Celková rehabilitace horní a dolní čelisti pomocí zirkonu Prettau®
Chybějící zuby mohou způsobovat nejistotu v sociálních situacích stejně jako omezení pracovních možností a problémy při základních každodenních aktivitách jako je mluvení a příjem potravy. Případy pacientů se sociálními problémy mohou pro nás (zubní techniky) a zubní lékaře představovat výzvu, protože si jsme vědomi významné role, kterou může hrát stomatologická péče ve zlepšení sociální situace dotyčného pacienta. Pocit velké vzájemné důvěry usnadňuje interakci mezi pacientem, jeho zubním lékařem a zubním technikem. Zde popisovaný případ ukazuje, jak může CAD/CAM technologie a digitální pracovní postup pomoci zubním lékařům a zubním technikům poskytovat pacientům vysoce přesné a esteticky uspokojivé výsledky.

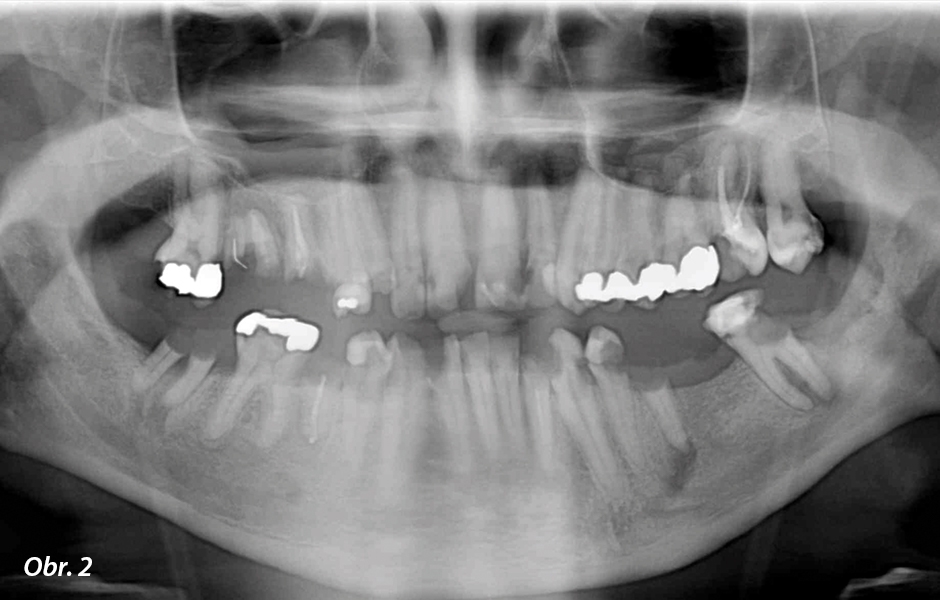
Počáteční situace
43letý pacient se dostavil ke svému zubnímu lékaři Bjørnu Bortenovi v Melhus Tannhelse, Melhus (Norsko), se závažnými kariézními lézemi ve všech zubech a několika zcela uhnilými zuby (obr. 1a, b, 2). Podle zubního lékaře: „Pacient nebyl v zubní ordinaci více než 15 let. Pacienta, který měl strach ze zubních lékařů a stomatologického ošetření byl problém ošetřit. Trpěl sociální úzkostí, protože neměl zuby. Pracoval na noční směny a přes den zůstával doma. Zjistil jsem, že trpí strachem ze stomatologického ošetření již řadu let, ale nepodařilo se mi od jeho zubního lékaře získat jakoukoli dokumentaci týkající se tohoto strachu, protože sotva kdy nějakého navštěvoval.“ Důvodem, proč se odhodlal překonat strach a vyhledat konzultaci byla nesnesitelná bolest zubů. Jeho prvním přáním bylo vytrhat všechny zuby a zavést implantáty: bolest byla tak silná, že si nemohl čistit zuby a přes zimu jedl kvůli úlevě od bolesti sníh.
„Zahájil jsem ošetření, protože situace silně postihovala sociální život pacienta. Zuby pacienta již nebylo možné zachránit a on je také rozhodně zachránit nechtěl. Nechtěl snímatelné zubní náhrady, protože nebyl schopen používat něco snímatelného. Nicméně přál si raději rychle umístit fixtury.“
Pacient požadoval fixní, bezbolestné, dlouhodobé a jisté řešení, které by mu umožnilo normálně provádět běžné aktivity jako je příjem potravy a čištění. Zubní lékař zase pro pacienta chtěl náhradu, která by se snadno udržovala a kvůli níž by pacient nemusel absolvovat příliš časté kontroly v ordinaci. K ošetření tohoto případu by bylo možné použít několik variant řešení: jako celkové hybridní náhrady, můstky kotvené šroubky nebo kombinace hybridní náhrady a můstku. Pro tento případ však byla nejlepším řešením celková rehabilitace horní a dolní čelisti pomocí zirkonu Prettau® pomocí implantátů, protože fixní rehabilitace byla jediným druhem náhrady, kterou pacient akceptoval. Jako materiál byl zvolen zirkon Prettau® od firmy Zirkonzahn z důvodu jeho dlouhodobé životnosti a schopnosti odolávat ukládání plaku, která by umožnila pacientovi udržovat orální hygienu bez nutnosti odborného čištění v zubní ordinaci.
Buďte v obraze
Chcete mít pravidelný přehled o nových článcích na tomto webu, akcích a dalších novinkách? Přihlaste se k odběru newsletteru.
Odesláním souhlasíte s našimi zásadami zpracování osobních údajů.
Realizace rehabilitace horní a dolní čelisti pomocí zirkonu Prettau®
V první fázi ošetření zavedl zubní lékař implantáty do oblastí zubů 12-22-14-16-24-26 a 32-42-35-45. Na konci chirurgické fáze bylo v ústech pacienta zavedeno celkem 10 implantátů: 6 v horní čelisti a 4 v dolní čelisti (obr. 3, 4). Poté byl pořízen otisk situace a odeslán nám do laboratoře (zubní laboratoř Art in Dent ve spolupráci s firmou Zirkonzahn).
Naším prvním krokem bylo získat digitální data k situaci pacienta. Hlavní model s analogy implantátů byl namontován do artikulátoru a oskenován pomocí skeneru Zirkonzahn S600 ARTI. Abychom byli schopni určit pozice implantátů na modelu a vybrat vhodné abutmenty, použili jsme titanová skenovací tělíska Scanmarkers (obr. 6).
Předplaťte si StomaTeam ONLINE a získejte neomezený přístup ke kompletnímu obsahu StomaTeamu.
objednat předplatnéPá 23. 1. 2026 – So 24. 1. 2026 | 09:00 – 17:00 hod., 2 dny
Články
23. 9. 2025 | Protetika
Multidisciplinární případ ukazující univerzálnost materiálu IPS e.max Ceram pro dosažení přirozeného a vysoce estetického výsledku.
Články
6. 5. 2025 | Protetika
Digitální pracovní postup umožňuje využití polychromatických disků s optickými vlastnostmi podobnými přirozenému zubu. Ty minimalizují nebo dokonce eliminují potřebu individualizace či charakterizace, pokud je materiál vybrán na základě specifických potřeb pacienta. Klíčovým faktorem je vysoká věrnost barev odpovídající přirozenému zubu, plynulý přechod odstínu od krčku k incizi a přirozená hra světla s efekty napodobujícími skutečný zub.
Články
12. 8. 2025 | Protetika
Představujeme případ částečné náhrady chrupu ošetřeného pomocí jednoduchého plně digitálního protokolu, který zahrnoval zhotovení implantáty nesených korunkových náhrad (spojených korunek) z hybridního kompozitního materiálu se 42% obsahem keramiky (certifikovaného pro definitivní náhrady) za využití moderní technologie 3D tisku TSLA (tilted stereolithography) na tiskárně DFAB.
- Dentální hygienistka Hygienistka pro intenzivní spolupráci - Chrudim
- Zubní lékař Nabídka pronájmu v Praze
- Zubní sestra Asistentka zubního lékaře Vinohrady
- Zubní technik Nabídka práce - zubní technik
- Zubní lékař Zubní lékař- Ortenovo náměstí










