Celkové snímatelné náhrady v současné praxi
4. část – Individuální přístup k pacientovi?
Odkaz na 1. část
Odkaz na 2. část
Odkaz na 3. část
Odkaz na 5. část
V našem seriálu o celkových snímatelných náhradách se zabýváme možnými cestami k ekonomické prosperitě v našich poměrech nejméně lukrativní oblasti zubních náhrad. Aktivních seniorů, kteří nejsou ochotni přijmout „standardní unisex“ protézu na pojišťovnu a chtějí něco lepšího, přibývá a pacienti v produktivním věku, kteří přišli o chrup, stále nejsou vzácností. Abychom však podchytili pacienta ochotného za snímatelnou náhradu zaplatit, měli bychom mu být mj. schopni nabídnout potřebnou míru osobního „individuálního přístupu“.

Každá zubní náhrada samozřejmě vyžaduje individuální přístup, ovšem míra osobního individuálního přístupu k pacientovi je značně variabilní. Nastavit optimální a oboustranně prospěšnou míru individuálního přístupu k pacientovi s ohledem na náš vynaložený čas, a tedy s ohledem na vynaložené náklady, je velmi obtížné, protože tento aspekt neklade nároky jen na naše profesní dovednosti, ale také na dovednosti sociální v rámci komunikace s pacientem. Pokud tedy chceme uspět ve službách, které lze z pohledu současné praxe považovat za placený „nadstandard“, musíme tuto stránku věci vzít na vědomí a rozvíjet své sociálně-komunikační dovednosti – zvláště když v tomto ohledu nemáme přirozený talent. To nám mimochodem neprospěje jen při kontaktu s pacienty, ale i v rámci spolupráce se zubními lékaři! Komunikace s pacientem samozřejmě z podstaty věci je a vždy bude v základní náplni práce především zubních lékařů, ale pacient konzultující v případě potřeby přímo se zubním technikem se v rámci moderní stomatologie stává standardem. Je tedy jen na nás, zubních technicích, abychom tohoto trendu využili a postupně získali platící klientelu, která ocení a dále doporučí naše služby.
V minulém díle našeho seriálu jsme se zabývali zhotovením snímatelné náhrady v rámci individuálního přístupu k pacientovi s využitím fotografií u bezzubého pacienta, respektive s využitím fotografií z dob, kdy pacient měl ještě víceméně kompletní chrup. Zmínili jsme se mj. o tom, že fotografie z minulosti pacienta nám poskytne nejen vodítko při rekonstrukci jeho chrupu, ale také určité „krytí“ před vrtochy pacienta, a že vnímat pacientovo prohlášení ve smyslu: „udělejte mi to, jak myslíte – nechám to na vás“, jako nápomoc a ulehčení práce, je zásadní chybou, která se velmi často vymstí. Když už se pacient dostaví do laboratoře, tak informace a požadavek ve smyslu: „Chci lepší protézu, podívejte se na mě a udělejte ji“, je prostě málo.
Zvláště muži mnohdy neřeší, ba přímo odmítají detailně řešit, jak budou s náhradou vypadat – ovšem jen do chvíle, než si novou náhradu nasadí. Poté často nastává moment, kdy je pacient nespokojen a najednou řeší vzhled náhrady velmi intenzivně. Učitelky výtvarné výchovy se vám snaží náhradu nakreslit, inženýři na to zase jdou „vědecko-technicky“ detailním rozborem, kde by se měla ubrat či přidat desetina milimetru. A to určitě nechcete. Zmiňujeme se o tom proto, že se nesmíme nechat uchlácholit důvěrou pacienta v naší zázračnou schopnost vidět mu do hlavy a vždy si pokud možno zajistit alespoň nějaké vodítko, se kterým se pacient předběžně ztotožní. Mnohdy to vyžaduje nemalou dávku kreativity, která se však vyplatí. Jak si například poradit, když není k dispozici fotografie pacienta v mladším věku, kde je vidět jeho úsměv? Pro inspiraci uvádíme kreativní přístup Petra Moje v případu pana Viktora:
Případ z praxe – pan Viktor, ročník 1986
Spolupracující lékařka: MUDr. Mariam Szyja
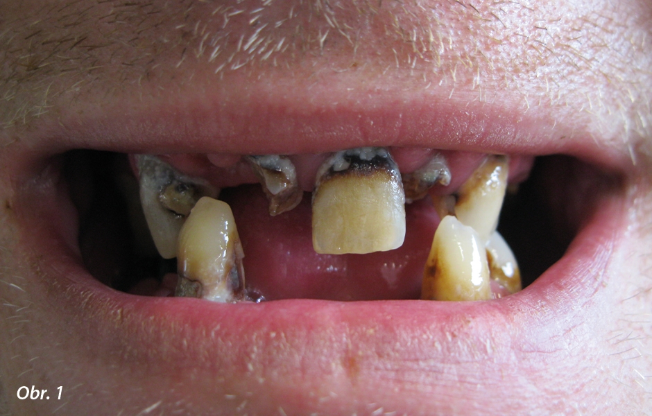
Náš pacient od útlého mládí trpěl vysokou kazivostí zubů. Do ordinace ošetřující lékařky byl přijat ve stadiu, kdy již nebylo v ústech téměř co ošetřovat. S výjimkou tří zubů bylo nutné, v necelých třiceti letech pacienta, všechny zbylé zuby extrahovat – zbytkový chrup převážně tvořily již jen zkažené kořeny. Zvláště s přihlédnutím k mládí pana Viktora jsme se mu snažili vyjít vstříc a jeho první snímatelné náhrady zhotovit tak, aby v ústech působily co možná nejpřirozeněji. Zubní lékařka sejmula otisky situace, se kterými pacient navštívil zubní laboratoř.
Stanovení vzhledu úsměvu – sklonu a postavení zubů
Toto je nejdůležitější fáze v celém pracovním postupu před extrakcí zubů: Ve spolupráci s pacientem se snažím zjistit, jak jeho úsměv kdysi vypadal. Vzhledem k tomu, že náš pacient nenašel jedinou fotografii, na které by bylo vidět jeho původní postavení zubů, to bylo těžší. Musel jsem tedy vycházet z toho, co v ústech vidím. Velký levý horní řezák stojí mírně vpravo a překrývá meziálně incizní hranou řezákový bod o cca 2 mm. Z ostatních řezáků zbyly v ústech jen kořeny. Horní špičáky jsou charakteristicky sklopené do dutiny ústní (obr. 1). Dle úzkého prostoru mezi špičáky bylo možné vyvodit, že chybějící řezáky nikdy nemohly stát v „ideální“ zubní řadě. Musely být nějak vyrotované, aby se mezi tři zbylé zuby vešly. Jejich pravděpodobnou pozici lehce napovídají zbylé dolní špičáky. Pan Viktor má velice hluboký skus, pro který je typický nákus dolních zubů incizí až na krčky zubů v horní čelisti. Všechny tyto drobné detaily vytvářejí obraz budoucího přirozeného postavení zubů pacienta.
V laboratoři mám pro tyto případy řadu pomůcek. Sbírám sádrové modely pacientů a fotografie s různými typy postavení frontálních zubů. S panem Viktorem jsem vše probíral a upozorňoval na případy s postavením zubů, které by odpovídaly jeho situaci v ústech. Nakonec jsme se shodli na dvou fotografiích a jednom sádrovém modelu, které z pohledu pana Viktora nesly typické znaky jeho dřívějšího chrupu (obr. 2, 3, 13).

Stav v ústech pacienta před extrakcí

Postavení zubů podobné původnímu chrupu pacienta

Postavení zubů podobné původnímu chrupu pacienta

Teplem tvarovatelná fólie Erkoplast PLA-R

Základ pro model horní náhrady a následný biofunkční otisk

Modely náhrad

Základ báze z tepelně tvarovatelné fólie, na kterém je zkouška postavení zubů ve vosku, poslouží i jako otiskovací lžíce

Základ báze z tepelně tvarovatelné fólie, na kterém je zkouška postavení zubů ve vosku, poslouží i jako otiskovací lžíce

Základ báze z tepelně tvarovatelné fólie, na kterém je zkouška postavení zubů ve vosku, poslouží i jako otiskovací lžíce

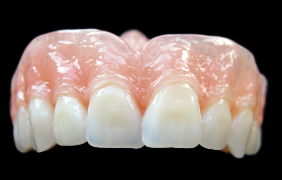
Horní celková náhrada z polyamidu Deflex M10

Dolní částečná náhrada s litou výztuží z Deflex Classic

Srovnání: stav před extrakcí – zvolená předloha postavení zubů – hotové náhrady v ústech

Srovnání: stav před extrakcí – zvolená předloha postavení zubů – hotové náhrady v ústech

Srovnání: stav před extrakcí – zvolená předloha postavení zubů – hotové náhrady v ústech

Pan Viktor se svými prvními individuálně zhotovenými náhradami

Pan Viktor se svými prvními individuálně zhotovenými náhradami
Výběr velikosti konfekčních zubů podle klíče – ne vždy zaručuje dobrý výsledek
Změřil jsem velikost zbylých zubů pacienta a podle klíče (kombinační tabulka velikostí konfekčních zubů) vybral nejvhodnější výchozí tvar konfekčních zubů, a to Super Lux A2V 1/27. Pacienta jsem si vyfotil, včetně detailů jeho zbylých zubů (obr. 1).
Pan Viktor je názorným příkladem faktu, že standardní výběr zubů podle klíče nezaručuje dobrý výsledek. Kdybychom mu vybírali zuby běžně praktikovaným způsobem pouze s přihlédnutím k prostoru po chybějících zubech a obecným pravidlům pro výběr zubů do snímatelných náhrad, dobrali bychom se výsledku, že náš pacient by měl mít mnohem drobnější zuby, než by odpovídalo skutečnosti. Obecné pravidlo pro výběr konfekčních zubů vychází z předpokladu, že budeme zuby stavět do ukázkové anatomické řady. Nepočítá s tím, že by zuby mohly být větší a mohutnější a že by mohly být individuálně vyrotovány tak, aby se vešly i do menšího prostoru. V konečném výsledku se pak v takových případech stává, že nová náhrada sice sama o sobě působí esteticky, ale zjevně nezapadá do obličeje pacienta. Důvod je prostý: vybrali jsme pacientovi menší zuby a nepostavili je způsobem, který je pro něj charakteristický.
Pracovní postup – zkráceně
V ordinaci ošetřující lékařka zaznamenala všechna specifika pacientova skusu na šablonách, které jsem zhotovil na modelech z otisků výchozí situace, a extrahovala zuby určené k extrakci. Pan Viktor nechtěl imediátní náhradu. Za několik týdnů se dostavil do ordinace, kde mu lékařka sejmula nové otisky situace v ústech. U horní celkové náhrady jsme zvolili metodu biofunkčního otisku (viz souhrnný článek Snímatelné náhrady – rekapitulace na www.stomateam.cz). Na sádrový model jsem adaptoval teplem tvarovatelnou fólii Erkoplast PLA-R (obr. 4), jako základ pevné báze pro model náhrady, umožňující otisk ve skusu tedy biofunkční otisk (obr. 5, 7, 8, 9). U dolní částečné náhrady jsem postupoval standardně. S využitím skusových šablon jsem modely zafixoval do artikulátoru a následně připravil zkoušku zubů (obr. 6), přičemž jsem využil zvolenou předlohu postavení zubů (obr. 3, 13). Konfekční zuby z garnitury A2V 1/27 jsem individualizoval broušením tak, aby se co nejvíce podobaly původním zbylým zubům pana Viktora a zubům z předlohy.
Připravené modely náhrad byly zaslány do zubní ordinace. Po vyzkoušení a odsouhlasení pacientem sejmula ošetřující lékařka biofunkční otisk horního protézního lože (obr. 7, 8, 9). Následně jsem v laboratoři práci dokončil podle standardních postupů pro polyamidové náhrady (obr. 10, 11).
Polyamid – indikace
Horní celková náhrada: Vzhledem k výraznému vyrotování jednotlivých zubů v kombinaci s hlubokým skusem jsem v našem případě volil pro základ báze tvrdší polyamid Deflex M10. Záměrně jsem pro náhrady nenavrhl klasickou pryskyřici, ze které by mohl pan Viktor „vykousnout“ zub, nebo by náhrada mohla prasknout. Vyhnul jsem se i měkčím typům polyamidu, protože v Deflex M10 lze také bezproblémově zachytit všechny detaily sliznice (obr. 10).
Dolní částečná náhrada: Je záměrně zhotovena ze středně tvrdého polyamidu Deflex Classic vzhledem k celkovému tvaru náhrady, pro který je tento polyamid ideální. Do náhrady je vsazena litá výztuž, která nejen zvyšuje odolnost náhrady, ale zajišťuje její lepší stabilitu, snímání a nasazování (obr. 11).
Publikováno: StomaTeam 5/2016
Čtěte také:
Zubní protéza – kopírovat či nekopírovat?
Zhotovení celkové snímatelné náhrady s využitím biofunkčního otisku
Buďte v obraze
Chcete mít pravidelný přehled o nových článcích na tomto webu, akcích a dalších novinkách? Přihlaste se k odběru newsletteru.
Odesláním souhlasíte s našimi zásadami zpracování osobních údajů.
Články
6. 5. 2025 | Protetika
Digitální pracovní postup umožňuje využití polychromatických disků s optickými vlastnostmi podobnými přirozenému zubu. Ty minimalizují nebo dokonce eliminují potřebu individualizace či charakterizace, pokud je materiál vybrán na základě specifických potřeb pacienta. Klíčovým faktorem je vysoká věrnost barev odpovídající přirozenému zubu, plynulý přechod odstínu od krčku k incizi a přirozená hra světla s efekty napodobujícími skutečný zub.
Články
16. 6. 2025 | Protetika
Tímto příspěvkem navazuji na článek 3D tištěné skelety: klinicky přívětivější skeletové náhrady. Přiblížím vám zde, jaké přesnosti po vytištění lze zúročením zkušeností a dobrou spoluprací s CAD designérem u skeletů dosáhnout. Dále také upozorním na trend, který se u nás zatím příliš neuchytil, ale ve světě je zcela běžný – absenci opakeru na retencích skeletu pro pryskyřici.
Články
23. 9. 2025 | Protetika
Multidisciplinární případ ukazující univerzálnost materiálu IPS e.max Ceram pro dosažení přirozeného a vysoce estetického výsledku.
- Dentální hygienistka Hledáme dentální hygienistku do Frýdku-Místku
- Zubní lékař Nabídka práce, nadstandardní podmínky
- Dentální hygienistka Dentální hygienistka Litoměřice
- Ostatní Pronájem zubní ordinace
- Zubní sestra Zubní asistent/asistentka Prémiová klinika na Bulovce













