Rehabilitace chrupu u pacienta s agenezí
V případech, kde je vyžadována celková rekonstrukce chrupu, je zásadní dodržovat systematický postup a s rozvahou používat sladěné materiály. Každý den přicházejí na dentální trh nové materiály a inovativní techniky pro moderní estetickou a minimálně invazivní stomatologii. Výsledkem je, že se léčebné protokoly zaměřené na pacienta kontinuálně zlepšují. Pokud je indikováno komplexní ošetření, je nutno prodiskutovat a zohlednit funkční a estetické požadavky dle dispozic pacienta – jako jsou např. psychologický stres nebo finanční omezení. V tomto článku budeme zvažovat možnosti poskytnutí minimálně invazivního ošetření a brát v úvahu stěžejní faktory.

Kazuistika
23letý pacient trpí závažnou hypodoncií (zubní agenezí) s celkem 14 chybějícími zuby (obr. 1). Sedm zubů chybí jak v horní, tak v dolní čelisti. Závažná hypodoncie takového druhu obvykle vede k velice nízkému vertikálnímu mezičelistnímu rozměru a často i k závažnému narušení žvýkací funkce. U takového typu rekonstrukce musí být vzaty v úvahu psychosociální aspekty. V prezentovaném případě se pacient v první návštěvě vůbec neusmíval a schovával svá ústa rukou, když mluvil. Vzhledem k finančním omezením mladého pacienta a jeho strachu z operativního řešení (ošetření pomocí implantátů) bylo rozhodnuto usilovat o konvenční protetický léčebný přístup. V rámci léčebného plánu bylo stanoveno obnovení horních frontálních zubů prostřednictvím celokeramického můstku, dolních frontálních zubů pomocí lithiumdisilikátových fazet a zubů v postranním úseku chrupu metalokeramickými náhradami.
Klinické vyšetření a plánování ošetření
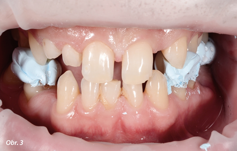
První část procesu orální rehabilitace zahrnuje klinické vyšetření, ve kterém je analyzován stav zubů a obličej. Vyšetření ukázalo značně redukovanou výšku skusu. Pacientovi chybí 14 stálých zubů. A co více, stále je přítomno několik dočasných zubů. Kvůli totální kariézní destrukci musel být extrahován zub 36. Pro zhotovení wax-upu musí mít zubní technik kromě ordinačních otisků k dispozici záznam mezičelistních vztahů a registraci pomocí obličejového oblouku. V případě zvyšování skusu musí být nejprve registrována správná centrická pozice dolní čelisti. V našem případě byl použit frontální „Lucia Jig“ zhotovený z termoplastického materiálu (obr. 2). Obličejový oblouk byl použit ke stanovení vztahu horní čelisti k horizontální referenční rovině a k bipupilární linii. Při výrobě rozsáhlých rekonstrukcí musí být zaznamenány protruzní a laterotruzní polohy, aby bylo provedeno potřebné individuální nastavení artikulátoru. K tomuto záznamu je vhodný silikon, např. Virtual CADbite. Ve většině případů tento typ materiálu poskytuje rychlejší a přesnější výsledky než vosk. Pokud je pro zaznamenání skusu použit vosk, měl by být pacient instruován, jak má pohybovat dolní čelistí do protruzní a laterotruzní polohy. Zkušenosti ukázaly, že je snadnější nechat pacienty tyto pohyby provádět samotně a zastavit je, když dosáhnou správné pozice (obr. 3). Virtual CADbite je aplikován, jakmile jsou zuby v této poloze.
Wax-up a mock-up
Následující dokumentace byla požadována pro výrobu wax-upu: přesné otisky horní a dolní čelisti, záznam obličejovým obloukem, záznam o centrickém skusu ve vosku s předem stanoveným vertikálním rozměrem, fotografie pacienta a také detailní snímky situace, kdy se pacient usmívá. Tyto záznamy byly použity k vytvoření voskového modelu a pro modelaci zubních oblouků do jejich vzájemné ideální funkční a estetické polohy.
Navíc byla upravena okluzní rovina a Speeova křivka (obr. 4). Pro kontrolu laboratorní práce intraorálně byl proveden mock-up z wax-upu (Telio CS C & B) (obr. 5). Všechny funkční a estetické parametry poté byly kontrolovány v ústech pacienta. Tato fáze léčby je velmi důležitá z mnoha důvodů. Pacienti mají možnost se aktivně podílet na návrhu jejich nového úsměvu, což je velmi motivující. Funkční wax-up, maximální interkuspidaci, nový vertikální rozměr a protruzní a laterotruzní pohyby lze navíc testovat v reálné situaci. Kromě toho mock-up slouží jako model pro provizorní náhradu. Proto by měl být vyroben s nejvyšší přesností. Jakmile je pacient zcela spokojen s navrhovaným výsledkem a mock-up splňuje všechna klinická kritéria, můžeme přikročit k další fázi rekonstrukce.

Pacient s hypodoncií: snímek iniciální situace. Celkem chybělo 14 zubů v horní a dolní čelisti.

Přední „Lucia Jig“ pro vyhodnocení centrického vztahu

Zachycení záznamu protruzní pozice s pomocí Virtual CAD bite

Wax-up: ideální funkční a estetická pozice a upravená okluzní rovina a Speeova křivka

Mock-up zhotovený s pomocí wax-upu pro intraorální vyhodnocení funkčních a estetických komponent
Buďte v obraze
Chcete mít pravidelný přehled o nových článcích na tomto webu, akcích a dalších novinkách? Přihlaste se k odběru newsletteru.
Odesláním souhlasíte s našimi zásadami zpracování osobních údajů.
Zaujala vás ukázka článku?
Celý článek můžete prostudovat v časopisu StomaTeam
Prohlédněte/stáhněte si celý časopis ve formátu PDF ❯
Články
6. 5. 2025 | Protetika
Digitální pracovní postup umožňuje využití polychromatických disků s optickými vlastnostmi podobnými přirozenému zubu. Ty minimalizují nebo dokonce eliminují potřebu individualizace či charakterizace, pokud je materiál vybrán na základě specifických potřeb pacienta. Klíčovým faktorem je vysoká věrnost barev odpovídající přirozenému zubu, plynulý přechod odstínu od krčku k incizi a přirozená hra světla s efekty napodobujícími skutečný zub.
Články
15. 5. 2025 | Protetika
Aidite 3D Pro Zikón: Revolučný materiál v oblasti zubnej protetiky, známy svojou výnimočnou pevnosťou, estetickým vzhľadom a všestrannosťou. ento pokročilý zirkónový materiál vyniká vďaka svojmu unikátnemu viacvrstvovému dizajnu, ktorý napodobňuje prirodzený gradient ľudských zubov.
Články
16. 6. 2025 | Protetika
Tímto příspěvkem navazuji na článek 3D tištěné skelety: klinicky přívětivější skeletové náhrady. Přiblížím vám zde, jaké přesnosti po vytištění lze zúročením zkušeností a dobrou spoluprací s CAD designérem u skeletů dosáhnout. Dále také upozorním na trend, který se u nás zatím příliš neuchytil, ale ve světě je zcela běžný – absenci opakeru na retencích skeletu pro pryskyřici.












