Jak získat předvídatelný estetický výsledek s nekovovými materiály
Estetická protetická náhrada horních řezáků je náročným úkolem a je zvláště obtížné rekonstruovat dva horní řezáky dvěma různými typy náhrad při zcela odlišné výchozí situaci. I v takovém případě se spolehneme na moderní nekovové materiály, které ve spojení s pokrokovými technologiemi umožňují dosáhnout klinického úspěchu ošetření. Je důležité zdůraznit, že translucence podkladové konstrukce, tedy vlastnost, která činí nekovové materiály z estetického hlediska lépe integrovatelnými, představuje zároveň omezení a nejvíce kontroverzní aspekt.

Případ uvedený v tomto článku se týká 39leté ženy jménem Barbara (obr. 1), která se dostavila do naší ordinace s přáním úpravy vzhledu úsměvu, podle jejího názoru narušeného gingivální diskolorací korunky 11 (obr. 2).
Podle protokolu jsme po pečlivém vyhodnocení klinického snímku přistoupili k neformální diskuzi s pacientkou a vysvětlení, jak můžeme splnit její estetická očekávání při současném respektování mechanických a funkčních parametrů výsledného ošetření, kterým se musíme přizpůsobit. Během této fáze jsme pořídili několik fotografií pacientky. U složitějších případů pořizujeme i krátké videozáznamy, které mohou ve srovnání se statickými fotografiemi poskytnout cennější a úplnější informace (obr. 3).
Klinické vyšetření spojené s fotografickými snímky umožňuje Francescovi lépe vysvětlit pacientovi, jaké další faktory kromě zabarvení mohou úsměv esteticky narušovat. Gingivální diskolorace vyskytující se u korunky 11 je ve skutečnosti způsobena několika faktory: za prvé a především je to přítomnost metalokeramické náhrady, tzv. „umbrella effect" způsobený kovovou strukturou, bránící rozptylu světla v okrajovém parodontu. Za druhé je to nedokonalý průběh okraje náhrady a protetické preparace, který vyvolává chronický zánět okrajového parodontu a dále endodontické ošetření, jehož důsledkem byla diskolorace pahýlu, která se odráží na zabarvení okrajové gingivy. Kromě toho náhrada na zubu 11 z metalokeramiky z hlediska barvy a tvaru dokonale neodpovídala kontralaterálnímu zubu 21 vykazujícímu následky úrazu, který pacientka utrpěla v podobě odlomeného incizálního okraje a řady lomných linií ve sklovině. Pacientce také bylo vysvětleno, že estetické vyřešení této situace bude určitou výzvou, chceme-li k zubním tkáním zaujmout konzervativní přístup. Ve skutečnosti, abychom mohli rekonstruovat správnou harmonii vzhledu Barbařiných středních řezáků, bude nutné provést remodelaci gingiválního okraje zubu 11, abychom jej vizuálně dostali zpět na úroveň zubu 21, a to prostřednictvím gingivektomie a následné protetické korunky na zub 11 a fazety na zub 21. Obě náhrady budou vyrobeny z celokeramiky.
Tento plán ošetření pomůže lékaři při preparacích zubů a zubnímu technikovi při realizaci náhrad, přičemž budou pro každý zub dva různé protokoly, ovšem se záměrem dosáhnout stejných funkčních, mechanických, biologických a estetických výsledků.
Dokonalá harmonie mezi zubním lékařem a technikem je základní a zásadní ingrediencí pro dosažení úspěchu. Je také důležité do procesu vytváření náhrady vždy zahrnout hledisko pacienta, a to za využití voskové modelace, fotografií a klinických zkušebních maket.
Vyhodnocení situace – plánování náhrady
U náhrad z translucentních materiálů používáme jednoduchý, ale efektivní postup vyhodnocování na základě pěti parametrů, které podle našich zkušeností považujeme za nezbytné pro dosažení nejlepší možné estetické a funkční integrace náhrady:
- Stanovení výsledné barvy
- Stanovení objemu preparace
- Vyhodnocení barvy pahýlů po preparaci
- Stanovení objemu náhrady
- Vyhodnocení barvy a tloušťky gingivy
Stanovení výsledné barvy
V Barbařině případě bylo nutné napodobit jemné nuance odstínů zubu s růžovožlutým dentinem podobným sytostí odstínu Vita A2, ale s odstíny hnědé typickými pro odstín Vita D2 s velmi translucentní glazurou.
Stanovení objemu preparace
S ohledem na body 1 a 2 se Michele a Francesco shodli na nutnosti dosáhnout větší redukce objemu preparace pro rekonstrukci zubu 11 a oproti tomu dbát na minimálně invazivní preparaci pro rekonstrukci zubu 21 dostatečnou pro připevnění fazety na sklovinu.
Vyhodnocení barvy pahýlů po preparaci
Pilíř pro korunku 11 vykazoval intenzivní žlutohnědou diskoloraci, zatímco pilíř 21 zabarvený nebyl.
Stanovení objemu náhrad
Chceme-li mít pro realizaci náhrady pro zub 11 k dispozici prostor větší než standardní 1 až 1,5 mm a použít bloček v dentinové barvě střední opacity (MO1), musí být tloušťka základního pláště korunky větší než 0,9 mm, čímž se vyhneme nepříznivému vlivu translucence výsledné náhrady.
Alternativu představuje bloček MO0, jehož optické světelné vlastnosti umožňují větší zakrytí, ale jeho mléčně bílá barva by vyžadovala další technický krok pro získání správného přechodu sytosti (obr. 4). Naopak pro zub bez diskolorace, u něhož plán počítá s neinvazivní preparací, volíme pro základní konstrukci z lithium disilikátu velmi translucentní (HT nebo LT) bloček.
Vyhodnocení barvy a tloušťky gingivy
Barbara disponuje gingiválními tkáněmi obvykle definovanými jako biotyp, jehož barva a vzhled spadá do normálu. To usnadní remodelaci gingiválního okraje u zubu 11 umožňujícího dobrou integraci náhrady.
Pracovní postup
Jakmile byl protetický plán schválen, posunuli jsme se k pracovní fázi, kterou na začátku představovalo zhotovení dvou alginátových otisků. Následovala výroba dvou studijních modelů v laboratoři, na nichž Michele posléze provedl v souladu s funkčními parametry modelaci dvou horních řezáků v nové pozici a tvaru dle našeho počátečního vyhodnocení situace. Na základě výše získaných informací byly zhotoveny dva silikonové klíče, které umožnily Francescovi zhotovit provizorní náhrady simulující výslednou podobu našich náhrad.
Klinická část
První klinický krok představovala chirurgická remodelace gingiválního okraje v oblasti zubu 11 prostřednictvím vnitřní gingivektomie (obr. 5). Po chirurgickém zákroku následovalo 6 týdnů hojení tkání pro dosažení úplné stabilizace gingiválního okraje.
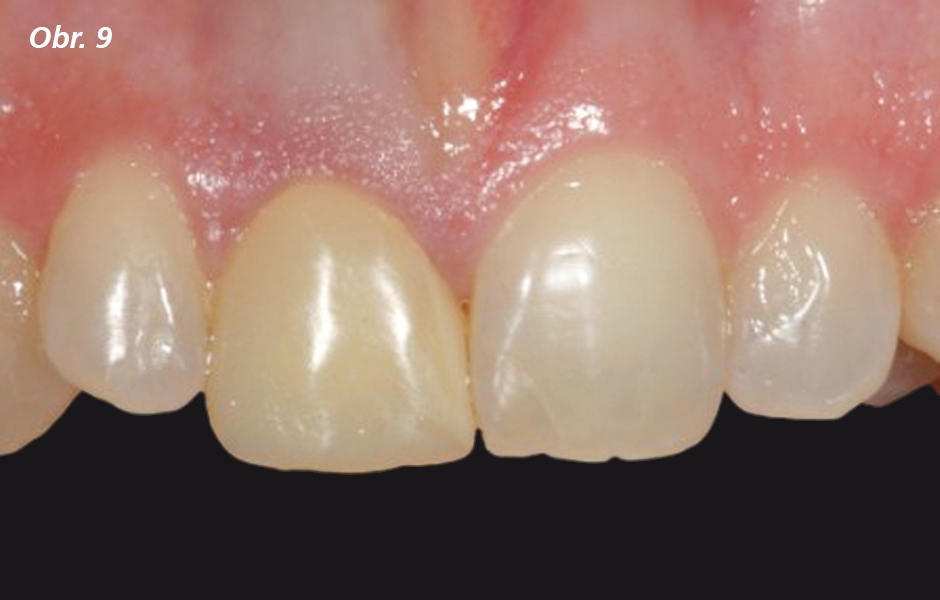
Souběžně s gingivektomií byla odstraněna metalokeramická korunka (obr. 6) a horní řezák byl na pravé straně rekonstruován pomocí čepu vyztuženého skleněným vláknem (obr. 7) bez provedení opakovaného endodontického ošetření, následně preparován (obr. 8) a nakonec opatřen provizorní terapeutickou náhradou (obr. 9), která zajistila hojení gingiválních tkání v odpovídající pozici. Po 6 týdnech Francesco provedl preparaci pro definitivní protetickou náhradu.

Počáteční stav

Počáteční stav

Fotografie poskytují cenné informace laboratoři

Bločky pro vyřešení tohoto klinického případu

Vnitřně zkosená gingivektomie

Odstranění metalokeramické korunky

Rekonstrukce pomocí čepu vyztuženého skleněným vláknem

Preparace

Terapeutická provizorní náhrada
Publikováno: StomaTeam 6/2016
Buďte v obraze
Chcete mít pravidelný přehled o nových článcích na tomto webu, akcích a dalších novinkách? Přihlaste se k odběru newsletteru.
Odesláním souhlasíte s našimi zásadami zpracování osobních údajů.
St 2. 9. 2026 | 12.00 – 12:15 hod.
Články
4. 9. 2025 | Protetika
Dnešní vysoké estetické nároky lze uspokojit pomocí přímých kompozitních rekonstrukcí.
Články
10. 4. 2025 | Ortodoncie
Čím dříve u dětí diagnostikujeme a léčíme problémy s dýchacími cestami, tím větší bude mít léčba přínos pro jejich celoživotní fyzické a mentální zdraví. Jakákoli obstrukce dýchacích cest vede k dýchacím obtížím, včetně dýchání ústy, chrápání, spánkové apnoe, hypopnoe a syndromu zvýšeného odporu horních cest dýchacích (UARS).
Články
15. 5. 2025 | Protetika
Aidite 3D Pro Zikón: Revolučný materiál v oblasti zubnej protetiky, známy svojou výnimočnou pevnosťou, estetickým vzhľadom a všestrannosťou. ento pokročilý zirkónový materiál vyniká vďaka svojmu unikátnemu viacvrstvovému dizajnu, ktorý napodobňuje prirodzený gradient ľudských zubov.













