Endodonticko-parodontologická léčba pilířového zubu
s využitím piezoelektrického přístroje a implantologického motoru
Přirozené zuby jsou cenným bohatstvím. Tato kazuistika popisuje složitý pokus o zachování endodonticky a parodontologicky postiženého premoláru coby pilířového zubu – alespoň pro blízkou budoucnost, zahrnující zavedení dvou sousedních implantátů v kombinaci s vnitřní augmentací dna sinu. Při tomto multidisciplinárním zákroku byl selektivně použit piezoelektrický přístroj a implantologický mikromotor.

Kombinované endodonticko-parodontologické léze postihují jak endodontické (zasahující dřeň), tak parodontální (zasahující závěsný aparát) tkáně (Foce, 2009). Jejich patogeneze je velice rozličná a lze je odhalit pouze pomocí sofistikované diagnostiky. Ta spočívá v neinvazivním i invazivním testování vitality a v důkladném vyšetření parodontu sondou, přičemž úkolem této diagnostiky je v neposlední řadě vyloučit monokauzální etiologii.
Pokud ukazuje absence příznaků vitální dřeně a přítomnost biofilmem způsobených parodontálních chobotů na kombinovanou lézi, začíná léčba v mnoha případech ortográdní endodoncií. V případě, že symptomy přetrvávají, musí se zopakovat parodontologické vyšetření a podle potřeby pak zahájit lokální nebo systémová léčba. Úspěch endodontických a parodontologických opatření do značné míry závisí na procedurách zaměřených na odstranění patogenního biofilmu coby hlavního etiologického faktoru (Nair, 1997; Hajishengallis a Lamont, 2012).
Pokud je u parodontálních defektů s chybějící bukální stěnou indikována řízená regenerace tkání, dosahuje prokazatelně nejlepších výsledků kombinace transplantace štěpu a membrány (Sculean a kol., 2008). V případě rozsáhlého úbytku kosti, který zasahuje až k apexu zubu, je však podle klinických zkušeností a z biologických důvodů úspěch nejistý.
Horizontální management místa pro implantát
Ztráta zubu je vždy následována resorpcí parodontálních struktur souvisejících se zubem, včetně částí alveolární kosti, a bude nutná remodelace hřebene (Tan a kol., 2012). Aby se tato nutnost minimalizovala, je možné provést konzervaci hřebene a pokud možno umístit můstek kotvený na zubech (Schlee a Esposito, 2009). Alternativní možností je zavést implantát, který potenciálně zachová kost díky přenosu funkčního napětí (Wolff, 1986; Wolff a Wessinghage, 1892). Pokud nemá kost v místě budoucího implantátu dostatečné rozměry, je možné indikovat augmentaci provedenou současně se zavedením implantátu nebo ve fázi před zavedením implantátu. Podle nedávné studie je při dvoufázovém přístupu nejčastějším postupem transplantace bločku kostního štěpu, zatímco v případě současné augmentace a zavedení implantátu je častěji používaným postupem GBR (Sanz-Sanchez a kol., 2015). GBR může být preferovaným postupem tam, kde je defekt omezený svým rozsahem, protože pak není pro transplantaci autologního štěpu zapotřebí další chirurgické oblasti.
Mnoho lékařů dává přednost systému produktů pro GBR, který obsahuje transplantační materiál z hovězí kosti a vepřovou vstřebatelnou kolagenovou membránu. Resorpce tohoto transplantačního materiálu je pomalá, membrána je biologicky kompatibilní a je k dispozici podrobná dokumentace k oběma produktům použitým samostatně nebo v kombinaci (Jensen a kol., 2014, Retzepi a Donos, 2010).
Augmentace sinu
V distálním úseku horní čelisti je možné vyřešit nedostatky u vertikálního rozměru kosti augmentací dna sinu. Přesněji řečeno, jsou-li k dispozici kaudálně ke dnu sinu alespoň 4 mm výšky zbytkové kosti, osvědčil se jako úspěšný vnitřní přístup (Calin a kol., 2014). Podle klinických zpráv lze snížit riziko perforace v blízkosti Schneiderovy membrány použitím piezoelektrických systémů (Zhen a kol., 2012). Na základě srovnávací studie navíc lze říci, že piezoelektrická zařízení způsobují pacientovi méně nepohodlí během chirurgického zákroku a ve srovnání s osteotomiemi zvyšují i pohodlí chirurga (Baldi a kol., 2011). Tyto výhody v zásadě platí také pro vnější postupy augmentace sinu (Wallace a kol., 2012). V prezentované kazuistice byla endodonticko-parodontologická konzervace prvního horního premoláru kombinována se zavedením zanořeného implantátu a současnou augmentací s cílem rekonstruovat levý distální kvadrant horní čelisti. S ohledem na nejistou prognózu pilířových zubů muselo být plánování definitivního protetického ošetření odloženo až na dobu po oseointegraci implantátů. Byly provedeny různé chirurgické procedury za použití piezoelektrického přístroje i rotačního implantologického mikromotoru.

58letá pacientka: předoperační RTG snímek zachycující apikální periodontální lézi u zubu 24 a horizontální úbytek alveolární kosti v druhém kvadrantu.

Po odklopení laloků, měsíc po endodontické revizi a zahájení parodontologické léčby v celých ústech, vykazoval bukální kořen zubu 24 úplnou ztrátu kosti a závěsného aparátu.

Po odklopení laloků, měsíc po endodontické revizi a zahájení parodontologické léčby v celých ústech, vykazoval bukální kořen zubu 24 úplnou ztrátu kosti a závěsného aparátu.

Aby bylo možné zachovat zub jako dočasný pilíř, bylo jeho periodoncium očištěno piezoelektrickým zařízením…

… a bukální apex zubu 24 byl abradován tím samým nástrojem (apikoektomie).

Oblast chirurgického zákroku byla očištěna piezoelektrickou škrabkou navrženou pro odběr částic kosti a modelaci kosti.

Po očištění byly zřetelně vidět kostní defekty meziálně vůči zubu 27 a kolem kořene zubu 24.

Rotační preparace lůžka pro implantát blízko dna maxilárního sinu v oblasti zubu 25, provedená pomocí nejnovějšího implantologického mikromotoru.

Po preparaci lůžka pro implantát v oblasti zubu 26 byla pomocí parodontologické CPITN sondy s kulatým hrotem zkontrolována celistvost membrány sinu.

Umístění xenogenní náhrady kosti do osteotomie pro implantát za účelem vnitřní augmentace sinu. Materiál byl v apikálním směru opatrně zhutněn CPITN sondou s kulatým hrotem (není zachyceno).

Zavádění implantátu v oblasti zubu 26 za nízké rychlosti s omezením točivého momentu na 35 Ncm.

Oba zavedené implantáty připravené na umístění krycích šroubků.

K vyplnění zbývajících kostních defektů byla použita xenogenní náhrada kostního materiálu, …

… která pak byla překryta vstřebatelnou kolagenovou membránou – šedavě růžová struktura mezi elevátory při horním okraji fotografie je aproximální papilární tkáň.

Oblast chirurgického zákroku po volném sešití vstřebatelným materiálem – po šesti měsících budou implantáty opět obnaženy za účelem otiskování.

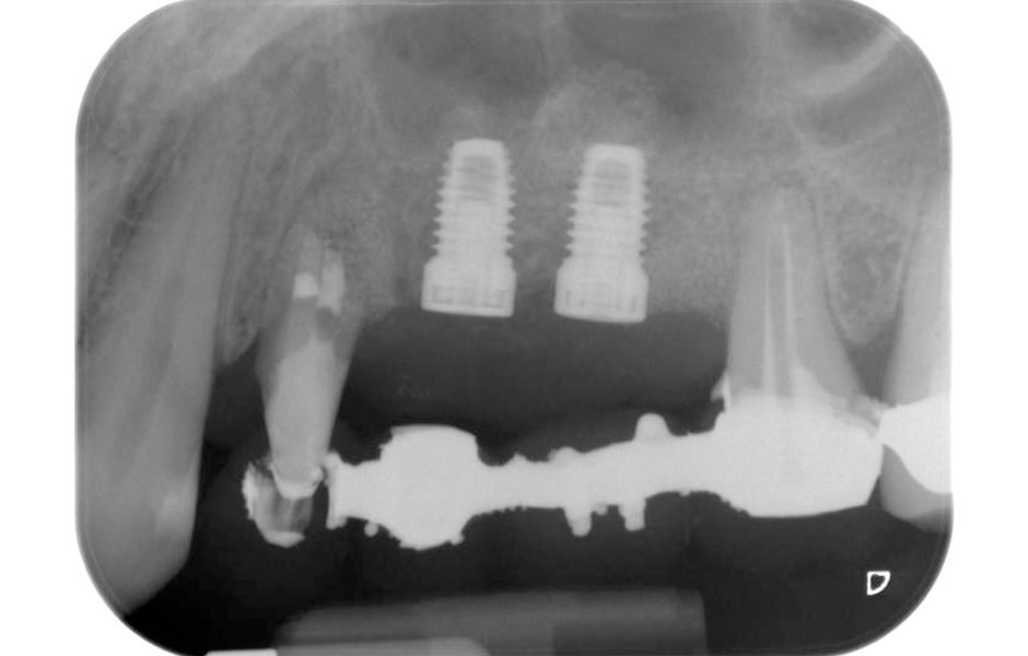
Pooperační RTG snímek zachycující zavedené implantáty s kostní náhradou transplantovanou kolem apexů při vnitřním sinus liftu – kolem kořenů zubu 24 je vidět i materiál z GTR procedury.

Dva měsíce po chirurgickém zákroku byla pacientka bez bolesti a oblast bez zánětu – zub 24 v té době také vykazoval menší mobilitu.

Dva měsíce po chirurgickém zákroku byla pacientka bez bolesti a oblast bez zánětu – zub 24 v té době také vykazoval menší mobilitu.

Nejnovější implantologický mikromotor použitý v ukázkovém případě, se skleněnou dotykovou obrazovkou a softwarem s funkcemi pro přizpůsobení sady úkonů.

V tomto případě byl implantologický mikromotor použit v kombinaci s piezoelektrickým systémem.

Aby bylo použití pohodlnější, je možno obsluhovat obě zařízení pomocí jednoho bezdrátového nožního ovládání.
Kazuistika
Výchozí stav pacientky a plán ošetření (Dr. Luca Bovolato)
58letá pacientka si stěžovala na bolest a zvýšenou mobilitu pilířového zubu 24. U zubu byl přítomen periodontální zánět s choboty o hloubce 7 mm meziobukálně a více než 12 mm distálně, a také rozvinutá furkace třetího stupně. RTG snímek navíc odhalil rozsáhlou periodontální lézi kolem apikální oblasti (alio loco) dříve endodonticky ošetřeného zubu 24 (obr. 1). Zuby 25 a 26 byly před rokem extrahovány z důvodu úrazu a endodonticko-parodontologických problémů a poté byl v oblasti umístěn můstek. U zubu 24 byla diagnostikována kombinovaná endodonticko-parodontologická léze nejasné etiologie. Pacientka si přála zachovat pilířové zuby 24 a 27, a nechtěla se smířit s definitivní ani provizorní snímatelnou náhradou. Dohodli jsme se proto na tom, že uděláme vše pro zachování obou zubů, a to i přes jejich špatnou prognózu, která vyplynula z radiologického i klinického vyšetření.
Bylo naplánováno zavedení dvou zanořených implantátů do oblasti zubů 25 a 26, a to při chirurgickém zákroku s otevřeným periodontálním debridementem a apikoektomií zubu 24. Z důvodu nedostatečného vertikálního rozměru kosti v místě budoucího implantátu byla naplánována také vnitřní augmentace sinu.
Po lokální medikaci gelem s 25 % metronidazolu (Elyzol) v chobotech zubu 24 byla zahájena kauzální léčba formou periodontální dezinfekce celých úst. Bylo provedeno ortográdní ošetření kořenového kanálku za obturace termoplastickou gutaperčou, poté byl umístěn čep vyztužený skleněnými vlákny a zhotovena kompozitní dostavba. Původní můstek byl vyřazen z okluze pro nerušené zhojení oblastí po GTR a GBR.
Chirurgický debridement a apikoektomie (Dr. Ramon Boninsegna)
O měsíc později, v den chirurgického zákroku, byla bolest a zánět v oblasti zubu 24 minimální, ale viklavost 2. třídy dle Millera přetrvávala. Po odklopení laloků a odstranění periapikálních a periradikulárních infikovaných tkání byl zřejmý rozsah kostního defektu (obr. 2, 3). U bukálního kořene zcela chyběla vestibulární a distální kost. Závěsný aparát byl v podstatě omezen na palatinální kořen, což potvrzovalo špatnou předběžnou prognózu. Zub 27 také vykazoval horizontálně oslabený závěsný aparát a minimální apikální prořídnutí (pro srovnání obr. 1) bez klinických symptomů.
Přesto jsme zůstali u původního plánu zachovat oba zuby jako dočasné pilíře pro můstek po dobu šesti měsíců potřebných pro oseointegraci implantátů. Situaci jsme se rozhodli přehodnotit při opětovném obnažení implantátů.
V rámci snahy o vyřešení endodonticko-parodontologického problému byl nejprve pečlivě očištěn zbývající povrch kořene piezoelektrickým přístrojem (Piezomed, W&H, použitý s hrotem S1 ve tvaru špachtle, původně navrženým pro erozi postranní stěny sinu) (obr. 4).
Poté byl stejným nástrojem abradován apex, aby došlo k odstranění zbytku infikovaných apikálních tkání a k omezení možných vedlejších větvení kořenového kanálku (apikoektomie) (obr. 5). Retrográdní výplň nebyla nutná, protože současně byla provedena revize ortográdní výplně.
Sinus lift a zavedení implantátu
Před zavedením implantátu byly hrotem původně navrženým pro tvarování kosti a odběr úlomků kosti (Piezomed, W&H, hrot B5) odstraněny infikované tkáně z alveolární kosti v místě pro implantát a z okolí pilířových zubů (obr. 6 a 7). Lůžka pro implantáty byla preparována v oblastech zubů 25 a 26 rotačními nástroji za použití kolénkového násadce s převodovým poměrem 20 : 1 v nejnovějším výkonném implantologickém mikromotoru (Implantmed, W&H) (obr. 8).
Závěrečná preparace vedle sinu byla opět provedena pomocí piezoelektrického nástroje (Piezomed, W&H, hrot S2). Před zavedením implantátu a po zkontrolování neporušenosti Schneiderovy membrány (obr. 9) byla v místech obou implantátů provedena vnitřní augmentace dna sinu pomocí xenogenní náhrady kostního materiálu (Bio-Oss, Geistlich Biomaterials) (obr. 10).
Implantáty (Restore, Keystone Dental, průměr 3,75 mm, délka 8,0 mm) byly zavedeny pomocí implantologického mikromotoru (obr. 11 a 12). Chybějící kost kolem implantátů, z meziální strany zubu 27 a kolem bukálního kořene zubu 24, byla za účelem GBR augmentace doplněna částicemi xenogenní kostní náhrady překryté vstřebatelnou kolagenovou membránou (Bio-Gide, Geistlich Biomaterials) (obr. 13 a 14).
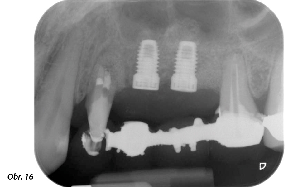
Nakonec, po provedení periosteálního řezu, bylo místo spolu s koronálně posunutým lalokem pasivně sešito vstřebatelným šicím materiálem 5-0 (obr. 15). Pooperační RTG snímek prokázal, že jsou oba implantáty ve správné vertikální pozici (obr. 16).
Průběžný výsledek po dvou měsících
Obrázky 17 a 18 zachycují klinický výsledek dva měsíce po chirurgickém zákroku. Zub 24 vykazoval menší mobilitu 1. třídy dle Millera a měkké tkáně byly bez zánětu. Sondování nebylo v této době provedeno, aby se předešlo reinfekci a nedošlo k narušení epiteliálního připojení. Kontrolní návštěva za účelem opětovného obnažení implantátů a umístění vhojovacích abutmentů byla naplánována šest měsíců po zavedení implantátů.
Diskuze
V prezentovaném případě jsme zkombinovali řešení endodonticko-parodontologické léze se zavedením implantátů a současným provedením procedur sinus liftu, GBR a GTR v levém postranním úseku horní čelisti. Vzhledem k tomu, že oba pilířové zuby pro můstek v rozsahu zubů 24 až 27 měly špatnou prognózu, byla opatření týkající se zubů provedena jen proto, aby bylo splněno přání pacientky zuby zachovat. Protože se pacientka navíc nechtěla smířit ani se snímatelnou provizorní náhradou, byl jí na dobu oseointegrace zanořených implantátů v oblastech zubů 25 a 26 nacementován zpět původní můstek.
Prognóza a možnosti rekonstrukce
Za normálních okolností bychom minimálně zub 24 extrahovali a pacientce poskytli například snímatelnou provizorní pryskyřičnou náhradu. V reakci na její přání jsme však souhlasili s opětovným vyhodnocením stavu pilířových zubů při obnažení implantátů šest měsíců po jejich zavedení. Pacientka byla o své situaci dobře informována a znala rizika. Po uvolnění mukoperiostu a umístění vhojovacích abutmentů byl výsledek parodontologicko-endodontického zákroku viditelný. Při kontrole po dvou měsících se mobilita zbývajícího „zubního prvku“ 24 z 2. třídy dle Millera zlepšila na 1. třídu. Připojení měkkých tkání bylo na úrovni sousedního zubu 23. Kromě toho již odezněly veškeré symptomy endodontických a parodontologických problémů, takže bylo možné prognózu revidovat. Protože však chyběla většina bukální a aproximální kosti a kompozitní dostavba dosahovala apikální části kořene, nedala se z biologických důvodů očekávat vyšší úroveň obnovy závěsného aparátu (Sculean a kol., 2008).
GBR a sinus lift pravděpodobně povedou k tomu, že daná oblast alveolu bude schopna tvořit oporu implantátům a prognóza bude dobrá (Retzepi a Donus, 2010; Calin a kol., 2014). Po oseointegraci budou implantáty v oblastech zubů 25 a 26 opatřeny zdlahovanými korunkami. Pokud by bylo nutné některý ze zubů 24 nebo 27 extrahovat, bude nahrazen sólo korunkou nesenou implantátem.
Volba chirurgického zařízení
Vzhledem k přesnému a šetrnému účinku byly periodontální debridement i apikoektomie v oblasti zubu 24 provedeny piezoelektrickým přístrojem (obr. 19). Aby se zabránilo riziku ztráty zubu, bylo nezbytné důkladné očištění, ale bez vyvíjení přílišného tlaku. Zařízení bylo užitečné také při očišťování kosti v místě chirurgického zákroku díky speciálnímu kavitačnímu účinku a řezným funkcím této technologie. Lůžko pro implantát bylo preparováno pomocí nového implantologického mikromotoru (obr. 20) v kombinaci s kolénkovým násadcem navrženým speciálně pro orální chirurgii a implantologii. Převodový poměr 20 : 1 spolu s vysokým točivým momentem implantologického mikromotoru až 6,2 Ncm umožnil pomalou preparaci, zavedení implantátu a vyřezání závitu. Závěrečná preparace až po membránu sinu byla opět provedena pomocí piezoelektrického přístroje a kulaté diamantové frézy.
Z praktického hlediska se může zdát použití piezoelektrického přístroje i implantologického mikromotoru při stejném zákroku komplikované. Naprogramování a obsluha obou zařízení se však dá snadno naučit. Navíc je díky novému bezdrátovému nožnímu ovládání (obr. 21) možno obsluhovat obě zařízení pouhou aktivací pedálu. Nožní ovládání lze díky rukojeti také pohodlně přemisťovat. Veškeré uživatelsky přívětivé funkce umožňují chirurgovi soustředit se na operaci a pacienta.
Redakční poznámka: Poprvé publikováno v časopise EDI Journal 01/2017.
Buďte v obraze
Chcete mít pravidelný přehled o nových článcích na tomto webu, akcích a dalších novinkách? Přihlaste se k odběru newsletteru.
Odesláním souhlasíte s našimi zásadami zpracování osobních údajů.
Články
25. 1. 2026 | Endodoncie
Termín chirurgická endodoncie označuje obor stomatologie, který se zabývá diagnostikou a léčbou lézí endodontického původu, jež nedostatečně reagují na konvenční endodontické ošetření nebo je nelze konvenční cestou ošetřit vůbec.¹ Cílem chirurgické endodoncie je dosažení trojrozměrného vyčištění, opracování a zaplnění apikální části kořenového kanálkového systému, která není přístupná běžným ortográdním přístupem dřeňovou dutinou, ale pouze po odklopení chirurgického laloku (obr. 1.1).
Články
15. 12. 2025 | Endodoncie
Úspěšnost nechirurgického ošetření kořenových kanálků je vysoká; nicméně nedostatečné zaplnění a utěsnění anatomických složitostí zásadně ovlivňuje dlouhodobý úspěch endodontické léčby.
Články
27. 1. 2026 | Endodoncie
S tradicí přesahující 150 let ve stomatologii klade Dentsply Sirona důvěru do středu své endodontické nabídky a akcentuje vývoj opřený o vědecké poznatky, přísné kontroly kvality a řadu technologických prvenství.
- Zubní lékař Zubní lékař/ka - Dental Smile Hradec Králové
- Zubní sestra Přijmeme zubní instrumentářku
- Zubní lékař Zubní lékař/lékařka
- Zubní lékař Zubní lékař/ lékařka (pro absolventy i cizince)
- Ostatní STERILIZAČNÍ SESTRA/ ZUBNÍ INSTRUMENTÁŘKA -DPP 4-8 hod/týden




