Komplexní léčebný plán v implantologii s využitím imediátní náhrady
1. část
Celkové náhrady hrají v zubním lékařství důležitou roli i v moderní éře, kde dominuje implantologie. Všechny případy bezzubosti nelze vyřešit pomocí fixní náhrady kotvené implantáty, které však lze většinou využít jako retenční podporu celkových snímatelných náhrad. Rovněž se předpokládá, že pouze malé procento obyvatel může dosáhnout na léčbu, která vyžaduje vysoké náklady – celkové snímatelné náhrady dobré kvality jsou proto stále aktuální. V případě rozhodování se mezi řešením bezzubosti snímatelnou náhradou nebo implantáty hraje imediátní náhrada (IMN) důležitou roli, protože rehabilituje pacienta bezprostředně po extrakci chrupu za podmínek, které jsou esteticky a funkčně přijatelné. IMN umožňuje zachovat informace o mezičelistních vztazích pacienta, pokud je přítomna zbytková dentice, a to i v případě, že jsou stávající mezičelistní vztahy již značně narušeny. Ztráta tohoto souboru údajů je neodpustitelnou chybou a zdrojem frustrace a následných potíží.

Léčebný plán by měl být přizpůsoben věku pacienta: U částečné bezzubosti mladých osob je možno kotvit náhradu sousedními zuby s dobrým biologickým faktorem. U starších osob bychom měli zvolit náhradu kotvenou implantáty, a to buď náhradu fixní nebo, v případě velké ztráty tkání alveolu, náhradu hybridní. Při volbě protetického řešení je u pacientů pokročilého věku nutno zohlednit i případnou ztrátu manuální zručnosti.
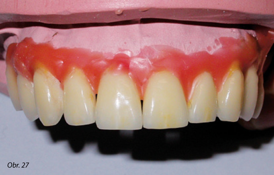
Je také důležité shromáždit dostatek dokumentace: Fotografie pacienta v mladším věku k vyhodnocení tvaru zubů a linie úsměvu dle přirozené dentice, současné intra a extraorální fotografie pacienta, modely situace v ústech zastavěné do artikulátoru s hodnotami přenesenými obličejovým obloukem. I při defektech v zubním oblouku a narušení okluze pomůže zbytkový chrup určit vertikální mezičelistní rozměr, tedy rozměr, který bude extrakcemi ztracen. Zachování vertikálního mezičelistního vztahu bude u našeho pacienta v následujících měsících pojištěno také postupnou rebazí IMN ve vícero krocích. Žádoucí ochrana vertikálního rozměru okluze je doprovázena dalšími výhodami jako je ochrana operační rány, udržení jazyka v neutrální zóně, a v neposlední řadě je pacient, u něhož byla aplikována imediátní náhrada, obecně více spokojen s definitivní celkovou náhradou. Toto je obzvláště důležité u starších lidí, u kterých je omezena stereognozie, jmenovitě schopnost „přijmout cizí těleso“, která je spojena s možností rozvoje nových reflexů důležitých pro stabilizaci celkové náhrady. Imediátní náhrada je obvykle transformována v definitivní celkovou náhradu po 6 až 8 měsících.
V rámci současných implantologických standardů s využitím CBCT byly pro celkové rekonstrukce chrupu vyvinuty předprogramované metody fixní protetické rehabilitace, které jsou z funkčního a estetického hlediska efektivní. Tyto rehabilitační postupy začínají u esteticky a funkčně uspokojivé imediátní snímatelné náhrady.
IMN, respektive její transparentní duplikát, poslouží pro navigaci umístění implantátů do pozice dle anatomie kosti a optimálního umístění protetické rekonstrukce. Podle modelu imediátní náhrady je vytvořena chirurgická šablona s integrovanou polohou implantátů a polohou zaváděcího pinu. Zduplikovaný model imediátní náhrady lze také využít pro výrobu skusové šablony. Otisk situace se zavedenými implantáty je pak prováděn pomocí transparentní repliky imediátní náhrady v maximální interkuspidaci. Pro zhotovení náhrady kotvené implantáty jsou tak zachovány veškeré estetické a funkční parametry zachycené ve vyhovující imediátní náhradě a není tedy nutno zhotovovat další provizorní náhradu.
Buďte v obraze
Chcete mít pravidelný přehled o nových článcích na tomto webu, akcích a dalších novinkách? Přihlaste se k odběru newsletteru.
Odesláním souhlasíte s našimi zásadami zpracování osobních údajů.
Klinický případ
Pacient, 52 let, s chronickou parodontitidou v terminální fázi, byl indikován pro celkovou náhradu zubů omezenou na horní oblouk se zachováním a dočasným udržováním spodních zubů od 35 po 45 (obr. 1–3). Ve své anamnéze pacient, který je bývalým kuřákem, uvedl, že nemá žádné další patologie (ASA1). Požadavek pacienta: vyřešit početné akutní infekty celkovou náhradou s perspektivou fixního řešení pomocí implantátů.
Výrobní postup pro imediátní náhrady je obdobný jako u celkových náhrad:
Předplaťte si StomaTeam ONLINE a získejte neomezený přístup ke kompletnímu obsahu StomaTeamu.
objednat předplatné
Články
3. 6. 2025 | Obecná stomatologie
Třicetiletý celkově zdravý pacient žádal o opravu nevyhovující kompozitní rekonstrukce provedené před 10 lety po traumatu zubu 11. Postižený zub v rámci klinického vyšetření reagoval pozitivně na test vitality. Na rentgenovém snímku nebyla objevena periapikální léze. Klinická korunka vykazovala nežádoucí zbarvení a nacházela se více palatinálně než kontralaterální řezák 21.
Články
14. 11. 2025 | Implantologie
Digitální pracovní postupy ve stomatologii přinesly revoluci v přístupu odborníků ke složitým zákrokům – zlepšují přesnost, efektivitu a dosažené klinické výsledky. Mezi digitálními inovacemi se výrazně prosazují systémy pro plnou navigaci...
Články
1. 12. 2025 | Implantologie
Aspergilóza je nejčastější příčinou oportunních mykotických infekcí u imunokompromitovaných jedinců a může být klasifikována jako invazivní nebo neinvazivní.
Pá 10. 4. 2026 – So 11. 4. 2026






