Zvyšování stability implantátu pomocí oseodenzifikace – kazuistika s dvouletým sledováním
V medicínském povědomí je až na výjimky znatelná tendence přizpůsobovat pro chirurgické výkony komerčně dostupné nástroje, které byly původně navrženy pro preparaci jiných materiálů (Jackson a kol., 1989). Více než deset let je ze strany lékařů poptávka po zlepšení možností preparace kostí (Natali a kol., 1996). Design standardních vrtáků, které se používají v zubní implantologii, je navržen pro vyhloubení jamky v kosti a vytvoření lůžka pro umístění implantátu. Tyto vrtáky účinně řežou kost, ale technicky ani nemohou vyfrézovat přesnou kruhovou osteotomii. Otvor v kosti bývá oválného průřezu kvůli chvění vrtáku. Za těchto okolností je točivý moment zaváděného implantátu snížen, což vede ke špatné primární stabilitě a potenciální nedostatečné oseointegraci implantátu. Kromě toho mohou osteotomie vrtané do úzkého kostního hřebene vést k dehiscenci bukálně nebo lingválně, což také snižuje primární stabilitu implantátu a často vyžaduje augmentaci kostním štěpem. To zvyšuje náklady na léčbu a dobu hojení po zákroku.

Při preparaci standardními vrtáky dochází v okolní kosti ke vzniku napětí, které může i přesáhnout kostní mikropoškození (MDX). Aktivita kostně-remodelační jednotky (BMU) vyžaduje více než 3 měsíce ke konsolidaci poškozené oblasti a platí, že čím více objemu kosti je zachováno, tím rychlejší je hojení (Frost a kol., 1998). Na rozdíl od tradičních technologií vrtání kosti, oseodenzifikace neexkavuje kostní tkáň. Při použití oseodenzifikace se zachovává kostní objem, kost je směrem do strany od lůžka zhutňována a autoaugmentována. Toho je dosaženo použitím speciálních vrtáků pro denzifikaci kosti. Otáčí-li se vrták po směru hodinových ručiček (řezný režim), frézuje kost – otáčí-li se proti směru hodinových ručiček (režim zhutňování), dochází při dostatečném chlazení k vytvoření denzní kompaktní vrstvy kosti jak podél stěn, tak i dna lůžka (Meyer, Huwais a kol., 2014).
Cílem zavedení implantátu je dosažení jeho primární stability. Je dostatečně prokázáno, že pro oseointegraci je rozhodující stabilita implantátu (Albrektsson a kol., 1986, Meredith a kol., 1998). To je v poslední době stále důležitější s ohledem na skutečnost, že mnoho lékařů rádo využívá protokol okamžitého či časného zavedení implantátu. Odstranění objemu kosti je v rozporu s dosažením požadované primární stability. Primární mechanická stabilita implantátu přímo souvisí s kvalitou a kvantitou okolní kosti. Udržení a zachování kosti během preparace lůžka technikou oseodenzifikace vede ke zvýšení primární mechanické stability implantátu a zvýšenému kontaktu kosti s implantátem (BIC), což pak následně zvyšuje sekundární stabilitu implantátu a urychluje tím jeho vhojení (Seeman a kol., 2008, Todisco a kol., 2005, Trisi a kol., 2009).
Kazuistika
V následujícím klinickém případě umožnila oseodenzifikace rozšíření alveolárního hřebene dolní čelisti a umístění dvou implantátů. Pacientem byl 62letý muž s chybějícími zuby č. 36, 35, 34. Na základě klinického a radiografického vyšetření byla zjištěna významná resorpce alveolárního hřebene označovaná v Seibertově klasifikaci třídou I (obr. 1). Zdravotní anamnéza pacienta byla nevýznamná. Pacientovi byly představeny možnosti léčby s jejich eventuálními riziky a přínosy. Léčebný plán zahrnoval umístění dvou implantátů s abutmenty pro fixní protetickou rekonstrukci nahrazující zuby 36, 35 a 34. Informovaný souhlas obsahoval použití techniky oseodenzifikace pro rozšíření hřebene se současným zavedením implantátů a doplněním bukální kosti štěpem, v případě potřeby. Oblast byla anestezována infiltrativně pomocí 1,8 ml 4% Septocaine® (Septodont) s obsahem adrenalinu v poměru 1 : 100 000. Po nastoupení dostatečné anestezie byl proveden řez na hřebeni, odklopen mukoperiostální lalok a obnažen úzký alveolární hřeben, jehož vestibulo-orální rozměr byl po změření 2,5–3,0 mm (obr. 2).
Nejprve byla označena místa preparace lůžek pro dva implantáty v oblastech 36 a 34. Poté byly vytvořeny počáteční 1,5 mm široké osteotomie s pilotním vrtákem při 1200 ot./min. ve směru hodinových ručiček do hloubky 13 mm za použití rychloběžného chirurgického násadce a chirurgického motoru (W&H) (obr. 3). V této fázi byly do otvorů zasunuty paralelizační piny a zhotoven intraorální rentgenový snímek, aby byl potvrzen správný směr preparace ve vztahu k sousedním zubům. Jakmile byly polohy implantátů potvrzeny, byl pomocí piezokoncovky (Piezosurgery®) vytvořen horizontální řez do hloubky 10 mm, aby byla umožněna další flexibilita bukální lamely. Oseodenzifikace s rozšířením hřebenu byla zahájena vrtákem Densah™ Bur VT1525 (Versah™, LLC) při 1200 ot./min. v protisměru hodinových ručiček za účelem rozšíření pilotní osteotomie na 2,5 mm pomocí stejného rychloběžného chirurgického násadce a chirurgického motoru (W&H) (obr. 4). Poté byly vrtákem Densah™ Bur VT2535 (Versah, LLC) opět v obráceném chodu osteotomie rozšířeny na 3,5 mm bez jakéhokoli vzniku fenestrace kosti, což umožnilo zavedení celého implantátu bez obnažení jeho závitů (obr. 5, 6).
Dva kónické šroubové implantáty (Zimmer®) o průměru 3,7 mm a délce 13 mm byly usazeny s krouticím momentem 40–50 Ncm. Oba implantáty po zavedení nebyly exponovány mimo kostní hřeben. Na vestibulární straně byla tloušťka kosti kryjící implantát v pozici 34 méně než 1,0 mm (obr. 7). Stabilita implantátu byla měřena technikou rezonanční frekvenční analýzy (RFA) a ISQ (Osstell®) ve směru vestibulárním a orálním, u implantátů 36 a 34 dosahovala hodnot 78, resp. 49. Na základě řady studií je prokázáno, že přijatelná hodnota stability implantátu je při ISQ nad 50 a doporučená hodnota ISQ pro imediální zatížení pak 67–68. Vzhledem k zaznamenání ISQ 49 u meziálního implantátu 34 a tloušťky vestibulární lamely na vrcholu hřebene méně než 1,0 mm po ukončené oseodenzifikaci, bylo rozhodnuto o rozšíření bukální lamely augmentátem (obr. 8). Implantáty byly osazeny krycími šroubky a vestibulárně byl na ztenčenou bukální lamelu vrstven Puros – demineralizovaná kostní matrix (Zimmer®) pro augmentaci mandibulární bukální kostní lamely po zavedení implantátu. Poté byla naložena kompletní sutura laloku matracovým stehem (obr. 9, 10). Osm týdnů po zavedení (obr. 11) byly implantáty odkryty podélným řezem v hřebeni a byly umístěny vhojovací válečky. Bukálnělingvální hodnoty ISQ získané v 10. týdnu dosahovalo měření RFA ve vestibulárním a orálním směru u zubů 34, 35, 36 hodnoty ISQ: 67, 72, 76. Vzhledem k tomu, že hodnoty ISQ v 10. týdnu přesáhly doporučovanou hodnotu 67 (obr. 12a), byl pacient odeslán zpět ke svému praktickému zubnímu lékaři k dokončení protetické rekonstrukce. Čtrnáct týdnů po chirurgickém zavedení implantátů byla nasazena fixní protetika nesená implantáty 36 a 34 (obr. 12b, 13, 14).

Okluzální pohled na bezzubou oblast vlevo dole s chybějícími zuby 36, 35 a 34

Odklopený mukoperiostální lalok odhalil výraznou resorpci alveolárního hřebene

Osteotomie o rozměrech 1,5/13 mm byla provedena s použitím standardního pilotního vrtáku o průměru 1,5 mm

Expanze osteotomie na 2,5 mm byla vytvořena s použitím Densah™ Bur VT1525 poté, co bylo provedeno horizontální rozštěpení reliéfu hřebene

Densah™ Bur VT2535 byl použit v denzifikačním režimu pro expanzi a zhutnění oblasti budoucího implantátu v místě 36

Oseodenzifikace usnadňuje expanzi osteotomie na 3,5 mm bez jakékoliv dehiscence kosti nebo fenestrace

Implantáty zavedené do oblasti 36 a 34 s krouticím momentem 40–50 Ncm a hodnotou ISQ 49 a 78

Alogenní štěp byl použit k augmentaci bukální lamely

Zavedené implantáty s krycími šroubky a alogenním štěpem

Překrytí lalokem a sutura

Rentgenový snímek po 8 týdnech

Hodnoty ISQ po 10 týdnech

Po 14 týdnech hojení, před umístěním protetické rekonstrukce

Fixní protetická rekonstrukce

Rentgenový snímek po 14 týdnech

Kontrolní klinické vyšetření po 1 roce – byl zaznamenán úbytek 1,0 mm měkké tkáně kolem implantátu v oblasti 34

Kontrolní radiografické vyšetření po 1 roce ukázalo stabilní úroveň krestální kosti

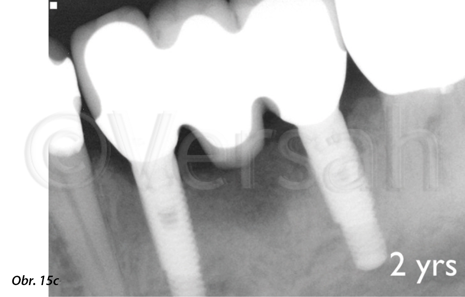
Kontrolní radiografické vyšetření po 2 letech ukázalo stabilní úroveň krestální kosti

Stav po 2 letech
Podpůrná péče a kontroly
Pacient se za rok dostavil na kontrolní vyšetření. Při klinickém vyšetření byly tvrdé a měkké tkáně zdravé, bez známek zánětu nebo infekce. Klinické vyšetření odhalilo mírnou recesi měkké tkáně v oblasti implantátu 34 (obr. 15a, b). Toto snížení výšky měkké tkáně je běžné po postupech řízené kostní regenerace (GBR) nebo augmentaci kostního hřebene. Byla zahájena čtyřměsíční podpůrná parodontální léčba spojená s pravidelnou rentgenografickou kontrolou obou implantátů.
V tomto případě oseodenzifikace využívající technologii Densah™ Bur usnadnila expanzi alveolárního hřebene s udržením jeho integrity, a to umožnilo zavedení celého implantátu do vlastní kosti bez jakékoliv expozice při dosažení adekvátní primární stability (obr. 15c, d). Navzdory omezené kostní nabídce, zachovala oseodenzifikace kostní objem a zkrátila čekací dobu na protetickou rekonstrukci. Bez použití techniky oseodenzifikace by takové ošetření probíhalo třemi fázemi léčby v celkové délce 30–50 týdnů:
- Fáze augmentace hřebene (6–9 měsíců) pro rozšíření hřebene buď použitím štěpu ve formě kostního bločku nebo řízenou kostní regenerací
- Fáze zavedení implantátu a jeho hojení (2–3 měsíce)
- Protetická fáze
Otázkou zůstává, proč augmentujeme kostní hřeben, abychom jej později zčásti odstranili při vrtání lůžka a čekali měsíce, než se implantáty vhojí? Je načase přemýšlet o primárním zachování kosti, aby se zvýšila její schopnost hojit se rychleji bez ohledu na makro- nebo mikrogeometrii implantátu.
Závěr
Oseodenzifikace je nová biomechanická preparační technika, při které se neodstraňuje kostní tkáň. Na rozdíl od tradičního vrtání používá tato technika speciální oseodenzifikační vrtáky pro zhušťování a autoaugmentaci kosti díky procesu plastické deformace kosti. Výsledkem je rozšířená osteotomie se zachovanou a kondenzovanou kostní tkání, která udržuje integritu alveolárního hřebene a umožňuje zavedení implantátu se zvýšenou stabilitou.
Buďte v obraze
Chcete mít pravidelný přehled o nových článcích na tomto webu, akcích a dalších novinkách? Přihlaste se k odběru newsletteru.
Odesláním souhlasíte s našimi zásadami zpracování osobních údajů.
REFERENCES
1. Jackson CJ, Ghosh SK. On the evolution of drill-bit shapes. Journal of Mechanical Working Technology. 1989;18(2):231-267.
2. Natali C, Ingle P, Dowell J. Orthopaedic bone drills-can they be improved? Temperature changes near the drilling face. J Bone Joint Surg Br. 1996;78(3):357-362.
3. Frost HM. A brief review for orthopedic surgeons: fatigue damage (microdamage) in bone (its determinants and clinical implications). J Orthop Sci, 1998;3(5):272-281.
4. EG, Huwais S. Osseodensification Is A Novel Implant Preparation Technique That Increases Implant Primary Stability By Compaction and Auto-Grafting Bone. American Academy of Periodontology. [abstract]. San Francisco, CA. 2014.
5. Albrektsson T, Zarb G, Worthington P, Eriksson AR. The long-term efficacy of currently used dental implants: A review and proposed criteria of success. Int J Oral Maxillofac Implants. 1986;1(1):11-25.
6. Meredith N. Assessment of implant stability as a prognostic determinant. Int J Prosthodont. 1998;11(5):491-501.
7. Todisco, M, Trisi P. Bone mineral density and bone histomorphometry are statistically related. Int J Oral Maxillofac Implants. 2005. 20(6):898-904.
8. Seeman E. Bone quality: the material and structural basis of bone strength. J Bone Miner Metab. 2008;26(1):1-8.
9. Trisi P, Perfetti G, Baldoni E, Berardi D, Colagiovanni M, Scogna G. Implant micromotion is related to peak insertion torque and bone density. Clin Oral Implants Res. 2009;20(5):467-471.
Články
6. 3. 2026 | Implantologie
Demografické změny přivádějí do stomatologických ordinací stále více starších pacientů s nedostatečnými a selhávajícími stávajícími rekonstrukcemi.
Články
14. 11. 2025 | Implantologie
Moderní stomatologie prochází technologickou revolucí, kterou pohání integrace pokročilých digitálních nástrojů v diagnostice, plánování a léčbě. Mezi nimi se počítačem řízená implantologie stala základním pilířem, zejména u složitých výkonů, jako jsou estetické rekonstrukce a celková rehabilitace čelistního oblouku.
Články
14. 11. 2025 | Implantologie
Digitální pracovní postupy ve stomatologii přinesly revoluci v přístupu odborníků ke složitým zákrokům – zlepšují přesnost, efektivitu a dosažené klinické výsledky. Mezi digitálními inovacemi se výrazně prosazují systémy pro plnou navigaci...
dentální produkty
Intraorální kamery a diagnostické přístroje









