Sebevědomý úsměv díky bělení zubů
Existuje několik příčin a typů diskolorací zubů a každý z nich vyžaduje pečlivou diagnózu a vyšetření, aby bylo možno zvolit odpovídající léčbu. Používání techniky domácího bělení lze považovat za jeden z minimálně invazivních přístupů k odstranění diskolorací zubů. Cílem tohoto článku je ukázat, jak dosáhnout úspěchu prostřednictvím bělení ve snaze obnovit přirozený vzhled diskolorovaných zubů a zlepšit sebevědomý úsměv našich pacientů.

23letý pacient navštívil naši zubní ordinaci se stížností na diskolorace zubů a požádal o řešení, které by vedlo k zářivějšímu úsměvu s jedinou podmínkou, a to zákrokem „bez vrtání“.

Úsměv se žlutými a zabarvenými zuby.

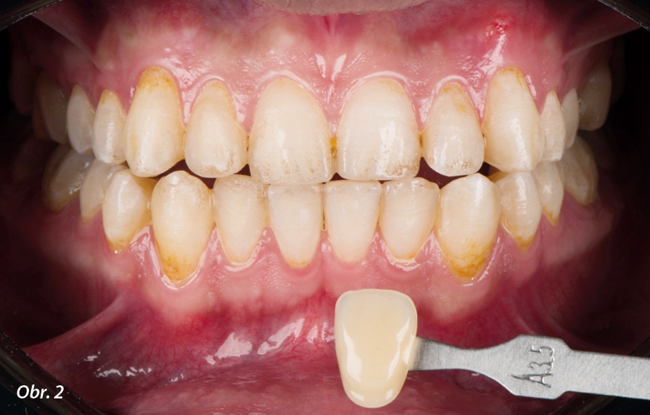
Počáteční odstín zubů před bělením byl A3.5. Fotografie situace před ošetřením je velice důležitá pro určení správného odstínu a vyhodnocování pokroku při bělení – počáteční odstín byl dle klasického vzorníku VITA A3.5.

Opískováním zubů se odstraní skvrny minimálně invazivně. Opískováním práškem na bázi uhličitanu sodného za použití přístroje AquaCare se odstraní všechny skvrny z povrchu skloviny.

Výsledek po opískování. Po vyleštění přístrojem AquaCare twin jsou zuby připravené na bělení.

Bělicí gel značky White Dental Beauty, výrobce Opti dent a nosiče pro domácí bělení. Standardním způsobem, nanesením vosku na bukální plošky zubů na pracovním modelu, vytvoříme zásobníky pro bělicí gel.

Nanášení bělicího gelu do nosičů. Pacient by měl dostat jednu až dvě stříkačky gelu, aby mohl bělení provádět po dobu jednoho týdne. Pacient by měl být instruován, aby hlásil veškeré neobvyklé změny u zubů a dásní.

Nasazení nosičů pro bělení do úst. Po zkontrolování přesnosti, adaptace k tkáním a držení individuálně zhotovených nosičů je pacient instruován, jak má nosiče nasazovat a jak nanášet gel s 16% karbamid peroxidem (jedna kapka na každý zub).

Kontrola odstínu po bělení zubů. Po 14 dnech bělení 16% karbamid peroxidem (White Dental Beauty) jsme zkontrolovali dosažený odstín – výsledný odstín je dle klasického vzorníku VITA A1.

Úsměv po bělení zubů. Pacient se usmívá, spokojený s výsledkem. Dostal několik tipů, jak zachovat účinky bělení delší dobu.

Před a po bělení zubů. Srovnání mezi úsměvem na začátku a na konci ošetření.

Před a po odstranění skvrn a vybělení zubů.
Závěr
Bělení je každodenní procedura, kterou navrhujeme mnoha našim pacientům. Obvykle doporučujeme možnost domácího bělení, protože jde o cenově nejdostupnější a nejbezpečnější způsob, jak vybělit zuby bez nebo s minimálními vedlejšími účinky, a současně minimalizovat citlivost po ordinačním bělení.
Buďte v obraze
Chcete mít pravidelný přehled o nových článcích na tomto webu, akcích a dalších novinkách? Přihlaste se k odběru newsletteru.
Odesláním souhlasíte s našimi zásadami zpracování osobních údajů.
- Joiner A. The bleaching of teeth: a review of the literature, J Dent. 2006 Aug; 34(7):412-9.
- Matis BA, Cochran MA, Eckert G. Review of the effectiveness of various tooth whitening systems. Oper Dent. 2009 Mar-Apr;34(2):230-5.
- Akal N, Over H, Olmez A, Bodur H. Effects of carbamide peroxide containing bleaching agents on the morphology and subsurface hardness of enamel. J Clin Pediatr Dent. 2001 Summer;25(4):293–6.
Články
30. 5. 2025 | Zprávy z firem
Zatímco v minulosti volbu osvětlení provozovatel ordinace často ponechal na elektrikáři, dnes jsou požadavky na splnění normy pečlivě kontrolovány hygieniky a jejich naplnění je složitější. Navíc je pro kolaudaci ordinace často nutné doložit splnění normy závěrečným měřením umělého osvětlení.
Články
21. 2. 2025 | Zprávy z firem
Na náš trh přichází X-Smart Pro+, přenosný endomotor s integrovaným apexlokátorem, který byl vyvinut s cílem optimalizovat výkon systémů endodontických nástrojů značek Dentsply Sirona a VDW. Výhody tohoto zařízení vysvětluje v rozhovoru prof. Simone Grandini z Itálie.
Články
1. 3. 2025 | Zprávy z firem
Úvěrová společnost EkoRent dosáhla významného milníku: Celkový objem poskytnutých úvěrů překročil hranici 1,5 miliardy korun. Potvrzuje to rostoucí zájem soukromých lékařů o flexibilní způsoby financování.
- Zubní lékař Zubní lékař/lékařka - Hustopeče u Brna
- Zubní lékař Zubní lékař/ lékařka (pro absolventy i cizince)
- Zubní lékař Zubní lékař/zubní lékařka
- Zubní sestra Ortodontický asistent/ka, Zubní sestra/instrumentář/ka
- Zubní sestra zubní instrumentářka




