Funkce profylaktického pískovače během otevřené lalokové operace při resekční a regenerativní parodontologické léčbě
Jedním ze základních pilířů parodontologických chirurgických zákroků je otevřená laloková operace. Náš pracovní tým zkombinoval za účelem ošetření povrchu kořene otevřený lalokový debridement s použitím pískování a současně jsme se snažili vyhnout úplnému odstranění cementu. Hlavním cílem této procedury bylo představit účinky profylaktického pískovače (Varios Combi Pro – NSK) použitého při chirurgickém zákroku s cílem regenerace a zachování závěsného aparátu zubu.

Teorie
Hlavní úlohou cementu, také vzhledem k jeho strukturálním a dynamickým vlastnostem, je sloužit jako rozhraní pro připojení hlavních kolagenních vláken závěsného aparátu zubu.1 Cementoblasty vykazují biologickou aktivitu a reaktivitu, která plní různé funkce. Vytváří dva typy cementu obsahujícího kolagen s různými vlastnostmi.2 Při periodontálním onemocnění mohou být vlastnosti cementu narušeny, což vede ke ztrátě připojených pojivových tkání.3 Na povrchu kořene s periodontálním onemocněním pronikají bakterie a jejich endotoxiny do cementu. Je obecně známo, že hlavním krokem parodontologické léčby je odstranění plaku a zubního kamene z cementu, který je infikován patogenními mikroorganismy.4 Hlavním cílem je dosáhnout po ošetření hladkého a tvrdého povrchu kořene bez přítomnosti endotoxinů.5 V nedávných studiích byl v rámci doplňkového ošetření při proceduře otevřené lalokové operace použit profylaktický pískovač. Pískovač je možností debridementu povrchu kořene, která pomáhá docílit redukce hloubky při sondování a odstranění subgingiválního biofilmu.6, 7
Popis klinické procedury
Naší klinické studie se zúčastnily 4 pacientky s chronickou parodontitidou a choboty hlubšími než 4 mm. Všechny trpěly krvácením při sondování. Téměř ve všech případech byl přítomen hluboký nitrokostní defekt se suprakostní složkou. Defekty se nacházely v aproximální oblasti. Pacientky se do studie přihlásily dobrovolně poté, co obdržely ústní a písemné informace a podepsaly informovaný souhlas schválený oddělením zubního lékařství Univerzity Semmelweis v Budapešti (Maďarsko).
Před chirurgickým zákrokem obdržely všechny pacientky pokyny ohledně orální hygieny a v celých ústech jim byl odstraněn supra- i subgingiválně zubní kámen pro zmírnění zánětlivosti měkkých tkání.8 Po hygienické fázi tyto 4 pacientky ve věku 40 až 62 let, dobrého celkového zdraví, nekuřačky, souhlasily s účastí v naší případové studii. Po odstranění zubního kamene, provedení kyretáže a motivování k provádění ideální orální hygieny, jsme pacientky připravili na otevřenou lalokovou operaci.
Z důvodu snížení mobility byly v nutných případech zuby zdlahovány retainerem. Při prvním vyšetření, které odhalilo přítomnost plaku, bylo zaznamenáno skóre plaku v celých ústech. U každé pacientky byly 2 dny před chirurgickým zákrokem zaznamenány parodontologické parametry (PPD, GR, CAL, BoP, PI). U každého z vyšetřovaných zubů bylo provedeno měření na šesti místech pomocí standardizované parodontální sondy.
Operace byla u každého případu provedena stejnou metodou.
Chirurgická procedura
Pacientky byly požádány, aby si pro dezinfekci úst vyplachovaly 0,2% chlorhexidinem po dobu 2 minut. Chirurgický zákrok byl proveden v lokální anestezii.
Počáteční řez mukoperiostem byl v místě ošetření proveden bukálně, orálně a aproximálně k povrchu alveolárního hřebene, přičemž jím byly odděleny jeden až dva zuby. Pokud to šířka papily umožnila, použili jsme techniku konzervace papily.9
Mukoperiosteální lalok byl zvednut na úroveň alveolárního hřebene. Po vytvarování obrysu laloků jsme otevřeli okénka ke kořenům a defektům. Byly odstraněny granulační tkáně, defekty zcela vyčištěny a z povrchu kořene byl pomocí ultrazvukových nástrojů odstraněn zubní kámen.8 V dalším kroku jsme dekontaminovali povrchy kořene použitím profylaktického pískovače (Varios Combi Pro ve funkci perio) s práškem na bázi glycinu (Perio-Mate Powder).7, 10
Pružný hrot trysky umí sledovat obrysy zubu a lze jej přiložit na povrch kořene, aniž by došlo k případnému poškození parodontu. Tlak rozprašovaného prášku se uplatňuje supragingiválně, takže je jeho použití subgingiválně bezpečné. K irigaci prášku byl použit fyziologický roztok.11 Poté jsme již měli výhled na hladký, homogenní povrch kořene a defekty.
Ve dvou případech jsme zkusili použít u tří nebo dvoustěnných defektů prvních molárů derivát sklovinné matrix (Emdogain®, Straumann), který předvídatelně regeneruje ztracený závěsný aparát.12 U tohoto produktu bylo prokázáno, že u defektů typu recesu regeneruje cement, periodontální vazy a alveolární kost. Emdogain® může poskytnout řadu biologických účinků, které jsou nezbytné při hojení ran, díky obsahu proteolytických peptidů.13
Laloky byly sešity různými typy vertikálních matracových stehů, aby bylo dosaženo faciálního a orálního umístění laloků a primárního uzavření mezizubního prostoru nad defekty. Všem pacientkám byla po operaci po dobu 7 dní podávána antibiotika a podle individuální potřeby léky proti bolesti. Pacientky byly požádány, aby si oblast chirurgického zákroku nečistily zubním kartáčkem, ale pouze vyplachovaly dvakrát denně po dobu dalších 2 týdnů 0,2% chlorhexidinem. Po odstranění stehů 14 dní po zákroku pacientky již mohly čistit měkkým zubním kartáčkem
Případ 1
47letá žena si stěžovala na bolest a krvácení, ke kterému docházelo při čištění kolem dolních a horních frontálních zubů. Při vyšetření úst byla viditelná minimální hyperplazie okrajové gingivy. Po vyšetření stavu parodontu odhalil RTG snímek horizontální resorpci kosti s vertikálními komponentami ve frontální a molárové oblasti. Pacientka měla úzkou a plochou papilu, a kromě hyperplastického okraje měla také hluboké suprakostní choboty. Hloubka při sondování se pohybovala mezi 4 až 5 mm. Shrneme-li předchozí ošetření, byl jí poskytnut nechirurgický debridement a nové instrukce k orální hygieně, což vedlo ke zmírnění zánětu okrajové gingivy. Zaznamenali jsme parodontologické parametry a přistoupili k otevřené lalokové operaci. V tomto případě jsme v rámci debridementu cementu ošetřili povrchy kořenů profylaktickým pískovačem.
Průměrné parametry před chirurgickým zákrokem (obr. 1–6): PPD (mm): 3,1 | GR (mm): 0 | BoP (%): 65 | PI (%): 21 | CAL: 3,1
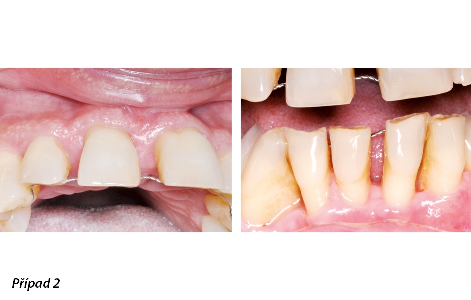
Případ 2
62letá žena si stěžovala na masivní krvácení dásní v celých ústech po dotyku. RTG snímky odhalily parodontitidu a kombinaci vertikálního a horizontálního úbytku kosti. Z důvodu úbytku kosti a středně těžkého zánětu trpěly zuby mobilitou prvního stupně, což byl důvod, proč jsme horní a dolní frontální zuby před chirurgickým zákrokem zdlahovali. Kromě fixace jsme provedli podpůrnou nechirurgickou léčbu. Při chirurgickém zákroku jsme dekontaminovali povrchy kořene profylaktickým pískovačem.
Průměrné parametry před chirurgickým zákrokem (obr. 7–12): PPD (mm): 3,2 | GR (mm): 0,5 | BoP (%): 50 | PI (%): 40 | CAL: 2,7
Případ 3
60letá žena trpěla těžkou parodontitidou a bohužel jsme museli extrahovat moláry a premoláry s mobilitou třetího stupně a hnisavou exsudací z chobotů. Levý dolní molárový kvadrant nicméně mohl být připraven na otevřený lalokový debridement za použití glycinového prášku při doplňkovém pískování. Před chirurgickým zákrokem byl zjištěn v mezioaproximální oblasti levého dolního prvního moláru třístěnný vertikální kostní defekt s průměrnou hloubkou 8 mm. Po zlepšení orální hygieny jsme přistoupili k otevřené lalokové operaci. Povrch kořene v kostním defektu jsme ošetřili pískovačem. Z důvodu dokonalého zhojení a řádné regenerace defektu jsme použili protein ze sklovinné matrix (Emdogain®, Straumann).12
Průměrné parametry před chirurgickým zákrokem (obr. 13–15): PPD (mm): 5,5 | GR (mm): 2,3 | BoP (%): 66 | PI (%): 50| CAL: 7,8
Případ 4
40letá žena s mírnou parodontitidou si stěžovala na pravý dolní první molár kvůli otoku a krvácení při čištění. Při vyšetření byla na tomto prvním moláru zjištěna nasazená korunka, která neměla řádný kontakt s okrajem preparace na zubu. V mezioaproximální oblasti prvního moláru byl diagnostikován třístěnný kostní defekt. Kromě toho byla nalezena furkace I. třídy. V prvním kroku jsme odstranili korunku, pak jsme provedli supra- a subgingivální odstranění zubního kamene a připravili pacientku na chirurgický zákrok. V tomto případě jsme také očistili povrch kořene profylaktickým pískovačem a pak nanesli do místa defektu Emdogain®. Během chirurgické procedury byla degranulována a vyčištěna oblast furkace, kam jsme poté aplikovali Emdogain®. Přiklonili jsme se k tunýlkové preparaci furkace, protože byl prostor otevřený z méně než 0,33 %.12
Průměrné parametry před chirurgickým zákrokem (obr. 16–19): PPD (mm): 4,5 | GR (mm): 0 | BoP (%): 100 | PI (%): 100 | CAL: 4,5

Případ 1 – Počáteční parodontologická tabulka. Zaznamenané parametry ve vyšetřovaných oblastech: dolní a horní frontální zuby (PPD, GR, BoP, PI).

Počáteční stav před chirurgickým zákrokem

Ošetření povrchu kořene zubu 23 po debridementu

Sešité laloky modifikovanými vertikálními matracovými stehy v horním frontálním úseku

Po odstranění granulační tkáně a debridementu – ošetření kořenů dolních frontálních zubů

Sešité laloky vertikálními matracovými stehy v dolním frontálním úseku

Případ 2 – Počáteční parodontologická tabulka – zaznamenané parametry ve vyšetřovaných oblastech: dolní a horní frontální zuby (PPD, GR, BoP, PI).

Počáteční stav

Odstranění granulační tkáně

Sešité laloky modifikovanými vertikálními matracovými stehy

Ošetření kořenů dolních frontálních zubů po debridementu

Sešité sjednocené laloky

Případ 3 – Počáteční parodontologická tabulka – zaznamenané parametry ve vyšetřovaných oblastech: dolní levý první molár (PPD, GR, BoP, PI)

Počáteční RTG snímek

Počáteční stav dolního pravého prvního moláru

Případ 4 – Počáteční parodontologická tabulka – zaznamenané parametry ve vyšetřovaných oblastech: dolní pravý první molár (PPD, GR, BoP, PI)

Počáteční stav dolního pravého prvního moláru

Čištění povrchu kořene pískovacím zařízením

Aplikace Emdogainu®





Výsledky
Základními opatřeními v průběhu 1 měsíce po operaci byly vizuální kontroly ujišťující o řádném hojení. Kolem operovaných oblastí nebyly patrny žádné hnisavé procesy ani otok. Pouze tam, kde byl použit Emdogain®, jsme pozorovali 1–5 dní minimální zánět, který se bez jakéhokoli zásahu zlepšil. Nicméně, stejně jako ve všech předchozích případech, jsme po operacích s Emdogain® předepsali antibiotika.
Tři a sedm měsíců po chirurgické proceduře byly za použití stejného typu parodontální sondy vyhodnoceny následující klinické parametry: hloubka chobotů při sondování (PPD), gingivální recesy (GR), krvácení při sondování (BoP), index plaku (PI) a klinická úroveň závěsného aparátu (CAL). Měření byla provedena u každého zubu na šesti místech: meziobukálně (meb), midbukálně (mb), distobukálně (db), mezioorálně (meo), midorálně (mo) a distoorálně (do). Jako referenční bod bylo použito cementosklovinné spojení (CEJ). V jednom případě nebylo CEJ viditelné a pro všechna měření byl použit okraj korunkové náhrady.
Po 7 měsících byla ve dvou případech naměřena průměrná redukce hloubky chobotů o 2,1 a 2,3 mm, u dvou případů použití Emdogainu® byla redukce o 3,9 a 2,7 mm. Průměrný přínos pro závěsný aparát byl ve dvou případech 0,5 a 0,7 mm, zatímco ve dvou případech s použitím Emdogainu® 4,2 a 1,3 mm. Pozorovali jsme mírný reces gingivy (2 mm).
Výsledky naznačovaly z pohledu klinické praxe následující:
U každého případu byla podstatně zredukována hloubka chobotů a současně se zlepšil reces gingivy. Výsledkem byl zjevný přínos pro klinickou úroveň závěsného aparátu (obr. 20).
Měření jednoznačně ukázala, že otevřená laloková operace v rámci resekčního nebo regenerativního ošetření (v našich dvou případech byl použit derivát sklovinné matrix) s předchirurgickou konzervativní léčbou dobře poslouží ke zlepšení klinického stavu. V těchto případech se jevilo vhodným doplněním bez vedlejších účinků použití profylaktického pískovače k ošetření povrchu kořenů zubů.
Diskuze
Parodontitida má obecně mnoho faktorů, které se na jejím stavu a vývoji podílejí, takže pro každého lékaře je největší výzvou volba vhodného ošetření, přičemž by se mělo zohlednit celkové zdraví pacientů, progrese onemocnění a všechny ostatní faktory. V parodontologické léčbě je prvním krokem nechirurgická konzervativní léčba anebo může být podpůrnou léčbou před chirurgickou fází, která má za cíl dosáhnout po léčbě udržitelné periodontální zdraví.
Oblast chirurgického zákroku je různorodá, ale vždy lze uplatnit základní metodologie lalokové operace. K dokončení chirurgické fáze jsou pak k dispozici alternativní výkony, jako je kondicionování povrchu, dekontaminace nebo čištění.
My jsme realizovali odlišný postup léčby, který využil k dekontaminaci postižené oblasti abraze pískováním, a v případě potřeby aplikaci regeneračního materiálu.
Závěr
Výsledkem naší metody je skutečnost, že otevřený lalokový debridement s doplněním pískování se ukázal být při těchto ošetřeních dobrou kombinací. Vzhledem k absenci morbidity pacientek a klidného období hojení naznačují námi předložené případy, že popsaná technika může představovat úspěšný rezultát.
Autoři prohlašují, že ohledně zveřejnění tohoto článku neexistuje žádný střet zájmů. Kazuistika byla schválena Regionálním a institucionálním výborem pro etiku vědy a výzkumu a maďarským Úřadem pro zdravotní povolení a správní postupy, a byla provedena v souladu s Helsinskou deklarací.
Buďte v obraze
Chcete mít pravidelný přehled o nových článcích na tomto webu, akcích a dalších novinkách? Přihlaste se k odběru newsletteru.
Odesláním souhlasíte s našimi zásadami zpracování osobních údajů.
References
- 1. Bosshardt, D.D. and A. Sculean, Does periodontal tissue regeneration really work? Periodontology 2000, 2009. 51(1): p. 208-219.
- 2. Nanci, A. and D.D. Bosshardt, Structure of periodontal tissues in health and disease. Periodontology 2000, 2006. 40(1): p. 11-28.
- 3. Bosshardt, D.D. and K.A. Selvig, Dental cementum: the dynamic tissue covering of the root. Periodontology 2000, 1997. 13(1): p. 41-75.
- 4. Polimeni, G., A.V. Xiropaidis, and U.M. Wikesjö, Biology and principles of periodontal wound healing/regeneration. Periodontology 2000, 2006. 41(1): p. 30-47.
- 5. Laleman, I., et al., Subgingival debridement: end point, methods and how often? Periodontology 2000, 2017. 75(1): p. 189-204.
dentální produkty
Laboratorní CAD/CAM frézovací jednotky
Články
12. 1. 2024 | Obecná stomatologie
Záměrem tohoto článku je upozornit na různé možnosti, které mohou zpřesnit vyšetření pomocí...
Články
21. 8. 2025 | Obecná stomatologie
Cílem studie je formulovat novou hypotézu o možné neurologické etiologii bruxismu. Bruxismus zde není chápán jako parafunkce nebo reakce na stres, ale jako nefyziologický mechanismus, který pacienti s nesprávným polykáním a funkčními poruchami trojklanného nervu využívají k podpoře procesu ukládání informací do paměti během spánku a udržení pozornosti během dne.
Články
21. 12. 2024 | Obecná stomatologie
Dobře zdokumentovaná interdisciplinární kazuistika kosmetické stomatologie: řešení diastema, tremat a krátkých korunek u mladé pacientky, které zahrnovalo prodloužení klinických korunek kombinací osteoplastiky a apikálně posunutého laloku, bělení a zhotovení keramických fazet.
- Zubní lékař Zubní lékař Olomouc nebo Prostějov
- Zubní lékař Zubní lékař/zubní lékařka
- Zubní lékař Zubní lékař/ka - Dental Smile Hradec Králové
- Zubní lékař Zubní lékař/ka - Praha 10
- Zubní lékař HOŘOVICE/BEROUN hledají zubaře/zubařku











