Jednodušší postup od preparace až po korunku
za použití samoadhezivního pryskyřičného cementu 3M™ RelyX™ U200

Uvedená kazuistika ukazuje, že je možno při proceduře zhotovování nepřímé výplně podstatně zredukovat počet pracovních kroků. Eliminují se tak potenciální zdroje chyb a zkracuje se doba ošetření. Klíčem k úspěchu je použití inovativních, vysoce kvalitních materiálů, které nabízejí snadné použití a vedou k větší efektivitě práce v zubní ordinaci. Mezi tyto materiály patří níže zmíněný otiskovací materiál pro monofázovou techniku, bulk-fillový kompozit, provizorní materiál, který nevyžaduje leštění a samoadhezivní pryskyřičný cement, přičemž všechny tyto materiály nabízí jeden výrobce.
Publikováno: StomaTeam 3/2019

Počáteční situace: nevyhovující kompozitní výplň pokrývající velkou část okluzálního povrchu levého dolního prvního moláru je nutné nahradit

Vzhledem k velikosti výplně nemusí být množství zbývající zubní struktury dostatečné pro zajištění potřebné stability přímé kompozitní výplně

Po odstranění staré výplně je jasné, že pro zajištění potřebné stability rekonstrukce zubu je nutná korunka. Zub byl dostavěn pomocí bulk-fillového kompozitu a k adhezi byl použit 3M™ Single Bond™ Universal

Po preparaci zubu je v ordinaci z provizorního materiálu 3M™ Protemp™ vyrobena provizorní korunka. Tento materiál vykazuje vysokou pevnost a přirozený lesk bez leštění.

Jeden týden po provedení preparace je dosaženo zdravého stavu měkkých tkání, a tedy výchozího stavu pro vysoce kvalitní přesný otisk situace v ústech.

Pro detailní záznam okraje preparace v otisku je standardně provedena refrakce gingiválních tkání – umístěním dvojitého retrakčního vlákna nebo jedním retrakčním vláknem v kombinaci s adstringentní retrakční pastou 3M™.

Monofázový otisk zhotovený pomocí polyéterového otiskovacího materiálu 3M™ Impregum™ Penta™ Soft – touto jednoduchou technikou lze dosáhnout velmi detailní reprodukce okrajů preparace.

Situace při intraorální zkoušce korunky: ta je vyrobena ze zirkonové kapny 3M™ Lava™ Zirkonia fazetované keramikou IPS e.max® Ceram (Ivoclar Vivadent) – jsou patrné ideální intraorální podmínky (hladké okraje, zdravé tkáně).

Pískování vnitřního povrchu korunky za účelem vytvoření mikroretenčního povrchu, který je výhodou při cementování – tato procedura se doporučuje u oxidových keramických materiálů.

Nanášení samoadhezivního pryskyřičného cementu 3M™ RelyX™ U200 do korunky: tento osvědčený produkt nabízí zjednodušený postup – eliminuje nutnost samostatného leptání, primování a bondování.

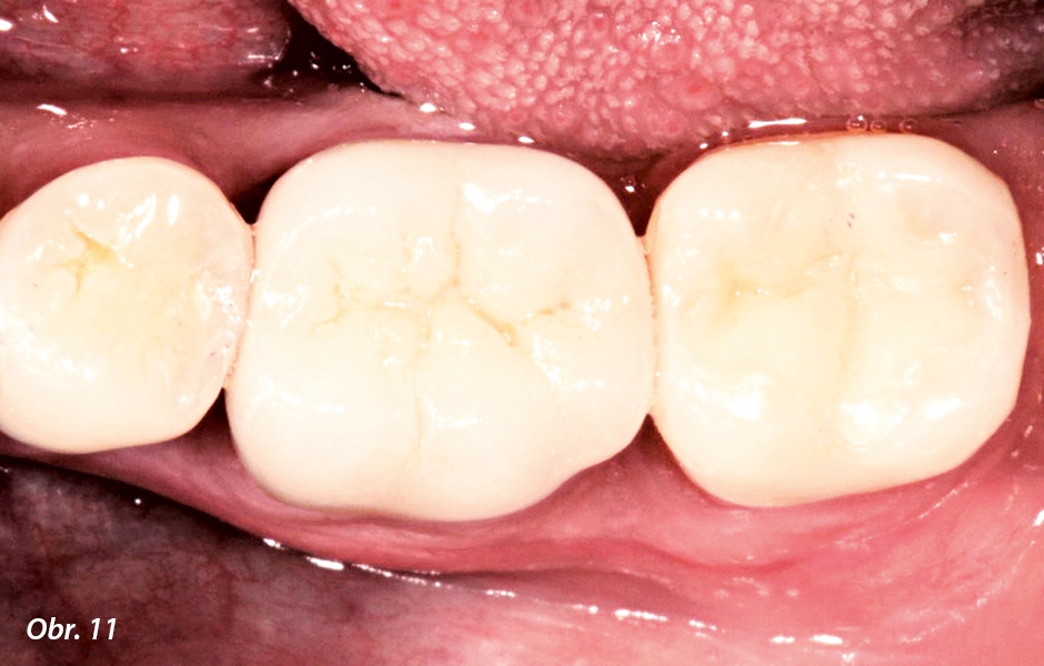
Situace po nasazení korunky, odstranění přebytků cementu a důkladném očištění. Korunka pěkně splývá s okolní zubní strukturou.

Při kontrole několik dní po nasazení korunky bylo dosaženo skvělého celkového výsledku. Pacient je s výslednou náhradou spokojený – po estetické i funkční stránce.

Buďte v obraze
Chcete mít pravidelný přehled o nových článcích na tomto webu, akcích a dalších novinkách? Přihlaste se k odběru newsletteru.
Odesláním souhlasíte s našimi zásadami zpracování osobních údajů.
Články
21. 2. 2025 | Zprávy z firem
Na náš trh přichází X-Smart Pro+, přenosný endomotor s integrovaným apexlokátorem, který byl vyvinut s cílem optimalizovat výkon systémů endodontických nástrojů značek Dentsply Sirona a VDW. Výhody tohoto zařízení vysvětluje v rozhovoru prof. Simone Grandini z Itálie.
Články
5. 8. 2025 | Zprávy z firem
Podle dostupných údajů až 77 % stomatologických profesionálů trpí muskuloskeletálními poruchami, které jsou často způsobeny opakovanými pohyby, nesprávným držením těla a dlouhodobým přetěžováním svalů, kloubů a nervů (Bhatia et al., 2024). Výběr stomatologického vybavení, které podporuje váš způsob práce, je klíčový pro minimalizaci těchto rizik.
Články
2. 7. 2025 | Zprávy z firem
Tento 3D tištěný aparát je určen pro použití u dětí, dospívajících i dospělých a poskytuje zubním lékařům a ortodontistům inovativní řešení pro léčbu běžných skeletálních a dentálních malokluzí.
Warning: file_get_contents(): Peer certificate CN=`*.r4.websupport.sk' did not match expected CN=`www.dentalbazar.cz' in /www/doc/www.stomateam.cz/www/script/page-object8.php on line 7
Warning: file_get_contents(): Failed to enable crypto in /www/doc/www.stomateam.cz/www/script/page-object8.php on line 7
Warning: file_get_contents(https://www.dentalbazar.cz/api/dental-bazar.php): Failed to open stream: operation failed in /www/doc/www.stomateam.cz/www/script/page-object8.php on line 7
- Zubní lékař FN Motol vypisuje VŘ - obor ortodoncie
- Zubní sestra Asistence Praha 6 Břevnov
- Zubní lékař Hledá se zubní lékař/ka - Ostrava Vítkovice
- Zubní lékař Přijmeme zubního lékaře/lékařku
- Zubní lékař Zubní lékař/lékařka – pondělí + pátek | moderní ordinace v








