Úplná proměna úsměvu s využitím minimální preparace a keramických fazet
V tomto článku se chci ve stručnosti věnovat myšlenkovým procesům na pozadí případu, který se týkal mladé pacientky s vrozeně anomálním chrupem, která požadovala „přirozený, normální úsměv“.

Co takový požadavek představuje pro zubního lékaře a zubního technika, nemusí vždy korespondovat s představami a očekáváním pacienta. Abychom dosáhli uspokojivého funkčně a esteticky optimálního výsledku ošetření, musíme nalézt konsenzus všech zúčastněných.
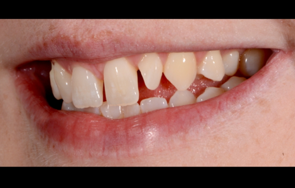
Obrázek 1 zachycuje situaci před ošetřením, s vrozeně chybějícím horním pravým postranním řezákem a čípkovitým levým horním postranním řezákem. Ve frontálním úseku bylo několik tremat a výrazná mezera mezi horním pravým premolárem a špičákem.
Rozhodování
Mým úkolem tedy bylo uvážit, samozřejmě s ohledem na přání pacientky, která z možností ošetření spolehlivě povede k požadovanému výsledku. U tohoto případu byly cíle jasné:
• uzavřít mezery
• zlepšit proporce zubů
• zlepšit barvu zubů
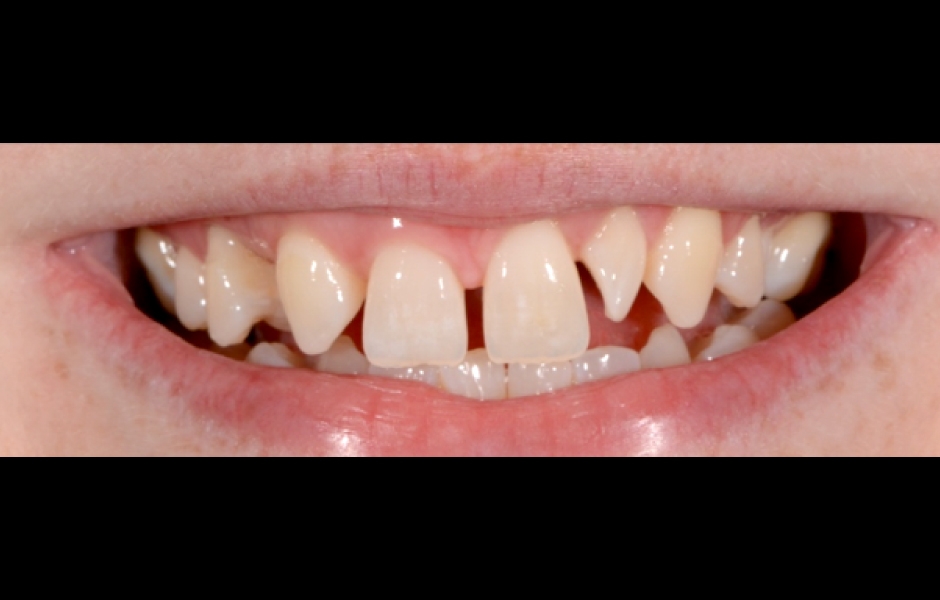
Na základě vizuálního vyšetření (obr. 2) je dalším krokem stanovit následující:
• pozici incizálních hran
• středovou linii
• zakřivení incizálních hran korespondující s konturou dolního rtu
• celkové proporce výsledné rekonstrukce
• okraj a obrys dásní
• pozice zubů vůči středové linii
• osobitost úsměvu – mužský / ženský / dynamický
• šířku úsměvu s ohledem na obličejové svaly a charakteristické rysy
Jakmile stanovím tyto markanty, mohu dále určit:
• počet zubů, které musím ošetřit, abych dosáhl optimálního výsledku
• design preparace
• zda je nutná parodontologická léčba
• zda je nutná chirurgická úprava emergence profilu dásní
• zda je nejprve nutné zmenšení či uzavření mezer ortodontickou léčbou
Buďte v obraze
Chcete mít pravidelný přehled o nových článcích na tomto webu, akcích a dalších novinkách? Přihlaste se k odběru newsletteru.
Odesláním souhlasíte s našimi zásadami zpracování osobních údajů.
Cílem je vždy minimalizovat preparaci, které někdy může předcházet i změna výchozí situace pomocí ortodoncie na klinicky příznivější. V našem případě vykazoval chrup pacientky poměrně rovnoměrně rozložené mezery a jejich ortodontické uzavření by vedlo k posunutí středové linie a dalším problémům, především jak naložit s veškerým vzniklým prostorem. Ortodoncii jsme tedy vyloučili.
Předplaťte si StomaTeam ONLINE a získejte neomezený přístup ke kompletnímu obsahu StomaTeamu.
objednat předplatnéPá 16. 10. 2026 | 9.00 – 17.00 hod.
Články
12. 8. 2025 | Protetika
Představujeme případ částečné náhrady chrupu ošetřeného pomocí jednoduchého plně digitálního protokolu, který zahrnoval zhotovení implantáty nesených korunkových náhrad (spojených korunek) z hybridního kompozitního materiálu se 42% obsahem keramiky (certifikovaného pro definitivní náhrady) za využití moderní technologie 3D tisku TSLA (tilted stereolithography) na tiskárně DFAB.
Články
14. 5. 2026 | Protetika
Mezerník patří mezi nejčastější řešení při ztrátě jednoho až tří zubů – ať už jako provizorní náhrada po implantaci, nebo jako rychlé funkční řešení pro pacienta.
Články
23. 9. 2025 | Protetika
Multidisciplinární případ ukazující univerzálnost materiálu IPS e.max Ceram pro dosažení přirozeného a vysoce estetického výsledku.










