Univerzální strategie pro různé situace
Pokroky v oblasti vývoje materiálů a technologií poskytují zubním lékařům širokou škálu kompozitních materiálů, které nabízejí zjednodušená řešení pro různé klinické situace. Tyto inovace, v kombinaci s propracovanými technikami, učinily složité výkony, jako je cementace nepřímých rekonstrukcí, dostupnějšími a méně časově náročnými. Tento klinický případ zdůrazňuje využití kompozitních materiálů a zjednodušených postupů k efektivnímu řešení více klinických výzev, čímž demonstruje potenciál moderní stomatologie zlepšovat každodenní praxi i výsledky u pacientů.

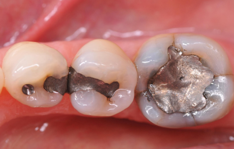
Obr. 1: Výchozí situace. Výchozí situace se týká staršího pacienta se starými amalgámovými výplněmi v pravém dolním distálním úseku, které si pacient přál odstranit z estetických důvodů.

Obr. 2: Nasazení kofferdamu. Po nasazení kofferdamu byly staré výplně odstraněny a objevil se skutečný rozsah ztráty tvrdých zubních tkání.

Obr. 3: Preparace kavit. Konečný stav preparací kavit: Byly dokončeny dvě kavity II. třídy a u prvního moláru byla provedena preparace pro overlay. Infrakce na meziální stěně moláru zůstala nedotčena; aby se zabránilo její další propagaci. Bude zpevněna při cementaci nepřímé rekonstrukce.

Obr. 4: Okamžité utěsnění dentinu. Obnažený dentin prvního moláru byl okamžitě ošetřen sealerem a byla provedena dostavba za použití SimpliShade Bulk Fill Flow (Kerr). Následně byly na premoláry umístěny dvě sekční matricové pásky pro postranní úsek, fixované oranžovým klínkem a kroužkem, pro zhotovení výplní II. třídy.

Obr. 5: Přímé výplně. Za dodržení zásad adhezivního postupu byly dokončeny přímé výplně na premolárech s použitím jednoho odstínu SimpliShade Bulk Fill (Kerr) a následně provedena individualizace okluze hnědými pigmenty. Díky snadné manipulaci a nízkému polymeračnímu smrštění bylo možné vyplnit obě kavity jedinou 4mm vrstvou kompozitu. Materiál byl přizpůsoben kavitě a modelován pomocí techniky Espresso posterior lines, což ušetřilo cenný čas.

Obr. 6: Nepřímé rekonstrukce. Po dokončení výplní byly digitálně sejmuty otisky pomocí intraorálního skeneru Helios 500 (Eighteeth). Výhodou digitálního postupu je, že umožňuje dokončit rekonstrukci během jednoho dne. Finální nepřímá rekonstrukce byla totiž připravena k cementaci již o hodinu později.

Obr. 7: Nasazení kofferdamu pro nepřímou rekonstrukci. Před fixací overlaye byl nasazen kofferdam a zkontrolována přesnost dosedu rekonstrukce.

Obr. 8: Adhezivní způsob fixace. Po selektivním leptání skloviny kyselinou fosforečnou po dobu 20 sekund bylo aplikováno jednosložkové univerzální adhezivum Optibond Universal (Kerr). Adhezivum bylo intenzivně vtíráno na leptaný povrch ve dvou vrstvách, přebytky byly odstraněny vzduchovou pistolí a proběhla 40sekundová polymerace. Nepřím á rekonstrukce byla následně fixována pomocí NX3 Universal Adhesive Resin Cement (Kerr). Byla použita tzv. step luting technika, při níž jsou přebytky cementu odstraněny před polymerací. K tomu byl použit jemný hrot nástroje LM-Fissura (LM-Dental).

Obr. 9: Aplikace glycerinu. Po odstranění přebytků byl nanesen glycerin, který zabrání vzniku inhibiční kyslíkové vrstvičky na povrchu a zajistí se tak úplná polymerace pryskyřičného cementu.

Obr. 10: Odstranění kofferdamu. Po odstranění kofferdamu byly výplně a onlay finálně opracovány a vyleštěny.

Obr. 11: Kontrola okluze. Nakonec byly zkontrolovány okluzní kontakty a dle potřeby upraveny.

Obr. 12: Radiologické vyšetření. Radiologické snímky (vlevo před a vpravo po) ukazují přesné dosednutí nepřímé rekonstrukce s úplným utěsněním všech marginálních oblastí pryskyřičným cementem, bez přítomnosti přebytků.

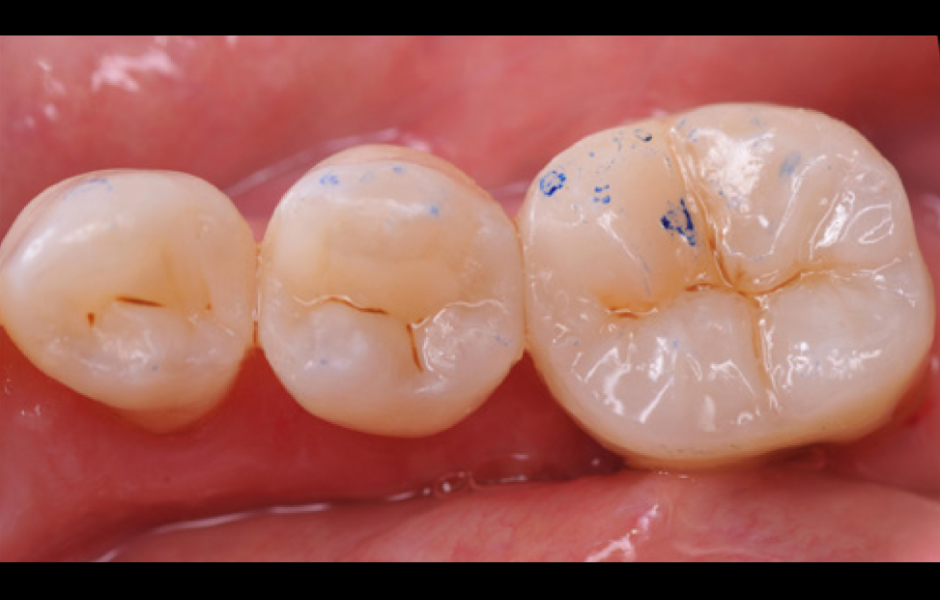
Obr. 13: Kontrola po 1 týdnu. Finální vzhled po týdenní kontrole.
Závěr
Závěrem lze říci, že použití univerzálních adhezivních cementů a bulk-fill kompozitních materiálů zjednodušuje stomatologické výkony a umožňuje lékařům provádět i složitější ošetření předvídatelným a efektivním způsobem. Tyto moderní materiály nejenže zvyšují efektivitu každodenní praxe, ale také zlepšují spokojenost pacientů, protože snižují potřebu opakovaných návštěv. Přijetí těchto inovací v moderní stomatologii může významně zefektivnit pracovní postupy a současně zajistit vysoce kvalitní výsledky.
Prohlášení: Prof. Angelo Putignano je konzultantem společnosti Kerr. Názory a techniky uvedené v tomto článku vycházejí z jeho zkušeností. Kerr je výrobce zdravotnických prostředků a neposkytuje lékařské poradenství. Ošetřující lékaři by měli vždy využívat svůj vlastní odborný úsudek při léčbě pacientů.
Buďte v obraze
Chcete mít pravidelný přehled o nových článcích na tomto webu, akcích a dalších novinkách? Přihlaste se k odběru newsletteru.
Odesláním souhlasíte s našimi zásadami zpracování osobních údajů.
- Maravić T, Mazzitelli C, Mancuso E, Del Bianco F, Josić U, Cadenaro M, Breschi L, Mazzoni A. Resin composite cements: Current status and a novel classification proposal. J Esthet Restor Dent. 2023 Oct;35(7):1085-1097. doi: 10.1111/jerd.13036. Epub 2023 Mar 16. PMID: 36924395.
- Hardan L, Bourgi R, Cuevas-Suárez CE, Devoto W, Zarow M, Monteiro P, Jakubowicz N, Zoghbi AE, Skaba D,Mancino D, Kharouf N,Haïkel Y, Lukomska-Szymanska M. Effect of Different Application Modalities on the Bonding Performance of Adhesive Systems to Dentin: A Systematic Review and Meta-Analysis. Cells. 2023 Jan 3;12(1):190. doi: 10.3390/cells12010190. PMID: 36611983; PMCID: PMC9818277.
- Chiodera G, Orsini G, Tosco V, Monterubbianesi R, Manauta J, Devoto W, Putignano A. Essential Lines: a simplified filling and modeling technique for direct posterior composite restorations. Int J Esthet Dent. 2021 May 10;16(2):168-184. PMID: 33969973.
- Tosco V, Monterubbianesi R, Orilisi G, Sabbatini S, Conti C, Özcan M, Putignano A, Orsini G. Comparison of two curing protocols during adhesive cementation: can the step luting technique supersede the traditional one? Odontology. 2021 Apr;109(2):433-439. doi: 10.1007/s10266-020-00558-0. Epub 2020 Oct 31. PMID: 33128650; PMCID: PMC7954706.
Články
9. 4. 2025 | Obecná stomatologie
V minimálně invazivní stomatologii je volba materiálů, které co nejlépe napodobují strukturu přirozeného zubu, zásadní. Níže uvedený klinický případ zachycuje záchovné ošetření u 42letého pacienta. Pro ošetření sekundárního kazu a nahrazení poškozených starších kompozitních a amalgámových výplní byly zvoleny nanoplněné ORMOCER kompozity pro přímé rekonstrukce s tekutou a tuhou konzistencí, konkrétně Admira Fusion Flow a Admira Fusion (VOCO).
Články
24. 11. 2025 | Obecná stomatologie
Úvod: Jazyk je prvním orgánem, který začíná fungovat již během embryonálního vývoje. Jeho vývojové odchylky mohou vést k poruchám funkce s následky i ve vzdálených oblastech těla.
Články
18. 11. 2025 | Obecná stomatologie
Zubní kaz je celosvětově nejrozšířenějším neinfekčním onemocněním. Jedním z důvodů je skutečnost, že jeho počáteční stadia, která lze považovat za subklinické projevy kariézního procesu, jsou často řešena přístupem „sledovat a čekat“. Tento přístup však nese riziko progrese kazu³ a v závažných případech může vést i k vážným zdravotním komplikacím.







