Plně digitální implantologické workflow
Společnost Planmeca je známá nejmodernějšími technickými inovacemi a neustálým vývojem produktů. Výkonná softwarová platforma Planmeca Romexis umožňuje provedení všech fází stomatologických implantologických a estetických protetických ošetření za použití jednoho softwaru, a to od počítačově asistovaného návrhu úsměvů pacientů po výrobu chirurgických šablon.

Následující klinický případ, na kterém jsem pracoval spolu s kolegy Dr. Olegem Ponomarevem, Dr. Maximem Kozhevinem a Dr. Yarokhinem, ukazuje, jak je možno využít digitální systémy při protetickém ošetření, zavádění implantátů a navrhování designu náhrady. Dle našich zkušeností umožňují digitální CAD/CAM technologie, ve srovnání s tradičními metodami, maximálně funkční a estetické výsledky.
Kazuistika
Tento klinický případ ukazuje výhody použití CAD/CAM systémů při digitálním plánování zavádění implantátů a přípravě chirurgických šablon, stejně jako při výrobě keramické náhrady. V tomto článku předkládáme klinický případ, při němž bylo ošetření provedeno za použití softwaru Planmeca Romexis 3D Implant Guide, softwaru Planmeca PlanCAD Premium a frézovacího přístroje Planmeca PlanMill 40.
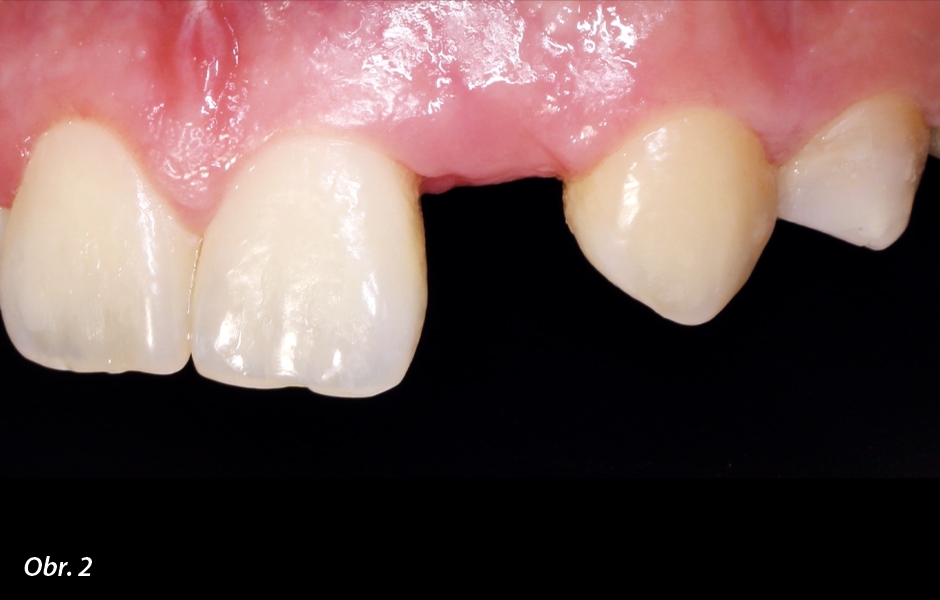
Klinický případ se týká pacientky, která si stěžovala na chybějící zub 22 a čípkovitý tvar zubu 12 (obr. 1, 2). Při počátečním vyšetření byl prostor kolem chybějícího zubu vyhodnocen jako příliš úzký pro zavedení implantátu. Pacientka však odmítala ortodontickou přípravu, protože již dříve absolvovala ortodontickou léčbu s ortodontickou chirurgií.
V tomto konkrétním případě jsme začali s estetickou analýzou na základě CBCT dat pacientky a došli jsme k závěru, že implantát Straumann o průměru 2,9 mm by se do prostoru zubu 22 vešel, pokud bychom použili, za účelem maximální přesnosti, chirurgickou šablonu (obr. 3–5). Korunkovou náhradu zubu 12 jsme se rozhodli vyrobit z keramiky IPS e.max (Ivoclar Vivadent).
Díky digitálnímu plánování a pečlivě vyrobené chirurgické šabloně bylo zavedení implantátu úspěšné, přestože se anatomické podmínky zdály být méně než příhodné. Dosáhli jsme točivého momentu 30 Ncm a na implantát umístili vhojovací váleček (obr. 6, 7).
Tři měsíce po zavedení implantátu byla dokončena oseointegrace fixtury implantátu. Na implantát byla vyrobena provizorní korunka z bločku VITA ENAMIC multiColor, jejímž účelem bylo podpořit tvarování měkkých tkání (obr. 8–10). Zlepšili jsme původní tvar měkkých tkání pomocí pilíře Straumann. U zubu 12 bylo pomocí elektrokoagulace provedeno prodloužení korunky (obr. 11–13).
Jakmile bylo dokončeno tvarování měkkých tkání, byl zub 12 za použití chirurgického mikroskopu minimálně preparován pro keramickou korunku. Po preparaci byl proveden intraorální sken, abychom mohli digitálně navrhnout individualizovaný abutment a korunky (obr. 14–19).
Konečný vzhled úsměvu jsme plánovali digitálně společně s pacientkou. Jako pilíř v místě zubu 12 jsme zvolili individuální šroubovaný zirkonový abutment s keramickou krycí vrstvou a plně anatomickou korunku z materiálu IPS Empress (obr. 20, 21).
Keramická krycí vrstva ztlumila přílišnou světlost zirkonu, a byli jsme tak schopni dosáhnout požadované barvy. Díky digitálnímu workflow jsme mohli plně vyhovět přáním pacientky (obr. 22–23).

Horní zuby pacientky před ošetřením.

Horní zuby pacientky před ošetřením.

Digitální plánování implantátu a chirurgické šablony v softwaru Planmeca Romexis.

Digitální plánování implantátu a chirurgické šablony v softwaru Planmeca Romexis.

Chirurgická šablona byla vyrobena za účelem maximální přesnosti.

Úspěšné zavedení implantátu.

Úspěšné zavedení implantátu.

Provizorní korunka byla umístěna za účelem tvarování měkkých tkání.

U zubu 12 bylo provedeno prodloužení korunky.

U zubu 12 bylo provedeno prodloužení korunky.

U zubu 12 bylo provedeno prodloužení korunky.

Definitivní náhrady byly navrženy v softwaru Planmeca PlanCAD Premium.

Definitivní náhrady byly navrženy v softwaru Planmeca PlanCAD Premium.

Definitivní náhrady byly navrženy v softwaru Planmeca PlanCAD Premium.

Definitivní náhrady byly navrženy v softwaru Planmeca PlanCAD Premium.

Definitivní náhrady byly navrženy v softwaru Planmeca PlanCAD Premium.

Definitivní náhrady byly navrženy v softwaru Planmeca PlanCAD Premium.

Definitivní náhrady: Zirkonový šroubovaný abutment s keramickou krycí vrstvou a plně anatomická korunka z materiálu IPS Empress.

Definitivní náhrady: Zirkonový šroubovaný abutment s keramickou krycí vrstvou a plně anatomická korunka z materiálu IPS Empress.

Konečný výsledek.

Konečný výsledek.
Závěr
Pomocí digitálních technologií je možno realizovat celý implantologický proces v zubní ordinaci, od plánování po výrobu náhrad. Digitální plánování zvyšuje spolehlivost implantologického ošetření a pomáhá zubnímu lékaři operaci úspěšně zvládnout. Digitální nástroje umožňují dosáhnout maximálně funkčního a estetického výsledku i tehdy, jedná-li se o kombinované ošetření, při němž se zavádí implantát a současně zhotovuje keramická náhrada na přirozený pilíř.
Díky vývoji moderních technologií je nyní možno získat 3D model zubů pacienta během pouhých několika minut, aniž by bylo narušeno pohodlí pacienta. Zkombinování CBCT snímku s intraorálním skenem současně umožňuje zubnímu lékaři přesné naplánování zavedení implantátu a vytvoření chirurgické šablony, a to pouhými několika kliknutími.
A konečně, digitální technologie také umožňují vizualizaci výsledku ošetření pacientovi. Jasné vizualizace konečného výsledku usnadňují komunikaci s pacientem, čímž se zvýší ochota pacienta ke spolupráci.
Redakční poznámka: Článek byl publikován v časopisu Planworld 2019.
Buďte v obraze
Chcete mít pravidelný přehled o nových článcích na tomto webu, akcích a dalších novinkách? Přihlaste se k odběru newsletteru.
Odesláním souhlasíte s našimi zásadami zpracování osobních údajů.
Články
1. 12. 2025 | Implantologie
Aspergilóza je nejčastější příčinou oportunních mykotických infekcí u imunokompromitovaných jedinců a může být klasifikována jako invazivní nebo neinvazivní.
Články
14. 11. 2025 | Implantologie
Digitální pracovní postupy ve stomatologii přinesly revoluci v přístupu odborníků ke složitým zákrokům – zlepšují přesnost, efektivitu a dosažené klinické výsledky. Mezi digitálními inovacemi se výrazně prosazují systémy pro plnou navigaci...
Články
6. 3. 2026 | Implantologie
Demografické změny přivádějí do stomatologických ordinací stále více starších pacientů s nedostatečnými a selhávajícími stávajícími rekonstrukcemi.
- Zubní lékař Zlín - Hledáme zubního lékaře do našeho tímu
- Dentální hygienistka Hledá se dentální hygienistka do Ostravy
- Zubní lékař Zubní lékař do nové ordinace
- Zubní lékař Zubní lékař v Písku
- Zubní sestra Přijmu zubní sestru/ instrumentářku do stomatologické praxe





