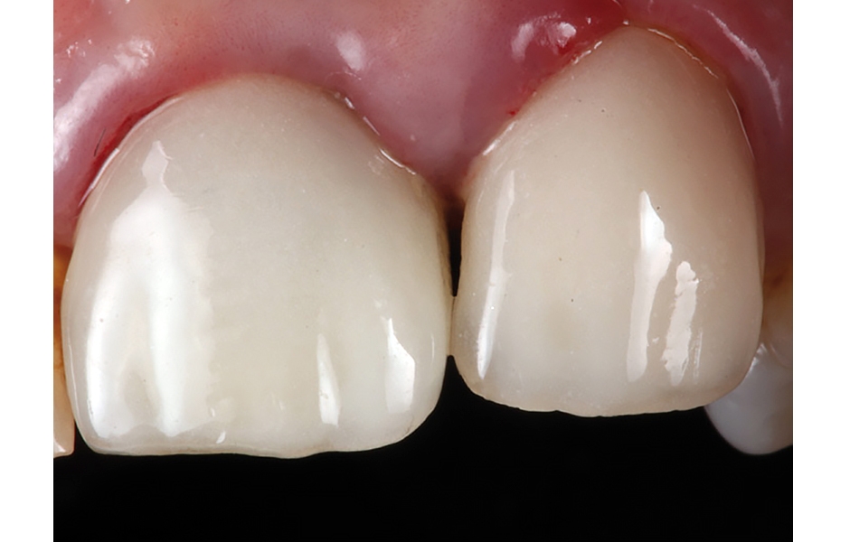
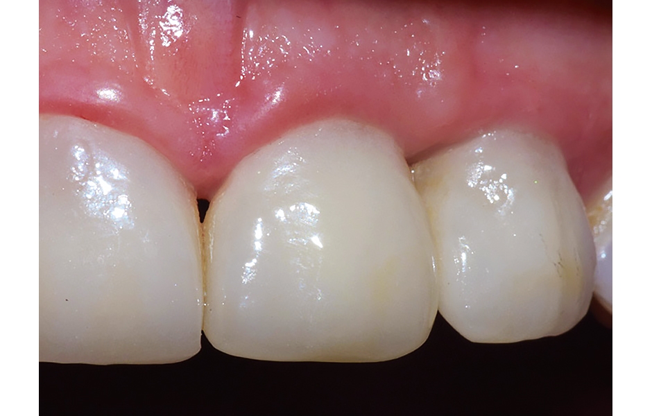
 - Obr. 17: Finální zirkonové korunky byly nasazeny 3 měsíce po zavedení implantátů – snímek zachycuje situaci 1 rok po operaci. 
 - Obr. 18: Kontrolní rentgenový snímek rok po zavedení implantátů. 
Buďte v obraze
Chcete mít pravidelný přehled o nových článcích na tomto webu, akcích a dalších novinkách? Přihlaste se k odběru newsletteru.
Odesláním souhlasíte s našimi zásadami zpracování osobních údajů.
 Články
Články
12. 11. 2024 | Implantologie
Digitální pracovní postupy ve stomatologii přinesly revoluci v přístupu odborníků ke složitým zákrokům – zlepšují přesnost, efektivitu a dosažené klinické výsledky. Mezi digitálními inovacemi se výrazně prosazují systémy pro plnou navigaci...
 Články
Články
22. 3. 2024 | Implantologie
Pacientka, 45letá žena (Madrid, Španělsko) utrpěla vážnou frakturu zubů 21 a 22...
 Články
Články
12. 6. 2024 | Implantologie
Dále bylo naplánováno zhotovení provizorního šroubovaného můstku z PMMA vyrobeného pomocí CAD/CAM. Subgingivální tvar můstku by měl být konkávní od horní části implantátu až po úroveň gingivy…






