Management refrakterního endodontického onemocnění pomocí radiálního apikálního čištění
Jednou z určujících vlastností bystrého endodontisty je schopnost úspěšně zaléčit refrakterní endodontické onemocnění, které je definováno jako onemocnění vzdorující, nereagující, odolné, nezvládnutelné nebo rezistentní vůči léčbě. Patogeneze refrakterního endodontického onemocnění není zcela jasná, ale je velice pravděpodobné, že důležitou roli hrají mikrobiologické a imunitní vlivy hostitele. Neúspěšné endodontické výsledky jsou často přisuzovány přetrvávající infekci udržované hluboko uloženými bakteriemi nebo reinfekci dříve dezinfikovaného systému kořenových kanálků, obvykle v důsledku koronální netěsnosti nebo fraktury zubu. Extraradikulární příčiny jsou méně obvyklé a zahrnují periapikální aktinomykózu, krystaly cholesterolu, reakci na cizí těleso, nevyřešené cystické léze a extraradikulární biofilm, a obvykle vyžadují chirurgický zákrok nebo extrakci zubu.

Refrakterní endodontické onemocnění
Obrázky 1a–d ukazují příklad takového klinického případu. Případ byl zveřejněn online jedním endodontistou a zde je předložen s jeho souhlasem. Jednalo se o opětovné ošetření dolního pravého prvního moláru s diagnózou symptomatické apikální periodontitidy. Hloubky při sondování byly normální a nebyly zjištěny žádné důkazy o fraktuře zubu. Byl pořízen i CBCT sken, ale ten nebyl zveřejněn. Ošetření proběhlo podle standardního endodontického protokolu s dlouhodobým použitím hydroxidu vápenatého, který byl aplikován dvakrát za sedm měsíců. Protože se příznaky o něco zlepšily, byly kanálky obturovány a zub rekonstruován. O týden později byl zub kvůli přetrvávajícím příznakům extrahován!
Přestože etiologie neúspěšného ošetření a příčina nemožnosti vyřešit příznaky nebyly určeny, je velmi pravděpodobné, že použitý protokol byl neúčinný, pokud jde o dostatečnou redukci biologické zátěže v zubu. Je známo, že dolní moláry mají komplikovaný systém kořenových kanálků, zejména v meziálním kořeni (obr. 2a, b), současné techniky opracování a irigace jsou krátké na to, aby adekvátně dosáhly celé anatomie.
Případ 1
Pacientem byl 58letý zubní lékař s anamnézou rakoviny štítné žlázy. Bylo mu diagnostikováno recidivující endodontické onemocnění v dolním pravém druhém moláru. Opětovné ošetření zahájil jeho endodontista. Do mé ordinace se dostavil se stížností na bolest při poklepu na zub. V posledních sedmi měsících několikrát navštívil svého endodontistu, ale příznaky se nijak nezlepšovaly. Okluzní kontakt zubu byl redukován. Prostor gingiválního sulku nebyl prohlouben, transiluminace neukázala příznaky fraktury zubu. Byla stanovena diagnóza symptomatické apikální periodontitidy. CBCT sken neodhalil žádné nedostatky v ošetření systému kořenových kanálků ani fraktury zubu (obr. 3).
Zub byl v lokální anestezii ošetřen protokolem radiálního apikálního čištění (RAC – radial apical cleansing) a znovu zaléčen pastou na bázi hydroxidu vápenatého (obr. 4a–c). Byl vydán předpis na amoxicilin (500 mg, třikrát denně po dobu sedmi dnů). Při druhé návštěvě, o tři týdny později, byl zub asymptomatický a kořenové kanálky byly zaplněny za použití biokeramického pečetidla a techniky gutaperči v jednom kuželu (pečetidlo EndoSequence BC Sealer a čepy Points, Brasseler). Při kontrole za 1,5 roku byl zub funkční a asymptomatický, vykazoval normální hloubku gingiválního sulku a rentgenové snímky dokázaly úplné zhojení. Zub do té doby nebyl definitivně rekonstruován.
Inzerce
Případ 2
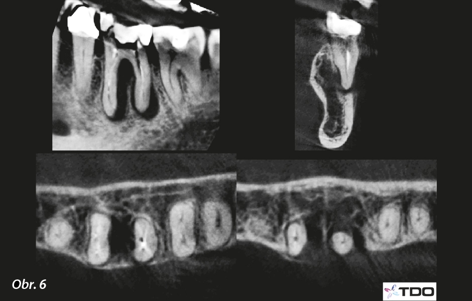
U 77leté pacientky se objevily bolesti a otoky související s dolním levým prvním molárem. Již dříve byla v péči dvou endodontistů, kterým se nepodařilo její příznaky zmírnit (obr. 5a, b). Vyšetření odhalilo otok v přilehlé části bukálního vestibula a zub byl citlivý na poklep. Hloubky při sondování gingiválního sulku byly normální, s výjimkou úzkého 7mm chobotu z bukální strany meziálního kořene. Transiluminace neukázala žádné příznaky prasklého zubu. Radiologické vyšetření ukázalo radiolucenci ve tvaru písmene J u meziálního kořene a menší apikální radiolucenci u distálního kořene. CBCT sken potvrdil rozsah nálezů a také ukázal úbytek bukální lamely u distálního kořene (obr. 6). Byla stanovena diagnóza symptomatické apikální periodontitidy s bukální píštělí podél parodontální štěrbiny.
Zub byl v lokální anestezii ošetřen protokolem RAC a znovu zaléčen pastou na bázi hydroxidu vápenatého (obr. 7a–d). Pacientce byl předepsán amoxicilin (500 mg, třikrát denně po dobu sedmi dnů). Při druhé návštěvě, o tři týdny později, byl zub asymptomatický a kořenové kanálky byly zaplněny za použití biokeramického pečetidla a techniky centrálního čepu (pečetidlo EndoSequence BC Sealer a čepy Points, Brasseler). Při kontrole, po devíti měsících, byly hloubky gingiválního sulku normální a zub byl funkční a asymptomatický a vykazoval důkazy zhojení kosti.
Radiální apikální čištění
RAC je protokol ošetření, který dosahuje konzistentně kvalitního vyčištění a dezinfekce složitých systémů kořenových kanálků za použití chemicko-mechanického postupu zprostředkovaného využitím laserové energie s radiálním zářením. Spočívá tedy v opracování kořenovými nástroji, irigaci, vyčištění a dezinfekci.
Opracování:
- Vstup do kořenového kanálku se určí ručními kořenovými nástroji 0,06 a 0,08 a rotačními nikltitanovými (NiTi) kořenovými pronikači.
- Hluboká apikální preparace se provádí pomocí tepelně ošetřených NiTi kořenových nástrojů – musí být zachována struktura kořene, především v koronální třetině a peri-cervikální zóně.
Irigace:
- Pomocí systému EndoVac (KaVo Kerr) za použití 6% roztoku chlornanu sodného (NaOCl) se provede účinná apikální podtlaková irigace.
- Irigační roztok se aktivuje sonickou energií.
Čištění:
Laserem aktivovaná irigace se provádí pomocí Er,Cr:YSGG laseru (Waterlase iPlus, BIOLASE) s hroty RFT2 a RFT3 v následujícím nastavení: 1,25 W, režim H, 20 Hz (pulzy za sekundu), 30 % vzduchu, 10 % vody a 62,5 mJ/pulz.
Dezinfekce:
- Laserová dezinfekce se provádí pomocí Er,Cr:YSGG laseru (Waterlase iPlus) s hroty RFT2 a RFT3 v následujícím nastavení: 1 W, režim H, 20 Hz (pulzy za sekundu), 10 % vzduchu, 0 % vody a 50 mJ/pulz.
- Hluboká dentinová dezinfekce se provádí ve vlhkém kanálku pomocí diodového laseru 940 nm (Epic X, BIOLASE) s neiniciovaným hrotem při 1 W, v kontinuálním režimu. V USA se jedná o neoficiální použití diodového laseru, protože FDA jej dosud neschválila.
Při čištění i dezinfekci se hrot laseru umisťuje 1 mm od hrotu kořene, aktivuje se a krouživým pohybem v rozsahu 1–2 mm za sekundu se posouvá koronálním směrem. Tento proces se opakuje čtyřikrát v každém kanálku. Umístění hrotu laseru je ovlivněno anatomií kořenového kanálku, jeho průměrem a průchodností nebo neprůchodností. Hrot zůstává účinný i ve vzdálenosti 5 mm nebo více od foramen apicale.
Erbiové lasery v endodoncii
Erbiové lasery se ukazují být v endodoncii díky své vlnové délce nejslibnější. Je možné je použít na tvrdé i měkké tkáně a mají nejvíce stomatologických použití schválených FDA. Jejich základními chromofory jsou voda a v menší míře hydroxyapatit. Při procedurách na měkkých tkáních převládají fototermální interakce a při procedurách na tvrdých tkáních fotodestruktivní interakce. Pokud se dodržují správné parametry, dochází k vyhovujícímu uvolňování tepla a minimálnímu tepelnému poškození okolních tkání.
Působení v systémech kořenových kanálků
Jakmile je laser aktivován za přítomnosti vody, dochází k okamžitému odpařování a na konci laserového hrotu s radiálním zářením se vytvářejí bublinky páry (obr. 8). Tyto bublinky svojí rychlou expanzí a implozí vytvářejí kavitační účinek s velmi rychlým prouděním vody, čímž vzniká při stěně kanálku smykové napětí. K vyčištění a sterilizaci po ošetření přispívají rovněž druhotné kavitační účinky z nepravidelností kanálku.
Na přechodech mezi tekutinou a pevným povrchem (stěny kanálku) vznikají smykovými silami z procházející akustické vlny mikroskopické bublinky, což vede k mikroproudovému a mikrokavitačnímu efektu, který dokáže proniknout i do větvení kanálku a dentinových tubulů (obr. 9). Expanze a zkolabování vody v tubulech je možné v hloubce 1000 µm nebo více a mohou vznikat akustické účinky dostatečně silné na to, aby narušily biofilm a zahubily bakterie.18
Diskuze
Endodontické onemocnění je v podstatě onemocněním zprostředkovaným biofilmem a úspěšnost endodontického ošetření do značné míry závisí na schopnosti odstranit biofilm a zahubit z něj pocházející bakterie. K dosažení tohoto cíle dosud endodontické ošetření spoléhalo na chemicko-mechanické vyčištění systému kořenových kanálků. Vzhledem ke složitosti anatomie kořenových kanálků však zůstává zhruba 30–40 % systémů kořenových kanálků mechanickým opracováním nedotčených,1 přičemž přílišné opracování zub oslabí a může mít vliv na vznik apikálních prasklin.2 Z tohoto důvodu je potřeba klást větší důraz na účinnost dezinfekčních prostředků při likvidaci bakterií z biofilmu, a nikoli jen bakterií planktonické fáze. Bakterie z biofilmu mohou být vůči antibakteriálním prostředkům až 1000× odolnější než jejich bakterií planktonické protějšky.3
Dřívější studie prokázaly, že opracování a antibakteriální irigace pomocí NaOCl eliminovaly na konci prvního ošetření bakterie v 50–75 % infikovaných kořenových kanálků, zatímco zbývající kořenové kanálky obsahovaly zbytkové bakterie.4, 5 Nair a kol. ve své studii prokázali, že 88 % jednou endodonticky ošetřených dolních molárů vykazovalo po opracování, irigaci NaOCl a obturaci zbytkovou infekci u meziálních kořenů.6 Aby byly antimikrobiální prostředky účinné, musí dosáhnout do terminální části kanálku, odplavit nerozpuštěné částice, vytvořit proud a být nepřetržitě doplňovány. Chow naznačil, že za hrotem kanyly s otvory po stranách je pouze malý proplachovací účinek.7 Díky rozpouštěcímu účinku NaOCl na tkáně v kořenovém kanálku se navíc uvolňují bublinky, které vedou k nedokonalému apikálnímu vyčištění, protože zabrání irigačním roztokům dosáhnout až k apexu. V překonávání těchto překážek se ukázala jako extrémně účinná podtlaková irigace,8 ale v souvislosti s doporučovanými minimálně invazivními endodontickými principy je u menších rozměrů kanálků její použití obtížné.
Laserem aktivovaná irigace (LAI) vytváří napěťové vlny dost silné na to, aby narušily biofilm, a uvolnily tím bakterie do jejich planktonického stavu.9, 10 K tomu může dojít vlivem selhání soudržnosti, narušení povrchových vrstev nebo selhání spojení, díky kterému se biofilm zcela odstraní. Bakterie se pak stanou citlivějšími na biocidy (irigační roztoky v kanálcích a léky) použité k dezinfekci kanálků. Je zmiňován také přímý účinek na samotné bakterie v podobě zvýšení permeability bakterií vytvořením dočasných pórů v jejich membránách a poškozením buněčných povrchů.11, 12 Nejsou-li vznikající smykové síly dostatečné na to, aby rozbily soudržné vazby viskoelastické matrix biofilmu, biofilm se jednoduše pouze deformuje a vrátí se do svého původního stavu.9 Nedostatečné síly mohou být vytvářeny tehdy, použijí-li se k vyvolání proudění tekutiny sonické nebo ultrazvukové vlny formou míchání nebo je-li hrot laseru umístěn příliš daleko od biofilmu. Bylo také prokázáno, že LAI účinně odstraňuje smear layer13 a dentinové zátky,14 a hraje tak důležitou roli v udržování a obnovení průchodnosti kanálku. Další výhodou LAI je odstranění apikální parní zátky a dochází k němu díky narušení povrchového napětí na rozhraní roztoku a vzduchu.15, 16
Laserová dezinfekce je důležitým prvkem RAC a dochází k ní při použití Er,Cr:YSGG laseru v suchém režimu. Laserová energie „vyhledá“ vodu v infikovaných tkáních, silně hydratovanou matrix biofilmu, stejně jako samotné bakterie, což vede k ablaci cílových tkání a mikroorganismů. Konečným výsledkem je účinná dezinfekce do hloubky 200 µm v dentinu.17, 18 Hlubší dentinová dezinfekce byla zaznamenána při použití diodového laseru19, 20 a slibné výsledky in vitro vykazuje i duální laser.21, 22 Primární chromofory pro vlnovou délku diodového laseru jsou barviva (melanin a hemoglobin) a v menší míře i voda. Dochází k větší penetraci světla dentinem jen s malou interakcí, díky čemuž je možné dosáhnout a zničit mikroorganismy hlouběji v dentinových tubulech.

Před ošetřením (a)

Krytí z hydroxidu vápenatého (b, c)

Krytí z hydroxidu vápenatého (b, c)

Po ošetření (d)

Typický složitý systém kořenových kanálků v meziálních kořenech dolních molárů (zveřejnění odsouhlasil Dr. Francisco Balandrano)

Typický složitý systém kořenových kanálků v meziálních kořenech dolních molárů (zveřejnění odsouhlasil Dr. Francisco Balandrano)

Řezy z CBCT

Před ošetřením (a)

Po ošetření (b)

Kontrola po 1,5 roce (c)

Snímky od předchozího endodontisty

Snímky od předchozího endodontisty

Řezy z CBCT zachycující nález ve tvaru písmene J u meziálního kořene a menší apikální nález u distálního kořene

Před ošetřením (a). Dočasné krytí hydroxidem vápenatým (b). Po ošetření a při kontrole po devíti měsících (c, d)

Expanze a imploze bublinek páry na hrotu laseru po jednom pulzu laserové energie (zveřejněno se souhlasem Aliny Sivriverové)

Mikroproudový a mikrokavitační efekt na přechodu mezi tekutinou a pevným povrchem (zveřejněno se souhlasem Aliny Sivriverové)
Závěr
Výzvu, kterou představuje refrakterní endodontické onemocnění, lze shrnout výrokem Ricucciho a kol.: „Potřebujeme vyvinout strategie, nástroje nebo látky, které jsou schopny dosáhnout oblastí vzdálených od hlavního kořenového kanálku, abychom docílili snížení infekční biologické zátěže dostatečného k tomu, aby bylo možné předvídatelné periradikulární zhojení“.23
Byl zde předložen protokol ošetření RAC pro nechirurgický management refrakterního endodontického onemocnění. Protokol je založen především na synergickém účinku ozařování Er,Cr:YSGG laserem a následné apikální podtlakové irigace 6% NaOCl, která pomůže narušení a likvidaci bakterií z biofilmu uvnitř složitého systému kořenových kanálků a dentinových tubulů. Zatímco se již několik studií zaměřilo na identifikaci mikroflóry kořenových kanálků u recidivujících případů ve snaze vysvětlit patogenezi refrakterního onemocnění, autor článku přichází s tvrzením, že RAC je cenným nástrojem schopným úspěšné léčby infekční biologické zátěže, a to bez ohledu na složení samotného biofilmu. Ve dvou předložených kazuistikách byla jediná podstatná odchylka od standardních endodontických protokolů v použití laserem aktivovaného endodontického čištění a dezinfekce.
Tento článek byl publikován v Oral Health Magazine, zveřejněno se svolením Newcom Media.
Buďte v obraze
Chcete mít pravidelný přehled o nových článcích na tomto webu, akcích a dalších novinkách? Přihlaste se k odběru newsletteru.
Odesláním souhlasíte s našimi zásadami zpracování osobních údajů.
- Peters OA, Schönenberger K, Laib A. Effects of four Ni-Ti preparation techniques on root canal geometry assessed by micro computed tomography. Int Endod J. 2001;34:221–30.
- Çapar İD, Uysal B, Ok E, Arslan H. Effect of the Size of the Apical Enlargement with Rotary Instruments, Single-cone Filling, Post Space Preparation with Drills, Fiber Post Removal, and Root Canal Filling Removal on Apical Crack Initiation and Propagation. J Endod. 2015 Feb;41(2):253-6.
- Ceri H, Olson ME, Stremick C, Read RR, Morck D, Buret A. The Calgary Biofilm Device: New technology for rapid determination of antibiotic susceptibilities of bacterial biofilms. J Clin Microbiol. 1999;37:1771–6.
- Byström A, Sundqvist G. Bacteriologic evaluation of the effect of 0.5 percent sodium hypochlorite in endodontic therapy. Oral Surg Oral Med Oral Pathol. 1983;55:307–12.
- Peters LB, van Winkelhoff AJ, Buijs JF, Wesselink PR. Effects of instrumentation, irrigation and dressing with calcium hydroxide on infection in pulpless teeth with periapical bone lesions. Int Endod J. 2002;35:13–21.
- Nair PN, Henry S, Cano V, Vera J. Microbial status of apical root canal system of human mandibular first molars with primary apical periodontitis after “one-visit endodontic treatment. Oral Surg Oral Med Oral Pathol Oral Radiol Endod. 2005;99:231–52.
- Chow TW. Mechanical effectiveness of root canal irrigation. J Endod. 1983 Nov;9(11):475-9.
- Nielsen BA, Baumgartner JC. Comparison of the EndoVac System to Needle Irrigation of Root Canals. J Endod 2007;33:611-5.
- Y. Krespi, et al. Laser Disruption of Biofilm. Laryngoscope 2008;118:1168-1173.
- Gnanadhas, D. P. et al. Successful treatment of biofilm infections using shock waves combined with antibiotic therapy. Sci. Rep. 2015; 5,17440; doi: 10.1038/srep17440
- Arnabat J, Escribano C, Fenosa A, Vinuesa T, Gay-Escoda C, Berini L, Viñas M. Bactericidal activity of erbium, chromium:yttrium-scandium-gallium-garnet laser in root canals. Lasers Med Sci. 2010 Nov;25(6):805-10.
- Lopez-Jimenez L, Arnabat J, Vinas M, Vinuesa T. Atomic force microscopy visualization of injuries in Enterococcus faecalis surface caused by Er,Cr:YSGG and diode lasers. Med Oral Patol Oral Cir Bucal. 2014;Doi:10.4317/medoral.19991
- De Moor RJ, Blanken J, Meire M, Verdaasdonk R. Laser induced explosive vapor and cavitation resulting in effective irrigation of the root canal. Part 2: evaluation of the efficacy. Lasers Surg Med. 2009 Sep;41(7):520-3.
- De Moor RJ, Meire M, Goharkhay K, Moritz A, Vanobbergen J. Efficacy of ultrasonic versus laser-activated irrigation to remove artificially placed dentin debris plugs. J Endod. 2010 Sep;36(9):1580-3.
- Peeters HH, De Moor RJ, Suharto D. Visualization of removal of trapped air from the apical region in simulated root canals by laser-activated irrigation using an Er,Cr:YSGG laser. Lasers Med Sci. 2015 Aug;30(6):1683-8.
- Peeters HH, Gutknecht N. Efficacy of laser-driven irrigation versus ultrasonic in removing an airlock from the apical third of a narrow root canal. Aust Endod J. 2014 Aug;40(2):47-53.
- Gordon W, Atabakhsh VA, Meza F, Doms A, Nissan R, Rizoiu I, Stevens RH. The antimicrobial efficacy of the erbium, chromium:yttrium-scandium-gallium-garnet laser with radial emitting tips on root canal dentin walls infected with Enterococcus faecalis. J Am Dent Assoc. 2007 Jul;138(7):992-1002.
- Schoop U, Barylyak A, Goharkhay K, Beer F, Wernisch J, Georgopoulos A, Sperr W, Moritz A. The impact of an erbium, chromium:yttrium-scandium-gallium-garnet laser with radial-firing tips on endodontic treatment. Lasers Med Sci 2009 Jan;24(1):59-65.
- Beer et al. Comparison of two diode lasers on bactericidity in root canals-an in vitro study. Lasers in Med Sci. 2012;27;361-4.
- Hedge MN, Bhat R, Shetty P. Efficiency of a semiconductor diode laser in disinfection of the root canal system in endodontics: An in vitro study.J Int Clin Dent Res Organ 2015;7:35-8.
- Gutknecht N, Al-Karadaghi TS, Al-Maliky MA, Conrads G, Franzen R. The bactericidal effect of 2780 and 940 nm laser irradiation on Enterococcus faecalis in bovine root dentin slices of different thicknesses. Photomed Laser Surg. 2016 Nov;34(1);11-6.
- Al-Karadaghi TS, Gutknecht N, Jawad HA, Vanweersch L, Franzen R. Evaluation of temperature elevation during root canal treatment with dual wavelength laser: 2780 nm Er,Cr:YSGG and 940 nm diode. Photomed Laser Surg. 2015 Sep;33(9):460-6.
- Ricucci D, Loghin S, Siqueira JF Jr. Exuberant biofilm infection in a lateral canal as the cause of short-term endodontic treatment failure: report of a case. J. Endod. 2013;39(5):712-8.
Články
15. 12. 2025 | Endodoncie
Úspěšnost nechirurgického ošetření kořenových kanálků je vysoká; nicméně nedostatečné zaplnění a utěsnění anatomických složitostí zásadně ovlivňuje dlouhodobý úspěch endodontické léčby.
Články
25. 1. 2026 | Endodoncie
Termín chirurgická endodoncie označuje obor stomatologie, který se zabývá diagnostikou a léčbou lézí endodontického původu, jež nedostatečně reagují na konvenční endodontické ošetření nebo je nelze konvenční cestou ošetřit vůbec.¹ Cílem chirurgické endodoncie je dosažení trojrozměrného vyčištění, opracování a zaplnění apikální části kořenového kanálkového systému, která není přístupná běžným ortográdním přístupem dřeňovou dutinou, ale pouze po odklopení chirurgického laloku (obr. 1.1).
Články
27. 1. 2026 | Endodoncie
S tradicí přesahující 150 let ve stomatologii klade Dentsply Sirona důvěru do středu své endodontické nabídky a akcentuje vývoj opřený o vědecké poznatky, přísné kontroly kvality a řadu technologických prvenství.
- Zubní lékař Zubní lékař/lékařka - Hustopeče u Brna
- Zubní lékař Pronájem stomatologické ordinace v centru Prahy
- Zubní lékař Zubní lékař/ka - Dental Smile Hradec Králové
- Dentální hygienistka dentální hygienistka
- Ostatní Hledáme recepční







