Protetický design, estetika, 3D gnatologie
Plánování případů s použitím 3D fotografií pořízených obličejovými ...

Díky vývoji digitálních nástrojů jako jsou 3D skenery a stále se rozšiřujícímu využití CBCT, CAD/CAM programů a nových materiálů, jsme v oblasti protetického designu, estetiky a 3D gnatologie svědky „revoluce" v navrhování a konstrukci zubních náhrad. Cílem tohoto článku je ukázat poslední novinky týkající se estetiky a funkce z diagnostického a terapeutického hlediska. Nové digitální zobrazovací technologie, 3D fotografie a CBCT také umožňují provádět diagnostické a protetické návrhy, které by bylo ještě před několik lety těžké získat. Při CBCT je biologické zatížení o 90 % nižší než před několika lety, protože dávka ozáření pro získání CBCT je podobná jako u panoramatického rentgenu, ale s nevyvratitelnými výhodami zahrnujícími mimo jiné také rozšíření využití za diagnostickými účely. CAD/CAM software umožňuje použití těchto dat integrovaných s 3D snímky získanými ze skeneru a spolu s digitalizovanými modely otevřel nové možnosti v protetickém navrhování. Integrace těchto systémů umožňuje zjištění fyziognomie obličeje pacienta a přenos do digitální platformy a díky přesnému přiřazení je možné integrovat data s daty získanými z CBCT a dokonce získat reálnou anatomii lebky. Při použití těchto současných digitálních nástrojů je nutné dobře znát parametry a klasické gnatologické reference, se kterými jsme vždy pracovali. Referenční roviny, Frankfurtská horizontála, Camperova rovina, Foxova rovina, Speeova křivka, Wilsonova křivka, Monsonova rovina nyní získávají na novém významu a umíme je najít a propočítat s absolutní a individuální přesností. Nové digitální modelovací programy umožňují vložení těchto klinických dat do virtuálního artikulátoru, který je obvykle dodáván se softwarem. Komunikace mezi lékařem a zubním technikem byla vždy problematická. Pro dobrý výsledek nestačí zubnímu technikovi předat modely a informace o mezičelistních vztazích, ale je nezbytné znát kromě anatomie čelistí také stav měkkých tkání a celého obličeje. Tyto nově dostupné technologie odstraňují problémy se sdělením zásadních údajů. Digitalizace dat týkajících se pacienta probíhá prostřednictvím:
- Obličejových skenerů, v našem oboru používaných krátce, které umožňují získání 3D snímků, které jsou mnohem reálnější než 2D fotografie měkkých tkání (v tomto případě systém Face Hunter od firmy Zirkonzahn)
- CBCT, které umožňuje zaznamenat přesnou anatomii kostních tkání
- Skenování pracovních šablon pro pacienta
Klinický případ
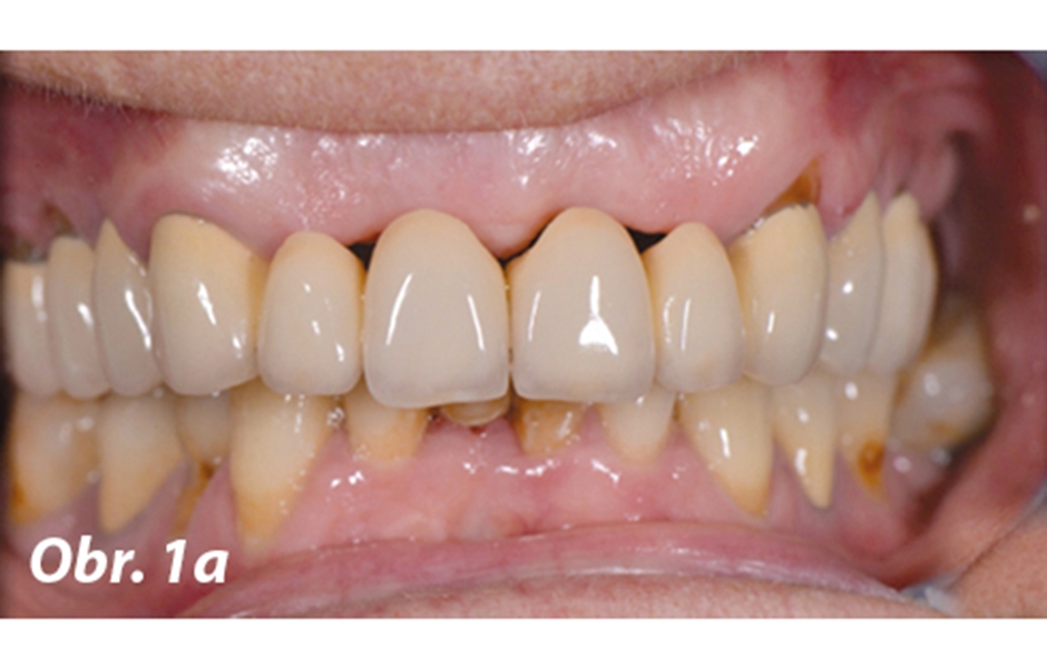
65letá pacientka s II. skeletální třídou a hlubokým skusem měla v horní čelisti zlatý metalokeramický můstek, malý vertikální čelistní rozměr a artrózu TMK.
Plán ošetření:
Fixní náhrada v rozsahu zubů 16–26 a 46–36 v poměru k horní čelisti získaném při zrekonstruovaném skusu (obr. 1a, b).
První sezení:
- Na základě CBCT jsme odhalili problémy s TMK (obr. 1c, d)
- Kontrola a rekonstrukce polohy dolní čelisti za účelem zjištění správného mezičelistního vztahu
- Studijní modely, na nichž jsme zjistili chybné okluzní roviny, chybějící při maximální interkuspidaci
- Překážky spočívaly ve zjištěném přílišném předkusu
Publikováno: StomaTeam 2/2018
Buďte v obraze
Chcete mít pravidelný přehled o nových článcích na tomto webu, akcích a dalších novinkách? Přihlaste se k odběru newsletteru.
Odesláním souhlasíte s našimi zásadami zpracování osobních údajů.
Zaujala vás ukázka článku?
Celý článek můžete prostudovat v časopisu StomaTeam
Prohlédněte/stáhněte si celý časopis ve formátu PDF ❯
Články
23. 9. 2025 | Protetika
Multidisciplinární případ ukazující univerzálnost materiálu IPS e.max Ceram pro dosažení přirozeného a vysoce estetického výsledku.
Články
6. 5. 2025 | Protetika
Digitální pracovní postup umožňuje využití polychromatických disků s optickými vlastnostmi podobnými přirozenému zubu. Ty minimalizují nebo dokonce eliminují potřebu individualizace či charakterizace, pokud je materiál vybrán na základě specifických potřeb pacienta. Klíčovým faktorem je vysoká věrnost barev odpovídající přirozenému zubu, plynulý přechod odstínu od krčku k incizi a přirozená hra světla s efekty napodobujícími skutečný zub.
Články
6. 2. 2026 | Protetika
Klinický přístup k plně keramickým hybridním rehabilitacím zajišťujícím dlouhodobou stabilitu a vysoce estetické výsledky bez použití kovových komponent.
Warning: file_get_contents(): Peer certificate CN=`*.r4.websupport.sk' did not match expected CN=`www.dentalbazar.cz' in /www/doc/www.stomateam.cz/www/script/page-object8.php on line 7
Warning: file_get_contents(): Failed to enable crypto in /www/doc/www.stomateam.cz/www/script/page-object8.php on line 7
Warning: file_get_contents(https://www.dentalbazar.cz/api/dental-bazar.php): Failed to open stream: operation failed in /www/doc/www.stomateam.cz/www/script/page-object8.php on line 7











