Implantologický koncept All-in-Two
Zavedení implantátu do estetické zóny je spojeno s vysokými náklady, několika návštěvami pacienta v zubní ordinaci a rizikem zvýšené morbidity.

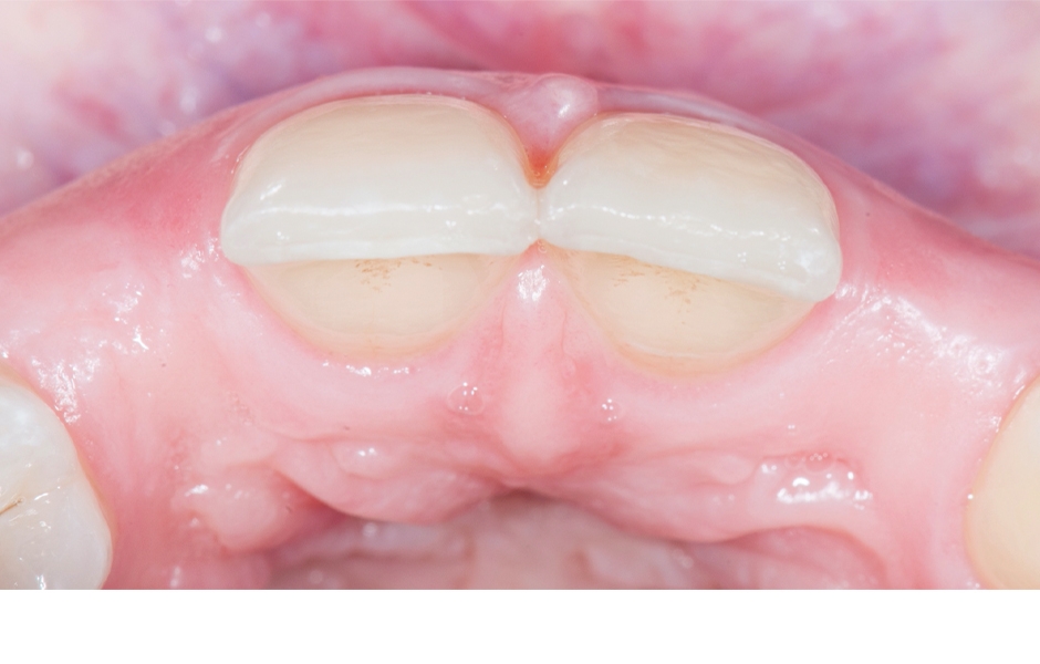
Koncept All-in-Two (vše ve dvou) poskytuje řešení orientované na pacienta, které pomůže překonat všechny překážky, jak je patrné z následující kazuistiky. Zavedení implantátu do oblasti horních postranních řezáků a současné pořízení digitálního otisku je zkombinováno s augmentací štěpu pojivové tkáně z alveolární kosti a ordinační výrobou individuálních vhojovacích abutmentů. Druhá návštěva v ordinaci byla věnována již pouze umístění suprastruktury kotvené šroubkem. Takto chápeme moderní implantologické ošetření orientované na pacienta.
Fotograficky zachycená realizace implantologického konceptu All-in-Two v praxi:
Buďte v obraze
Chcete mít pravidelný přehled o nových článcích na tomto webu, akcích a dalších novinkách? Přihlaste se k odběru newsletteru.
Odesláním souhlasíte s našimi zásadami zpracování osobních údajů.
Články
7. 11. 2025 | Zprávy z firem
Přesná lokalizace apexu kořenového kanálku a správné určení pracovní délky jsou klíčovými faktory pro úspěšné endodontické ošetření. Evropská společnost endodontistů (ESE) a Americká asociace endodontistů (AAE) doporučují použití apexlokátoru v kombinaci s ověřovacími rentgenovými snímky [1, 2].
Články
21. 3. 2025 | Zprávy z firem
Technologie úpravy povrchu Super Osseointegration (SOI) výrazně zkracuje dobu potřebnou pro zatížení implantátů zubní náhradou. Obvykle je po implantaci nutno čekat 6 až 9 měsíců se zatížením zubní náhradou – technologie SOI tuto dobu zkracuje na pouhé 2 až 4 měsíce.
Články
18. 3. 2026 | Zprávy z firem
Série nových dynamických vizualizací přímo na obrazovce skeneru umožňuje pacientům vidět a pochopit nejen celkový stav jejich ústního zdraví, ale také možný budoucí úsměv po léčbě alignery Invisalign®. Systém iTero™ zároveň nově umožňuje design mock-upů a protetických náhrad pro 3D tisk přímo v ordinaci.




















