Řízený koncept rekonstrukce v estetické zóně
Rekonstrukce frontálních zubů často představuje pro praktického zubního lékaře značnou výzvu. Pokud máme dosáhnout co nejlepšího předvídatelného výsledku, je nutné mít dobře řízený koncept ošetření. Precizní plánování a konzistentní protokol jsou nepostradatelné. Moderní zubní lékařství zjednodušilo cesty k dosažení estetických výsledků, ovšem úspěch léčby zejména ve viditelném úseku chrupu ve značné míře závisí na pečlivém plánování ošetření, které zahrnuje detailní analýzu pacientova úsměvu a také výrobu přesného pracovního modelu. Tento článek popisuje poměrně snadnou techniku na bázi klinického případu. Počáteční léčebný plán byl vytvořen společně zubním lékařem a zubním technikem a posloužil jako navigace pro dentální tým a všechny klinické kroky.

Kazuistika – skrytá léze
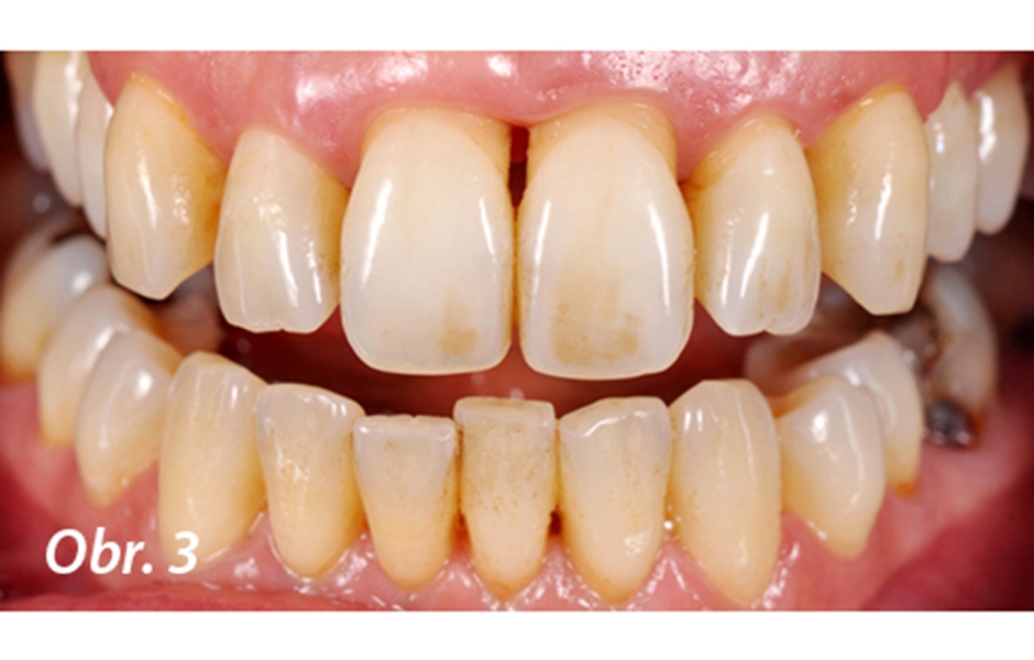
Žena, 45 let, vyhledala naši praxi kvůli extrémní pohyblivosti předních zubů, která mj. způsobovala estetické problémy (obr. 1, 2). Zuby se vysunuly ventrálně a úroveň linie úsměvu poklesla. Kvůli závažné parodontitidě vykazovaly horní přední zuby značné gingivální recesy (obr. 3). Detailní vyšetření odhalilo, že čtyři horní frontální zuby již nelze zachránit a musí být extrahovány. V plánu bylo zavedení dvou implantátů do míst po extrakci zubů 12 a 22, následné zhotovení mostu na implantátech s pilíři 12 a 22 a opatření zubů 13 a 23 samostatnými korunkami. Hlavním cílem bylo obnovení harmonického vzhledu linie úsměvu a dosažení konvexního tvaru gingivy. Úsměv pacientky byl analyzován na základě fotografi e a byly provedeny otisky situace. Na základě těchto podkladů byl zhotoven provizorní můstek v rozsahu 13 a 23 z PMMA (Telio®CAD), který již zahrnoval estetické a funkční aspekty plánované rekonstrukce.
Chirurgický postup
Při druhé návštěvě pacientky v ordinaci byly extrahovány čtyři horní řezáky. Zuby 13 a 23 byly preparovány tak, aby se na ně mohl umístit provizorní můstek (obr. 4). Během téže návštěvy byly zavedeny do extrakčních ran po zubu 12 a 22 implantáty (V3, MIS Implants Technologies), které následně posloužily jako pilíře pro můstek nesený implantáty. Chirurgický postup také zahrnoval dva štěpy pojivové tkáně do oblasti zubu 11 a 21, které měly zvýšit horizontální objem čelisti. Augmentace pomohla obnovit konvexní tvar zubního oblouku a vytvořila solidní základ pro vznik přirozeně vypadajícího emergence profile. Alveolární lůžka zubů 11 a 21 byla vyplněna kostní náhradou (xenologním Bio-Oss), aby se předešlo kolapsu gingivální tkáně po extrakci zubů. Po chirurgickém výkonu byl umístěn provizorní můstek (obr. 5). Provizorní náhrada hraje velkou roli v tomto typu léčby a značně ovlivňuje její výsledek. Flow kompozitní materiál byl aplikován na bázi provizorního můstku k úpravě gingivální tkáně a k formování žádaného emergence profile. Vhodná úprava dásní pomáhá zachovat objem tkáně.
Poznámka: Když byl v zubní laboratoři vyroben model provizorní náhrady, alveolární lůžka musela být odpovídajícím způsobem preparována. Protože tento typ minimálního chirurgického zásahu eliminoval nutnost lalokové operace, zahojila se rána čistě a rychle a téměř se neobjevilypooperační obtíže.
Publikováno: StomaTeam 3/2018
Buďte v obraze
Chcete mít pravidelný přehled o nových článcích na tomto webu, akcích a dalších novinkách? Přihlaste se k odběru newsletteru.
Odesláním souhlasíte s našimi zásadami zpracování osobních údajů.
Zaujala vás ukázka článku?
Celý článek můžete prostudovat v časopisu StomaTeam
Prohlédněte/stáhněte si celý časopis ve formátu PDF ❯
Články
22. 10. 2024 | Protetika
Umělecká intuice, kreativita a technická odbornost – to jsou jen některé z klíčových faktorů pro dosažení kvalitních náhrad. Zásadní je také výběr správného materiálu pro dosažení přesných výsledků. Tento případ ukazuje, jak mohou být náhrady funkčně efektivní...
Články
6. 5. 2025 | Protetika
Digitální pracovní postup umožňuje využití polychromatických disků s optickými vlastnostmi podobnými přirozenému zubu. Ty minimalizují nebo dokonce eliminují potřebu individualizace či charakterizace, pokud je materiál vybrán na základě specifických potřeb pacienta. Klíčovým faktorem je vysoká věrnost barev odpovídající přirozenému zubu, plynulý přechod odstínu od krčku k incizi a přirozená hra světla s efekty napodobujícími skutečný zub.
Články
12. 12. 2024 | Protetika
Minimálně invazivní stomatologie odráží přístup založený na úctě ke zdravým tvrdým a měkkým tkáním v dutině ústní. ento přístup se stal reálnou volbou pro mnoho pacientů díky několika faktorům, jako jsou mimořádně citlivé a přesné procesy výroby protetiky, moderní techniky adheze ke sklovině a dentinu, inovativní biomateriály a rychlý technologický pokrok...















