Dočasné zvýšení vertikálního rozměru skusu pomocí kompozitu a zjednodušené injekční techniky
Metoda přípravy pro laboratorně zhotovené rekonstrukce
2. závěrečná část
V rámci rozsáhlých protetických ošetření je často nezbytné zvýšení vertikálního mezičelistního rozměru a nastavení horizontálního skusu do centrické pozice kondylů. Toto nové definování polohy dolní čelisti se provádí během přípravné předprotetické fáze a mělo by být následně testováno po delší časový úsek, než se přistoupí k provedení ireverzibilních protetických opatření. Tento článek detailněji představuje časově i finančně úspornou možnost přímé dlouhodobě provizorní intraorální dostavby okluzních plošek z kompozitu pomocí injekční techniky včetně kompletního ordinačního i zubotechnického pracovního postupu.

Čtvrtá ordinační fáze
Pro lepší manipulaci byly obě první dlahy (dlaha 1 a 2), určené k dostavbě laterálních zubů, ve frontě rozděleny na levou a pravou polovinu. U prvního segmentu dlahy (dlaha 1) byl intraorálně zkontrolován perfektní a snadný dosed i jednoznačné opření segmentu o poslední molár a frontální zuby (obr. 18). Rovněž byla ověřena správná poloha bukálních vtokových otvorů (obr. 19). Ve správné pozici ozřejmila nasazená dlaha ztracené zubní struktury jako prázdný prostor mezi materiálem dlahy a zbylými zubními tkáněmi na okluzi (Schmidlin a kol. 2009C). Po nasazení dlahy určené k ochraně měkkých tkání, na které byly selektivně vyříznuty oblasti určené k dostavbě (obr. 20), proběhla pomocí intraorálního pískovače tzv. tribochemická silikatizace (CoJet, 3M Espe) v oblasti okluzního povrchu přítomných rekonstrukcí (obr. 21) (Frankenberger a kol. 2000, 2014; Matinlinna 2013; Ozcan 2003). Po sejmutí ochranné dlahy byl, na tímto způsobem silikatizovaný povrch, pečlivě aplikován Silan (obr. 22) (Blatz a kol. 2003; Kupiec a kol. 1996). Tyto dva kroky vedou ke tvorbě chemické vazby mezi starými okluzními ploškami z kovu, resp. keramiky a zamýšlenými novými dostavbami z kompozitu. Během přípravy pro aplikaci kompozitu byly následně silanizované povrchy pokryty adhezivem, které bylo vzduchovou pistolí rozfoukáno do tenké vrstvy a okamžitě vytvrzeno polymerační lampou. Pokud se podaří zajistit nekontaminované okolí pracovního pole s relativním vysušením, ať už vatovými válečky, resp. lícními vycpávkami, a dostatečně efektivní odsávání i odtažení okolních tkání zkušenou asistentkou, je u těchto adhezivních dostaveb možno upustit od požadavku na absolutní vysušení pomocí kofferdamu (Brunthaler a kol. 2003; Heinze a kol. 2015; Opdam a kol. 2016; Raskin a kol. 2000; Smales 1993; Van Dijken & Horstedt 1987).
V další fázi byl normálně viskózní hybridní kompozit, stabilní vůči abrazi a vhodný pro laterální zuby, předehřát ve vodní lázni, aby se dočasně snížila jeho viskozita. Byly použity kompule kvůli možnosti přímé intraorální aplikace tlakem do dutiny mezi dlahou a vlastním zubem. Dostatečný počet kompulí zabalených ve vodotěsném sáčku byl vložen do ohřívací lázně. Po dostatečném temperování byly kompule co nejrychleji nasazeny intraorálně na bukální vtokové perforace dostavbové dlahy a jejich obsah byl tlakem vstříknut do připravené dutiny, dokud na orální straně dlahy odvzdušňovacím otvorem nevytékal přebytek kompozitního materiálu (obr. 23). Během vstřikování zahřátého kompozitu do dutiny musí asistence dlahu na jejím meziálním i distálním konci dobře zafixovat, aby se tlakem vstřikovaného materiálu nepohnula a nevznikaly tak nepřesnosti. Zároveň je nutno dávat pozor na to, aby byl celý objem dutiny každé jednotlivé dlahy, který podle velikosti objemu může pojmout í více kompozitních kompulí, vyplněn co možná nejrychleji. To se podaří při zapojení druhé asistující osoby, která rychle bezprostředně po sobě nacvakává do aplikačních pistolí nahřáté kompozitní kompule, aby se tak kompozitní masy dostaly do prostoru pod dlahou ještě v nahřátém stavu a tam se bez bublin spojily s již aplikovaným materiálem. Tím vznikají v každém původně dutém prostoru spojené kompozitní segmenty. Nahřátý kompozit pak okamžitě kondukcí velmi rychle chladne po kontaktu s rekonstrukcemi, resp. zuby, které jsou zahřáté pouze na tělesnou teplotu, a během několika málo sekund tak získává svoji původní vysoce viskózní konzistenci (obr. 23). Tento postup odpovídá v průmyslu široce rozšířené injekční metodě při výrobě a zpracování plastů, při které se plastický materiál tlakem vstříkne do tvarovací formy (dutiny) a po vychladnutí či polymerační reakci získává zpět své pevné skupenství (Hornbogen a kol. 2012). Díky vysoké tepelné kapacitě rekonstrukcí, resp. zubů, relativně nízkému množství aplikovaného nahřátého kompozitu a možnosti rychlého odvodu přebytečného tepla do dutiny ústní neexistuje u použití této techniky zpravidla žádné riziko termického poškození pulpy zasažených zubů. Tento postup by měl být samozřejmě u zubů s kavitami blízkými pulpě upraven tak, aby se tyto hluboké oblasti nejprve překryly vrstvou konvenčně aplikovaného kompozitu.
Po vytvrzení první dostavěné okluzní oblasti dostatečně výkonnou polymerační lampou byla dostavbová dlaha rozříznuta skalpelem a vyjmuta z úst. Výsledkem bylo perfektní přenesení anatomických struktur wax-upu do intraorálního okluzního segmentu z kompozitu (obr. 24). Po odbroušení bukálních a orálních přebytků ze vtokových a odvzdušňovacích kanálů byla nasazena druhá dlaha, rovněž rozdělená ve frontě na dvě poloviny, poté byl koncový dostavovaný molár nejprve silikatizován, silanizován a potřen adhezivem (obr. 25). Opora této šablony se odehrávala přímo na anteriorněji stojících zubech, dostavěných v předchozí fázi. Dostavba koncového moláru byla provedena stejnou, výše popsanou metodou (obr. 26). Analogicky proběhla ve dvou krocích i dostavba druhé poloviny čelisti (obr. 27). Dostavbou všech laterálních zubů v dolní čelisti bylo dočasné zvýšení skusu již z větší části dokončeno (obr. 28).
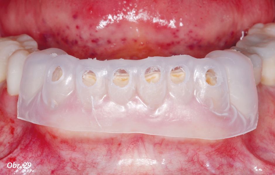
Pomocí třetí dostavbové dlahy (dlaha 3) (obr. 29) byly u dolních zubů po naleptání zubních struktur kyselinou fosforečnou a po následné adhezivní přípravě dostavěny jejich incizální části (obr. 30). Po opracování a vyleštění všech dostaveb (obr. 31 a 32) byla znovu překontrolována statická i dynamická okluze; výsledek dobře odpovídal vzoru okluzních kontaktů nastavenému na wax-upu (obr. 33).
Buďte v obraze
Chcete mít pravidelný přehled o nových článcích na tomto webu, akcích a dalších novinkách? Přihlaste se k odběru newsletteru.
Odesláním souhlasíte s našimi zásadami zpracování osobních údajů.
Protože byly veškeré rekonstrukce dostavovány bez podání lokální anestezie, byla pacientka schopna okamžitě po dokončení ošetření a po krátké relaxaci žvýkacího svalstva sdělit první pozitivní dojmy z nové pozice dolní čelisti (obr. 34 a 35). Vzhledem ke spojení kompozitních segmentů ve frontálním i v obou laterálních úsecích do bloku byla pacientka poučena o nutnosti velmi pečlivé ústní hygieny, která byla ordinačně kontrolována v pravidelných šestitýdenních odstupech a doplněna i o profesionální péči dentální hygienistky.
Předplaťte si StomaTeam ONLINE a získejte neomezený přístup ke kompletnímu obsahu StomaTeamu.
objednat předplatné
Články
2. 4. 2025 | Obecná stomatologie
Ku příležitosti konání významné dentální akce, kterou je MYO KONGRES 2025, jsme se rozhodli připomenout tento dříve publikovaný stále aktuální vynikající článek. Problematika čelistního kloubu si zaslouží mnohem větší pozornost, než je jí dosud v běžné praxi věnována.
Články
16. 9. 2024 | Obecná stomatologie
Svetová zdravotnícka organizácia (WHO) nám poukazuje na zdravie ako na kompletne dobrý psychický, fyzický a sociálny stav človeka a nie iba na neprítomnosť ochorenia. Zdravie ústnej dutiny ovplyvňuje celkové zdravie ľudského organizmu...
Články
5. 4. 2024 | Obecná stomatologie
Redakční úvod obsahující vysvětlení, proč jsme se rozhodli tento obsáhlý...













