Náhrada frontálního zubu implantátem a korunkou
2. část: Individualizovaný otiskovací člen a definitivní protetické ošetření
Náhrada frontálního zubu korunkou nesenou implantátem je z pohledu ošetřujícího týmu i pacienta úspěšná, pokud je správná funkce a zdárná biologická integrace podpořena perfektní „růžovou a bílou“ estetikou. Počínaje plánováním přes analogový nebo virtuální wax-up pomáhá dokonale strukturovaná metoda v chirurgických, protetických a technických postupech dosáhnout kýženého cíle ošetření.
V 1. části tohoto příspěvku (StomaTeam 6/2019 nebo na www.stomateam.cz) byla popsána chirurgická procedura a první protetická fáze s tvarováním měkkých tkání prostřednictvím laboratorně zhotovené, dlouhodobě provizorní korunky. Druhá závěrečná část se zabývá výrobou individualizovaného otiskovacího členu a následným definitivním protetickým ošetřením.

Výroba individualizovaného otiskovacího členu
Po skončení několikaměsíčního tvarování měkkých tkání po zavedení nitrokostního implantátu nahrazujícího pravý horní střední řezák ztracený úrazem, které probíhalo s pomocí provizorní korunky zhotovené zubním technikem, se periimplantární tkáně stabilizovaly s vytvořením dvou papil vyplňujících téměř zcela aproximální prostory a s přirozeně působícím průběhem gingiválního sulku (obr. 1). Klinická situace tím byla připravena pro zhotovení definitivní protetické rekonstrukce nesené implantátem. Laboratorně zhotovená provizorní korunka byla v průběhu tvarování měkkých tkání ordinačně upravována ve tvaru svého výstupního profilu skrze marginální gingivu. Ošetřující lékař musí tyto změny zprostředkovat zubnímu technikovi pomocí nového otisku implantátu pro výrobu přesného pracovního modelu zohledňujícího novou situaci v ústech. Toto otiskování se provádí pomocí individualizovaného otiskovacího členu, který odpovídá provedeným změnám na emergence profilu.1–3
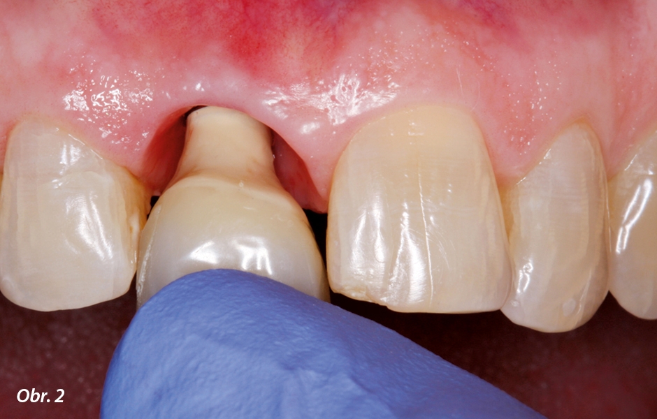
K výrobě tohoto otiskovacího členu byla opatrně z úst pacientky vyjmuta dlouhodobá provizorní náhrada našroubovaná na nitrokostním implantátu (obr. 2). Na první pohled byla patrna dobře vytvarovaná architektura měkkých tkání, u které byly jak vertikální výška volného okraje gingivy vestibulárně v místě implantátu, tak i horizontální tloušťka tkání srovnatelná se situací na vedlejším levém středním řezáku (obr. 3). Po dobu sejmutí dlouhodobého provizoria, potřebnou pro výrobu individualizovaného otiskovacího členu, bylo zabráněno kolapsu intraorálních měkkých tkání našroubováním konfekčního vhojovacího válečku, jehož objemové nedostatky ve srovnání s provizorní korunkou byly kompenzovány cirkulárním vstříknutím silikonu, používaného na skusové registráty, kolem obvodu válečku.4
Provizorní korunka, vyjmutá z úst pacientky, s individualizovaným emergence profilem byla očištěna a našroubována na kompatibilní laboratorní analog (obr. 4). Sešroubované komponenty byly vloženy do otiskovací hmoty (obr. 5) pro okopírování cervikální části provizorní korunky, jež definuje profil zanoření do měkkých tkání (obr. 6). Po ztuhnutí otiskovacího materiálu byla provizorní korunka z laboratorního analogu odšroubována (obr. 7) a po pečlivém očištění opět našroubována zpět do úst pacientky, protože před definitivním otiskováním bylo třeba ještě nabrousit levý střední řezák na plánovanou fazetu.
Na konfekčním otiskovacím členu, kompatibilním s implantačním systémem, byly diamantovým brouskem vytvořeny retence (obr. 8), a tento člen byl následně našroubován na laboratorní analog zalitý v otiskovacím materiálu (obr. 9). Rozdíl objemu mezi standardním otiskovacím členem a individualizovaným profilem, představovaným otiskem v otiskovací hmotě, byl doplněn pryskyřicí (obr. 10).2, 3
Je potřeba dávat pozor na to, aby byla pryskyřice při individualizaci otiskovacího členu vytvarována v oblasti aproximálních prostor dostatečně vysoko kvůli dostatečné podpoře interdentálních tkání během otiskování.2 Proto je třeba vytvořit nezbytné předpoklady již dostatečným zanořením provizorní korunky do otiskovací hmoty. Po ztvrdnutí pryskyřice byl nyní již individualizovaný otiskovací člen opět sejmut z laboratorního analogu (obr. 11). Tento pracovní postup dovoluje precizní zkopírování emergence profilu intraorálně upravené provizorní korunky na otiskovací člen,3 a tím i tvarově analogickou výrobu definitivního abutmentu a celokeramické korunky.
Preparace na fazetu
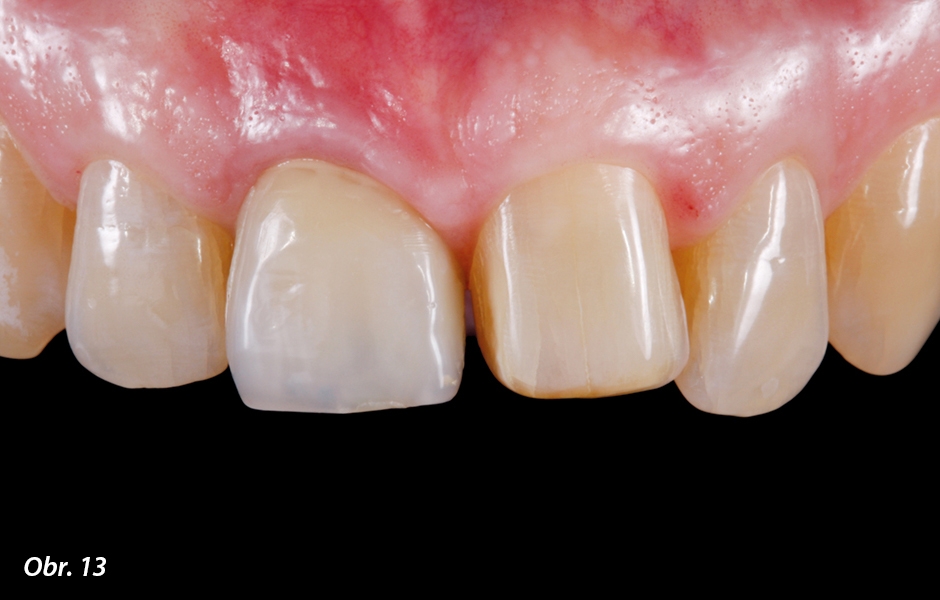
Klinická výchozí situace jasně ukazuje, že na pacientčině levé straně se střední horní řezák jeví příliš krátký ve srovnání s průběhem incizní hrany postranního řezáku (viz obr. 1). Tento stav obtěžoval pacientku již delší čas. Proto pro ni bylo velmi důležité esteticky tuto situaci řešit a spolu s korunkou na implantátu korigovat i nedostatek vertikálního rozměru klinické korunky zubu 21. Za tímto účelem byl preparován levý střední řezák na minimálně invazivní keramickou fazetu (obr. 12, 13).
Základní barva preparovaného zubu byla ošetřujícím lékařem zdokumentována pomocí digitální fotografie společně se speciálním vzorníkem odstínů pahýlu a tato obrazová dokumentace byla následně elektronicky zaslána do zubní laboratoře. Takovýto postup dovoluje zubnímu technikovi, který jinak zpravidla nemá žádnou znalost o barvě pahýlu, zohlednit tuto důležitou informaci při vrstvení keramiky.
Otiskování implantátu s individualizovaným otiskovacím členem
Po preparaci zubu 21 na keramickou fazetu byla provizorní korunka z implantátu opět sejmuta, bez jakékoli prodlevy byl na její místo zašroubován individualizovaný otiskovací člen (obr. 14) a pečlivě dotažen (obr. 15, 16). Individualizovaný otiskovací člen přejímá během otiskování podpůrnou funkci kvůli zabránění kolapsu a zachování vytvarovaného profilu periimplantárních měkkých tkání.5 Dostatečnou aproximální výškou je pak podpořena i oblast papil. Detailní otisknutí pozice implantátu a morfologie periimplantárních tkání včetně preparace na fazetu levého řezáku bylo provedeno polyéterovou otiskovací hmotou v laboratorně zhotovené individuální lžíci otevřenou technikou (obr. 17). Tímto postupem lze snadno a spolehlivě, beze ztráty informace, přenést situaci měkkých tkání na laboratorní pracovní model potřebný k výrobě definitivní protetické rekonstrukce.1, 6 Po sejmutí otisku byla provizorní korunka opět našroubována na implantát a na zubu 21 bylo k překrytí preparace na fazetu zhotoveno kompozitní provizorium z volné ruky (obr. 18).

Po skončení několikaměsíčního tvarování měkkých tkání se periimplantární struktury stabilizovaly se současným vytvořením dvou, aproximální prostory téměř zcela vyplňujících, papil a přirozeně působícího průběhu sulku marginální gingivy

Po uvolnění šroubovaného spojení byla laboratorně zhotovená provizorní korunka opatrně sejmuta z nitrokostního implantátu

Architektura měkkých tkání, vytvořená pomocí dlouhodobého provizoria, je srovnatelná se situací kopírovaného přirozeného levého středního řezáku

Provizorní korunka, vyjmutá z úst pacientky, s individualizovaným emergence profilem byla očištěna a našroubována na kompatibilní laboratorní analog

Provizorní korunka našroubovaná na laboratorní analog, který určuje obrys profilu zanoření náhrady skrze měkké tkáně, byla zalita do otiskovací hmoty za účelem duplikace cervikální části korunky

Provizorní korunka našroubovaná na laboratorní analog, který určuje obrys profilu zanoření náhrady skrze měkké tkáně, byla zalita do otiskovací hmoty za účelem duplikace cervikální části korunky

Znázornění kopírovaného emergence profilu po vyjmutí provizorní korunky z dublovací hmoty

Na kompatibilním konfekčním otiskovacím členu byly pomocí brousku zhotoveny retence

Konfekční otiskovací člen byl našroubován do zalitého laboratorního analogu. Rozdíl v objemu vůči výslednému emergence profilu je jasně patrný

Mezera mezi standardním otiskovacím členem a dublovacím materiálem byla kvůli zkopírování vytvarovaného emergence profilu vyplněna zatékavou pryskyřicí

Pryskyřicí individualizovaný otiskovací člen, který precizně kopíruje emergence profil provizorní korunky a tím poskytuje optimální oporu měkkým tkáním během otiskování

Horní levý střední řezák byl kvůli optimalizaci tvaru a délky obou středních řezáků napreparován na minimálně invazivní fazetu. Hloubkovým značkovačem byla stanovena nepatrná labiální hloubka preparace.

Dokončená preparace na fazetu s incizálním schůdkem za účelem prodloužení zubu pomocí keramické fazety

Individualizovaný otiskovací člen byl po sejmutí provizorní korunky bez jakékoli prodlevy našroubován na implantát

Pečlivě přišroubovaný individualizovaný otiskovací člen přejímá během otiskování podpůrnou funkci pro periimplantární měkké tkáně. Při dostatečné aproximální výšce je dobře podepřena i oblast papil.

Pohled z incize ukazuje cirkulární oporu měkkých tkání během otiskování prostřednictvím individualizovaného otiskovacího členu

Přesný otisk pozice implantátu a individuálního vytvarování profilu zanoření

Po otiskování byla provizorní korunka přišroubována zpět na implantát a na zubu 21 bylo kvůli překrytí preparace na fazetu zhotoveno kompozitní provizorium z volné ruky

Pracovní model s připraveným žáruvzdorným pahýlem k navrstvení keramické fazety pro zub 21

V první fázi vrstvení fazety z živcové keramiky byly vystavěny opakní oblasti

Závěrečným vrstvením byla fazeta hotova

Vzhledem k tenké a translucentní vrstvě si lze jasně povšimnout, že výsledná barva nasazené keramické fazety je v tomto případě závislá především na barvě napreparovaného zubního pahýlu

Vnitřní strana fazety ukazuje přechody z translucentního labiálního vrstvení keramiky do opakních incizálních a aproximálních oblastí

Pro implantát v místě 11 byl zhotoven hybridní abutment, jehož okraj probíhal cca 0,5 až 1,0 mm subgingiválně

Individuální abutment přesně kopíroval emergence profil dlouhodobě provizorní korunky

Hybridní abutment sestává z titanové báze a z individuálně zhotovené zirkonoxidové nástavby, které byly navzájem slepeny v laboratoři

K hybridnímu abutmentu a fazetě byla vyrobena také přesná provizorní korunka z kompozitu

K hybridnímu abutmentu a fazetě byla navíc vyrobena ještě přesná provizorní korunka z kompozitu

Zirkonoxidová konstrukce definitivní keramické korunky s přenosovou kapnou pro otiskování technikou Pick-up

Laboratorně zhotovené podklady pro další ordinační sezení

Pomocí laboratorně zhotoveného přenosového klíče byl definitivní abutment po sejmutí provizorní korunky umístěn a našroubován na nitrokostní implantát

Pomocí laboratorně zhotoveného přenosového klíče byl definitivní abutment po sejmutí provizorní korunky umístěn a našroubován na nitrokostní implantát

Individuální abutment perfektně podepřel periimplantární měkké tkáně v horizontálním směru

Rovněž ve vertikálním směru byly díky abutmentu perfektně podepřeny měkké tkáně. To bylo jasně patrné na aproximálních papilách.

Estetická zkouška keramické fazety na zubu 21 s použitím Try-in pasty

Fazeta byla definitivně fixována na zub pomocí kompozitu

Umístění zirkonoxidové konstrukce (s přenosovou kapnou) na abutment

Otisk nové intraorální situace

Nasazení nové kompozitní korunky na implantát

Výroba nového pracovního modelu pro zhotovení definitivní korunky

Fazetovaná zirkonoxidová korunka určená pro implantát v lokaci 11

Cervikální emergence profil korunky bez přerušení navazuje na profil individuálního abutmentu

Na labiálním a aproximálním okraji byla zirkonoxidová konstrukce nepatrně zkrácena a doplněna fazetovací keramikou

Pod UV světlem se díky fazetovací keramice objevila vynikající fluorescence i na okraji definitivní korunky

Po sejmutí provizorní korunky z implantátu se odhalila nepodrážděná marginální gingiva s perfektním podepřením měkkých tkání individuálním hybridním abutmentem jak ve vertikálním, tak i v horizontálním směru

Po sejmutí provizorní korunky z implantátu se odhalila nepodrážděná marginální gingiva s perfektním podepřením měkkých tkání individuálním hybridním abutmentem jak ve vertikálním, tak i v horizontálním směru

U obou rekonstrukcí je po dvou týdnech od nasazení patrna dobrá funkční i estetická integrace

U obou rekonstrukcí je po dvou týdnech od nasazení patrna dobrá funkční i estetická integrace

Snímek v lehkém protruzním postavení

Rovněž laterální pohled zprava i zleva ukazují uspokojivý objem měkkých tkání

Rovněž laterální pohled zprava i zleva ukazují uspokojivý objem měkkých tkání

Harmonie rekonstrukcí v kombinaci se rty

Harmonie rekonstrukcí v kombinaci se rty

Harmonie rekonstrukcí v kombinaci se rty

Rovněž pod UV světlem se nedá rozeznat žádný rozdíl mezi keramickými rekonstrukcemi a přirozenými zuby

Rentgenový snímek ukazuje dobrou a stabilní oseointegraci implantátu

Pacientka se nám za vydařené ošetření odvděčila radostným úsměvem
Laboratorní výroba individualizovaného abutmentu a fazety
Po zhotovení sádrového pracovního modelu byl v zubní laboratoři připraven nový wax-up s požadovanými rozměry zubů (obr. 19). Na žáruvzdorném modelu byla následně pro levý střední řezák zhotovena individuálně vrstvená keramická fazeta z živcové keramiky (obr. 20–23). Rovněž byl vyroben individualizovaný hybridní abutment pro implantát v oblasti 11, který zcela přesně kopíroval subgingivální emergence profil provizorní korunky (obr. 24–26). Hybridní abutment se skládal z titanové báze a individuálně zhotovené zirkonoxidové nástavby. Oba díly byly slepeny dohromady za optimálních podmínek v zubní laboratoři (viz obr. 26).7, 8 Podpora emergence profilu měkkých tkání je zajištěna z větší části pomocí individuálního abutmentu a pouze koronálně přebírá tuto funkci definitivní korunka fixovaná na abutment.9 „Preparační okraj“ abutmentu pro korunku by měl být umístěn cca 0,5 až 1,0 mm subgingiválně.10–12 Toto umožňuje, aby mohl být během fixace cementované korunky kontrolován a zcela odstraněn přebytek fixačního materiálu a došlo tak k vyloučení nebezpečí vzniku cementem podmíněné periimplantitis. Během tohoto pracovního procesu byla v zubní laboratoři zhotovena ještě jedna nová provizorní korunka z kompozitu k umístění na hybridní abutment (obr. 27, 28) i zirkonoxidová konstrukce definitivní korunky (obr. 29, 30).
Našroubování individualizovaného abutmentu na implantát a fixace fazety
Po sejmutí provizorní korunky a provizorní fazety byl definitivní individualizovaný abutment přenesen pomocí laboratorně zhotoveného klíče na nitrokostní implantát a přišroubován momentovým klíčem (obr. 31 a 32). Abutment představoval v subgingivální oblasti přesnou kopii dlouhodobě provizorní korunky a podepřel tak periimplantární měkké tkáně stejným způsobem jak v horizontálním (obr. 33), tak i ve vertikálním směru (obr. 34).
Následně byla vyzkoušena i keramická fazeta a zhodnocena z estetického a funkčního hlediska. Během toho byla nejprve na vlhkých zubech určena barva kompozitu použitého k fixaci fazety. Kvůli ověření vzhledu barvy a translucence fazety („estetická zkouška“) byl pomocí vodou rozpustných past Try-in, které barevně odpovídají vytvrzenému fixačnímu kompozitu, eliminován vzduch z fixační spáry („optické propojení“) (obr. 35). Tento vzduch ve fixační spáře by na základě jeho odlišných vlastností při lomu světla vedl k chybnému optickému působení.13–15 Prostřednictvím různých fixačních kompozitů, které se liší ve svém barevném tónu a intenzitě či případně opacitě, lze docílit maximálně pouze drobných úprav barvy fazety. Nepatrná tloušťka vrstvy fixačního kompozitu nedovoluje při výraznějším odklonu barvy fazety od stanoveného odstínu zpravidla žádné významné úpravy. Víceméně se tím dají korigovat pouze nepatrné rozdíly ve velmi omezeném rozsahu.16 Na druhou stranu ale z toho vyplývá i nebezpečí, že volbou špatného fixačního kompozitu (jako např. bílé opakní barvy) dojde esteticky ke zničení barvy a translucence perfektně vyrobené fazety. Estetická zkouška s Try-in pastou ve správném okamžiku je tak předpokladem pro zdařilý závěr ošetření. Aby se zamezilo přesušení zubů a s ním spojené reverzibilní zesvětlení a opakně působící vzhled,17–19 musí tato estetická kontrola samozřejmě probíhat na navlhčených zubech. Po očištění zubů a fazety od Try-in pasty proběhla následně ještě v rámci funkční zkoušky intraorální kontrola dosazení a okrajového uzávěru fazety.
Vzhledem ke svému jemnému designu jsou fazety před dokončením adhezivní fixace výrazně náchylnější k prasknutí než celokeramické korunky. Svoji výslednou pevnost získávají teprve adhezivní fixací ke tvrdým zubním tkáním a tím dosahují pevného spojení. Dostatečná adhezivní vazba ke tvrdým zubním tkáním – zvláště ke sklovině, která svojí torzní pevností fazetovou keramiku stabilizuje – je klíčovým faktorem pro dlouhodobou klinickou úspěšnost.20, 21 Jak fazeta, tak i povrch zubu byly připraveny podle pravidel adhezivní techniky a následně byla fazeta fixována na zub nízkoviskózním kompozitem (obr. 36). Tenké fazety dovolují při vytvrzování polymerační lampou použití čistě světlem tuhnoucího fixačního kompozitu.
Výsledná barva adhezivně fixované keramické fazety je určena třemi různými faktory, které v závislosti na translucenci či případně opacitě keramiky, na tloušťce fazety a na dosazení výrobku na zub (to znamená na velikosti fixační spáry a z toho vycházející tloušťka vrstvy fixačního kompozitu), vykazují rozdílnou váhu co do výsledného efektu. Mezi tyto faktory patří barva fazetové keramiky,16, 22 barva preparovaného zubního pahýlu23 a barva fixačního kompozitu (Cave: vyvarujte se velmi opakních fixačních kompozitů u tenkých translucentních fazet!).22, 24 Z toho plyne doporučení, že by zvláště při fixaci tenkých a translucentních fazet – jako u tohoto případu – neměly být bezprostředně vedle sebe umístěné korunky a fazety fixovány během jednoho ordinačního sezení, protože vlivem fixačního kompozitu, dostupného jen v několika různých barevných odstínech, může dojít k odchylce barvy keramické korunky, i když většinou též jen nepatrné, protože korunka je na základě optických vlastností konstrukční keramiky ve srovnání s fazetovou keramikou vzhledem k výrazně silnější vrstvě keramiky prakticky nenáchylná k vlivu rozdílné barvy fixačního kompozitu.25 U esteticky náročnějších případů by to pak mohlo způsobovat problémy, protože obě rekonstrukce jsou již ireverzibilně fixovány, a tím by byly znemožněny další případné korekce výsledné barvy. Tomu lze velmi snadno zabránit tím, že se nejprve adhezivně fixuje pouze fazeta a k ní se na sousední pahýl nasadí nová provizorní korunka. Po ověření či spíše opakovaném určení barvy a translucence nasazené fazety zubním technikem několik dní po fixaci fazety – když už jsou všechny zuby opět rehydratovány – se teprve dokončí sousední keramická korunka, která se pak fixuje v další návštěvě. Tento postup je sice poměrně náročný a pro pacientku tím pádem i dražší, optimalizuje ale estetický výsledek a předchází případnému zklamání.
Po nasazení keramické fazety na zub 21 byla na abutment připevněna zirkonoxidová konstrukce definitivní korunky. Přes konstrukci byla umístěna plastová kapnička s retencemi (obr. 37). Tento způsob dovoluje zubnímu technikovi umístit přesně konstrukci korunky během následného otiskování, které je nezbytné pro přenesení nové intraorální situace na pracovní model (obr. 38). Na konci tohoto sezení byl implantát opatřen novou, laboratorně zhotovenou provizorní korunkou (obr. 39).
Laboratorní výroba korunky nesené implantátem
Na základě nového otisku byl zhotoven aktuální pracovní model. Nejprve byla zirkonoxidová kapna zasazená v otisku vyplněna pryskyřicí a pak byl zbytek otisku vylit sádrou (obr. 40). Na tomto modelu byla následně zhotovena korunka nahrazující zub 11. Jednalo se přitom o korunku s konstrukcí ze zirkonoxidové keramiky, na kterou lze napalovat příslušnou fazetovací keramiku (obr. 41). Na sádrovém duplikátu individuálního abutmentu je jasně patrné, jak emergence profil z lehce subgingiválně probíhající „preparační hranice“ abutmentu bez přerušení pokračuje v cervikální oblasti korunky (obr. 42). Tím dojde k optimálnímu podepření periimplantárních měkkých tkání v místě zanoření korunky.
Na labiálním a aproximálním okraji byla zirkonoxidová konstrukce nepatrně zkrácena a fazetována keramikou (obr. 43). Toto je nejlepší možnost, jak dosáhnout u fazetované zirkonoxidové korunky adekvátní optické hloubky v translucentní cervikální zóně zubu. Navíc působí tato keramická vrstva též pozitivně na fluorescenci korunky v oblasti sousedící s gingivou (obr. 44). Protože je fluorescence v gingivální třetině přirozeného zubu vyjádřena zpravidla výrazněji, působí nepřirozený průběh fluorescence u protetické práce nehezky.26, 27
Fixace korunky
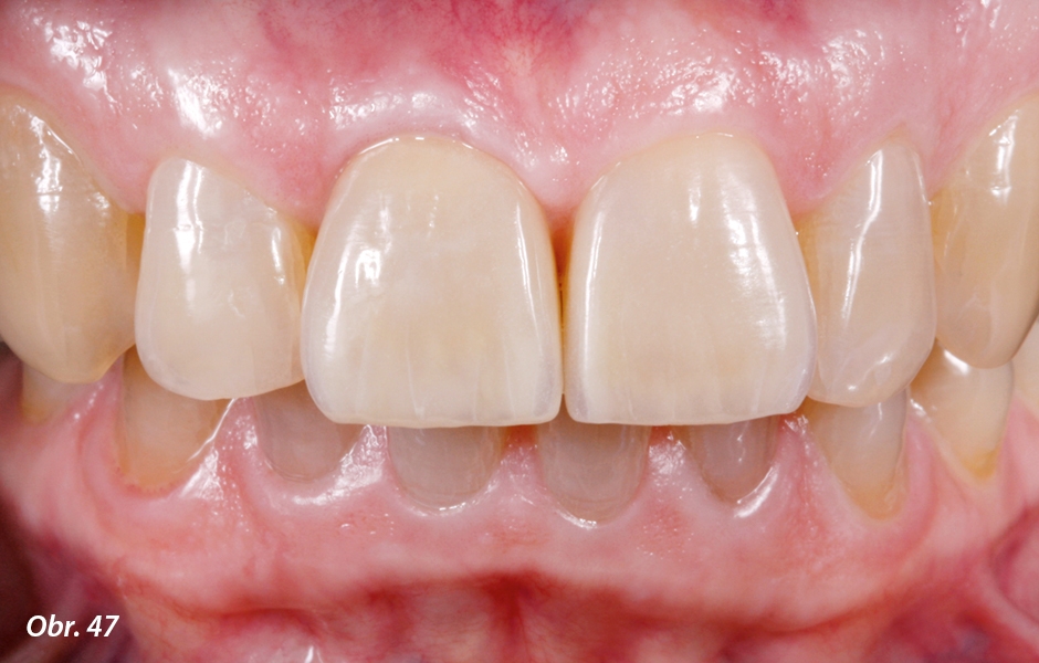
Po sejmutí provizorní korunky z implantátu byla patrna zdravá marginální gingiva s perfektní oporou měkkých periimplantárních tkání způsobenou individuálním hybridním abutmentem jak ve vertikálním (obr. 45), tak i v horizontálním směru (obr. 46). Otvor pro šroubek abutmentu byl uzavřen pomocí teflonové pásky a kompozitu. Při přípravě na definitivní fixaci zirkonoxidové korunky na abutment bylo velice opatrně cirkulárně okolo abutmentu zavedeno tenké retrakční vlákno a následně byla definitivně nasazena korunka vyplněna samoadhezivním, duálně tuhnoucím fixačním kompozitem.28 Dva týdny po fixaci korunky na implantát vykazovaly obě rekonstrukce dobrou funkční i estetickou integraci do zubního oblouku (obr. 47–51). I v kombinaci se rty působí celá protetická práce velice harmonicky (obr. 52–54). Pod UV světlem je patrna přítomná fluorescence obou rekonstrukcí, jež se však neliší od přirozených tvrdých zubních tkání (obr. 55). Závěrečný rentgenový snímek ukázal dobrou a stabilní oseointegraci implantátu (obr. 56). Pacientka byla s výsledkem ošetření zcela spokojena (obr. 57).
Závěr
Při začleňování korunky kotvené implantátem ve frontální oblasti došlo kromě funkčního doplnění chrupu i k vydařené estetické integraci celé protetické práce. Přitom hraje vedle bílé estetiky velmi důležitou roli i červená estetika s vytvarováním emergence profilu měkkých tkání odpovídající zubu a s harmonicky probíhající gingivou při dobré stabilitě okolních měkkých tkáních. Aby bylo možno v této indikační oblasti dosáhnout esteticky vynikajících výsledků, je naprosto bezpodmínečná koordinovaná spolupráce všech členů ošetřujícího týmu.
Buďte v obraze
Chcete mít pravidelný přehled o nových článcích na tomto webu, akcích a dalších novinkách? Přihlaste se k odběru newsletteru.
Odesláním souhlasíte s našimi zásadami zpracování osobních údajů.
Part 2
Literatur:
1. Santosa, R.E., Provisional restoration options in implant dentistry. Aust Dent J, 2007. 52(3): p. 234-42; quiz 254.
2. Gamborena, I. and M. Blatz, Transferring the Emergence Profile of Single-Tooth Implant Restorations. Quintessence Dental Technology, 2004. 27: p. 119-131.
3. Joda, T., S. Pieger, and G. Heydecke, Provisorische Versorgung bei Einzelzahnimplantaten. Zahnmedizin up2date, 2011. 5(2): p. 127-142.
4. Alani, A. and M. Corson, Soft tissue manipulation for single implant restorations. Br Dent J, 2011. 211(9): p. 411-6.
5. Scheuber, S., et al., Implantattherapie nach Frontzahntrauma. Eine neue Methode zum Erhalt des Alveolarkammes nach posttraumatischer Ankylose und externer Wurzelresorption. Schweiz Monatsschr Zahnmed, 2013. 123(5): p. 417-428.
6. Gehringer, U., Die anteriore Implantatkrone. Optimale Ausformung des Weichgewebes bei implantatgestützten Frontzahnversorgungen. dental dialogue, 2018. 19(7): p. 56-63.
7. Naveau, A., C. Rignon-Bret, and C. Wulfman, Zirconia abutments in the anterior region: A systematic review of mechanical and esthetic outcomes. J Prosthet Dent, 2019.
8. Hoffmann, A., Verkleben von zweiteiligen Hybrid-Abutments. Schrittweises Vorgehen mit PANAVIA™ V5 von Kuraray Noritake. Quintessenz Zahntechnik, 2016. 42(10): p. 1428-1435.
9. Gehringer, U., Wax it up! Vom Wax-up über das Emerganzprofil zum implantatprotetischen Erfolg. dental dialogue, 2012. 13(9): p. 88-93.
10. Pelekanos, S. and G. Pozidi, Immediate One-Time Low-Profile Abutment to Enhance Peri-implant Soft and Hard Tissue Stability in the Esthetic Zone. Int J Periodontics Restorative Dent, 2017. 37(5): p. 729-735.
11. Blatz, M. and C. Goodacre, Prothetische Protokolle für implantatbasierte orale Rehabilitationen. Konsenspapier der Foundation for Oral Rehabilitation (FOR). Quintessenz Zahntechnik, 2018. 44(1): p. 13-18.
12. Börnicke, W., Befestigungsmaterialien in der restaurativen Zahnheilkunde. wissen kompakt, 2015. 9(4): p. 163-178.
13. Chadwick, R.G., J.F. McCabe, and T.E. Carrick, Rheological properties of veneer trial pastes relevant to clinical success. Br Dent J, 2008. 204(6): p. E11.
14. Xing, W., et al., Evaluation of the esthetic effect of resin cements and try-in pastes on ceromer veneers. J Dent, 2010. 38 Suppl 2: p. e87-e94.
15. Sheets, C.G. and T. Taniguchi, Advantages and limitations in the use of porcelain veneer restorations. J Prosthet Dent, 1990. 64(4): p. 406-11.
16. Omar, H., et al., Effect of CAD-CAM Porcelain Veneers Thickness on Their Cemented Color. J Dent, 2010. 38 Suppl, 2: p. e95-e99.
17. Winter, R., Visualizing the natural dentition. J Esthet Dent, 1993. 5(3): p. 102-17.
18. Schroeder, H.E., Pathobiologie oraler Strukturen. 1991, Basel: Karger-Verlag.
19. Hall, N.R. and M.C. Kafalias, Composite colour matching: the development and evaluation of a restorative colour matching system. Aust Prosthodont J, 1991. 5: p. 47-52.
20. Guess, P.C. and C.F. Stappert, Midterm results of a 5-year prospective clinical investigation of extended ceramic veneers. Dental Materials, 2008. 24(6): p. 804-813.
21. Clelland, N.L., et al., Influence of bond quality on failure load of leucite- and lithia disilicate-based ceramics. J Prosthet Dent, 2007. 97(1): p. 18-24.
22. Vaz, E.C., et al., Resin Cement: Correspondence with Try-In Paste and Influence on the Immediate Final Color of Veneers. J Prosthodont, 2019. 28(1): p. e74-e81.
23. Zhang, F., Y. Zhao, and M.E. Razzoog, Effect of layering feldspathic porcelain on resulting veneer color with aluminum oxide core. Zhonghua Kou Qiang Yi Xue Za Zhi, 2002. 37(3): p. 206-209.
24. Hajto, J. and U. Gehringer, Individuell variierende Präparationstiefe und Schichttechnik bei Frontzahnveneers. Quintessenz Zahntechnik, 2011. 37(8): p. 990-1000.
25. Hajto, J., Veneers - Materialien und Methoden im Vergleich. Teamwork Interdiszipl J Proth Zahnheilk, 2000. 3(2): p. 195-202.
26. Gamborena, I. and M.B. Blatz, Fluoreszenz - Ästhetik in der Implantologie durch Nachahmung der Natur. Quintessenz Zahntechnik, 2011. 37(1): p. 1598-1613.
27. Magne, P., M. Magne, and U. Belser, The esthetic width in fixed prosthodontics. J Prosthodont, 1999. 8(2): p. 106-18.
28. Bindl, A., Keramik krönt das Implantat. Dental Magazin, 2007. 25(5): p. 80-84.
Články
22. 3. 2024 | Implantologie
Pacientka, 45letá žena (Madrid, Španělsko) utrpěla vážnou frakturu zubů 21 a 22...
Články
12. 11. 2024 | Implantologie
Digitální pracovní postupy ve stomatologii přinesly revoluci v přístupu odborníků ke složitým zákrokům – zlepšují přesnost, efektivitu a dosažené klinické výsledky. Mezi digitálními inovacemi se výrazně prosazují systémy pro plnou navigaci...
Články
12. 6. 2024 | Implantologie
Dále bylo naplánováno zhotovení provizorního šroubovaného můstku z PMMA vyrobeného pomocí CAD/CAM. Subgingivální tvar můstku by měl být konkávní od horní části implantátu až po úroveň gingivy…











