Úspěšná protetická příprava díky průhledným alignerům
Příprava protetické léčby pomocí komfortního ošetření ClearCorrect a intraorálního skeneru
Terapie transparentními dlahami (alignery) si již dlouho zajišťuje pevné místo v ortodoncii, protože stále více lidí všech věkových kategorií preferuje esteticky diskrétní řešení korekce chybného postavení zubů. ClearCorrect alignery však nejsou přínosem pouze pro ortodontické odborníky: Představují cennou možnost přípravy protetických i implantologických ošetření, a v kombinaci s intraorálními skenery usnadňují pracovní postupy v ordinaci i laboratoři. Na příkladu systému ClearCorrect alignerů a intraorálního skeneru 3Shape TRIOS (oba Straumann Group) prezentuje Swantje Matthes z Kolína nad Rýnem (Německo) při rozhovoru se zubní lékařkou a odbornou novinářkou Dr. Anetou Pecanov-Schröder své zkušenosti s přípravou protetického ošetření způsobem šetrným k pacientům.

„Bylo mým cílem provádět estetické korekce předních zubů před protetickým ošetřením,“ vysvětluje zubní technička a zubní lékařka Swantje Matthes a dodává: „Neřeším zkřížené skusy a neplánuji velké posuny zubů. V takovém případě pacienta odkazuji na ortodontického kolegu nebo specialistu.“ Tým lékařů zubní ordinace v Kolíně-Nippes, kde Matthes působí přibližně šest let, pokrývá celé spektrum stomatologie. „Považuji se za všestranného odborníka, který má obsáhlé zkušenosti s protetikou."
Na začátku roku 2019 Matthes rozpoznala v ClearCorrect optimální doplňkovou možnost léčby pro své protetické pacienty. „Protože pacientům přirozeně prospívá, když mohu šetrněji preparovat zubní hmotu, například díky korekci stěsnání zubů a nepříznivého tvaru zubního oblouku, čímž je ve výsledku mj. dosaženo také optimální rovnoměrné vrstvy keramického materiálu náhrady a celkově estetičtější výsledek. Navíc je výhodou, že svým pacientům mohu nabídnout i pětiletou záruku pro případ, že by byla nutná následná léčba, aniž by jim vznikaly jakékoliv dalších náklady.“ Možnost léčby ClearCorrect Unlimited pokrývá paušální náklady na alignery i retainery po dobu pěti let.
Alignery ClearCorrect jsou vyrobeny z materiálu odolného proti prasknutí (polyuretan 0,76 mm), který má vysokou retenci a je odolný proti zbarvení. Jelikož je materiál průhledný, jsou alignery diskrétní a téměř neviditelné, což ocení zejména pacienti s vysokými nároky na estetiku úsměvu. Neexistují žádná omezení stravovacích návyků, protože alignery jsou snímatelné. To také umožňuje provádět zubní péči běžným způsobem. Pro pohodlí při nošení hovoří také hladká, rovná linie okrajů, která na rozdíl od jiných alignerů přesahuje okraj dásně. Výsledné vyšší tahové síly obvykle snižují počet attachmentů. Jazyk si rychle zvykne na dlahu, takže mluvení zní pro člověka samotného i pro ostatní jako obvykle. Matthes: „To jsem úspěšně otestovala sama na sobě.“
Délka ošetření závisí na rozsahu korekce i délky nošení aligneru (denně 22 hodin, minimálně ovšem 19 hodin) a liší se individuálně v rozmezí 4 až 24 měsíců. „U mých protetických pacientů plánuji až šest měsíců předběžné léčby.“ Po dohodě s ošetřujícím jsou alignery zpravidla měněny každých 14 dní. Již během ošetření je vidět úspěch a zuby se postupně posouvají do požadované polohy. „Pro snazší kontrolu léčby je prostřednictvím DenToGo k dispozici aplikace pro chytré telefony, která umožňuje dálkovou kontrolu průběhu léčby alignery,“ dodává Matthes. „Systém rozpozná podle fotografií, které pořizují sami pacienti, kdy může proběhnout další krok korekce.“
Případová studie: Digitální otiskování šetrné k pacientům
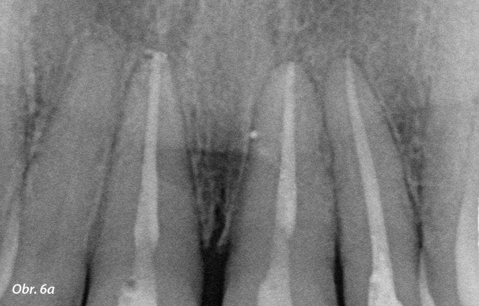
První případ Dr. Matthes byla estetická korekce předních zubů před protetickým ošetřením. Stomatoložka uvádí: „62letá pacientka si přála ošetření horních řezáků 12, 11, 21 a 22 keramickými korunkami. Zuby byly endodonticky ošetřeny alio loco po traumatu předních zubů při nehodě na kole asi před 1,5 rokem a doplněny kompozitem, který se již částečně odštípl.
Klinický nález odhalil kompresi v maxile i mandibule, zub 21 inklinovaný vestibulárně a intruzi dolního frontálního úseku. Počáteční protetická situace nebyla optimální. Pro dosažení co nejlepšího estetického výsledku a vzhledem k tomu, že jde o náročnou pacientku, jsem doporučila ortodontickou předprotetickou léčbu transparentními alignery pro vytvoření dostatečného prostoru pro preparaci a umístění korunky. Pacientka souhlasila s ortodontickou léčbou, která byla odhadnuta na šest měsíců. V srpnu 2019 byly pořízeny RTG snímky a fotografie situace (zepředu, z profilu a horní i dolní čelisti při pohledu z okluze). Navíc byly provedeny situační skeny horní a dolní čelisti pomocí intraorálního skeneru 3Shape TRIOS.“
V zásadě lze k výrobě alignerů použít konvenční způsob snímání otisků zubních oblouků; ClearCorrect však nabízí možnost digitálního pracovního postupu, který je „příjemný jak pro uživatele, tak pro pacienty,“ říká Matthes. „Moderní alternativa konvenčních otisků je pro pacienta mnohem pohodlnější, protože nedochází k dávivému reflexu nebo vnímání chuti otiskovací hmoty a zkracuje dobu ošetření, protože otisky lze pořídit rychle a přesně.“ Pokud jde o náhrady, dodává Matthes, která nyní používá digitální otisky téměř u všech svých protetických pacientů: „Pouze pro snímatelné zubní náhrady používám konvenční metody – digitální postup zlepšuje komunikaci mezi pacienty, zubními lékaři a zubními techniky.“ V tomto bodě zdůrazňuje: „Je zapotřebí laboratoř erudovaná v digitálních postupech. Vzdálenost není překážkou. Naše zubní laboratoř Echt Eppers sídlí ve více než 300 kilometrů vzdáleném Hildesheimu, přesto vše mimořádně dobře funguje.
I když se pro výroby alignerů nejedná o vysoce přesné zachycení detailů, jako je tomu kupříkladu u okrajů preparace: „I u jednoduchých situačních skenů byste si rozhodně měli dávat pozor na čistotu snímací optiky,“ uvádí zkušená uživatelka skeneru 3Shape TRIOS od roku 2017 důležitý tip z praxe. „Zrcátka, která se často sterilizují, ztratí svoji funkci, jsou prostě k ničemu.“
Získaná data jsou poté nahrána jako soubor stl přes portál 3Shape. Odtamtud si může skeny stáhnout nejmodernější výrobní závod ClearCorrect alignerů Markkleeberg poblíž Lipska v Německu. „Poté zadávám doplňující informace o požadovaných léčebných metodách, včetně toho, zda se plánuje přibližná redukce skloviny nebo jsou plánovány takzvané engagery, což jsou attachmenty nebo pomůcky pro speciální pohyby zubů,“ vysvětluje Matthes.
Data jsou následně vyhodnocena a je vytvořena simulace ošetření. „Pacientka mohla sledovat jednotlivé fáze plánované léčby na monitoru a vidět, jaký pohyb zubů je plánován na příštích šest měsíců.“ Tento náhled lze také přeposlat přímo pacientovi formou odkazu. Na základě léčebného plánu jsou pak pro daného pacienta individuálně vyrobeny alignery ClearCorrect. „V tomto případě zahrnoval plán léčby osm alignerů pro horní a pro dolní čelist. Ve 4. týdnu bylo přidáno pět attachmentů, resp. engagerů v horní i dolní čelisti.“
Kontroly průběhu léčby byly prováděny každé čtyři až šest týdnů. Léčba byla dokončena přibližně po šesti měsících. „Poslední pár dlah už nosila pacientka již jako retenční dlahy (retainery) na noc.“ Protože přední zuby dolní čelisti vykazovaly mírný I. stupeň viklavosti, zpočátku jsme vyčkávali. Několik týdnů po ukončení ortodontické předběžné léčby došlo k jejich opětovnému zpevnění, takže preparace horních zubů mohla být provedena.

Klinická výchozí situace. Endodonticky ošetřené zuby 11–22 po úrazu. Proteticky mají být ošetřeny zuby 12–22 (zdroj: zubní lékařka Swantje Matthes).

Software ClearPilot pro 3D plánování ošetření (zdroj: Straumann Group).

3D simulace pro pacienty: Náhled na horní a dolní čelist (zdroj: zubní lékařka Swantje Matthes).

3D simulace pro pacienty: Náhled na horní a dolní čelist (zdroj: zubní lékařka Swantje Matthes).

Cílový stav jako náhled na mobilním telefonu: Plánování každého případu zahrnuje 3D simulaci optimalizovanou pro mobilní telefony a možnost jejího zaslání pacientovi jako odkaz e-mailem (zdroj: Straumann Group).

Příklad aligneru ClearCorrect (zdroj: Straumann Group).

Kontrolní snímky předních zubů horní a dolní čelisti před preparací (zdroj: zubní lékařka Swantje Matthes).

Kontrolní snímky předních zubů horní a dolní čelisti před preparací (zdroj: zubní lékařka Swantje Matthes).

IOS 3Shape TRIOS, Dr. Matthes: „Digitální otisk je pro pacienta mnohem pohodlnější, zkracuje dobu ošetření a zlepšuje komunikaci mezi pacientem, zubním lékařem a zubním technikem.“

Výsledek ošetření pomocí ClearCorrect a protetické léčby zubů 12–22. Stěsnání zubů v dolní čelisti bylo úspěšně vyřešeno, takže bylo možno optimálně ošetřit horní čelist (zdroj: zubní lékařka Swantje Matthes).

Vyrovnaný zubní oblouk horní čelisti po ukončení ošetření pomocí ClearCorrect a protetickém ošetření. V současnosti pacientka používá na noc dlahy (retainery) pro zachování dosaženého stavu (zdroj: zubní lékařka Swantje Matthes).

Vyrovnaný zubní oblouk horní čelisti po ukončení ošetření pomocí ClearCorrect a protetickém ošetření. V současnosti pacientka používá na noc dlahy (retainery) pro zachování dosaženého stavu (zdroj: zubní lékařka Swantje Matthes).
Závěr pro praxi
Léčba ClearCorrect alignery je užitečným doplňkem v praxi praktických zubních lékařů, například k provádění drobných korekcí zubů před protetickým ošetřením způsobem velmi orientovaným na pacienta. „Začátek je snadný, takže tento přístup je vhodný pro všechny kolegy, kteří mají zájem,“ shrnuje Matthes své zkušenosti s ClearCorrect. Začátek mohou usnadnit také online kurzy se zkušenými uživateli alignerů, protože přednášející z praxe předávají jak základní ortodontické znalosti, tak své zkušenosti s ClearCorrect. Možnost digitálního pracovního postupu s digitálními otisky (intraorální sken), přenosem dat a vzdáleným monitorováním je přínosem pro zubního lékaře i pacienta a podporuje moderní koncepci ošetření. „Obecně se tento postup stává základem pro minimálně invazivní protetický výkon, který také umožňuje celkově úspěšný estetický výsledek ošetření,“ shrnuje Matthes.
Školicí kurzy a webináře na vyžádání na www.clearcorrect.cz.
Buďte v obraze
Chcete mít pravidelný přehled o nových článcích na tomto webu, akcích a dalších novinkách? Přihlaste se k odběru newsletteru.
Odesláním souhlasíte s našimi zásadami zpracování osobních údajů.
Články
21. 12. 2024 | Obecná stomatologie
Dobře zdokumentovaná interdisciplinární kazuistika kosmetické stomatologie: řešení diastema, tremat a krátkých korunek u mladé pacientky, které zahrnovalo prodloužení klinických korunek kombinací osteoplastiky a apikálně posunutého laloku, bělení a zhotovení keramických fazet.
Články
1. 4. 2025 | Ortodoncie
Autorka článku uvádí: V mé praxi systém DentalMonitoring zásadně změnil způsob, jakým řídíme a sledujeme ortodontickou léčbu. Díky jeho technologiím založeným na umělé inteligenci (AI) jsem dokázala zlepšit výsledky léčby, zvýšit spokojenost pacientů a minimalizovat počet jejich osobních návštěv v ordinaci.
Články
20. 2. 2024 | Implantologie
Autoři zkoumají využití digitálního pracovního postupu a mezioborového plánování ke zlepšení kvality léčby implantáty. Technologie počítačem podporovaného navrhování a počítačem podporované výroby...








