Dočasné zvýšení vertikálního rozměru skusu pomocí kompozitu a zjednodušené injekční techniky
1. část
V rámci rozsáhlých protetických ošetření je často nezbytné zvýšení vertikálního mezičelistního rozměru a nastavení horizontálního skusu do centrické pozice kondylů. Toto nové definování polohy dolní čelisti se provádí během přípravné předprotetické fáze a mělo by být následně testováno po delší časový úsek, než se přistoupí k provedení ireverzibilních protetických opatření. Tento článek detailněji představuje časově i finančně úspornou možnost přímé dlouhodobě provizorní intraorální dostavby okluzních plošek z kompozitu pomocí injekční techniky včetně kompletního ordinačního i zubotechnického pracovního postupu.

Rekonstrukce příliš nízkého vertikálního vztahu čelistí u doposud plně ozubených pacientů pomocí zvýšení skusu patří k nejnáročnějším ošetřením ze spektra rekonstrukční a protetické stomatologie a bývá velmi často spojeno s vysokými odbornými, časovými a finančními nároky (Hurst 2011; Stewart 1998; Turner & Missirlian 1984; Yip a kol. 2003). Vertikální rozměr okluze je vertikální vzdálenost, resp. výška dolní obličejové etáže, při statickém okluzním kontaktu dolních zubů se zuby v horní čelisti (Abduo 2012; Ahlers a kol. 2005; The Academy of Prosthodontics 2005).
Mezi příčiny příliš sníženého skusu patří: ztráty zubních struktur související s opotřebením (atrice, abraze, eroze), chybná postavení zubů a čelistí, nezaložení některých zubů, ztráty zubů v laterálních úsecích, nevyhovující protetická ošetření po ztrátě opěrných zón a chybné stanovení vertikálního vztahu čelistí předchozím ošetřujícím lékařem (Bartlett 2005; Edelhoff a kol. 2016; Rammelsberg 2014; Sakar 2016). Pokles vertikálního rozměru může mít významné účinky na funkci stomatognátního systému, na estetický vzhled zubů či obličeje a na morfologii obličeje pacientů (Abduo & Lyons 2012; Cekic-Nagas & Ergun 2015; Turner & Missirlian 1984).
Pokud je zvýšení skusu prováděno kvůli následkům atrice, abraze nebo eroze, pak při přetrvávání těchto faktorů může být negativně ovlivněna dlouhodobá prognóza nových rekonstrukcí; u případů takovéhoto typu se pak proto musí dodržovat přísné stanovování indikace (Rammelsberg 2014).
Indikace pro zvýšení skusu existuje tehdy, když je příliš nízký vertikální rozměr spojen s funkčními či estetickými problémy, či pokud nelze adekvátně zhotovit potřebné rekonstrukce zubů pro nedostatek místa, a pokud alternativy k vytvoření místa, jako např. chirurgické prodloužení korunek nebo použití vysoce odolného rekonstrukčního materiálu s nízkými nároky na funkční tloušťku rekonstrukce, nejsou vhodné (Ahlers & Möller 2011; Jo Hansson a kol. 2008; Lee a kol. 2012; Rammelsberg 2014; Smith a kol. 1997).
Má-li se zvýšení vertikálního rozměru provádět ireverzibilními fixními postupy (např. Table Tops, částečné korunky, korunky, můstky), je nezbytným předpokladem předchozí úspěšná simulace zamýšlených změn pomocí reverzibilních prostředků (Ahlers & Möller 2010; Ahlers & Edelhoff 2015). Počáteční předléčení probíhá zpravidla pomocí snímatelné okluzní dlahy (Ahlers a kol. 2016). Další alternativu představuje adhezivní fixace okluzních dostaveb na vlastní zuby nebo na rekonstrukce již přítomné v pacientových ústech (Ahlers a kol. 2011, 2016; Ahlers & Edelhoff 2015). Vykazují-li tato opatření pozitivní účinky, lze pak dále přistoupit k ireverzibilním způsobům ošetření jako úprava poruch okluze, ortodontické korekce a/nebo rekonstrukce jednotlivých zubů, skupin zubů či celého žvýkacího aparátu (Ahlers & Edelhoff 2015; Ahlers a kol. 2016; Okeson 2013).
Aby se minimalizovala rizika a nebezpečí neúspěchu, měl by zhotovení definitivních rekonstrukcí předcházet dostatečně dlouhý interval verifikace nového okluzního vztahu a jeho dolaďování („zkušební jízda“). To se uskutečňuje zpravidla pomocí dlouhodobých provizorií (Ahlers a kol. 2016). Před začátkem definitivní léčby by měl proběhnout cca půlroční interval, kdy je pacient zcela bez obtíží (Ahlers a kol. 2016).
Pro zvýšení vertikálního rozměru okluze u doposud plně ozubených pacientů se jako alternativy ke klasické invazivní rekonstrukci pomocí korunek mezitím ustálily různé léčebné protokoly (Ahlers & Möller 2010, 2011; Attin a kol. 2012; Bartlett 2006; Edelhoff &Brix 2009; Edelhoff a kol. 2010, 2012A, 2014, 2015; Edelhoff 2014; Grütter & Vailati 2013; Güth a kol. 2012; Hamburger a kol. 2011, 2014, 2015; Magne a kol. 2012; Muts a kol. 2014; Perrin a kol. 2013; Schlichtling a kol. 2011; Schmidlin a kol. 2009A, 2009B; Schweiger & Edelhoff 2012; Stumbaum a kol. 2010; Tauböck a kol. 2011, 2012; Tepper & Schmidlin 2005; Vailati & Belser 2008A, 2008B, 2008C; Vailati & Carciofo 2016; Zahn a kol. 2014), které mohou být rozděleny podle rozsahu nutné redukce zubních struktur (neinvazivní, minimálně invazivní) a podle strukturálního průběhu ošetření (s/bez fáze semipermanentního ošetření) (Ahlers & Edelhoff 2015):
- Neinvazivní přímé semipermanentní rekonstrukce z kompozitu kryjící okluzní plošky, později nahrazené definitivními (keramickými) rekonstrukcemi (třífázové).
- Neinvazivní nepřímé semipermanentní repoziční onlaye/fazety z pryskyřice, později nahrazené definitivními (keramickými) rekonstrukcemi (dvoufázové).
- Neinvazivní nepřímé permanentní repoziční onlaye/fazety z lithium disilikátové keramiky (jednofázové).
- Minimálně invazivní nepřímé permanentní repoziční onlaye/fazety z lithiumdisilikátové keramiky (jednofázové).
Následující klinická kazuistika demonstruje semipermanentní zvýšení skusu pomocí dočasných kompozitních dostaveb okluzních plošek v laterálním úseku chrupu zjednodušenou přímou injekční technikou jako přípravný prostředek pro následné, laboratorně zhotovené rekonstrukce.
Kazuistika
Počáteční stav
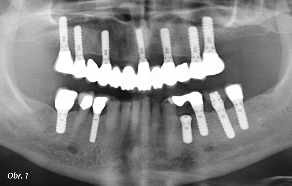
68letá pacientka se dostavila ke konzultaci za účelem prvotního vyšetření s přáním estetického ošetření dolních frontálních zubů fazetami. Pacientka byla v minulosti v horní čelisti ošetřena šroubovanými můstky na sedmi implantátech a v laterálních úsecích dolní čelisti v oblasti zubů 34–37, 44 a 46 rovněž rekonstrukcemi nesenými implantáty. Vlastní zuby ještě přetrvávaly pouze v dolní frontální oblasti (33–43) a v oblasti dolního pravého premoláru (obr. 1). Pacientka vykazovala zřetelné známky atrice a abraze na dolních frontálních zubech (obr. 2) a deficit ve vertikální vzdálenosti okluze (obr. 3). V dolním frontálním segmentu byla přítomna kompenzační repozice alveolárního hřebene ve směru okluzní roviny, na což jasně poukazoval rozšířený pruh keratinizované gingivy (obr. 4) (Bartlett & Smith 2000; Berry & Poole 1976; Ceric-Nagas & Ergun 2015; Manfredini & Poggio 2016). Toto je velmi nepříznivé pro naplánování rekonstrukcí, protože v důsledku toho je ve většině případů přítomno příliš málo místa v okluzi (Mericske-Stern 2007). Veškeré dolní frontální zuby byly ve statické okluzi po kontrole fólií Shimstock v pevném kontaktu s antagonisty v horní čelisti. Vzhledem k rozsáhlým obnaženým plochám dentinu v oblasti incizních hran si pacientka rovněž stěžovala na zvýšenou citlivost na termické a chemické podněty. Pacientka byla navíc obzvláště nespokojena se zásadním rozdílem v barvě dolních frontálních zubů vůči keramickému fazetování rekonstrukcí v horní čelisti a s tvarem, resp. velikostí dolních frontálních zubů (obr. 5).
K tomu všemu navíc nedostatečně vymodelované žvýkací plošky rekonstrukcí v dolní čelisti neodpovídaly požadavkům na funkční uspořádání okluzní anatomie (obr. 6).
Buďte v obraze
Chcete mít pravidelný přehled o nových článcích na tomto webu, akcích a dalších novinkách? Přihlaste se k odběru newsletteru.
Odesláním souhlasíte s našimi zásadami zpracování osobních údajů.
Plánování léčby a cíl ošetření
Pacientka byla poučena o tom, že samotné ošetření dolních frontálních zubů fazetami (přání pacientky: světlejší a delší dolní frontální zuby) není proveditelné, protože ve vertikálním rozměru není k dispozici dostatek místa. Pacientka byla rovněž informována o skutečnosti, že ve srovnání s rekonstrukcemi na vlastních vitálních zubech vykazuje kvůli četným implantátům v její horní i dolní čelisti zvýšené riziko selhání zamýšlených rekonstrukcí podmíněné frakturou (chipping, fraktura fazety, kompletní fraktura méně odolných monolitických materiálů), což je způsobeno chybějící propriocepcí implantátů, z ní vycházející velmi omezenou taktilní zpětnou vazbou a absencí vlastní pohyblivosti pevně oseointegrovaných implantátů do čelistních kostí (Ackermann & Kern 2014; Gross 2008; Hämmerle a kol. 1995; Kinsel & Lin 2014). Kromě samotné struktury pilíře bylo riziko komplikací rovněž ovlivněno i druhem protějšího ozubení (Ackermann & Kern 2014; Kinsel & Lin 2009; Urdaneta a kol. 2014). V okluzi proti sobě stojící rekonstrukce nesené implantáty, jaké jsou přítomny u této pacienty, vykazují přitom 7–13× zvýšené riziko fraktury keramického fazetování ve srovnání s antagonálními rekonstrukcemi fixovanými na přirozené zuby (Kinsel & Lin 2009). U pacientů s bruxismem toto riziko odlomení keramiky nadále vzrůstá, a sice přibližně 5–6násobně (Kinsel & Lin 2009).
Předplaťte si StomaTeam ONLINE a získejte neomezený přístup ke kompletnímu obsahu StomaTeamu.
objednat předplatné
dentální produkty
Laboratorní CAD/CAM frézovací jednotky
Články
3. 6. 2025 | Obecná stomatologie
Třicetiletý celkově zdravý pacient žádal o opravu nevyhovující kompozitní rekonstrukce provedené před 10 lety po traumatu zubu 11. Postižený zub v rámci klinického vyšetření reagoval pozitivně na test vitality. Na rentgenovém snímku nebyla objevena periapikální léze. Klinická korunka vykazovala nežádoucí zbarvení a nacházela se více palatinálně než kontralaterální řezák 21.
Články
16. 2. 2024 | Obecná stomatologie
Redakční úvod obsahující vysvětlení, proč jsme se rozhodli tento obsáhlý materiál...
Články
2. 4. 2025 | Obecná stomatologie
Ku příležitosti konání významné dentální akce, kterou je MYO KONGRES 2025, jsme se rozhodli připomenout tento dříve publikovaný stále aktuální vynikající článek. Problematika čelistního kloubu si zaslouží mnohem větší pozornost, než je jí dosud v běžné praxi věnována.
- Dentální hygienistka Zubní klinika IMPLANTA přijme Dentální hygienistku
- Zubní lékař Nabíka zaměstnání: zubní lékař Praha
- Zubní sestra Zubní asistent/asistentka Prémiová klinika na Bulovce
- Zubní lékař ZUBNÍ LÉKAŘ/KA - estetická stomatologie, fazety, implantáty
- Zubní lékař Zubní lékař/ lékařka (pro absolventy i cizince)












