Gingivektomie vysokofrekvenčním proudem
Jak získat estetické výsledky při současném respektování biologických principů
Abstrakt: Naši pacienti jsou velmi nároční na estetiku úsměvu. Společnost vyžaduje, aby standardy krásy a zdraví byly alespoň na přijatelné úrovni. Z periodontálního pohledu nemohou být tyto požadavky zcela ignorovány. Zdravé dásně s konturou, která vytváří symetrické zuby, jsou zásadní pro harmonický úsměv spolu s vhodnou velikostí a barvou zubů. Když hovoříme o oboru lékařství jako o celku, je pro dosažení těchto standardů kvality nezbytné, aby byla stanovena adekvátní diagnóza stavu každého jednotlivého pacienta a následně zvolena vhodná léčba, která může sahat od koronálního prodloužení až k ortognátní chirurgii nebo i k jednoduchým technikám gingivektomie a optimalizace gingiválních okrajů pomocí konvexních skalpelů, laserů nebo elektrochirurgických zařízení.

Úvod: Používání elektrochirurgické jednotky je tak kontroverzní, jak je staré. V medicíně je tento přístroj úspěšně používán jako nepostradatelné náčiní již po více než sto let u disekcí intra a extrakraniálních tumorů, koagulaci a kontrole intraoperačního krvácení, řešení menších tumorů a benigních stavů.1, 2 V zubním lékařství některé zdroje potvrzují jeho užití již před 80 lety. Vážený chirurg počátku 20. století, Wyeth, zařízení nazýval endotermickým skalpelem. Později v roce 1925 naléhá Mayo na jeho pravidelné používání v lékařských postupech. Orringer ve své klasické publikaci z roku 1975 píše, že RF elektrochirurgie (rádiovou frekvencí) je aplikace tepla generována elektricky, která mění nebo ničí živé tkáně pro terapeutické účely. Ohledně RF elektrochirurgické jednotky panovaly mnohé počáteční kontroverze.3 V poslední době ale mnoho studií podpořilo její neškodnost, například Pope a kol., kteří ve studiích s využitím psů prokazují drobné zpoždění ve ztrátě fibrinové zátky během prvních 48 hodin, což lehce zpožďuje cikatrizaci.4 Glickman přidává, že neexistují žádné změny v jizvení u opakovaných resekcí měkké tkáně koronálně od kosti, zato hlubší apikální přístupy mohou vést ke kostní nekróze, intenzivnímu zánětu a kostní sekvestraci během 6–12 týdnů.5 Robertson a kol. ukazují kostní nekrózu ve spojení s elektrochirurgickou gingivektomií způsobenou koagulací, pokud je elektroda položena přímo na amalgámovou dostavbu.6 Simon a kol. odhalují v sérii případů možnost kostní nekrózy při apikálnější aplikaci elektrody.7 V novějších článcích (2013) Manivannan a kol. používají ultrazvukový doppler ke změření změn proudění krve při použití elektrochirurgické elektrody a studeného skalpelu. Výsledky jejich studie ukazují, že při použití skalpelu byl 7. den zaznamenán o 30 % větší průtok krve oproti elektrochirurgické technice, což vyústilo k odloženému hojení při použití skalpelu. Dodali ovšem, že by mělo být ještě provedeno více standardizovaných experimentů s kontrolami všech možných scénářů.8
Články Armstronga a kol. a také Glickmana a kol., kteří měřili efekt elektrochirurgické elektrody na lidskou gingivální tkáň v oblastech blízkých řezu, upozornily, že všechny intracelulární organely zůstaly intaktní, stejně jako podkladová kolagenní tkáň, desmozomy a monofilamenta. Nové studie5, 9, 10, 11, 12, 13 také uvádí, že modifikující faktory, jako je délka a hloubka řezu, tvar řezu, velikost elektrody a nastavení síly, mohou omezit „potenciální škodlivý efekt“ RF elektrochirurgické jednotky. Poslední studie ukazují, že když je aplikována teplota nad 100 °C, vyústí to v buněčnou evaporaci (která může být také nazývána elektrosekcí a fulgurací) v čase v řádu mikrosekund, která ale žádným způsobem neovlivňuje sousední buňky za předpokladu daného rozsahu a času expozice.14, 15, 16
Literatura, klinické zkušenosti a naše současné znalosti nám, při správném zacházení a s ohledem na každou z technických a biologických variant, umožní správné použití elektrochirurgické jednotky na gingivální tkáň, omezí riziko zranění, podpoří brzké hojení a dosažení předvídatelných estetických výsledků.
Příklady těchto technických a biologických variant jsou:
- Intenzita proudu, která prochází tkání: Při vysoké intenzitě bude elektroda jiskřit, což způsobí poškození tkání. Při správné intenzitě je teplota snížena na práh evaporace buněk tkáně a poté proud snadno projde tkání bez jiskření. Když je intenzita nedostatečná, je výsledkem tah a trhání tkáně.17
- Hladké tahy a rychlost chodu elektrody skrze tkáně: Tkáně mají být nejlépe ve vzdálenosti 1 mm od elektrody s přestávkami mezi 8–15 sekundami.17
- Vhodný výběr elektrody: Tento technický aspekt má tu nejvyšší důležitost, a to z toho důvodu, že by měly být voleny tenké elektrody. Tlusté nebo smyčkové elektrody generují více laterálního tepla a destruují nejbližší sousední buňky.17
- Je zásadní perfektně rozumět fungování vaší RF elektrochirurgické jednotky, abyste se vyhnuli ireverzibilnímu poškození. Je třeba brát v potaz pravidelné střídání směru proudu z pozitivního na negativní (průběh křivky), počty vlnových délek (cyklů za sekundu) a nastavení frekvence (1 cyklus = 1 Hz). Technicky by se anionty a kationty v buňce měly vyrovnat s polaritou proudu. Rychlost změn polarity v elektrochirurgické jednotce (300 kHz při 4 MHz) však neumožňuje vyrovnání, ale spíše rychlou oscilaci iontů. Oscilace vytváří frikci, a to je způsob konverze elektrické energie na tepelnou energii v měkkých tkáních. Tento proces je znám jako dielektrický efekt (dielektrická ztráta) a má souvislost se střídáním proudové frekvence.14, 18
- V neposlední řadě je zásadní určit periodontální biotyp pacienta, a ještě před elektrochirurgickým výkonem ověřit, že má pacient perfektní periodontální zdraví.19, 20
Popis techniky
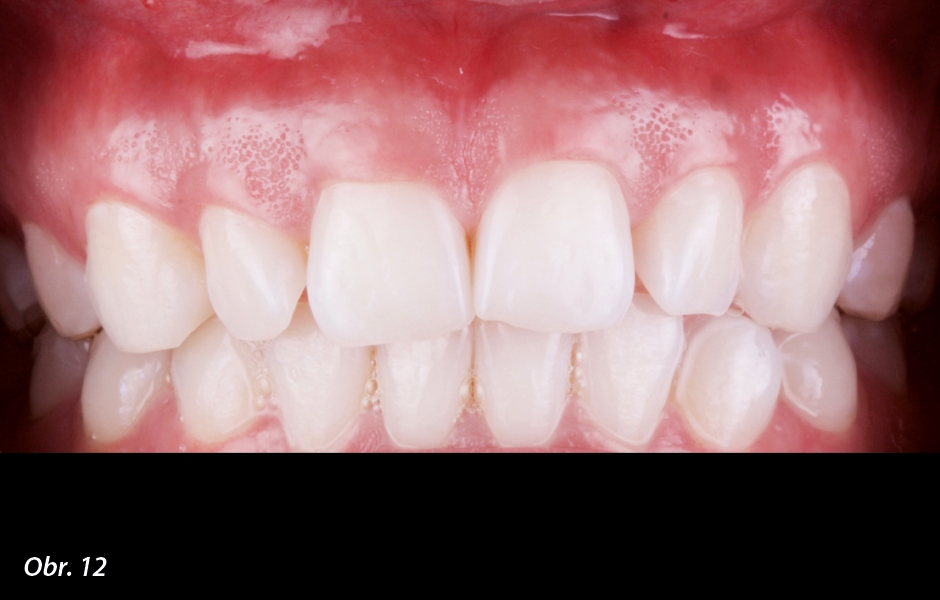
Po definování periodontálního biotypu pacienta (nejlépe silný a tenký), ověření absence jakékoliv choroby včetně krvácení nebo purulentního exsudátu a určení technických parametrů dříve indikovaných, musí být provedeno přísné měření biologických rozměrů (mít na paměti přirozenou tloušťku při normálních okolnostech, která musí být respektována), aby bylo možno definovat množství tkání, které bude odstraněno, aniž by nastalo poškození biologické šíře (obr. 1). První řezy tenkou elektrodou by měly být prováděny v úhlu 90 stupňů k dlouhé ose zubu, měly bychom se držet od níže ležící kostní tkáně a odstraňovat tkáň přerušovaně s přestávkami. V této chvíli se snažíme harmonizovat cementosklovinnou hranici daných zubů (vždy se vyhýbáme jejímu překročení apikálně), začínáme polokruhovitými řezy, které slouží jako vodítko pro kontralaterální řezy. Důvodem těchto prvních řezů, jak je ukázáno na obrázcích 2 a 3, je definování žádané délky zubů každého daného zubu symetrickým způsobem.
Buďte v obraze
Chcete mít pravidelný přehled o nových článcích na tomto webu, akcích a dalších novinkách? Přihlaste se k odběru newsletteru.
Odesláním souhlasíte s našimi zásadami zpracování osobních údajů.
Je zásadní, aby tyto řezy byly provedeny v 90stupňovém úhlu k dlouhé ose zubu (obr. 4, 5). Dále, a to se zásadní důležitostí, by měly být šikmé řezy prováděny v úhlu 30 až 45 stupňů nahnutím elektrody apikokoronálním směrem, s respektem ke keratinizovanému gingiválnímu pruhu a mukogingivální junkci – předchozí 90stupňové řezy používáme jako vodítko. Tyto šikmé řezy jsou provedeny v takových parametrech, v jakých chceme dosáhnout estetického tvaru a vhodné gingivální architektury, s cílem vyhnout se akumulaci plaku a snížit relaps (obr. 6). Šikmé řezy musí mít za každou cenu délku menší nebo rovnou 1 mm, nesmí zasahovat až na kost a měly by být vždy omezeny na keratinizovanou epiteliální tkáň. Po každém projetí elektrody by mělo být provedeno ochlazení směsí vody a vzduchu a očištění celé oblasti. Obrázek 7a ukazuje frontální pohled našeho okamžitého výsledku a obrázky 7b–d ukazují výsledek po 6 měsících. Obrázky 8–26 zachycují 4 podobné případy.
Předplaťte si StomaTeam ONLINE a získejte neomezený přístup ke kompletnímu obsahu StomaTeamu.
objednat předplatné- Cushing H, Bovie W: Electrosurgery as an aid to the removal of intracranial tumors.Surg Gynecol Obstet 1928; 47: 751-784.
- Clark W. Oscillatory dessication in the treatment of accessible malignant growths and minor surgical conditions. J Adv Thr. 1911; 29: 169-174.
- Oringer MJ, Kelly WJ, Harrinson JD. Laboratory experimental evaluation of efficacy of clinical electrosurgical techniques in electrosurgery in density, Philadelphia. 1975, W.B Saunders.
- Pope J.W. and Cols: Effects of electrosurgery on Wound Healing in dogs. Periodontics 6: 30⎯37. Periodontics 1968.
- Glickman I, Imber L: Comparison of gingival resection with electrosurgery and periodontal knife. A biometrical and histological study. J. Periodontol 41: 142⎯148. 1970.
- Robertson E.P: Pulpal and periodontal effects of electrosurgery involving cervical metallic restorations. 46 (5): 702⎯710. 1978.
- Simmons B, Schuback P. The destructive potential of electrosurgery on periodontium. J. Periodontol. No 6. 342⎯347. 1976.
- N. Manivannan, R. S. Ahathya, and P. C. Rajaram Scalpel versus electrosurgery: Comparison of gingival perfusion status using Ultrasound Doppler Flowmetry J Pharm Bioallied Sci. 2013 July; 5(Suppl 2)
- Armstrong S.R and Cols: the clinical response of the gingival tissues to electrosurgical displacement procedures. Tenn Dent Associat J. 48: 271⎯176 1968.
- Aremband D, Wade AB. A comparative wound healing study following gingivectomy by electrosurgery and knives. J Periodontal Res. 1973;8:42–50. [PubMed: 4272072]
- Schneider AR, Zaka AE. Gingival wound healing following experimental electrosurgery: An electron microscopic investigation. J Periodontol. 1974;45:685–94. [PubMed: 4529261]
- Rathofer SA, Gardner FM, Vermilyea SG. A comparison of healing and pain following excision of inflammatory papillary hyperplasia with electrosurgery and blade-loop knives in human patients. Oral Surg Oral Med Oral Pathol. 1985;59:130–5. [PubMed: 3856796]
- Williams B. Electrosurgery and Wound healing: A Literature review. JADA No 108.Feb 1984.
- Kusum B, Gururaj N, and Sandhya K: Electrosurgery in aesthetic and restorative dentistry: A literature review and case reports J Conserv Dent. 2009 Oct-Dec; 12(4): 139–144.
- Vancaille TG. Electrosurgery and endoscopic energy: Principles and risks. In: Adamson GD, Martin DC, editors. Endoscopic management of gynaecologic disease. Philedelphia: Lippincott-Raven; 1996. pp. 11–25.
- Odell RC. Laproscopic electrosurgery. Hunter JG, Sackier JM, editors. Minimally invasive surgery. New York: MC Graw-Hill; 1993. pp. 33–41.
- Ravishankar P L, Satheesh M: Electrosurgery: A Review on its application and Biocompatibility on Periodontium. Indian Journal of Dental Advancements IJDA, 3(2), April-June, 2011
- Petty PG, Edsall G. Alternating-current electrocoagulation with bipolar electrodes. J Neurosurg. 1967;26:399–405.
- Olson M, Lindhe J: Periodontal characteristics in individuals with varying form of the upper central incisors. J Clin Periodontol 1991 Jan;18(1):78-82.
- De Rouck T, Eghbali R: The gingival biotype revisited: transparency of the periodontal probe through the gingival margin as a method to discriminate thin from thick gingiva. J Clin Periodontol. 2009 May;36(5):428-33 Description of the Technique.
dentální produkty
Laboratorní CAD/CAM frézovací jednotky
- Ostatní Area Sales Manager
- Zubní lékař Hledáme stomatologa
- Dentální hygienistka Přijmeme dentální hygienistku
- Zubní lékař Hledáme - zubní lékař/-ka - Aldenta Brno
- Zubní lékař HOŘOVICE/BEROUN hledají zubaře/zubařku











