Klinická účinnost léčby Invisalign® s týdenními výměnami ortodontického fóliového aparátu
Obecné informace a cíl: Účinnost léčby Invisalign® k dosažení velkých pohybů zubů a úspěšného léčení různých složitých případů vadného skusu u dospělých a dospívajících je v publikované literatuře zdokumentována.1–6 Společnost Align Technology nyní doporučuje, aby ortodontisté při léčbě Invisalign® předepisovali týdenní výměny ortodontického fóliového aparátu. Může to zkrátit léčbu až o 50 % ve srovnání s výměnami každé 2 týdny.7 Toto doporučení je založeno na klinické analýze více než 200 případů s léčbou pomocí Invisalign®.8 Cílem níže uvedených klinických případů je popsat použití systému Invisalign® s týdenními výměnami ortodontického fóliového aparátu u dospělého a dospívajícího pacienta a následně v těchto případech ukázat klinickou účinnost a vliv nově doporučené aplikace s výměnami každý týden.

Metodika: V prvním případě poskytují Dr. Werner Schupp a Julia Haubrichová podrobný popis léčebných postupů u dospělého pacienta s kraniomandibulárními poruchami (CMD), vztahem třídy II, divizí 2 a hlubokým skusem, pomocí ortodontických fóliových aparátů Invisalign® a jejich každotýdenní výměny. Ve druhém případě Dr. Castroflorio popisuje podrobnosti léčby dospívajícího pacienta s hlubokým skusem, velkým předkusem a vklíněným prvním premolárem, který měl předepsanou léčbu Invisalign® s týdenním nošením ortodontického fóliového aparátu.
Výsledky: Tyto případy ukazují klinickou účinnost systému Invisalign® s týdenními výměnami ortodontického fóliového aparátu u dospívajícího i dospělého pacienta (věk 54) se složitým případem vady skusu. U obou pacientů bylo dosaženo stanovených léčebných cílů, a to s podobnými výsledky jako u těch, které by se daly očekávat u 2týdenního nošení, a také dobré kontroly pohybu zubů. Zkrácená doba nošení vedla k vysoké motivaci pacientů, což bylo považováno za významný přínos – zejména pro dospívající pacienty. Kombinace ortodontického fóliového aparátu Invisalign® s přídatnými součástmi, jako jsou knoflíky a gumičky, je prokazatelně plně kompatibilní léčebný přístup k provádění velmi složitých pohybů zubů, jako je ortodontická trakce vklíněných premolárů.
Závěry: Všichni zúčastnění lékaři dospěli k závěru, že v uvedených případech poskytly týdenní výměny ortodontického fóliového aparátu stejné výsledky už za polovinu doby, která by se dala u těchto pacientů očekávat, kdyby výměny ortodontického fóliového aparátu probíhaly jednou za dva týdny. Zdůraznili hlavní výhody týdenních výměn ortodontického fóliového aparátu, včetně vysoké přijatelnosti kratší doby léčby pro pacienty a snížení nákladů v ordinaci.
Případ 1:
Třída II a korekce hlubokého skusu se systémem Invisalign® a týdenními výměnami ortodontického fóliového aparátu.
Dr. Schupp, Dr. Haubrichová
Pacientka 54 let
Hlavní problém: Pacientka zažívala velkou bolest v důsledku kraniomandibulární poruchy (CMD). Pacientka přišla na kliniku s bolestí a CMD. V minulosti byla léčena vyjímatelnými rovnátky. Nejprve byla rovnátka odstraněna a po zajištění bezbolestné polohy byly pořízeny počáteční záznamy pro léčbu Invisalign®.
Klinické nálezy (obr. 1, 2)
- Problémy CMD
- Vztah třídy II, divize 2
- Zuby příliš blízko u sebe a rotace v horním a dolním oblouku
- Retrudované zuby: 11 a 21 s již existujícími kontaktními body na horních předních zubech
- Vyčnívající a rotované: 12 a 22
- Hluboký skus s několika kontakty řezáků
Cíle léčby
- Korekce třídy II
- Zlepšit hluboký skus
- Vyřešit zuby příliš blízko u sebe
- Vyřešit 0,5 mm předkus (otevřená fólie Shimstock v oblasti řezáku)
- Ukončit vedení špičáků bez kontaktů hyperbalance
Plán léčby
- Distalizace v horním oblouku pomocí gumičky třídy II
- Torze na horních středních řezácích
- Derotace horních postranních řezáků
- Intruze dolních předních zubů a extruze dolních premolárů s cílem zmenšit hluboký skus
- Interproximální redukce a distalizace k vyřešení zubů příliš blízko u sebe
Informace o léčbě
- Celková doba léčby: 15 měsíců
- Počet ortodontických fóliových aparátů: 49 + 10
- Předepsáno bylo celkem 59 ortodontických fóliových aparátů (49 aparátů v 1. fázi, 10 aparátů ve 2. fázi) s výměnou aparátu každých 7 dní.
- Příchytky: Byly před skenováním připevněny na zubech 13, 23, 33, 34, 35, 43, 44, 45. Na zuby 13 a 23 byly připevněny svislé obdélníkové příchytky a na gingivální oblast těchto zubů byly umístěny háčky pro gumičky třídy II. U pacientů s háčky na špičácích k těmto zubům také připevňujeme příchytky, abychom se vyhnuli nežádoucímu otáčení nebo sklonům způsobených silou gumičky. Ve spodním oblouku měla pacientka vodorovné elipsoidovité/zkosené tvarované příchytky k zajištění kotvení na dolních premolárech a špičácích za účelem intruze a narovnání spodních předních zubů.
- Interproximální redukce: Pro lepší narovnání byla interproximální redukce provedena během první fáze na horních pravých a dolních předních zubech a ve druhé fázi také na horních předních zubech.
- Použití přídatných součástí: Gumičky třídy II od háčků na horních špičácích po knoflíky na dolních stoličkách (36, 46). Pacientka byla poučena, aby používala gumičky v noci a po dobu 2–3 hodin během dne pro kotvení během distalizace v horním oblouku.
- Retence: Po dvou fázích léčby Invisalign® byla retence zajištěna odnímatelnými rovnátky v horním oblouku k nočnímu používání a ve spodním oblouku byl od prvního premoláru k prvnímu premoláru připevněn pevný lingvální přidržovač.
Klinické tipy
Nasazení ortodontického fóliového aparátu bylo dokumentováno a kontrolováno na vyšetřeních každých 7–10 týdnů. V 10. a 19. týdnu byla za účelem sledování pokroku provedena dvě skenování a na konci léčby bylo provedeno závěrečné skenování.
Během léčby ortodontické fóliové aparáty dobře padly na všechny zuby s výjimkou malé odchylky na zubech 12 a 22, jak je vidět na intraorálních snímcích s ortodontickými fóliovými aparáty in situ ve fázi 19 (obr. 3). Zuby 12 a 22 vykazovaly u vyšších čísel ortodontického fóliového aparátu dobré umístění. Nošení po dobu 22 hodin je pro komplexní léčbu ortodontickým fóliovým aparátem rozhodující.
Výsledek léčby
Po léčbě 59 ortodontickými fóliovými aparáty po dobu 15 měsíců bylo dosaženo plánovaného léčebného cíle distalizace horního oblouku. Pacientka vykazovala vztah třídy I s vyrovnanými oblouky v horní a dolní přední části s fyziologickým vedením špičáků a vztahy řezáků (obr. 4). Pacientka neměla bolesti a nevykazovala žádné další známky CMD.
Porovnání tohoto případu s pacienty, kterým byly předepsány výměny ortodontického fóliového aparátu jednou za 2 týdny
Distalizace pomocí systému Invisalign® je pomocí dalšího ukotvení vysoce předvídatelná. Kvůli protokolu postupné distalizace v softwaru ClinCheck® to však může vést k vysokému počtu ortodontických fóliových aparátů, v tomto případě 59. Se změnou ortodontického fóliového aparátu každé 2 týdny by celková doba léčby v tomto případě byla 29 měsíců, s možnou další fází pro jemné úpravy. Výměna ortodontických fóliových aparátů každých 7 dní byla pro tuto pacientku úspěšná bez hlášených problémů. Během celé léčby ortodontický fóliový aparát dobře padl. Kromě toho byla vyžadována minimální druhá fáze pouhých 10 ortodontických fóliových aparátů na jemné úpravy.
Dopad týdenních výměn ortodontických fóliových aparátů na klinickou praxi
Dlouhá léčebná období se složitými pohyby, jako je distalizace horních stoliček, může být časově náročná a může vést ke snížené motivaci pacienta. Zkrácení doby nošení ortodontického fóliového aparátu na 7 dní místo 14 může zkrátit celkovou dobu léčby až o 50 %. Zjistili jsme, že u této pacientky byla vyšší motivace dodržovat léčbu pomocí systému Invisalign®.
Závěr
Pacientka trpěla CMD projevující se vztahem třídy II divize 2 s kontakty na předních zubech a hlubokým skusem. Po léčbě odnímatelnými rovnátky byla zahájena ortodontická léčba ortodontickými fóliovými aparáty Invisalign® s týdenními výměnami k vyřešení stávajících kontaktů předních zubů a distalizaci horního oblouku do plného vztahu třídy I pomocí torze horních retrudovaných středních řezáků a rovnání oblouků.
Všech cílů léčby bylo dosaženo a během celé léčby bylo dokumentováno dobré umístění ortodontického fóliového aparátu. Pacientka neuváděla žádné problémy s rychlejší výměnou ortodontického fóliového aparátu. Nebyly hlášeny žádné temporomandibulární problémy s klouby, bolesti svalů, bolesti hlavy ani bolesti zad.

Panoramatický rentgenový snímek před léčbou

Intraorální a extraorální snímky před léčbou

Intraorální snímky ortodontického fóliového aparátu 19 in situ, na kterém je vidět dobré umístění

Intraorální a extraorální snímky po léčbě

Intraorální a extraorální snímky před léčbou

Panoramatický rentgenový snímek před léčbou

Sledování před léčbou

Knofl íky a gumičky na místě s ortodontickými fóliovými aparáty Invisalign® během léčby

Intraorální a extraorální snímky po léčbě

Panoramatický rentgenový snímek po léčbě

Sledování po ošetření
Případ 2:
Léčba dospívající pacientky s hlubokým skusem, zvýšeným předkusem a vklíněným prvním premolárem pomocí systému Invisalign® s každotýdenní výměnou ortodontického fóliového aparátu.
Dr. Castroflorio
Pacientka 13 let
Hlavní problém: Chybějící pravý dolní první premolár a příliš velké mezery v horním oblouku
Klinické nálezy
Klinické vyšetření odhalilo zubní malokluzi třídy I se zvýšeným předkusem v důsledku náklonu horních řezáků. Hluboký skus souvisí se zvýšenou Speeovou křivkou s extruzí spodních řezáků. Dále docházelo k extruzi pravých horních premolárů. Oba oblouky byly na frontální rovině zúženy a horní stoličky byly mediálně otočeny. Byl zjištěn také dento-dentální nesoulad s mandibulárním přesahem asi 1 mm. Radiografické vyšetření ukázalo skeletální malokluzi třídy I u normodivergentní pacientky a kruhovou, dobře definovanou ohraničenou nekontrastní oblast (folikulární cysta) obklopující korunku mandibulárního pravého prvního premoláru bez vytlačení zubů (obr. 5–7).
Cíle léčby
- Odstranění folikulární cysty a zavedení dolního pravého prvního premoláru do oblouku
- Uzavření horní mezery
- Oprava sklonu horních řezáků
- Oprava Speeovy křivky
- Zvýšení ortopedické stability
Plán léčby
- První fáze léčby Invisalign®
Za účelem rozšíření oblouků na frontální rovině a derotování horních prvních stoliček byla provedena počáteční fáze léčby Invisalign®. Když se horní stoličky dostaly do konečné polohy, byla intruze pravých horních premolárů dokončena. Když se premoláry dostaly do konečné polohy, bylo provedeno hromadné zatažení horních špičáků a řezáků. Dolní řezáky a druhé stoličky byly za účelem vyrovnání Speeovy křivky intrudovány. - Chirurgické odstranění folikulární cysty a trakce implantovaného premoláru
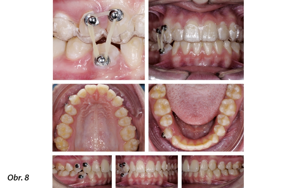
Po intruzi horních premolárů byla chirurgicky odstraněna dolní folikulární cysta a jakmile byl zub izolován, byl ke koronálnímu aspektu připojen zlatý řetízek. Řetízek vystoupil přes řez ve střední oblasti hrany a na spodní ortodontický fóliový aparát byla připevněna elastická trakce. Když byl zub částečně vytažen a řetízek již nebyl potřeba, byl odstraněn a na bukální aspekt dolního prvního premoláru a horního premoláru byl připevněn knoflík. Ortodontické fóliové aparáty byly upraveny tak, aby do nich bylo možno umístit knoflíky, a k dokončení pohybu vytlačení byla použita gumička o velikosti 3/16 inch a hmotnosti 3 oz. (obr. 8). -
Druhá fáze léčby Invisalign®
Druhá a závěrečná fáze léčby začala, když byl spodní první premolár zcela vytlačen. Tato fáze byla provedena za účelem dokončení hromadného zatažení horních řezáků a narovnání dolních špičáků a řezáků.
Informace o léčbě
- Celková doba léčby: 54 týdnů
Ortodontická trakce vklíněného pravého dolního prvního premoláru trvala 6 měsíců. - Počet ortodontických fóliových aparátů: 32 + 18
Pacientka byla poučena, aby ortodontický fóliový aparát nosila alespoň 21 hodin denně. U této pacientky byly první dvě fáze předepsány na delší dobu nošení s pečlivým pozorováním za účelem vyhodnocení sledování zubů a dodržování pravidel na straně pacientky. Od třetího ortodontického fóliového aparátu se ortodontické fóliové aparáty začaly vyměňovat po týdnu. - Příchytky: K horním stoličkám a dolním druhým stoličkám byly připojeny obdélníkové a vodorovné příchytky. K horním špičákům a dolním prvním stoličkám byly připojeny obdélníkové a vodorovné příchytky. Optimalizované příchytky byly umístěny na premoláry a dolní špičáky. Ve 2. fázi byly konvenční a optimalizované příchytky umístěny na stejných zubech jako v 1. fázi a byly použity pro účely dokončení.
- Další prvky: V první fázi léčby byly na horních řezácích použity přesné skusné plochy, aby se usnadnila zadní diskluze pro vyrovnání Speeovy křivky, a tím i expanze oblouků a derotace zadních zubů. Na dolních řezácích byly umístěny tlakové oblasti a prvky Power Ridge, které ovládaly pohyb vklínění a torzi lingvální plošky kořene těchto zubů. K použití gumiček II. třídy (1/4 inch, 4 až 1/2 oz) byly provedeny přesné řezy, aby se usnadnilo hromadné zatažení horních řezáků.
- Retence: Byla zajištěna pomocí rovnátek Vivera®.
Výsledek léčby
Případ byl dokončen ve vztahu špičáků a stoliček třídy I s funkčním předkusem. Vklíněný dolní pravý první premolár byl přetažen do oblouku bez rovnátek nebo drátků. Řetízek byl k ortodontickému fóliovému aparátu upevněn pomocí 1/4 inch, 4,5 oz gumiček. Ortodontické fóliové aparáty byly upraveny čirými kleštěmi na aparáty, aby se vytvořily háčky pro ukotvení gumiček. Pacientka byla poučena, aby vyměňovala gumičky nejméně třikrát denně, aby se udržela konstantní síla na vklíněný premolár. Jakmile byla okluzní třetina bukálního povrchu vytažena, byl na bukální aspekty dolního vklíněného premoláru a horních premolárů umístěn knoflík, aby bylo možno použít gumičky k dokončení řízeného vytažení spodního premoláru (3/16 inch, 3 oz). Ortodontické fóliové aparáty byly pomocí čirých kleští na aparáty upraveny, aby bylo možno umístit knoflíky. Bylo dosaženo dobré konečné interkuspidace, aby byla zaručena ortopedická stabilita. Kromě toho byl úsměv značně vylepšen dokonalou kontrolou bukolingválního sklonu horních a dolních řezáků, jak ukazuje cefalometrická analýza (obr. 9–11).
Klinické tipy
Použití příchytek na všech premolárech a stoličkách je užitečné k řízení maxilární expanze během bukálního pohybu, který vyvíjí vytlačovací sílu na tyto příchytky. Výsledkem je vytvoření několika sil generujících pohyb, čímž se usnadní bukolingvální řízení premolárů a stoliček. Jinými slovy lze dosáhnout řízeného bukálního pohybu jejich kořenů. Extruzní síla navíc zlepší finální interkuspidaci v oblasti premolárů a molárů, čímž se sníží účinek skusového bloku popsaný u ortodontických fóliových aparátů. Tento případ ukazuje, jak je možno provést ortochirurgickou trakci vklíněného dolního premoláru pomocí ortodontických fóliových aparátů, knoflíků a gumiček bez rovnátek a drátků. Pacientka i její rodiče to velice ocenili. Pohodlná a estetická řešení mohou být pro dospívající základním požadavkem.
Porovnání tohoto případu s pacienty, kterým byly předepsány výměny ortodontického fóliového aparátu jednou za 2 týdny
Režim výměn ortodontického fóliového aparátu každé 2 týdny může poskytnout podobné výsledky, ale prodloužil by dobu léčby až na dvojnásobek. Ortodontická trakce vklíněných zubů může být navíc z hlediska požadovaného času extrémně variabilní. To je hlavní důvod, proč se v případech, kdy není pro přípravu trakce zapotřebí žádný složitý pohyb, doporučují týdenní výměny ortodontických fóliových aparátů, aby se předešlo dlouhodobé léčbě a aby se vklíněný zub dostal do své konečné polohy.
Dopad týdenních výměn ortodontických fóliových aparátů na klinickou praxi
Hlavními výhodami týdenních výměn ortodontického fóliového aparátu u dospívajících pacientů je vyšší přijatelnost kratší doby léčby pro tyto pacienty a kratší doba, po kterou vznikají při této léčbě náklady na řízení.
Závěry
Tento případ byl léčen 50 ortodontickými fóliovými aparáty po dobu 54 týdnů. K dokončení trakce vklíněného spodního prvního premoláru bylo zapotřebí dalších 24 týdnů. Celková doba léčby tedy byla 19,5 měsíce. Při režimu výměn ortodontického fóliového aparátu každé 2 týdny se očekává delší léčba, kolem 39 měsíců. Tento odhadovaný rozdíl v době léčby je důležitý z pohledu pacienta i lékaře.
Buďte v obraze
Chcete mít pravidelný přehled o nových článcích na tomto webu, akcích a dalších novinkách? Přihlaste se k odběru newsletteru.
Odesláním souhlasíte s našimi zásadami zpracování osobních údajů.
1. Schupp W and Haubrich J, eds. Aligner Orthodontics. 2015, Quintessenz Berlin.
2. Boyd RL, Oh H, Fallah M, Vlaskalic V. An update on present and future considerations of aligners. J Calif Dent Assoc 2006;34(10):793–805.
3. Giancotti A, Mampieri G, Greco M. Correction of deep bite in adults using the Invisalign® system. JCO 2008;XLII(12):719–26.
4. Boyd RL. Esthetic orthodontic treatment using the Invisalign® appliance for moderate to complex malocclusions. J Dental Educ 2008;72(8):948–67.
5. Krieger E, Seiferth J, Marinello I, et al. Invisalign® treatment in the anterior region: were the predicted tooth movements achieved? J Orofac Orthop 2012;73(5):365–76.
6. Simon M, Keilig L, Schwarze J, Jung BA, Bourauel C. Treatment outcome and efficacy of an aligner technique – regarding incisor torque, premolar derotation and molar distalization. BMC Oral Health 2014;14:68.
7. Doporučuje se týdenní výměna rovnátek pro všechny léčby Invisalign (se standardním postupem), a to Invisalign Full, Invisalign Teen a Invisalign Assist. Rozhodnutí předepsat týdenní výměnu ortodontického fóliového aparátu závisí na uvážení lékaře. Monitorování posunů zubů, jako jsou rotace, extruze nebo významný posun kořene, zejména modré a černé pohyby ve zhodnocení pohybu zubů (TMA). V závislosti na odezvě pacienta na léčbu, zejména u dospělých pacientů, zvažte delší dobu mezi výměnou ortodontického fóliového aparátu. Viz: Technologie Align zavádí týdenní nošení ortodontického fóliového aparátu u produktů Invisalign® Teen a Full. Tisková zpráva ze dne 11. října 2016. K dispozici na adrese: http://investor.aligntech.com/releasedetail.cfm?ReleaseID=992964. Otevřeno 31. prosince 2016.
8. Align Technology, údaje v záznamech.
Články
10. 4. 2025 | Ortodoncie
Čím dříve u dětí diagnostikujeme a léčíme problémy s dýchacími cestami, tím větší bude mít léčba přínos pro jejich celoživotní fyzické a mentální zdraví. Jakákoli obstrukce dýchacích cest vede k dýchacím obtížím, včetně dýchání ústy, chrápání, spánkové apnoe, hypopnoe a syndromu zvýšeného odporu horních cest dýchacích (UARS).
Články
1. 4. 2025 | Ortodoncie
Autorka článku uvádí: V mé praxi systém DentalMonitoring zásadně změnil způsob, jakým řídíme a sledujeme ortodontickou léčbu. Díky jeho technologiím založeným na umělé inteligenci (AI) jsem dokázala zlepšit výsledky léčby, zvýšit spokojenost pacientů a minimalizovat počet jejich osobních návštěv v ordinaci.






