„Non-prep“ adhezivní dostavby: řešení estetických nedostatků
Indikace a výhody konceptu přirozené stratifikace u mladého úsměvu
Použití keramických materiálů ve formě fazet nebo korunek bylo jak u mladých, tak u dospělých pacientů dlouho považováno za jediné uspokojivé a trvanlivé řešení estetických nedostatků úsměvu. Tuto nadvládu keramiky, která má tendenci upadat, prosazuje zubní průmysl, ve kterém se investují značné částky peněz do propagace materiálů a nových technologií, přičemž je často opomíjena biomechanika zdravého zubu.

Estetická kritéria je třeba zvážit s ohledem na základní biologické a mechanické principy přirozeného zubu s cílem na jedné straně zajistit dlouhověkost náhrady a zachovat vitalitu a integritu zubu na straně druhé. Tyto úvahy proto již dlouhou dobu povzbuzují zubní lékaře ke zvažování přímých adhezivních technik jako možnosti první volby při léčbě estetických nedostatků mladého úsměvu, zejména (a obecně) pokaždé, když to rozsah defektu umožňuje (Macedo, Raj a Ritter, 2006; Peumans a kol., 1997;
Dietschi, Ardu a Krejci, 2006; Magne a So, 2008; Dietschi, 2008).
Zlepšení estetických vlastností kompozitních materiálů na základě modelu přirozeného zubu rovněž činí z přímých dostaveb dle studií (Magne a So, 2008; Dietschi, 2008; Cook a McAree, 1985; Dietschi, Ardu a Krejci, 2000; Ubassy, 1993) všeobecně dostupnou možnost ošetření, protože již nejsou výsadou nadaných lékařů vyškolených ve složitých technikách stratifikace, které jsou praktickému zubnímu lékaři nedostupné.
V průběhu posledních deseti let bylo skutečně vyvinuto několik systémů, jež staví na konceptu přirozené stratifikace, které sestávají pouze ze dvou základních vrstev (dentinu a skloviny) a odpovídajícího vzorníku. Po zjednodušení a zvýšení spolehlivosti materiálů a systémů logicky následovaly klinické protokoly, což vytváří dobré podmínky pro naši profesi, která je pod stálým ekonomickým tlakem. Klinické výsledky použití přímého kompozitu jako estetické korekce ve střednědobém a dlouhodobém horizontu se navíc zdají být spolehlivé (Dietschi, 1995, 1997, 2001).
Cílem tohoto článku je představit dva případy, které ilustrují přímý terapeutický přístup a estetický potenciál kompozitních systémů založených na konceptu přirozené stratifikace.
Případ 1: Uzávěr tremat
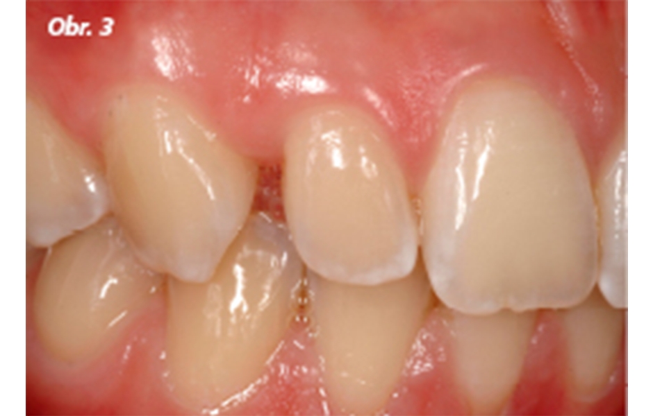
První případ představuje jednoduché použití přímé dostavby při uzávěru tremat u mladého pacienta s tmavým odstínem dentinu a mírnou fluorózou, zvláště viditelnou na incizních hranách řezáků a špičáků (obr. 1).
U pacienta (15 let) bylo ustoupeno od léčení fluorózy, přičemž by bělení bylo pravděpodobně nezbytné, ale s ohledem na riziko citlivosti také kritické (obr. 1–4).
Ošetření bylo provedeno pod kofferdamem za účelem zajištění kvality adheze v aproximální a cervikální oblasti a pro bezpečnost a pohodlí při práci.
Povrch skloviny byl, vzhledem k fluoróze, před leptáním kyselinou fosforečnou (35–37% H3PO4) po dobu 45–60 sekund upraven pouze opískováním (aluminium oxid 25 µm). Adheze bylo dosaženo pomocí vícekrokového systému (OptiBond FL, Kerr) před přímou aplikací kompozitu ve dvou vrstvách plus aplikace efektního odstínu (Inspiro, Edelweiss DR).
Stratifikace byla započata vrstvou dentinu (Body i3) na distálních ploškách postranních horních řezáků a na meziální plošce pravého špičáku. Na vrstvu dentinu byl aplikován semitransparentní bílý efektní odstín (Ice) za účelem imitace fluorózy a zlepšení mimeze dostavby (obr. 5a–5b).
StomaTeam 3/2017

Obr. 1–2: Počáteční stav u mladého pacienta: bilaterální tremata komplikovaná mírnou fluorózou

Obr. 1–2: Počáteční stav u mladého pacienta: bilaterální tremata komplikovaná mírnou fluorózou

Obr. 3–4: Počáteční stav u mladého pacienta: bilaterální tremata komplikovaná mírnou fluorózou

Obr. 3–4: Počáteční stav u mladého pacienta: bilaterální tremata komplikovaná mírnou fluorózou

Obr. 5a, b: V tomto případě byl přirozeně zvolen přímý přístup. Při dostavbě byl použit dentinový odstín Body i3, efektní odstín Ice a sklovina Skin White (Inspiro, Edelweiss DR).

Obr. 5a, b: V tomto případě byl přirozeně zvolen přímý přístup. Při dostavbě byl použit dentinový odstín Body i3, efektní odstín Ice a sklovina Skin White (Inspiro, Edelweiss DR).
Buďte v obraze
Chcete mít pravidelný přehled o nových článcích na tomto webu, akcích a dalších novinkách? Přihlaste se k odběru newsletteru.
Odesláním souhlasíte s našimi zásadami zpracování osobních údajů.
Články
3. 7. 2025 | Dental rádio StomaTeam
Pro 61. epizodu podcastu Mezi zuby si jeho tvůrci pozvali do studia MDDr. Jána Jurkemíka, PhD., MPH, MBA, aby pohovořil o využití laseru ve stomatologii i mimo ni. Je to poprvé, co byl host podcastu přítomen přímo ve studiu, takže mohl pro názornost využít videoukázky ze své praxe.
Články
4. 11. 2025 | Technologie
Dr. Elissa Nasr popisuje léčbu gummy smile pomocí chirurgického prodloužení korunky s využitím digitálního pracovního postupu.
Články
10. 4. 2025 | Ortodoncie
Čím dříve u dětí diagnostikujeme a léčíme problémy s dýchacími cestami, tím větší bude mít léčba přínos pro jejich celoživotní fyzické a mentální zdraví. Jakákoli obstrukce dýchacích cest vede k dýchacím obtížím, včetně dýchání ústy, chrápání, spánkové apnoe, hypopnoe a syndromu zvýšeného odporu horních cest dýchacích (UARS).










