Propadnout Zirkonzahnu… a milovat ho!
Téměř před rokem jsem začala pracovat s materiály Zirkonzahn. Dr. Antony Carbery z kliniky Malo v La Salle Québec zakoupil systém Zirkonzahn, aby mohl vyrábět většinu náhrad ze zirkonu a dokončovat je na své klinice. Protože jsem měla zkušenosti s jinými typy zirkonu (Lava, Metoxit, Bruxzir), než jsem začala pracovat na klinice Malo, nastudovala jsem si všechny informace, které se mi podařilo o Zirkonzahnu najít. Zvláště jsem se zajímala o nanášení barviv Aquarelle, která mi umožňovala mít od samého začátku práce kontrolu nad barvou materiálu Zirkonzahn. Kdo by chtěl zirkon dobarvovat, když můžete barvy docílit již ve fázi sintrování?
V současné době zná většina zubních techniků filozofii a přístup Enrica Stegera a neobávají se, že by systém a materiály, které osobně vyvinul, nefungovaly. Koneckonců, je to celosvětově známý vynálezce a umělec, který se chce podělit o své znalosti a nadšení.

Příprava vyfrézované náhrady
Dr. Antony Carbery na klinice Malo sám skenuje a navrhuje všechny CAD/CAM náhrady. Laboratorní práce začíná až po vyfrézování náhrady.
Technika cut-back na náhradě Prettau
Protože jsem věděla velmi málo o tom, jak připravit zirkonovou náhradu, obrušovala jsem ji více, než bylo nutné, dobarvovala a sintrovala. Poté, co jsem absolvovala individuální kurz v Brunico, Itálie, který mi klinika Malo zaplatila, používám techniku cut-back podle Enrica Stegera. Příprava zabere více času, ale urychlí pozdější kroky ve fázi nanášení keramiky. Mohu si také vytvořit vlastní styl práce. Při použití Stegerovy techniky cut-back člověk automaticky vytváří mamelony nebo jiné individualizace jako například lomné linie, které ve fázi dokončování velmi hezky vystoupí a vypadají skvěle! Je nanejvýš důležité před probarvováním zcela odstranit prach.
Probarvování ve fázi sintrování
První den práce na klinice Malo jsem si vytvořila vzorky různých intenzit a přes noc je sintrovala. Návody k materiálům Zirkonzahn jsou při učení základů velmi dobré. Doporučuji si však u nových materiálů vždy vyrobit vzorky, nezávisle na tom, s jakým materiálem pracujeme. Příjemným překvapením pro mě bylo to, že probarvování lze snadno kontrolovat i ve fázi sintrování. Takže jsem druhý den byla schopna probarvit svoji první celkovou náhradu na klinice Malo.
Vždy kontrolujte pasivní dosednutí a okluzi
Než začnu s nanášením keramiky, vždy kontroluji, zda není nutné provést na náhradě ještě úpravy, zda je dosednutí pasivní a okluzní kontakty optimální. Poté základnu náhrady z Prettau vyleštím do výsledného vysokého lesku a povrch, který se bude fazetovat, opískuji 110µm oxidem hlinitým.
Keramika
Zirkonzahn nabízí tři různé intenzity dentinů. Keramický systém ICE je tvořen třemi intenzitami dentinových barviv. To umožňuje snadno pracovat v tenkých, stejně jako v silnějších vrstvách, a dosáhnout tak požadovaných výsledků.
S materiálem Dynamik je třeba být velmi opatrný a nanášet ho ve velmi tenkých vrstvách, jinak vyjde barva příliš sytá.
Materiál ICE Dynamik je určen především pro wash pálení v tenké vrstvě. Nicméně, v případě potřeby jej lze k zintenzivnění barvy použít rovnou nebo namíchat s jinými dentinovými materiály. ICE Dentine+ je ideální pro nanášení tenkých vrstev nebo na gingivální oblasti. Vypadá hustší a barevnější. Práce s ICE Dentinem je stejná jako s každým jiným dentinovým práškem.
Fenomenální jsou translucentní prášky. Fotografie krabice s prášky ukazuje, jak bude materiál vypadat, bude-li správně vypálený. Přírodní translucentní prášek je úplně průhledný.

Obr. 1: Vyfrézovaná dokonalá náhrada pro horní čelist

Obr. 4: Před školením… – Obr. 5: …po školení Enricem Stegerem technikou cut-back – Obr. 6: Styl techniky cut-back podle Enrica Stegera

Obr. 7: Před probarvováním se náhrada z Prettau důkladně očistí – Obr. 8: Moje první sintrovaná náhrada… podle očekávání dopadla dobře – Obr. 9: Potřeno dentinovým barvivem – Obr. 10: Přidáno incizální barvivo
Nanášení keramiky
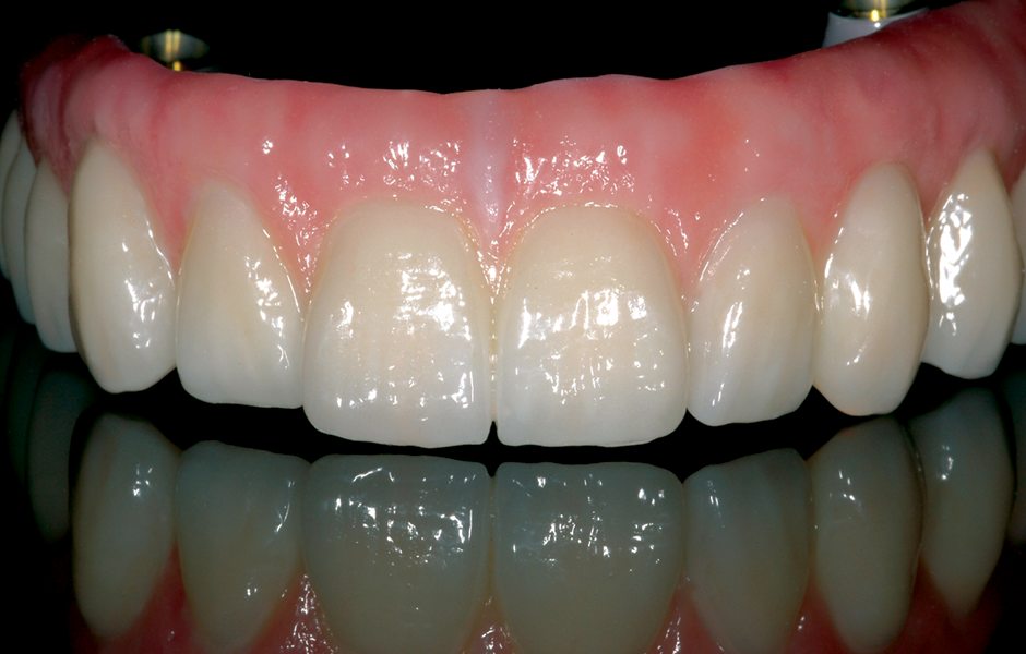
Protože jsem pracovala se všemi generacemi fazetovacích keramik, byla jsem si jistá, že se budou keramické prášky ICE chovat tak, že naprosto nebude nutná předimenzovaná vrstva nanesené keramiky! A bylo tomu tak! Co jsem si již od prvního okamžiku práce s ICE uvědomila, bylo to, že při nanášení zůstal prášek na místě, i když byl hodně zvlhčený, a vrstva se nenarušila. Tato sklokeramika je podle mého názoru mimořádná. Vzhledem ke stabilitě prášku je snadné dát náhradě nanášením různých prášků vlastní podpis. Individualizace se provádí snadno.
Při mém prvním použití techniky cut-back u celkové náhrady jsem musela provést pálení sedmkrát až osmkrát, včetně pálení wash a glazury. Protože jedna fáze nanášení a pálení zabere zhruba dvě hodiny plus doba ochlazování, trvalo by dokončení náhrady pro jeden oblouk téměř tři pracovní dny. Po individuálním školení ve vzdělávacím centru Zirkonzahn s Georgem Walcherem jsem byla schopna zkrátit výrobu technikou cut-back na dva dny a počet pálení zredukovat na čtyři nebo pět.
Pracujete-li na celém oblouku technikou cut-back podle Enrica Stegera, vyžaduje to wash pálení, kdy je vrstva keramiky velmi rovnoměrná. V této fázi se rozhoduji, jaký prášek použiji, od dentinového po incizální i ohledně všech dalších prášků mezi nimi, podle toho, jaký vzhled chci vytvořit.
Již v této chvíli jsem schopna rozhodnout o správné intenzitě a barevné sytosti. Například, je-li odstín sintrovaného zubu příliš světlý, mohu vypálit tenkou vrstvu dentinového materiálu Dynamik, Dentine+, běžný Dentine nebo použít nějakou kombinaci, kterou zvolím tak, abych ovlivnila výsledek.
Wash pálení vychází perfektně, a protože byla vrstva dentinu a dásní rovnoměrně tenká, nevznikly mezi zuby žádné trhliny. Aproximální oblasti jsem probrousila až na zirkon.
StomaTeam 3/2017
Buďte v obraze
Chcete mít pravidelný přehled o nových článcích na tomto webu, akcích a dalších novinkách? Přihlaste se k odběru newsletteru.
Odesláním souhlasíte s našimi zásadami zpracování osobních údajů.
Články
6. 2. 2026 | Protetika
Klinický přístup k plně keramickým hybridním rehabilitacím zajišťujícím dlouhodobou stabilitu a vysoce estetické výsledky bez použití kovových komponent.
Články
6. 5. 2025 | Protetika
Digitální pracovní postup umožňuje využití polychromatických disků s optickými vlastnostmi podobnými přirozenému zubu. Ty minimalizují nebo dokonce eliminují potřebu individualizace či charakterizace, pokud je materiál vybrán na základě specifických potřeb pacienta. Klíčovým faktorem je vysoká věrnost barev odpovídající přirozenému zubu, plynulý přechod odstínu od krčku k incizi a přirozená hra světla s efekty napodobujícími skutečný zub.
Články
16. 6. 2025 | Protetika
Tímto příspěvkem navazuji na článek 3D tištěné skelety: klinicky přívětivější skeletové náhrady. Přiblížím vám zde, jaké přesnosti po vytištění lze zúročením zkušeností a dobrou spoluprací s CAD designérem u skeletů dosáhnout. Dále také upozorním na trend, který se u nás zatím příliš neuchytil, ale ve světě je zcela běžný – absenci opakeru na retencích skeletu pro pryskyřici.
- Dentální hygienistka Hledám dentální hygienistku v Brně
- Zubní lékař YES Dental hledá zubního lékaře
- Dentální hygienistka Dentální hygienistka/a do prémiové kliniky v Praze
- Zubní sestra Přijmu ZUBNÍ SESTRU/ INSTRUMENTÁŘKU/ DENTÁLNÍ HYGIENISTKU
- Dentální hygienistka Dentální hygienistka Praha 7










