Okluzní fazety v laterálním úseku
z IPS e.max Press
Kniha „Porcelain Laminate Veneers“ od Davida A. Garbera, Ronalda E. Goldsteina a Ronalda A. Feinmanna pomáhala výrazným způsobem utvářet proteticko-rekonstrukční postup autorské dvojice tohoto článku. Na základě úspěchu adhezivní techniky vznikl zde popsaný koncept pro minimálně invazivní rekonstrukce zubů.

Již v roce 1990 pořádala vzdělávací akademie „Westerburger Kontakte“ odborný kurz „Korunky, inlaye a fazety z keramiky“. Dodnes je fascinující, že keramiku lze zpracovávat podobně, jako zlatou slitinu. A. Krummel, A. Garling, M. Sasse a M. Kern (Univerzita Christiana Alberta v Kielu, Německo) publikovali studii, že ošetření pomocí okluzních fazet v postranním úseku o minimální tloušťce keramiky od 0,3 do 0,6 mm je velice slibné pro zubní praxi. Na našem pracovišti postranní zuby rekonstruujeme 0,5 až 0,7 mm tlustými adhezivně fixovanými náhradami z monolitického IPS Empress® nebo lithiumdisilikátu ve formě okluzních fazet nebo částečných korunek. Frontální zuby rekonstruujeme adhezivně fixovanými monolitickými 360° fazetami, částečnými korunkami nebo fazetami o tloušťce od 0,3 do 0,5 mm. ALE: v porovnání se zlatem, které se při rušivých vlivech zdeformuje, nebo s metalokeramikou, která se odlomí, je celokeramika prakticky nezničitelná. Požadavky na optimalizaci statické a dynamické okluze jsou proto vysoké.
Diagnostika a plán ošetření
Vlivem parafunkčních aktivit a opotřebení došlo u naší 23leté pacientky k silné abrazi frontálních zubů v horní čelisti s úplnou ztrátou palatinální skloviny (obr. 1, 2). Postranní zuby rovněž vykazovaly ztrátu téměř veškeré skloviny na okluzi.
Funkční analýza, wax-up a plánování preparace
Modely horní a dolní čelisti zastavíme do artikulátoru. K nastavení artikulátoru využijeme záznamy pohybů dolní čelisti. Na odublovaném modelu zhotovíme diagnostický wax-up (obr. 3). V prezentovaném případě bylo cílem zvednutí skusu o výšku, jež byla nezbytná pro rekonstrukci frontálních zubů. Délka frontálních zubů byla stanovena prostřednictvím mock-upu s kontrolou fonetiky, funkce a estetiky. Při pohybech do stran usilujeme o počáteční diskluzi postranních zubů. Pozice hrbolků, které představují překážky, je následně upravena. Jako pomůcku k funkčně správné preparaci vyznačí technik na bukální plošky zubů původní polohu pracovních hrbolků (červená značka) a nepracovních hrbolků (zelená značka).
Na gingivální části modelu vyznačí, kam by z hlediska preparace měly být posunuty hrbolky a volné prostory. Na model s diagnostickým wax-upem adaptujeme termoplastickou fólii, kterou vyplníme provizorní pryskyřicí a přeneseme na zuby. Po odstranění fólie vyhodnocujeme ještě před preparací s pacienty naplánované změny s ohledem na fonetiku, funkci a estetiku (obr. 4).
1. fáze ošetření: provizorní ošetření horních a definitivní ošetření dolních postranních zubů
Postranní zuby v horní a dolní čelisti byly napreparovány. Pracovní modely (obr. 5) zhotovené na základě otisku zastavíme do artikulátoru pomocí obličejového oblouku a skusového registrátu. Aplikujeme podpěrný bloček odpovídající plánovanému zvýšení skusu.
Pomocí okluzního stolku byly voskem dostavěny dolní postranní zuby. Takto vymodelované dostavby zatmelíme pro zhotovení monolitických náhrad. Fixaci zhotovených náhrad provedeme adhezivní technikou (S.Ä.T., Adhese® Universal, Variolink® a Monobond® Etch & Prime).
Na postranní zuby v horní čelisti byly nasazeny nepřímé dočasné rekonstrukce z kompozitu, a ještě nenapreparované zuby ve frontální oblasti byly opatřeny adhezivně fixovaným mock-upem z provizorního kompozitu (obr. 6). Zubní oblouk v horní čelisti byl rozšířen lehce bukálně a frontální zuby byly prodlouženy. Rekonstrukce v sobě zahrnuje vertikální zvýšení skusu a umístění hrbolků ověřené pomocí mock-upu. Analogicky k léčbě pomocí nákusných dlah lze na dočasných rekonstrukcích v horní čelisti provádět případné drobné korekce.
2. fáze ošetření: definitivní ošetření horních a dolních frontálních zubů
Preparace a výroba provizorií
Následuje minimálně invazivní preparace (v našem případě horních a dolních frontálních) zubů (obr. 7 a 8).
Krok 1: Pomocí diamantového brousku vyznačíme hloubku zábrusu incizní hrany skrze adhezivně fixovaný mock--up (zpravidla 1,0 až 1,5 mm).
Krok 2: Pomocí hloubkového značkovače na přední plošce zubu skrze mock-up vybrousíme horizontální 0,5 mm hluboké zářezy a tyto vybarvíme lihovým fixem.
Krok 3: Zabrousíme incizní hrany, přičemž je diamantový brousek skloněn palatinálně v úhlu přibližně 30 °.
Krok 4: Pomocí diamantového brousku o průměru 0,3 mm nebo kamínku 014 zuby aproximálně rozseparujeme.
Krok 5: Po odstranění mock-upu ubrušujeme labiální sklovinu, dokud nezmizí fixem vyznačené značky. Cervikální preparace sleduje průběh marginální gingivy. Palatinálně se hloubka preparace pohybuje mezi 0,3 a 0,5 mm. V oblasti, ve které u naší pacientky přesahuje ztráta hmoty na palatinální ploše zubu až za tuberculum, byla provedena preparace na 360° fazetu. To zamezí následným palatinálním frakturám fazet.
Krok 6: Před finální úpravou okrajového uzávěru zavedeme retrakční vlákno o velikosti 000. Preparaci provádíme červeným kolénkem se sníženými otáčkami (40 000 ot./min) přesně do výše vláknem lehce odtlačené gingivy. Tuto jemnou preparaci lze provádět i při pouhém chlazení vzduchem.
Pomocí silikonového klíče podle wax-upu naplněného hydrokoloidem – nebo termoplastické fólie zhotovené podle wax-upu naplněné silikonovým otiskovacím materiálem – vyzkoušíme, zda je odbroušen dostatek tvrdých zubních tkání (obr. 9). Pokud je tloušťka vrstvy hydrokoloidu menší než 0,3 mm, vyznačíme voskovkou místa, na kterých je potřeba zub ještě přibrousit.
Po otisknutí situace pomocí rychletuhnoucí sádry (Whip Mix Snap-Stone) zhotovíme model ke kontrole preparace. Pomocí silikonového klíče (diagnostický wax-up) může nyní proškolený zaměstnanec zhotovit nepřímá provizoria.
Preparace dolních frontálních zubů a zhotovení modelu
Stejným postupem jako u frontálních zubů v horní čelisti byly napreparovány dolní frontální zuby a bylo zkontrolováno množství odbroušených tkání. Hloubka preparace by neměla přesahovat 0,3 mm. Před otiskováním přes již zavedené vlákno velikosti 000 zavedeme druhé vlákno velikosti 0 napuštěné hemostatickým gelem (Viscostat Clear, Ultradent), které vyjmeme krátce před nanesením otiskovacího materiálu. Vlákno velikosti 000 drží při otiskování sulkus otevřený a suchý. Bereme jeden celkový otisk a dva částečné pro výrobu jednotlivých pilířů. Artikulátor nastavíme podle zaznamenaných individuálních pohybů dolní čelisti.
Wax-up pro zkoušku fonetiky, funkce a estetiky
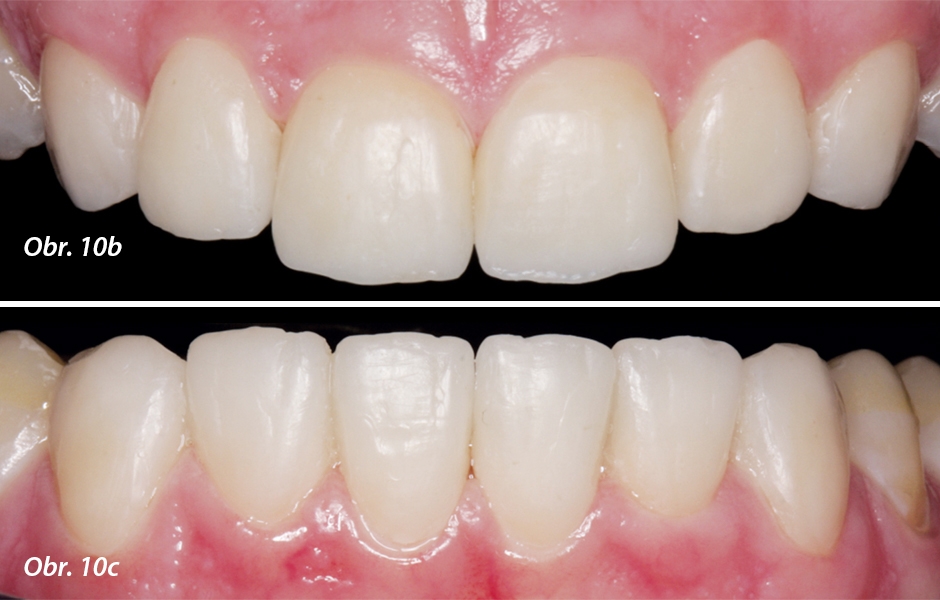
Zubní technik dále vyrobí wax-up frontálních zubů z estetického vosku, s jehož pomocí kontrolují společně technik, zubní lékař a pacient fonetiku, funkci a estetiku (obr. 10). Potřebné úpravy provádíme za přítomnosti pacienta. Následně voskovou modelaci zatmelíme a vypresujeme.
Stanovení barvy pahýlu a výroba korunek
Barva pahýlu podstatným způsobem ovlivňuje výsledný odstín náhrady – zvláště u fazet nebo částečných náhrad zubů. Proto u každého pahýlu pečlivě určujeme barvu. Následně pak zubní technik vyrábí individualizované náhrady v odpovídající barvě (IPS Natural Die Material).
V laboratoři zhotovené korunky jsou připraveny ke zkoušce již s doplněnými charakteristikami. Nyní můžeme ještě jednou zkontrolovat estetiku, fonetiku a funkci a fotograficky zdokumentovat situaci. Po případných nezbytných úpravách probíhá glazovací pálení. Tloušťka stěny rekonstrukcí (360° fazety/částečné korunky) se pohybuje mezi 0,3 a 0,5 mm (obr. 11).
Adhezivní fixace
Pro adhezivní fixaci, pokud je to možné, nasadíme k zajištění suchého pole kofferdam. Jako alternativa může být před fixací do sulku zavedeno retrakční vlákno velikosti 00, aby byla dobře zpřístupněna hranice preparace (obr. 12). Sousední zuby odizolujeme teflonovou páskou. Zpravidla nasazujeme korunky vždy po dvou. Po leptání 37% kyselinou fosforečnou se na zubních pahýlech jasně ukázalo, že téměř celá preparace je vedena ve sklovině. Pouze na některých místech je patrný dentin, obnažený parafunkční aktivitou pacientky.
Horní a dolní frontální zuby včetně postranních zubů v dolní čelisti jsou nyní definitivně ošetřeny. Dočasné rekonstrukce v horním postranním úseku umožňují ještě případné drobné úpravy v oblasti okluzních plošek.

Počáteční situace: ztráta délky zubů a palatinální skloviny

Počáteční situace: ztráta délky zubů a palatinální skloviny

Počáteční situace: ztráta délky zubů a palatinální skloviny

Diagnostický wax-up

Diagnostický wax-up

Diagnostický wax-up

Mock-up z provizorního kompozitu

Model napreparovaných postranních zubů

Horní a dolní fronta: prodloužení zubů kompozitem; horní postranní zuby s hotovými rekonstrukcemi

Horní a dolní fronta: prodloužení zubů kompozitem; dolní postranní zuby – definitivní částečné korunky (dobarvené)

Jednotlivé kroky při minimálně invazivní preparaci horních frontálních zubů

Hotová preparace frontálních zubů v horní a dolní čelisti

Kontrola preparace pomocí hydrokoloidu

Kontrola preparace pomocí hydrokoloidu

Wax-up estetickým voskem ke kontrole fonetiky, funkce a estetiky

Wax-up estetickým voskem ke kontrole fonetiky, funkce a estetiky

Zkouška rekonstrukcí po nanesení charakteristik

Zkouška rekonstrukcí po nanesení charakteristik

Adhezivní fixace rekonstrukcí na zuby v horní frontě

Adhezivní fixace rekonstrukcí na zuby v horní frontě

Přezkoušení statické a dynamické okluze pomocí ReFu vosku

Keramické práce před nasazením

Adhezivně fixované keramické částečné korunky

Kontrola dynamické okluze pomocí vosku Occlusal Indicator Wax

Kontrola dynamické okluze pomocí vosku Occlusal Indicator Wax

Počáteční stav

Po ošetření

Fólie pro kontrolu bruxismu - Počáteční stav

Fólie pro kontrolu bruxismu – Po ošetření
3. fáze ošetření: definitivní ošetření horních postranních zubů
Byly odstraněny dočasné rekonstrukce z horních postranních zubů a otisknuty obě čelisti. Vztah dolní čelisti k horní zaznamenáme při kontaktu frontálních zubů do termoplastických proužků (GC Bite Compound, GC) v centrální pozici kondylů. Pozici horní čelisti přeneseme a dolní čelist zastavíme do artikulátoru k horní čelisti pomocí obou skusových registrátů.
Použití ReFu vosku
V horní čelisti byly zhotoveny modely dostaveb z ReFu vosku (Reference-Funktions-Wachs, Keydent). Tento vosk je zpočátku velmi tvrdý, takže po nasazení modelů dostaveb můžeme pomocí Shimstock fólie zkontrolovat body kontaktu. Díky teplotě v ústech se vosk stane plastickým. Pacientka analogicky k parafunkcím provádí silou různé pohyby (obr. 13). Pokud nějaký hrbolek překáží, je to zvýrazněno na žvýkací plošce a lze jej dle toho upravit. Poté jsou voskové modelace zatmeleny a z monolitického lithiumdisilikátu (IPS e.max Press) jsou presovací technikou vyrobeny částečné korunky, na které doplníme charakteristiky a nakonec i glazuru (obr. 14). Po adhezivní fixaci nejsou obvykle zapotřebí žádné další úpravy. Tloušťka vrstvy částečných korunek na postranních zubech činí v průměru cca 0,5 mm.
Adhezivní fixace
Částečné korunky určené na postranní zuby byly vždy po dvou adhezivně fixovány na napreparované horní zuby, a to při nasazeném kofferdamu a izolaci sousedních zubů teflonovou páskou (obr. 15). Pomocí speciálního vosku Occlusal Indicator Wax (Kerr) kontrolujeme po fixaci náhrad v ústech pacienta dynamickou okluzi (obr. 16). Kromě námi defi novaných vedení skusu by neměla být patrna žádná další protlačená místa (obr. 17a, b).
Chránič pro kontrolu bruxismu
Na závěr obdržela pacientka fóliový chránič pro kontrolu bruxismu s poučením, aby jej nosila dvě noci (obr. 17c, d). Tak lze u rekonstrukcí zkontrolovat ve spánku a při parafunkcích bruxismu případné artikulační překážky. Obvykle není nutno dodatečné zabrušování.
Shrnutí
Minimálně invazivní adhezivně fixované rekonstrukce s tloušťkou od 0,3 do 0,6 mm se v naší ordinaci osvědčily jako spolehlivá metoda ošetření. Podle popsaného postupu pracujeme již od roku 1993. Zvláště u mladých pacientů s velkou ztrátou skloviny pro nás neexistuje žádná srovnatelná odolná a minimálně invazivní alternativa ošetření.
Publikováno: StomaTeam 5/2019
Buďte v obraze
Chcete mít pravidelný přehled o nových článcích na tomto webu, akcích a dalších novinkách? Přihlaste se k odběru newsletteru.
Odesláním souhlasíte s našimi zásadami zpracování osobních údajů.
Články
6. 5. 2025 | Protetika
Digitální pracovní postup umožňuje využití polychromatických disků s optickými vlastnostmi podobnými přirozenému zubu. Ty minimalizují nebo dokonce eliminují potřebu individualizace či charakterizace, pokud je materiál vybrán na základě specifických potřeb pacienta. Klíčovým faktorem je vysoká věrnost barev odpovídající přirozenému zubu, plynulý přechod odstínu od krčku k incizi a přirozená hra světla s efekty napodobujícími skutečný zub.
Články
12. 8. 2025 | Protetika
Představujeme případ částečné náhrady chrupu ošetřeného pomocí jednoduchého plně digitálního protokolu, který zahrnoval zhotovení implantáty nesených korunkových náhrad (spojených korunek) z hybridního kompozitního materiálu se 42% obsahem keramiky (certifikovaného pro definitivní náhrady) za využití moderní technologie 3D tisku TSLA (tilted stereolithography) na tiskárně DFAB.
Články
4. 9. 2025 | Protetika
Dnešní vysoké estetické nároky lze uspokojit pomocí přímých kompozitních rekonstrukcí.











