Frikční prvky v kombinované náhradě vyrobené pomocí CAD/CAM: 100% CAD/CAM estetika
Níže uvedené sdělení zachycuje zhotovení hybridní celkové náhrady pro horní čelist kotvené čtyřmi implantáty za pomoci CAD/CAM technologie. Náhrada obsahuje následující prvky: 4 teleskopické korunky (ICE Zirkon Transluzent) zhotovené na titanových abutmentech a kotvené k implantátům šroubkem (obr. 1), 4 matrice (Tecno Med) (obr. 2), 1 základní konstrukci (Tecno Med Mineral) (obr. 3) a 12 korunek (Prettau® Anterior® Multistratum®). Digitální modelace komponent byla provedena v softwaru Zirkonzahn.Modellier.

Ze všeho nejdříve se na základě digitálních titanových bází naplánují teleskopické korunky, které se následně vyfrézují, sintrují, zdokonalí pomocí paralelometru a vyleští (obr. 4). Jako základ pro design matric jsou dokončené teleskopické korunky digitalizovány (Scanner S600 ARTI), na základě skenu jsou naplánovány a vyfrézovány matrice.
Nová funkce softwaru, kterou Zirkonzahn nazval „Thimble“, umožňuje plánování základních konstrukcí, zirkonových struktur a frikčních prvků vyrobených pomocí CAD/CAM technologie v rámci jednoho digitálního pracovního kroku. Navržené struktury jsou vyfrézovány na frézovacím přístroji M4 Wet Heavy Metal, a to v jednom procesu frézování.
Dokončování jednotlivých korunek (obr. 5, 6) spočívá pouze v následujících krocích: sintrování, individualizace barvivy ICE Zirkon 3D Stains by Enrico Steger, nanesení nové fluorescentní glazury Zirkonzahn a vypálení v keramické peci (obr. 7, 8). Výsledkem jsou estetické samostatné korunky s přirozeným jasem (obr. 9).
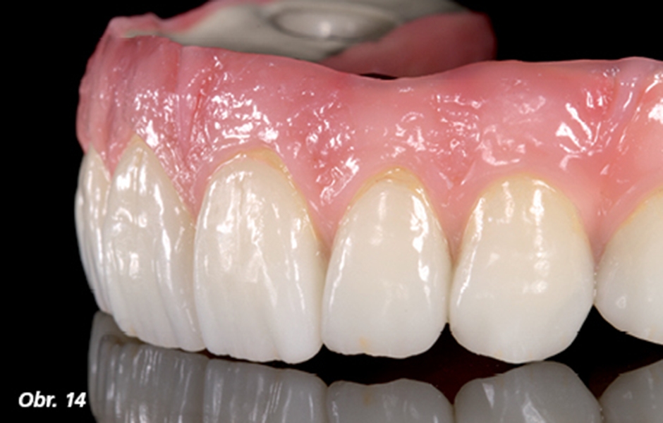
Nakonec byly matrice a jednotlivé korunky spojeny s nosnou konstrukcí cementem (obr. 10–12) a byla navrstvena a vyleštěna gingivální část náhrady (Gingiva-Composites) (obr. 13). Finální protéza byla připravena pro vložení do úst pacienta (obr. 14–17).
PRETTAU® ANTERIOR® MULTISTRATUM®
- Vysoce translucentní probarvený zirkon s přirozeným vícebarevným odstínem pro výrobu jednotlivých korunek, inlejí, onlejí, fazet i tříčlenných můstků (celoplášťových náhrad nebo redukovaných struktur pro vrstvení keramiky)
- Vícebarevný odstín reprodukuje přirozené barvy od dentinu po sklovinu a není již nutné ruční dobarvování náhrady před sintrováním (k dostání v odstínech A1–D4)
- Po sintrování možnost individualizace pomocí ICE Zirkon Stains Prettau® a ICE Zirkon 3D Stains by Enrico Steger
- Vysoká pevnost v ohybu (> 600 MPa)
Pro více kazuistik navštivte www.zirkonzahn.com
Publikováno: StomaTeam 6/2017

Náhrada obsahuje následující prvky: 4 teleskopické korunky (ICE Zirkon Transluzent) zhotovené na titanových abutmentech a kotvené k implantátům šroubkem

Náhrada obsahuje následující prvky: matrice

Náhrada obsahuje následující prvky: 1 základní konstrukce (Tecno Med Mineral)

Teleskopické korunky se následně vyfrézují, sintrují, zdokonalí pomocí paralelometru a vyleští

Dokončování jednotlivých korunek spočívá pouze v následujících krocích: sintrování, individualizace barvivy ICE Zirkon 3D Stains by Enrico Steger

Dokončování jednotlivých korunek spočívá pouze v následujících krocích: sintrování, individualizace barvivy ICE Zirkon 3D Stains by Enrico Steger

Dokončování jednotlivých korunek spočívá v nanesení nové fluorescentní glazury Zirkonzahn a vypálení v keramické peci

Dokončování jednotlivých korunek spočívá v nanesení nové fluorescentní glazury Zirkonzahn a vypálení v keramické peci

Výsledkem jsou estetické samostatné korunky s přirozeným jasem

Nakonec byly matrice a jednotlivé korunky spojeny s nosnou konstrukcí cementem

Nakonec byly matrice a jednotlivé korunky spojeny s nosnou konstrukcí cementem

Nakonec byly matrice a jednotlivé korunky spojeny s nosnou konstrukcí cementem

A byla navrstvena a vyleštěna gingivální část náhrady (Gingiva-Composites)

Finální protéza byla připravena pro vložení do úst pacienta

Finální protéza byla připravena pro vložení do úst pacienta

Finální protéza byla připravena pro vložení do úst pacienta

Finální protéza byla připravena pro vložení do úst pacienta
Buďte v obraze
Chcete mít pravidelný přehled o nových článcích na tomto webu, akcích a dalších novinkách? Přihlaste se k odběru newsletteru.
Odesláním souhlasíte s našimi zásadami zpracování osobních údajů.
Zaujala vás ukázka článku?
Celý článek můžete prostudovat v časopisu StomaTeam
Prohlédněte/stáhněte si celý časopis ve formátu PDF ❯
Články
12. 12. 2024 | Protetika
Minimálně invazivní stomatologie odráží přístup založený na úctě ke zdravým tvrdým a měkkým tkáním v dutině ústní. ento přístup se stal reálnou volbou pro mnoho pacientů díky několika faktorům, jako jsou mimořádně citlivé a přesné procesy výroby protetiky, moderní techniky adheze ke sklovině a dentinu, inovativní biomateriály a rychlý technologický pokrok...
Články
12. 8. 2025 | Protetika
Představujeme případ částečné náhrady chrupu ošetřeného pomocí jednoduchého plně digitálního protokolu, který zahrnoval zhotovení implantáty nesených korunkových náhrad (spojených korunek) z hybridního kompozitního materiálu se 42% obsahem keramiky (certifikovaného pro definitivní náhrady) za využití moderní technologie 3D tisku TSLA (tilted stereolithography) na tiskárně DFAB.
Články
16. 6. 2025 | Protetika
Tímto příspěvkem navazuji na článek 3D tištěné skelety: klinicky přívětivější skeletové náhrady. Přiblížím vám zde, jaké přesnosti po vytištění lze zúročením zkušeností a dobrou spoluprací s CAD designérem u skeletů dosáhnout. Dále také upozorním na trend, který se u nás zatím příliš neuchytil, ale ve světě je zcela běžný – absenci opakeru na retencích skeletu pro pryskyřici.
- Zubní lékař Přijmeme zubního lékaře/lékařku
- Zubní lékař Zubní lékař/ lékařka (pro absolventy i cizince)
- Zubní sestra Hledáme zkušenou zubní sestru / instrumentářku
- Ostatní Hledáme novou posilu na recepci!
- Zubní lékař Hledáme zkušeného zubního lékaře / lékařku








