Částečné snímatelné náhrady a strategické umístění implantátů
Konvenční fixní a snímatelná protetická řešení jsou dnes již doprovázena strategickými výhodami, které může nabídnout implantologické ošetření. Od roku 2002 existuje úzus (Feine a kol., 2002), že za minimální standard ošetření je pro bezzubou dolní čelist považována celková náhrada kotvená dvěma implantáty. Stejně tak v případě náhrady jednoho frontálního zubu se sousedními intaktními zuby v jinak zdravém chrupu je za první volbu založenou na klinických důkazech považována korunka nesená implantátem (Pjetursson a Lang, 2008). Tyto dva příklady představují extrémy ve spektru rekonstrukce chybějících zubů a představují také poměrně jasné indikace ve prospěch implantátů. Ale není tomu tak vždy.

Plánování protetického ošetření je multifaktoriálním úkolem v rámci vyřešení a uspokojení potřeb a přání konkrétního pacienta. V některých případech proto nemusí být nejlepší možností volba pouze mezi konvenční a implantologickou možností ošetření – může se jednat o kombinaci těchto možností. Konkrétní ukázkou takové kombinace je indikace pro strategické použití implantátů v protetické oblasti částečných snímatelných náhrad (dále jen „ČSN“). Tento článek se zabývá principy plánování ošetření pomocí ČSN obecně a výhodami, které může nabídnout spojení ČSN s implantologickým ošetřením.
ČSN: šedá zóna ve stomatologii
ČSN jsou tradičně spojovány s menší spokojeností pacienta a potenciálním negativním dopadem na orální zdraví. Biologická rizika pro zbývající chrup obecně a pilířové zuby, zejména pokud jde o pozdější ztrátu zubů, jsou v literatuře hojně zdokumentována.
ČSN také představují značnou odbornou výzvu. Každý částečně bezzubý chrup je jedinečný (obr. 1a–c) a vyžaduje design na míru a konstrukci ČSN, která bude skutečně účinná a přijatelná.
U sedlových ČSN je také nutná znalost (ze strany zubního lékaře i zubního technika) optimální kompenzace chybějící strategické opory pro funkční náhradu. Na ČSN lze pohlížet jako na úsporné protetické řešení, ale u částečně bezzubých pacientů zůstává základem protetické péče. V případě správného designu se může jednat o komplexní, účinnou a úspěšnou protetickou rehabilitaci (Lynch, 2012).
Indikace ČSN
Z přehledu literatury z roku 2005 (Wostman a kol., 2005) vyplývá, že indikace nejsou samy o sobě založené na důkazech. Vydaná literatura nabízí pouze omezené principy plánování ošetření, které pomohou lékaři v rozhodování ve prospěch ČSN.
Na podporu volby ČSN uvádí literatura přítomnost zdravých pilířových zubů a/nebo nutnost snížit náklady na protetická řešení.
Proti ČSN hovoří přítomnost rizikových faktorů pro biologické komplikace, zubní kaz a onemocnění parodontu a nepřijetí ze strany pacienta.
Určitou kontraindikací pro ČSN je také velmi obtížné dosažení optimálně stabilní a funkční okluze při zkráceném zubním oblouku (Kaeser, 1989) (obr. 2, 3).
V případech, kdy je dosaženo optimální rekonstrukce funkce i estetiky zkráceného zubního oblouku (je-li přítomen), bylo prokázáno, že ČSN mohou fungovat i déle než 27 let (Gerritsen a kol., 2013).
Protetické výhody konvenčních ČSN
Navzdory omezené opoře v literatuře pojednávající o ČSN jsou nepochybně klinické situace, kde jsou ČSN nejen indikovány, ale mohou oproti jiným možnostem nabídnout určité výhody. Na základě empirických zkušeností k nim patří (Stilwell, 2010):
- Všestrannost designu: Za přítomnosti zubů s nejistou prognózou je možné navrhnout ČSN, kterou lze při ztrátě dalších zubů doplnit jejich náhradou. V případě mobilních zubů může ČSN sloužit jako definitivní dlaha (obr. 4).
- Náhrada ztracených tvrdých i měkkých tkání: Pečlivě konstruovaná a probarvená pryskyřičná báze ČSN může doplnit chybějící objem alveolárního hřebene. Je také možno přizpůsobit a harmonicky začlenit umělé zuby ČSN do zbývajícího přirozeného chrupu (obr. 5). Je to neinvazivní a v některých případech předvídatelnější alternativa k chirurgickým procedurám augmentace tvrdých a měkkých tkání.
- Strategické použití pilířů pro hybridní náhrady: U zubů, které mají nepříznivý poměr korunky vůči kořenu, může redukce na úroveň gingivy zlepšit prognózu. Jako pilíře budou poskytovat cennou oporu a budou tedy mít strategickou hodnotu, protože bude možno vyhnout se volným sedlům. Mohou také zajistit kotvení ČSN (obr. 6).
Kombinace implantátů a ČSN
Podobnou oporu a kotvení, jaké mohou poskytnout zuby upravené na pilíře, nabízejí podle klinických důkazů strategicky umístněné implantáty.
Dva samostatné přehledy literatury (Shamiri a Atieh, 2010; de Freitas, 2012) hodnotily účinek tohoto řešení u ČSN jednostranně a oboustranně zakončených volným sedlem (obr. 7).
Přehledy byly zaměřeny na spokojenost pacientů, míru zachování implantátů, protetické komplikace a údržbu. Přinesly omezené, ale pozitivní a slibné důkazy pro nesporné zvýšení spokojenosti pacientů s ČSN. Získané údaje také naznačují vysokou míru zachování implantátů a komplikace a údržbu celkově srovnatelné s konvenčními ČSN.
Oba přehledy došly k závěru, že strategické použití implantátů jako opory a/nebo ukotvení je velice slibné jako cenná výhoda pro stabilizaci ČSN zakončených volným sedlem i coby jednoduchá, ekonomická a méně invazivní možnost protetického ošetření za účelem rehabilitace částečně bezzubého pacienta (obr. 8).
Indikace implantátů pro ČSN
Implantologické indikace je možno rozdělit podle podpory, kterou poskytují ČSN a výhod, které nabízejí pro další protetické plánování.
Podpora implantátu u ČSN
Zahrnuje zlepšení retence, stability a estetiky. Příklad opory je vidět na obr. 8. Kombinovaný příklad podpory v ukotvení a estetice je vidět na obr. 9: jeden implantát v oblasti horního pravého špičáku poskytuje pacientově ČSN skrytou, ale strategickou výhodu.
Další protetické plánování
Zahrnuje zachování alveolárního hřebene, postupné nahrazování dalších ztracených zubů a postupnou přeměnu na celkovou snímatelnou náhradu.
Ztráta přirozeného zubu je následována atrofií v souvislosti s procesy na alveolu (Van der Weijden a kol., 2009). Tato atrofie se bude pravděpodobně dále zhoršovat tlakem sedla ČSN na opěrné měkké tkáně. Rozsah tohoto úbytku je možno zredukovat, pokud se jí nezabrání včasným rozpoznáním a zavedením implantátu do oblasti daného zubu. Opožděná realizace může vést k nutnosti augmentace kosti.
U některého pacienta nemusí být situace pro zavedení implantátu vhodná. Je-li tomu tak, může pro možnost budoucího zavedení implantátu pomoci buď krátkodobé zachování zubu coby pilíře pro hybridní náhradu, nebo provedení zákroku za účelem zachování hřebene v době odstranění zubu.
Strategické konfigurace implantátů pro ČSN
Při plánování využití implantátů u ČSN je nutné mít na zřeteli obecné optimální podmínky pro funkční ČSN.
K popisu částečně bezzubých stavů se často používá Kennedyho klasifikace zubních defektů. Optimální pro indikaci ČSN v rámci této klasifikace je III. třída defektu s možným ukotvením náhrady v každém úseku chrupu (obr. 10).
V případě I. třídy defektu s oboustranně zkráceným zubním obloukem, II. třídy s jednostranně zkráceným zubním obloukem a IV. třídy s frontální mezerou (obr. 11–13) by měly implantáty nahradit chybějící strategické zuby a převést tyto tři situace na III. třídu.
Při plánování postupné přeměny ČSN na celkovou snímatelnou náhradu se jeví jako rozumné zaměřit se na doporučené minimální konfigurace implantátů pro zcela bezzubé čelisti. V současné době jsou doporučeny minimálně dva implantáty v dolní čelisti a čtyři implantáty v horní čelisti (Gallucci a kol., 2014).

Každý částečně bezzubý chrup je jedinečný a pokud jde o účinné řešení formou ČSN, představuje odbornou výzvu

Každý částečně bezzubý chrup je jedinečný a pokud jde o účinné řešení formou ČSN, představuje odbornou výzvu

Každý částečně bezzubý chrup je jedinečný a pokud jde o účinné řešení formou ČSN, představuje odbornou výzvu

Tento chrup má pouze jeden pár okludujících premolárů. To otevírá protetickou volbu mezi rehabilitací pomocí horní a dolní ČSN a koncepcí zkráceného zubního oblouku s náhradou chybějících tří párů premolárů.

Zde je naznačena situace zkráceného zubního oblouku s 10 horními a 10 dolními zuby a distální okluzí tvořenou čtyřmi páry protějších premolárů

Litá konstrukce byla navržena tak, aby působila zároveň jako definitivní dlaha pro horní frontální zuby a současně poskytla možnost pro doplnění dvou horních postranních řezáků

Pečlivě konstruovaný a probarvený okraj pryskyřičné ČSN může doplnit chybějící objem alveolárního hřebenu. Umožňuje také přizpůsobit a harmonicky začlenit umělé zuby ČSN do zbývajícího přirozeného chrupu.

Horní střední řezák měl nepříznivý poměr korunky vůči kořeni: redukce na pilíř pro hybridní náhradu jej změnila na strategický člen z hlediska opory i kotvení horní ČSN

Situace s oboustranně zkráceným zubním obloukem v dolní čelisti, kde může umístění implantátu v oblasti molárů poskytnout strategickou oporu nebo kotvení pro ČSN

Jeden implantát fungující jako pilíř hybridní náhrady pro jednostranné volné sedlo může poskytnout významnou oporu ČSN a celkově jednoduché, účinné a ekonomické protetické řešení

Jeden strategicky umístěný implantát v oblasti horního levého špičáku poskytuje lepší ukotvení pacientovy ČSN. Estetika náhrady není narušena, protože se kotevní prvek skryje pod sedlo náhrady.

Kennedyho klasifikace III. třídy s potenciální strategickou plošnou oporou pro ČSN o přirozené zuby poskytovanou dvěma moláry a dvěma prvními premoláry

Kennedyho klasifikace I. třídy s oboustranně zkráceným zubním obloukem, kde byl v oblasti každého moláru zaveden implantát, aby bylo dosaženo strategických výhod konfigurace III. třídy

Kennedyho klasifikace II. třídy s jednostranně zkráceným zubním obloukem, kde byl implantát zaveden v oblasti levého moláru, aby bylo dosaženo strategických výhod konfigurace III. třídy

Kennedyho klasifikace IV. třídy s mezerou ve frontálním úseku, kde by jeden či dva implantáty zlepšily protetickou situaci

Příklad ČSN pro situaci Kennedyho III. třídy. Stabilizační prvky ČSN jsou umístěny distálně (červeně). Retenční prvky (zeleně) jsou naplánovány pro horní pravý premolár a horní levý molár.

Požadavek na hygienický design vyžadující optimální úpravu slizniční plochy ČSN v oblasti pilířových i nepilířových zubů

Zuby v náhradě z obou stran přirozeného horního levého špičáku jsou vytvarovány tak, aby byly zachovány čistitelné mezizubní prostory

Aproximální prostor nad bodem kontaktu mezi přirozeným pilířem a prvním zubem náhrady umožňuje zasunutí mezizubního kartáčku. To pomůže účinnému vyčištění distální strany přirozeného zubu.

Strategicky umístěný implantát nahrazující pravý horní špičák opatřený attachmentem

Strategicky umístěný implantát nahrazující horní levý postranní řezák opatřený abutmentem s prvkem pro magnetický attachment

Horní ČSN jednostranně zakončená volným sedlem (II. třída). U této ČSN tvoří oporu molár a dva špičáky a ukotvena je prostřednictvím korunek s přesnými attachmenty.

Implantát strategicky umístěný tak, aby nahrazoval chybějící pilíř pro ČSN v místě horního špičáku a posunul celkovou konfiguraci pilířů ČSN na situaci III. třídy
Obecné požadavky pro implantologické ošetření
Pro indikace implantátů v kombinaci s ČSN platí obecné principy plánování implantologického ošetření, které zahrnují:
Rizikové faktory
Obvykle je při plánování implantologického ošetření obecně potřeba u každého pacienta uvážit sociální, zdravotní a stomatologické rizikové faktory zbývajícího chrupu. Rizika působící na výsledek implantologického ošetření (například kouření, diabetes a onemocnění parodontu) mohou převážit nad všemi strategickými přínosy. Stejně tak důležitá je anamnéza předchozích komplikací souvisejících s implantáty, jako periimplantitida nebo ztráta implantátu, či motivace pacienta a jeho schopnost pečovat o implantát, nebo zbývající přirozené zuby a ČSN. Starší pacient s ČSN zase může potřebovat speciální pokyny a podporu.
Vhodné podmínky pro zavedení implantátu
Atrofie bezzubého alveolu vylučuje u většiny pacientů s dlouhodobou ČSN dostatečný objem kosti pro bezpečné zavedení implantátu. Včasné rozpoznání před nebo brzy po ztrátě pilířového zubu je proto důležité pro zajištění toho, že budou k dispozici potřebné podmínky na tvrdých a měkkých tkáních.
Neustálé zlepšování materiálů a povrchu implantátů může v případě indikací pro ČSN umožnit použití menšího průměru a/nebo kratších implantátů, ale důkazy pro tyto možnosti jsou v současné době omezené.
Hygienický a účinný design ČSN
Literatura na téma biomechanických principů u ČSN je přinejmenším nevyhraněná. Biomechanika ČSN však logicky vychází z nutnosti stabilizace přítomnými kotevními a retenčními prvky. Příklad situace Kennedyho III. třídy můžete vidět na obr. 14 s vhodným použitím stabilizačních, spojovacích i retenčních prvků (Stilwell, 2010).
Existují určité důkazy, že otevřený hygienický design ČSN může být přínosem pro dlouhodobé zdraví zubů a měkkých tkání (Owall, 2002; Rehmann a kol., 2013).
Prvky zubní náhrady musí být navrženy tak, jak je vidět na obr. 15, aby redukovaly nebezpečí poranění tkání a současně byla možná úprava slizniční plochy ČSN.
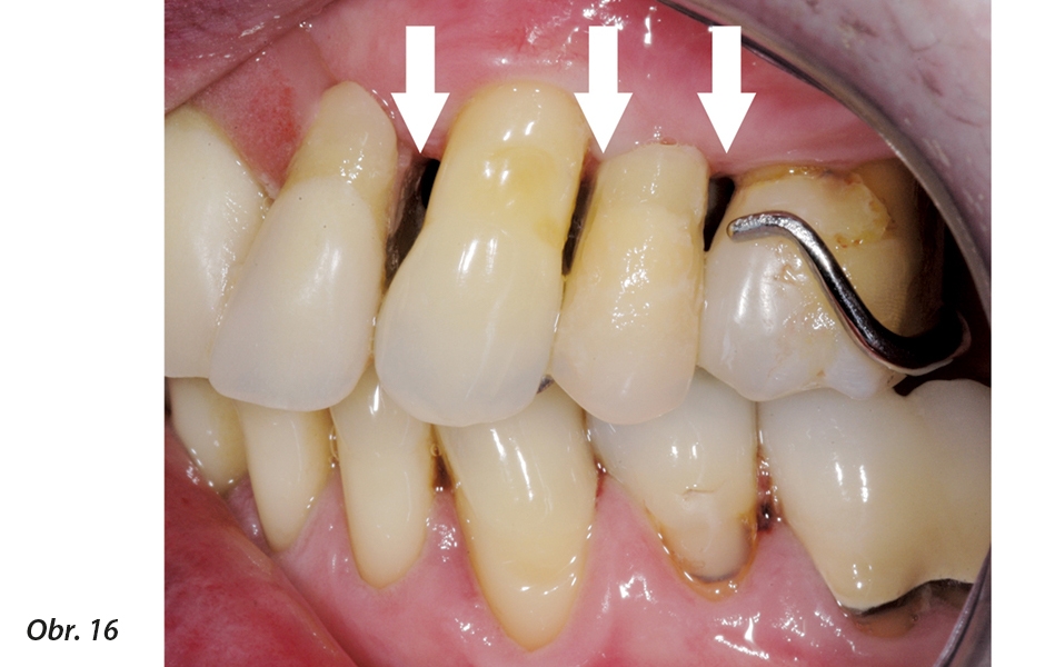
U vyobrazených příkladů horní a dolní ČSN jsou hlavní spojovací prvky mimo oba pilířové i nepilířové zuby a pod body kontaktu mezi prvním zubem náhrady a sousedním přirozeným pilířovým zubem je aproximálně prostor (obr. 16). První zub náhrady je vytvarován jako mezičlen můstku, aby napodobil přirozený aproximální prostor. Umožňuje to také přístup pro mezizubní kartáčky, a to i při nasazené zubní náhradě (obr. 17).
Implantologicko-protetické možnosti
Multicentrická studie (Wismeijer et al., 2013) zaznamenala podstatné zlepšení spokojenosti pacientů při srovnání konvenční ČSN Kennedyho I. třídy v dolní čelisti a stejné ČSN s oporou o jednotlivé strategicky umístěné implantáty pod každým volným sedlem.
Zpočátku zajišťovaly oporu vhojovací prvky. Další výrazné zlepšení spokojenosti pacientů bylo zaznamenáno, když byly vhojovací válečky nahrazeny kotevními prvky (kuličkové attachmenty).
Nyní je k dispozici celá řada attachmentů zahrnující různé typy retenčních kotevních prvků a magnety (obr. 18 a 19). Volba attachmentu je dána stejnými faktory, které platí pro každou hybridní náhradu: potřebným prostorem, úrovní potřebného kotvení, snadností použití a čištění a také cenou.
Kazuistika
Částečně bezzubé pacientce byla nejprve zhotovena v roce 1979 ČSN. V té době měla pouze sedm vlastních horních přirozených zubů. Tato rozsáhlá ztráta zubů již ve věku 32 let ji jednak šokovala a zároveň motivovala k osvojení optimální orální hygieny a jejímu dalšímu dodržování.
Horní ČSN jednostranně zakončená volným sedlem (II. třída) využívala jako oporu molár a dva špičáky a kotvení prostřednictvím attachmentů. ČSN byla úspěšně vyměněna v roce 1994 a o další výměně se uvažovalo po 16 letech v roce 2010. V té době však vyvstaly problémy s životností horních tří attachmentů na pilířových zubech.
Bylo odsouhlaseno umístění implantátu na strategické pozici s ohledem na případnou ztrátu horních a dolních pilířů ČSN a současně úprava dlouhodobé konfigurace pilířů pro ČSN. Dále bylo také schváleno umístění dalšího implantátu v oblasti horního levého moláru za účelem změny konfigurace ČSN na III. třídu.
Situaci při kontrole 5 let od zavedení implantátů můžete vidět na obr. 20 a 21.
Shrnutí a závěry
Tento článek se zabýval specifickými indikacemi pro použití implantátů za účelem poskytnutí opory a kotvení pro ČSN. Objevuje se stále více důkazů o tom, že použití implantátů tímto způsobem nabízí pozitivní funkční a estetické výhody a podstatně zvyšuje spokojenost pacientů s ČSN. Literatura také uvádí, že se jedná o jednoduchý, ekonomický a méně invazivní způsob implantologického ošetření.
Článek navrhuje některé specifické principy plánování pro strategické použití implantátů v kombinaci s ČSN, které zachovají nebo přemění situaci Kennedyho I., II. a IV. třídy na příznivější konfigurace III. třídy. Článek rovněž vysvětluje, že zde stále platí konvenční principy a požadavky protetického a implantologického plánování.
Poděkování patří International Team for Implantology (ITI) za modifikovatelnou grafiku.
Publikováno: StomaTeam 6/2019
Buďte v obraze
Chcete mít pravidelný přehled o nových článcích na tomto webu, akcích a dalších novinkách? Přihlaste se k odběru newsletteru.
Odesláním souhlasíte s našimi zásadami zpracování osobních údajů.
Pá 22. 1. 2027 – So 23. 1. 2027 | 2 dny
Články
2. 4. 2026 | Obecná stomatologie
Za každou rekonstrukční terapií nestojí pouze klinická odbornost, řemeslná preciznost a moderní technologie, ale především člověk. V tomto článku autorský tým popisuje případ mladé pacientky, která se vydala na cestu k novému úsměvu.
Články
14. 11. 2025 | Implantologie
Digitální pracovní postupy ve stomatologii přinesly revoluci v přístupu odborníků ke složitým zákrokům – zlepšují přesnost, efektivitu a dosažené klinické výsledky. Mezi digitálními inovacemi se výrazně prosazují systémy pro plnou navigaci...
Články
1. 12. 2025 | Implantologie
Aspergilóza je nejčastější příčinou oportunních mykotických infekcí u imunokompromitovaných jedinců a může být klasifikována jako invazivní nebo neinvazivní.












